JavaScript is disabled in your browser. Please enable JavaScript to view this website.
AB280370

Anti-IL3RA/CD123 antibody [EPR24481-20] - BSA and Azide free

Be the first to review this product! Submit a review

|

(0 Publication)

Rabbit Recombinant Monoclonal IL3RA/CD123 antibody. Carrier free. Suitable for ICC/IF, IP, Flow Cyt, WB, IHC-P and reacts with Human samples.

View Alternative Names

CD123, IL3R, IL3RA, Interleukin-3 receptor subunit alpha, IL-3 receptor subunit alpha, IL-3R subunit alpha, IL-3R-alpha, IL-3RA

9 Images
Flow Cytometry - Anti-IL3RA/CD123 antibody [EPR24481-20] - BSA and Azide free (AB280370)
  • Flow Cyt

Lab

Flow Cytometry - Anti-IL3RA/CD123 antibody [EPR24481-20] - BSA and Azide free (AB280370)

This data was developed using the same antibody clone in a different buffer formulation (ab280355).

Flow cytometry staining of human peripheral blood mononuclear cells (PBMCs) with ab280355 (right) or Recombinant Rabbit IgG, monoclonal [EPR25A] - Isotype Control (ab172730) (left). PBMCs were incubated for 30 mins on ice in 1x PBS containing 10 µg/ml human IgG and 10 % normal goat serum to block FC receptors and non-specific protein-protein interaction followed by the antibody ab280355 or Recombinant Rabbit IgG, monoclonal [EPR25A] - Isotype Control (ab172730) (1x 106 in 100 µl at 1.0 μg/ml (1/2000 dilution)) for 30 mins on ice. The cells were simultaneously stained with CD303.

The secondary antibody Goat Anti-Rabbit IgG H&L (Alexa Fluor® 488) preadsorbed was incubated at 1/4000 dilution for 30 mins on ice

Acquisition of >30000 events were collected using a 50 mW Blue laser (488nm) and 525/40 bandpass filter. Events were gated on live cells.

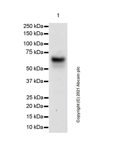
Western blot - Anti-IL3RA/CD123 antibody [EPR24481-20] - BSA and Azide free (AB280370)
  • WB

Lab

Western blot - Anti-IL3RA/CD123 antibody [EPR24481-20] - BSA and Azide free (AB280370)

This data was developed using ab280355, the same antibody clone in a different buffer formulation.

Blocking and diluting buffer and concentration : 5% NFDM/TBST

The expression profile/molecular weight observed is consistent with what has been described in the literature (PMID : 30647406).

Negative control : K-562 cell (PMID : 30647406)

Exposure time : 37 seconds

All lanes:

Western blot - Anti-IL3RA/CD123 antibody [EPR24481-20] (<a href='/en-us/products/primary-antibodies/il3ra-cd123-antibody-epr24481-20-ab280355'>ab280355</a>) at 1/1000 dilution

Lane 1:

Human tonsil tissue lysate at 40 µg

Lane 2:

HDLM-2 (human hodgkin lymphoma ) whole cell lysate at 20 µg

Lane 3:

K-562 (human chronic myelogenous leukemia lymphoblast) whole cell lysate at 20 µg

Secondary

Lane 1:

Goat Anti-Rabbit IgG (HRP) with minimal cross-reactivity with human IgG at 1/2000 dilution

Lanes 2 - 3:

Western blot - Goat Anti-Rabbit IgG H&L (HRP) (<a href='/en-us/products/secondary-antibodies/goat-rabbit-igg-h-l-hrp-ab97051'>ab97051</a>) at 1/50000 dilution

Predicted band size: 43 kDa

Observed band size: 60 kDa

false

Immunocytochemistry/ Immunofluorescence - Anti-IL3RA/CD123 antibody [EPR24481-20] - BSA and Azide free (AB280370)
  • ICC/IF

Supplier Data

Immunocytochemistry/ Immunofluorescence - Anti-IL3RA/CD123 antibody [EPR24481-20] - BSA and Azide free (AB280370)

This data was developed using ab280355, the same antibody clone in a different buffer formulation.

Immunofluorescent analysis of 4% Paraformaldehyde-fixed, 0.1% Triton X-100 permeabilized HDLM-2 cells labelling IL3RA/CD123 with ab280355 at 1/1000 dilution, followed by ab150077 Goat Anti-Rabbit IgG H&L (Alexa Fluor® 488) antibody at 1/1000 dilution (Green). Confocal image showing membranous staining in HDLM-2 cells.

