JavaScript is disabled in your browser. Please enable JavaScript to view this website.
AB309489

Anti-ILF1 antibody [EPR27321-60]

  • BOND RX™ Validated
  • 20ul selling size
  • RabMAb
  • Recombinant
  • What is this?

Be the first to review this product! Submit a review

|

(1 Publication)

Rabbit Recombinant Monoclonal ILF1 antibody. Suitable for WB, IHC-P, ICC/IF, Flow Cyt (Intra) and reacts with Human samples. Cited in 1 publication.

View Alternative Names

ILF, ILF1, FOXK2, Forkhead box protein K2, G/T-mismatch specific binding protein, Interleukin enhancer-binding factor 1, nGTBP

7 Images
Immunohistochemistry (Formalin/PFA-fixed paraffin-embedded sections) - Anti-ILF1 antibody [EPR27321-60] (AB309489)
  • IHC-P

Supplier Data

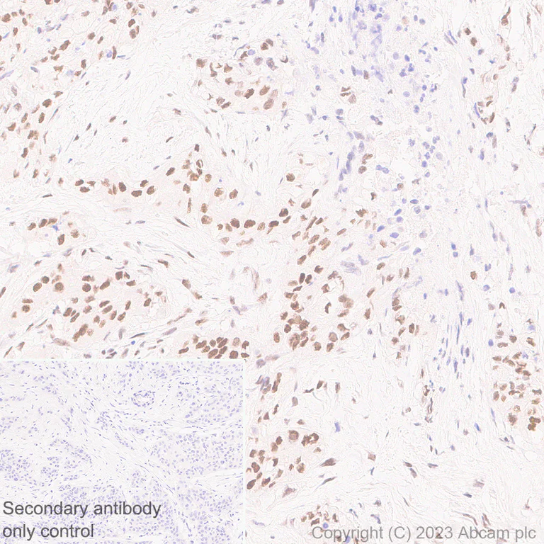
Immunohistochemistry (Formalin/PFA-fixed paraffin-embedded sections) - Anti-ILF1 antibody [EPR27321-60] (AB309489)

Immunohistochemical analysis of paraffin-embedded Human breast carcino tissue labeling ILF1 with ab309489 at 1/500 (0.944 ug/ml) followed by a ready to use LeicaDS9800 (Bond™ Polymer Refine Detection). Positive staining on human breast carcinoma (PMID : 27773593).The section was incubated with ab309489 for 30 mins at room temperature.The immunostaining was performed on a Leica Biosystems BOND® RX instrument Counterstained with Hematoxylin. Secondary antibody only control : Secondary antibody is a ready to use LeicaDS9800 (Bond™ Polymer Refine Detection). Heat mediated antigen retrieval was performed with Tris-EDTA buffer (pH 9.0, Epitope Retrieval Solution2) for 20 mins

Immunohistochemistry (Formalin/PFA-fixed paraffin-embedded sections) - Anti-ILF1 antibody [EPR27321-60] (AB309489)
  • IHC-P

Supplier Data

Immunohistochemistry (Formalin/PFA-fixed paraffin-embedded sections) - Anti-ILF1 antibody [EPR27321-60] (AB309489)

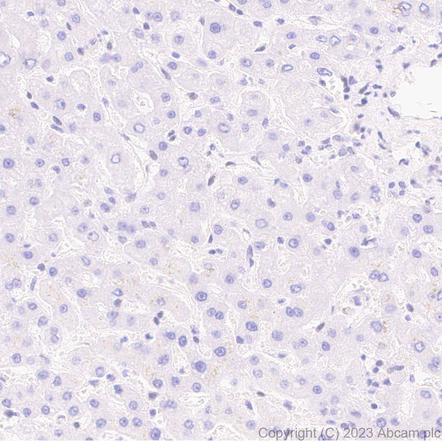
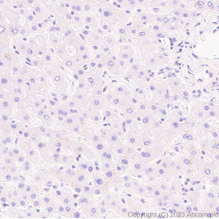
Immunohistochemical analysis of paraffin-embedded Human liver tissue labeling ILF1 with ab309489 at 1/500 (0.944 ug/ml) followed by a ready to use LeicaDS9800 (Bond™ Polymer Refine Detection). Low expression : almost no staining on human liver (PMID : 28506857).The section was incubated with ab309489 for 30 mins at room temperature.The immunostaining was performed on a Leica Biosystems BOND® RX instrument Counterstained with Hematoxylin. Secondary antibody only control : Secondary antibody is a ready to use LeicaDS9800 (Bond™ Polymer Refine Detection). Heat mediated antigen retrieval was performed with Tris-EDTA buffer (pH 9.0, Epitope Retrieval Solution2) for 20 mins

