JavaScript is disabled in your browser. Please enable JavaScript to view this website.
AB249069

Anti-ILF2/NF45 antibody [EPR10694(B)] - BSA and Azide free

Be the first to review this product! Submit a review

|

(1 Publication)

Rabbit Recombinant Monoclonal ILF2/NF45 antibody. Carrier free. Suitable for IHC-P, WB and reacts with Human samples. Cited in 1 publication.

View Alternative Names

NF45, PRO3063, ILF2, Interleukin enhancer-binding factor 2, Nuclear factor of activated T-cells 45 kDa

7 Images
Immunohistochemistry (Formalin/PFA-fixed paraffin-embedded sections) - Anti-ILF2/NF45 antibody [EPR10694(B)] - BSA and Azide free (AB249069)
  • IHC-P

Unknown

Immunohistochemistry (Formalin/PFA-fixed paraffin-embedded sections) - Anti-ILF2/NF45 antibody [EPR10694(B)] - BSA and Azide free (AB249069)

This data was developed using ab154169, the same antibody clone in a different buffer formulation.

Immunohistochemical analysis of paraffin embedded Human normal stomach tissue using ab154169 showing +ve staining.

Perform heat mediated antigen retrieval before commencing with IHC staining protocol.

Immunohistochemistry (Formalin/PFA-fixed paraffin-embedded sections) - Anti-ILF2/NF45 antibody [EPR10694(B)] - BSA and Azide free (AB249069)
  • IHC-P

Unknown

Immunohistochemistry (Formalin/PFA-fixed paraffin-embedded sections) - Anti-ILF2/NF45 antibody [EPR10694(B)] - BSA and Azide free (AB249069)

This data was developed using ab154169, the same antibody clone in a different buffer formulation.

Immunohistochemical analysis of paraffin embedded Human normal tonsil tissue using ab154169 showing +ve staining.

Perform heat mediated antigen retrieval before commencing with IHC staining protocol.

Immunohistochemistry (Formalin/PFA-fixed paraffin-embedded sections) - Anti-ILF2/NF45 antibody [EPR10694(B)] - BSA and Azide free (AB249069)
  • IHC-P

Unknown

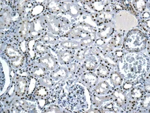
Immunohistochemistry (Formalin/PFA-fixed paraffin-embedded sections) - Anti-ILF2/NF45 antibody [EPR10694(B)] - BSA and Azide free (AB249069)

This data was developed using ab154169, the same antibody clone in a different buffer formulation.

Immunohistochemical analysis of paraffin-embedded Human kidney tissue labeling ILF2/NF45 with ab154169 at 1/100 dilution.

Perform heat mediated antigen retrieval before commencing with IHC staining protocol.

Immunohistochemistry (Formalin/PFA-fixed paraffin-embedded sections) - Anti-ILF2/NF45 antibody [EPR10694(B)] - BSA and Azide free (AB249069)
  • IHC-P

Unknown

Immunohistochemistry (Formalin/PFA-fixed paraffin-embedded sections) - Anti-ILF2/NF45 antibody [EPR10694(B)] - BSA and Azide free (AB249069)

This data was developed using ab154169, the same antibody clone in a different buffer formulation.

Immunohistochemical analysis of paraffin embedded Human normal uterus tissue using ab154169 showing +ve staining.

Perform heat mediated antigen retrieval before commencing with IHC staining protocol.

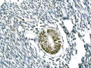
Immunohistochemistry (Formalin/PFA-fixed paraffin-embedded sections) - Anti-ILF2/NF45 antibody [EPR10694(B)] - BSA and Azide free (AB249069)
  • IHC-P

Supplier Data

Immunohistochemistry (Formalin/PFA-fixed paraffin-embedded sections) - Anti-ILF2/NF45 antibody [EPR10694(B)] - BSA and Azide free (AB249069)

This data was developed using ab154169, the same antibody clone in a different buffer formulation.

Immunohistochemical analysis of paraffin-embedded Human colon tissue labeling ILF2/NF45 with ab154169 at 1/100 dilution.

Perform heat mediated antigen retrieval before commencing with IHC staining protocol.

Immunohistochemistry (Formalin/PFA-fixed paraffin-embedded sections) - Anti-ILF2/NF45 antibody [EPR10694(B)] - BSA and Azide free (AB249069)
  • IHC-P

Unknown

Immunohistochemistry (Formalin/PFA-fixed paraffin-embedded sections) - Anti-ILF2/NF45 antibody [EPR10694(B)] - BSA and Azide free (AB249069)

This data was developed using ab154169, the same antibody clone in a different buffer formulation.

Immunohistochemical analysis of paraffin embedded Human normal tetis tissue using ab154169 showing +ve staining.

Perform heat mediated antigen retrieval before commencing with IHC staining protocol.