Negative control : K-562 (PMID : 26531164).

ab195889 Anti-alpha Tubulin mouse monoclonal antibody - Microtubule Marker (Alexa Fluor® 594) at a 1/200 dilution (Red). The nuclear counterstain was DAPI (Blue).

Secondary antibody only control : Secondary antibody is ab150077 Goat Anti-Rabbit IgG H&L (Alexa Fluor® 488) at 1/1000 dilution.

Flow Cytometry - Anti-IL3RA/CD123 antibody [EPR24481-20] - BSA and Azide free (AB280370)
  • Flow Cyt

Supplier Data

Flow Cytometry - Anti-IL3RA/CD123 antibody [EPR24481-20] - BSA and Azide free (AB280370)

This data was developed using ab280355, the same antibody clone in a different buffer formulation.

Flow cytometric analysis of human peripheral blood mononuclear cell (PBMC) cells labelling IL3RA/CD123 with ab280355 at 1/500 dilution (0.1ug)/ Right compared with a Rabbit monoclonal IgG (ab172730) / Left isotype control. Goat anti rabbit IgG (Alexa Fluor® 488, ab150077) at 1/2000 dilution was used as the secondary antibody.

Cells were stained with rabbit IgG or ab280355. Then stained with anti-HLA-DR conjugated to PE.

Gated on viable cells.

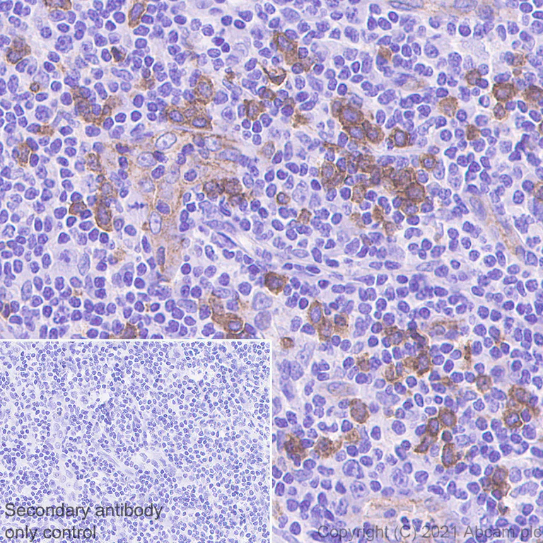
Immunohistochemistry (Formalin/PFA-fixed paraffin-embedded sections) - Anti-IL3RA/CD123 antibody [EPR24481-20] - BSA and Azide free (AB280370)
  • IHC-P

Supplier Data

Immunohistochemistry (Formalin/PFA-fixed paraffin-embedded sections) - Anti-IL3RA/CD123 antibody [EPR24481-20] - BSA and Azide free (AB280370)

This data was developed using ab280355, the same antibody clone in a different buffer formulation.

Immunohistochemical analysis of paraffin-embedded human tonsil tissue labeling IL3RA/CD123 with ab280355 at 1/500 dilution followed by a ready to use Rabbit specific IHC polymer detection kit HRP/DAB (ab209101). Positive staining on human tonsil (PMID : 27340692, PMID : 15728234, PMID : 28205524). The section was incubated with ab280355 for 30 mins at room temperature. The immunostaining was performed on a Leica Biosystems BOND® RX instrument. Counterstained with Hematoxylin.

Secondary antibody only control : Secondary antibody is a ready to use Rabbit specific IHC polymer detection kit HRP/DAB (ab209101).

Heat mediated antigen retrieval with Tris-EDTA buffer (pH 9.0, epitope retrieval solution2) for 20 mins.

Flow Cytometry - Anti-IL3RA/CD123 antibody [EPR24481-20] - BSA and Azide free (AB280370)
  • Flow Cyt

Supplier Data

Flow Cytometry - Anti-IL3RA/CD123 antibody [EPR24481-20] - BSA and Azide free (AB280370)

This data was developed using ab280355, the same antibody clone in a different buffer formulation.

Flow cytometric analysis of K-562(Human chronic myelogenous leukemia lymphoblast, Left)/ HDLM-2(Human Hodgkin lymphoma, Right) cells labelling IL3RA/CD123 with ab280355 at 1/500 dilution (0.1ug)/ red compared with a Rabbit monoclonal IgG (ab172730) (Black) isotype control and an unlabelled control (cells without incubation with primary antibody and secondary antibody) (Blue). Goat anti rabbit IgG (Alexa Fluor® 488, ab150077) at 1/2000 dilution was used as the secondary antibody.

Negative control : K-562 cell (PMID : 26531164).

Gated on viable cells.