Immunohistochemistry (Formalin/PFA-fixed paraffin-embedded sections) - Anti-ILF1 antibody [EPR27321-60] (AB309489)
  • IHC-P

Supplier Data

Immunohistochemistry (Formalin/PFA-fixed paraffin-embedded sections) - Anti-ILF1 antibody [EPR27321-60] (AB309489)

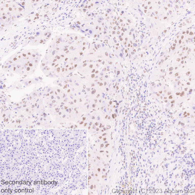
Immunohistochemical analysis of paraffin-embedded Human hepatocellular tissue labeling ILF1 with ab309489 at 1/500 (0.944 ug/ml) followed by a ready to use LeicaDS9800 (Bond™ Polymer Refine Detection). Positive staining on human hepatocellular carcinoma (PMID : 28506857).The section was incubated with ab309489 for 30 mins at room temperature. The immunostaining was performed on a Leica Biosystems BOND® RX instrument Counterstained with Hematoxylin. Secondary antibody only control : Secondary antibody is a ready to use LeicaDS9800 (Bond™ Polymer Refine Detection). Heat mediated antigen retrieval was performed with Tris-EDTA buffer (pH 9.0, Epitope Retrieval Solution2) for 20 mins

Immunohistochemistry (Formalin/PFA-fixed paraffin-embedded sections) - Anti-ILF1 antibody [EPR27321-60] (AB309489)
  • IHC-P

Supplier Data

Immunohistochemistry (Formalin/PFA-fixed paraffin-embedded sections) - Anti-ILF1 antibody [EPR27321-60] (AB309489)

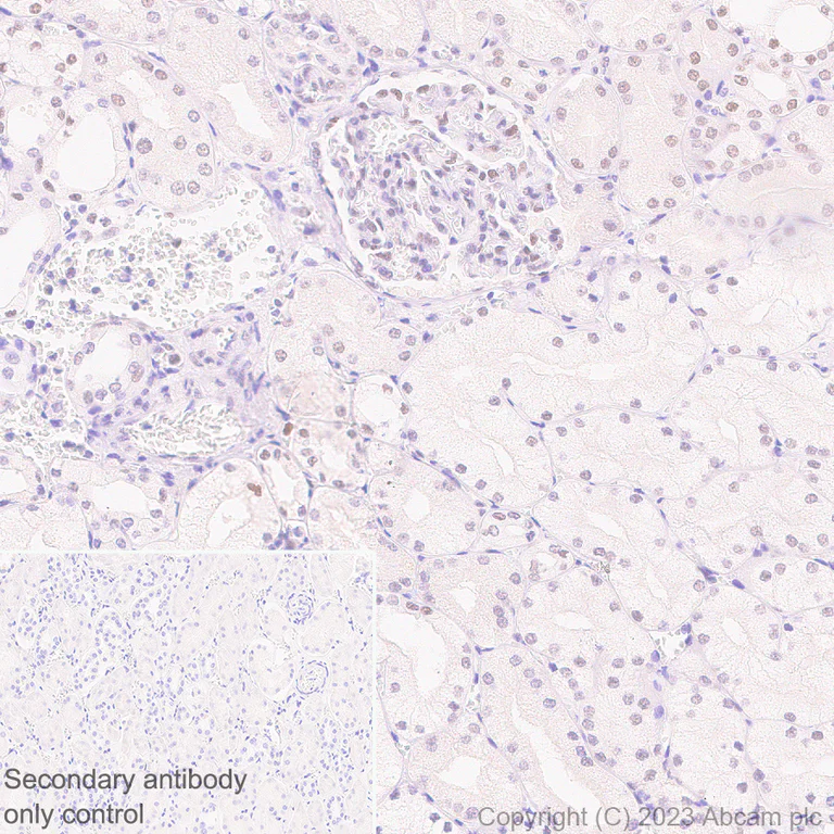
Immunohistochemical analysis of paraffin-embedded Human kidney tissue labeling ILF1 with ab309489 at 1/500 (0.944 ug/ml) followed by a ready to use LeicaDS9800 (Bond™ Polymer Refine Detection). Positive staining on human kidney (PMID : 29368368).The section was incubated with ab309489 for 30 mins at room temperature.The immunostaining was performed on a Leica Biosystems BOND® RX instrument Counterstained with Hematoxylin. Secondary antibody only control : Secondary antibody is a ready to use LeicaDS9800 (Bond™ Polymer Refine Detection). Heat mediated antigen retrieval was performed with Tris-EDTA buffer (pH 9.0, Epitope Retrieval Solution2) for 20 mins

Immunocytochemistry/ Immunofluorescence - Anti-ILF1 antibody [EPR27321-60] (AB309489)
  • ICC/IF

Supplier Data

Immunocytochemistry/ Immunofluorescence - Anti-ILF1 antibody [EPR27321-60] (AB309489)

Immunofluorescent analysis of 4% Paraformaldehyde-fixed, 0.1% TritonX-100 permeabilized 293T (human embryonic kidney epithelial cell) cells labelling ILF1 with ab309489 at 1/50 (9.44 ug/ml) dilution, followed by ab150081 Goat Anti-Rabbit IgG H&L (Alexa Fluor® 488) preadsorbed antibody at 1/1000 2 ug/ml dilution (Green). Confocal image showing mainly nuclear staining in 293T cell line. Image was taken with a confocal microscope(Leica-Microsystems, TCS SP8). is observed. ab195889 Anti-alpha Tubulin mouse monoclonal antibody - Microtubule Marker (Alexa Fluor® 594) was used to counterstain tubulin at 1/200 2.5ug/ml dilution (Red). The Nuclear counterstain was DAPI (Blue). Secondary antibody only control : Secondary antibody is ab150081 Goat Anti-Rabbit IgG H&L (Alexa Fluor® 488) preadsorbed at 1/1000 2 ug/ml dilution.

Flow Cytometry (Intracellular) - Anti-ILF1 antibody [EPR27321-60] (AB309489)
  • Flow Cyt (Intra)

Supplier Data

Flow Cytometry (Intracellular) - Anti-ILF1 antibody [EPR27321-60] (AB309489)

Flow cytometric analysis of 4% paraformaldehyde fixed 90% methanol permeabilized 293T (human embryonic kidney epithelial cell) cells labelling ILF1 with ab309489 at 1/50 dilution (1 ug)/Red (Red) compared with a Rabbit monoclonal IgG (ab172730) (Black) isotype control and an unlabelled control (cells without incubation with primary antibody and secondary antibody) (Blue). A Goat Anti-Rabbit IgG (Alexa Fluor® 488, ab150081) at 1/5000 dilution was used as the secondary antibody.

Western blot - Anti-ILF1 antibody [EPR27321-60] (AB309489)
  • WB

Lab

Western blot - Anti-ILF1 antibody [EPR27321-60] (AB309489)

Blocking and diluting buffer and concentration : 5% NFDM /TBST. ab181602 was used as a GAPDH loading control at a 1/1000000 dilution.

All lanes:

Western blot - Anti-ILF1 antibody [EPR27321-60] (ab309489) at 1/1000 dilution

Lane 1:

293T (Human embryonic kidney epithelial cell) whole cell lysate at 20 µg

Lane 2:

HeLa (Human cervix adenocarcinoma epithelial cell) whole cell lysate at 20 µg

Secondary

All lanes:

Western blot - Goat Anti-Rabbit IgG H&L (HRP) (<a href='/en-us/products/secondary-antibodies/goat-rabbit-igg-h-l-hrp-ab97051'>ab97051</a>) at 1/20000 dilution

Observed band size: 80 kDa

false

Exposure time: 40s

  • Carrier free

    Anti-ILF1 antibody [EPR27321-60] - BSA and Azide free

Key facts

Host species

Rabbit

Clonality

Monoclonal

Clone number

EPR27321-60

Isotype

IgG

Carrier free

No

Reacts with

Human

Applications

Flow Cyt (Intra), ICC/IF, WB, IHC-P

applications

Immunogen

The exact immunogen used to generate this antibody is proprietary information.