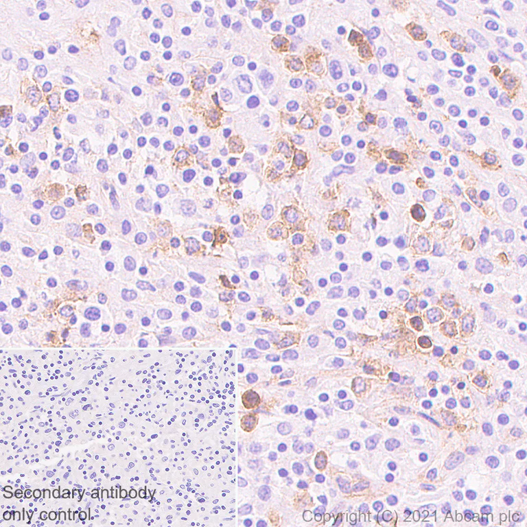
Immunohistochemistry (Formalin/PFA-fixed paraffin-embedded sections) - Anti-IL3RA/CD123 antibody [EPR24481-20] - BSA and Azide free (AB280370)
  • IHC-P

Supplier Data

Immunohistochemistry (Formalin/PFA-fixed paraffin-embedded sections) - Anti-IL3RA/CD123 antibody [EPR24481-20] - BSA and Azide free (AB280370)

This data was developed using ab280355, the same antibody clone in a different buffer formulation.

Immunohistochemical analysis of paraffin-embedded Human Hodgkin's lymphoma tissue labeling IL3RA/CD123 with ab280355 at 1/500 dilution followed by a ready to use Rabbit specific IHC polymer detection kit HRP/DAB (ab209101). Positive staining on human Hodgkin's lymphoma 500. The section was incubated with ab280355 for 30 mins at room temperature. The immunostaining was performed on a Leica Biosystems BOND® RX instrument Counterstained with Hematoxylin.

Secondary antibody only control : Secondary antibody is a ready to use Rabbit specific IHC polymer detection kit HRP/DAB (ab209101).

Heat mediated antigen retrieval with Tris-EDTA buffer (pH 9.0, epitope retrieval solution2) for 20 mins

Immunoprecipitation - Anti-IL3RA/CD123 antibody [EPR24481-20] - BSA and Azide free (AB280370)
  • IP

Supplier Data

Immunoprecipitation - Anti-IL3RA/CD123 antibody [EPR24481-20] - BSA and Azide free (AB280370)

This data was developed using ab280355, the same antibody clone in a different buffer formulation.

IL3RA/CD123 was immunoprecipitated from 0.35 mg HDLM-2 (human hodgkin lymphoma ) whole cell lysate 10 μg with ab280355 at 1/30 dilution (2μg in 0.35mg lysates). Western blot was performed on the immunoprecipitate using ab280355 at 1/1000 dilution. VeriBlot for IP Detection Reagent (HRP)(ab131366) was used at 1/5000 dilution.

Lane 1 : HDLM-2 whole cell lysate 10 μg

Lane 2 : ab280355 IP in HDLM-2 whole cell lysate

Lane 3 : Rabbit monoclonal IgG (ab172730) instead of ab280355 in HDLM-2 whole cell lysate

Blocking and dilution buffer and concentration : 5% NFDM/TBST.

Exposure time : 32 seconds

All lanes:

Immunoprecipitation - Anti-IL3RA/CD123 antibody [EPR24481-20] (<a href='/en-us/products/primary-antibodies/il3ra-cd123-antibody-epr24481-20-ab280355'>ab280355</a>)

Predicted band size: 43 kDa

Observed band size: 60 kDa

false

Western blot - Anti-IL3RA/CD123 antibody [EPR24481-20] - BSA and Azide free (AB280370)
  • WB

Lab

Western blot - Anti-IL3RA/CD123 antibody [EPR24481-20] - BSA and Azide free (AB280370)

This data was developed using ab280355, the same antibody clone in a different buffer formulation.

Blocking and diluting buffer and concentration : 5% NFDM/TBST

The expression profile/molecular weight observed is consistent with what has been described in the literature (PMID : 30647406).

Exposure time : 103 seconds

All lanes:

Western blot - Anti-IL3RA/CD123 antibody [EPR24481-20] (<a href='/en-us/products/primary-antibodies/il3ra-cd123-antibody-epr24481-20-ab280355'>ab280355</a>) at 1/1000 dilution

All lanes:

KG-1a (human bone marrow myeloblast) whole cell lysate at 20 µg

Secondary

All lanes:

Western blot - Goat Anti-Rabbit IgG H&L (HRP) (<a href='/en-us/products/secondary-antibodies/goat-rabbit-igg-h-l-hrp-ab97051'>ab97051</a>) at 1/20000 dilution

Predicted band size: 43 kDa

Observed band size: 60 kDa

false

  • Unconjugated

    Anti-IL3RA/CD123 antibody [EPR24481-20]

  • 617 Alexa Fluor® 594

    Alexa Fluor® 594 Anti-IL3RA/CD123 antibody [EPR24481-20]

  • 578 PE

    PE Anti-IL3RA/CD123 antibody [EPR24481-20]

  • 665 Alexa Fluor® 647

    Alexa Fluor® 647 Anti-IL3RA/CD123 antibody [EPR24481-20]

Key facts

Host species

Rabbit

Clonality

Monoclonal

Clone number

EPR24481-20

Isotype

IgG

Carrier free

Yes

Reacts with

Human

Applications

WB, ICC/IF, IHC-P, IP, Flow Cyt

applications

Immunogen

The exact immunogen used to generate this antibody is proprietary information.

Reactivity data

{ "title": "Reactivity Data", "filters": { "stats": ["", "Species", "Dilution Info", "Notes"], "tabs": { "all-applications": {"fullname" : "All Applications", "shortname": "All Applications"}, "ICCIF" : {"fullname" : "Immunocytochemistry/ Immunofluorescence", "shortname":"ICC/IF"}, "IP" : {"fullname" : "Immunoprecipitation", "shortname":"IP"}, "FlowCyt" : {"fullname" : "Flow Cytometry", "shortname":"Flow Cyt"}, "WB" : {"fullname" : "Western blot", "shortname":"WB"}, "IHCP" : {"fullname" : "Immunohistochemistry (Formalin/PFA-fixed paraffin-embedded sections)", "shortname":"IHC-P"} }, "product-promise": { "all": "all", "testedAndGuaranteed": "tested", "guaranteed": "expected", "predicted": "predicted", "notRecommended": "not-recommended" } }, "values": { "Human": { "ICCIF-species-checked": "testedAndGuaranteed", "ICCIF-species-dilution-info": "", "ICCIF-species-notes": "<p></p>", "IP-species-checked": "testedAndGuaranteed", "IP-species-dilution-info": "", "IP-species-notes": "<p></p>", "FlowCyt-species-checked": "testedAndGuaranteed", "FlowCyt-species-dilution-info": "", "FlowCyt-species-notes": "<p></p>", "WB-species-checked": "testedAndGuaranteed", "WB-species-dilution-info": "", "WB-species-notes": "<p></p>", "IHCP-species-checked": "testedAndGuaranteed", "IHCP-species-dilution-info": "", "IHCP-species-notes": "<p></p>" }, "Mouse": { "ICCIF-species-checked": "notRecommended", "ICCIF-species-dilution-info": "", "ICCIF-species-notes": "", "IP-species-checked": "notRecommended", "IP-species-dilution-info": "", "IP-species-notes": "", "FlowCyt-species-checked": "notRecommended", "FlowCyt-species-dilution-info": "", "FlowCyt-species-notes": "", "WB-species-checked": "notRecommended", "WB-species-dilution-info": "", "WB-species-notes": "<p></p>", "IHCP-species-checked": "notRecommended", "IHCP-species-dilution-info": "", "IHCP-species-notes": "<p></p>" }, "Rat": { "ICCIF-species-checked": "notRecommended", "ICCIF-species-dilution-info": "", "ICCIF-species-notes": "", "IP-species-checked": "notRecommended", "IP-species-dilution-info": "", "IP-species-notes": "", "FlowCyt-species-checked": "notRecommended", "FlowCyt-species-dilution-info": "", "FlowCyt-species-notes": "", "WB-species-checked": "notRecommended", "WB-species-dilution-info": "", "WB-species-notes": "<p></p>", "IHCP-species-checked": "notRecommended", "IHCP-species-dilution-info": "", "IHCP-species-notes": "<p></p>" } } }

You may be interested in:

AB300317

Human IL3RA/CD123 ELISA Kit

0

0 Reviews

View product

We recommend this product because it’s often used in the same experiment or related research.

We advise that you always check the datasheet to ensure it fits your experiments, or contact ourtechnical teamfor help.

Product details

ab280370 is the carrier-free version of ab280355.

Patented technology
Our RabMAb® technology is a patented hybridoma-based technology for making rabbit monoclonal antibodies. For details on our patents, please refer to RabMAb® patents.