Reactivity data

{ "title": "Reactivity Data", "filters": { "stats": ["", "Species", "Dilution Info", "Notes"], "tabs": { "all-applications": {"fullname" : "All Applications", "shortname": "All Applications"}, "WB" : {"fullname" : "Western blot", "shortname":"WB"}, "IHCP" : {"fullname" : "Immunohistochemistry (Formalin/PFA-fixed paraffin-embedded sections)", "shortname":"IHC-P"}, "ICCIF" : {"fullname" : "Immunocytochemistry/ Immunofluorescence", "shortname":"ICC/IF"}, "FlowCytIntra" : {"fullname" : "Flow Cytometry (Intracellular)", "shortname":"Flow Cyt (Intra)"}, "IP" : {"fullname" : "Immunoprecipitation", "shortname":"IP"} }, "product-promise": { "all": "all", "testedAndGuaranteed": "tested", "guaranteed": "expected", "predicted": "predicted", "notRecommended": "not-recommended" } }, "values": { "Human": { "WB-species-checked": "testedAndGuaranteed", "WB-species-dilution-info": "1/1000", "WB-species-notes": "<p></p>", "IHCP-species-checked": "testedAndGuaranteed", "IHCP-species-dilution-info": "1/500", "IHCP-species-notes": "<p></p> Perform heat-mediated antigen retrieval with Tris/EDTA buffer pH 9.0 before commencing with IHC staining protocol.", "ICCIF-species-checked": "testedAndGuaranteed", "ICCIF-species-dilution-info": "1/50", "ICCIF-species-notes": "<p></p>", "FlowCytIntra-species-checked": "testedAndGuaranteed", "FlowCytIntra-species-dilution-info": "1/50", "FlowCytIntra-species-notes": "<p></p>", "IP-species-checked": "notRecommended", "IP-species-dilution-info": "", "IP-species-notes": "<p></p>" }, "Mouse": { "WB-species-checked": "notRecommended", "WB-species-dilution-info": "", "WB-species-notes": "<p></p>", "IHCP-species-checked": "notRecommended", "IHCP-species-dilution-info": "", "IHCP-species-notes": "<p></p> Perform heat-mediated antigen retrieval with Tris/EDTA buffer pH 9.0 before commencing with IHC staining protocol.", "ICCIF-species-checked": "notRecommended", "ICCIF-species-dilution-info": "", "ICCIF-species-notes": "<p></p>", "FlowCytIntra-species-checked": "notRecommended", "FlowCytIntra-species-dilution-info": "", "FlowCytIntra-species-notes": "<p></p>", "IP-species-checked": "notRecommended", "IP-species-dilution-info": "", "IP-species-notes": "<p></p>" }, "Rat": { "WB-species-checked": "notRecommended", "WB-species-dilution-info": "", "WB-species-notes": "<p></p>", "IHCP-species-checked": "notRecommended", "IHCP-species-dilution-info": "", "IHCP-species-notes": "<p></p> Perform heat-mediated antigen retrieval with Tris/EDTA buffer pH 9.0 before commencing with IHC staining protocol.", "ICCIF-species-checked": "notRecommended", "ICCIF-species-dilution-info": "", "ICCIF-species-notes": "", "FlowCytIntra-species-checked": "notRecommended", "FlowCytIntra-species-dilution-info": "", "FlowCytIntra-species-notes": "", "IP-species-checked": "notRecommended", "IP-species-dilution-info": "", "IP-species-notes": "" } } }

Product details

Patented technology
Our RabMAb® technology is a patented hybridoma-based technology for making rabbit monoclonal antibodies. For details on our patents, please refer to RabMAb® patents.

What are the advantages of a recombinant monoclonal antibody?
This product is a recombinant monoclonal antibody, which offers several advantages including:

  • - High batch-to-batch consistency and reproducibility
  • - Improved sensitivity and specificity
  • - Long-term security of supply
  • - Animal-free batch production

For more information, read more on recombinant antibodies.

Properties and storage information

Form
Liquid
Purification technique
Affinity purification Protein A
Storage buffer
pH: 7.2 - 7.4 Preservative: 0.01% Sodium azide Constituents: PBS, 40% Glycerol (glycerin, glycerine), 0.05% BSA
Shipped at conditions
Blue Ice
Appropriate short-term storage duration
1-2 weeks
Appropriate short-term storage conditions
+4°C
Appropriate long-term storage conditions
-20°C
Aliquoting information
Upon delivery aliquot
Storage information
Avoid freeze / thaw cycle

Supplementary information

This supplementary information is collated from multiple sources and compiled automatically.

The protein Interleukin Enhancer Binding Factor 1 (ILF1) also known as Nuclear Factor of Activated T-cells 90 (NF90) plays an essential role in the regulation of gene expression. ILF1 has a mass of approximately 90 kDa (kilodaltons) and is ubiquitously expressed in various tissues including the spleen and the thymus. The protein consists of two distinct ribonucleoprotein (RNP) motifs that allow it to bind RNA sequences effectively making it an important factor in controlling mRNA stability and transport.
Biological function summary

ILF1 influences several cellular processes related to RNA dynamics by engaging in RNA splicing export and translation regulation. It doesn't function alone but rather forms complexes with other proteins such as the nuclear factor 45 (NF45). Through these interactions ILF1 contributes actively to cellular stress responses influencing protein synthesis under stress conditions and aiding in regulating cytokine production.

Pathways

ILF1 intricately integrates into cellular pathways like the NF-κB signaling pathway and the T-cell receptor signaling pathway. In these contexts it interacts with proteins such as IκB kinase (IKK) and T-cell receptor-associated proteins playing a part in transcriptional regulation and immune response modulation. ILF1's involvement in these pathways highlights its importance in cellular adaptation and survival in response to external stressors and pathogens.

ILF1 is associated with conditions such as viral infections and cancer. In viral infections the protein interacts with viral RNAs impacting viral replication and host cell responses. In cancer ILF1's aberrant regulation could promote tumor progression by affecting cell proliferation and apoptosis pathways as seen in its relationship with proteins like p53 and Bcl-2. As a potential biomarker and therapeutic target understanding ILF1's pathological connections could improve diagnostic and treatment strategies for these diseases.

Product protocols

For this product, it's our understanding that no specific protocols are required. You can visit:

Target data

Transcriptional regulator involved in different processes such as glucose metabolism, aerobic glycolysis and autophagy (By similarity). Recognizes and binds the forkhead DNA sequence motif (5'-GTAAACA-3') and can both act as a transcription activator or repressor, depending on the context (PubMed : 22083952, PubMed : 25451922). Together with FOXK1, acts as a key regulator of metabolic reprogramming towards aerobic glycolysis, a process in which glucose is converted to lactate in the presence of oxygen (By similarity). Acts by promoting expression of enzymes for glycolysis (such as hexokinase-2 (HK2), phosphofructokinase, pyruvate kinase (PKLR) and lactate dehydrogenase), while suppressing further oxidation of pyruvate in the mitochondria by up-regulating pyruvate dehydrogenase kinases PDK1 and PDK4 (By similarity). Probably plays a role in gluconeogenesis during overnight fasting, when lactate from white adipose tissue and muscle is the main substrate (By similarity). Together with FOXK1, acts as a negative regulator of autophagy in skeletal muscle : in response to starvation, enters the nucleus, binds the promoters of autophagy genes and represses their expression, preventing proteolysis of skeletal muscle proteins (By similarity). In addition to the 5'-GTAAACA-3' DNA motif, also binds the 5'-TGANTCA-3' palindromic DNA motif, and co-associates with JUN/AP-1 to activate transcription (PubMed : 22083952). Also able to bind to a minimal DNA heteroduplex containing a G/T-mismatch with 5'-TRT[G/T]NB-3' sequence (PubMed : 20097901). Binds to NFAT-like motifs (purine-rich) in the IL2 promoter (PubMed : 1339390). Positively regulates WNT/beta-catenin signaling by translocating DVL proteins into the nucleus (PubMed : 25805136). Also binds to HIV-1 long terminal repeat. May be involved in both positive and negative regulation of important viral and cellular promoter elements (PubMed : 1909027). Accessory component of the polycomb repressive deubiquitinase (PR-DUB) complex; recruits the PR-DUB complex to specific FOXK2-bound genes (PubMed : 24634419, PubMed : 30664650).
See full target information FOXK2

Publications (1)

Recent publications for all applications. Explore the full list and refine your search

Journal of food and drug analysis 33:172-178 PubMed40592335

2025

Yiqi Yangyin Tongluo prescription targets lncRNA VIM-AS1 to regulate FOXK2/mTOR to promote autophagy and inhibit renal tubular epithelial cell apoptosis.

Applications

Unspecified application

Species

Unspecified reactive species

Rucui Yu,Ruiying Wu,Tingting Chen,Jingwei Xu
View all publications

Product promise

We are committed to supporting your work with high-quality reagents, and we're here for you every step of the way. In the unlikely event that one of our products does not perform as expected, you're protected by our Product Promise.
For full details, please see our Terms & Conditions

Please note: All products are 'FOR RESEARCH USE ONLY. NOT FOR USE IN DIAGNOSTIC OR THERAPEUTIC PROCEDURES'.

For licensing inquiries, please contact partnerships@abcam.com