What are the advantages of a recombinant monoclonal antibody?
This product is a recombinant monoclonal antibody, which offers several advantages including:

  • - High batch-to-batch consistency and reproducibility
  • - Improved sensitivity and specificity
  • - Long-term security of supply
  • - Animal-free batch production

For more information, read more on recombinant antibodies.

Conjugation ready
Our carrier-free antibodies are typically supplied in a PBS-only formulation, purified and free of BSA, sodium azide and glycerol. This conjugation-ready format is designed for use with fluorochromes, metal isotopes, oligonucleotides, and enzymes, which makes them ideal for antibody labelling, functional and cell-based assays, flow-based assays (e.g. mass cytometry) and Multiplex Imaging applications.

Use our conjugation kits for antibody conjugates that are ready-to-use in as little as 20 minutes with 1 minute hands-on-time and 100% antibody recovery: available for fluorescent dyes, HRP, biotin and gold.

Compatibility
This product is compatible with the Maxpar® Antibody Labeling Kit from Fluidigm, without the need for antibody preparation. Maxpar® is a trademark of Fluidigm Canada Inc.

Properties and storage information

Form
Liquid
Purification technique
Affinity purification Protein A
Storage buffer
Constituents: 100% PBS
Shipped at conditions
Blue Ice
Appropriate short-term storage conditions
+4°C
Appropriate long-term storage conditions
+4°C

Supplementary information

This supplementary information is collated from multiple sources and compiled automatically.

IL3RA also known as CD123 or interleukin-3 receptor alpha chain is a transmembrane protein with a molecular weight of approximately 70-80 kDa. This protein frequently expresses on the surface of hematopoietic cells particularly those of myeloid lineage including mast cells and basophils. Researchers use CD123 as a marker for identifying certain cell types in flow cytometry. Antibodies such as anti-CD123 are available for various applications including identifying these cells in research and clinical settings.
Biological function summary

IL3RA forms part of a heterodimeric receptor complex binding with the beta-common (βc) chain to create the high-affinity IL-3 receptor. This complex plays a role in mediating the effects of interleukin-3 a cytokine that promotes the growth and differentiation of pluripotent hematopoietic stem cells. Through this mechanism the receptor influences immune response modulation particularly in allergic reactions and inflammation.

Pathways

IL3RA interacts with the JAK/STAT pathway which is essential for signal transduction and transcription activation in response to IL-3 binding. This pathway involves proteins like Janus kinase 2 (JAK2) and Signal Transducer and Activator of Transcription 5 (STAT5) which transmit signals from IL3RA engagement to the cell nucleus promoting gene expression associated with cell proliferation and survival.

IL3RA expression relates closely to certain hematological conditions such as acute myeloid leukemia (AML) and systemic mastocytosis. In AML increased expression of CD123 marks leukemic cells making it a target for therapeutic intervention. The interaction of IL3RA with FLT3 another tyrosine kinase is of particular interest in these disorders as both proteins contribute to the proliferation of malignant cells through related signaling pathways.

Product protocols

For this product, it's our understanding that no specific protocols are required. You can visit:

Target data

Cell surface receptor for IL3 expressed on hematopoietic progenitor cells, monocytes and B-lymphocytes that controls the production and differentiation of hematopoietic progenitor cells into lineage-restricted cells (PubMed : 10527461). Ligand stimulation rapidly induces hetrodimerization with IL3RB, phosphorylation and enzyme activity of effector proteins such as JAK2 and PI3K that play a role in signaling cell proliferation and differentiation. Activation of JAK2 leads to STAT5-mediated transcriptional program (By similarity).
See full target information IL3RA

Product promise

We are committed to supporting your work with high-quality reagents, and we're here for you every step of the way. In the unlikely event that one of our products does not perform as expected, you're protected by our Product Promise.
For full details, please see our Terms & Conditions

Associated Products

Select an associated product type
Alternative Version
Primary Antibodies

AB286815

Alexa Fluor® 594 Anti-IL3RA/CD123 antibody [EPR24481-20]

primary-antibodies

alexa-fluor-594-il3ra-cd123-antibody-epr24481-20-ab286815

0

(0 reviews)

Alternative Version
Primary Antibodies

AB281333

Alexa Fluor® 647 Anti-IL3RA/CD123 antibody [EPR24481-20]

primary-antibodies

alexa-fluor-647-il3ra-cd123-antibody-epr24481-20-ab281333

0

(0 reviews)

Please note: All products are 'FOR RESEARCH USE ONLY. NOT FOR USE IN DIAGNOSTIC OR THERAPEUTIC PROCEDURES'.

For licensing inquiries, please contact partnerships@abcam.com