Western blot - Anti-ILF2/NF45 antibody [EPR10694(B)] - BSA and Azide free (AB249069)
  • WB

Unknown

Western blot - Anti-ILF2/NF45 antibody [EPR10694(B)] - BSA and Azide free (AB249069)

This data was developed using ab154169, the same antibody clone in a different buffer formulation.

All lanes:

Western blot - Anti-ILF2/NF45 antibody [EPR10694(B)] (<a href='/en-us/products/primary-antibodies/ilf2-nf45-antibody-epr10694b-ab154169'>ab154169</a>) at 1/1000 dilution

Lane 1:

HeLa cell lysates at 10 µg

Lane 2:

HepG2 cell lysates at 10 µg

Lane 3:

Jurkat cell lysates at 10 µg

Lane 4:

K562 cell lysates at 10 µg

Secondary

All lanes:

Goat anti-rabbit HRP at 1/2000 dilution

Predicted band size: 43 kDa

false

Key facts

Host species

Rabbit

Clonality

Monoclonal

Clone number

EPR10694(B)

Isotype

IgG

Carrier free

Yes

Reacts with

Human

Applications

IHC-P, WB

applications

Immunogen

The exact immunogen used to generate this antibody is proprietary information.

Reactivity data

{ "title": "Reactivity Data", "filters": { "stats": ["", "Species", "Dilution Info", "Notes"], "tabs": { "all-applications": {"fullname" : "All Applications", "shortname": "All Applications"}, "IHCP" : {"fullname" : "Immunohistochemistry (Formalin/PFA-fixed paraffin-embedded sections)", "shortname":"IHC-P"}, "IP" : {"fullname" : "Immunoprecipitation", "shortname":"IP"}, "FlowCyt" : {"fullname" : "Flow Cytometry", "shortname":"Flow Cyt"}, "WB" : {"fullname" : "Western blot", "shortname":"WB"} }, "product-promise": { "all": "all", "testedAndGuaranteed": "tested", "guaranteed": "expected", "predicted": "predicted", "notRecommended": "not-recommended" } }, "values": { "Human": { "IHCP-species-checked": "testedAndGuaranteed", "IHCP-species-dilution-info": "", "IHCP-species-notes": "<p></p>", "IP-species-checked": "notRecommended", "IP-species-dilution-info": "", "IP-species-notes": "<p></p>", "FlowCyt-species-checked": "notRecommended", "FlowCyt-species-dilution-info": "", "FlowCyt-species-notes": "<p></p>", "WB-species-checked": "testedAndGuaranteed", "WB-species-dilution-info": "", "WB-species-notes": "<p></p>" }, "Mouse": { "IHCP-species-checked": "predicted", "IHCP-species-dilution-info": "", "IHCP-species-notes": "", "IP-species-checked": "notRecommended", "IP-species-dilution-info": "", "IP-species-notes": "", "FlowCyt-species-checked": "notRecommended", "FlowCyt-species-dilution-info": "", "FlowCyt-species-notes": "", "WB-species-checked": "predicted", "WB-species-dilution-info": "", "WB-species-notes": "" }, "Rat": { "IHCP-species-checked": "predicted", "IHCP-species-dilution-info": "", "IHCP-species-notes": "", "IP-species-checked": "notRecommended", "IP-species-dilution-info": "", "IP-species-notes": "", "FlowCyt-species-checked": "notRecommended", "FlowCyt-species-dilution-info": "", "FlowCyt-species-notes": "", "WB-species-checked": "predicted", "WB-species-dilution-info": "", "WB-species-notes": "" } } }

Product details

ab249069 is the carrier-free version of ab154169.

Patented technology
Our RabMAb® technology is a patented hybridoma-based technology for making rabbit monoclonal antibodies. For details on our patents, please refer to RabMAb® patents.

What are the advantages of a recombinant monoclonal antibody?
This product is a recombinant monoclonal antibody, which offers several advantages including:

  • - High batch-to-batch consistency and reproducibility
  • - Improved sensitivity and specificity
  • - Long-term security of supply
  • - Animal-free batch production

For more information, read more on recombinant antibodies.

Conjugation ready
Our carrier-free antibodies are typically supplied in a PBS-only formulation, purified and free of BSA, sodium azide and glycerol. This conjugation-ready format is designed for use with fluorochromes, metal isotopes, oligonucleotides, and enzymes, which makes them ideal for antibody labelling, functional and cell-based assays, flow-based assays (e.g. mass cytometry) and Multiplex Imaging applications.

Use our conjugation kits for antibody conjugates that are ready-to-use in as little as 20 minutes with 1 minute hands-on-time and 100% antibody recovery: available for fluorescent dyes, HRP, biotin and gold.

Compatibility
This product is compatible with the Maxpar® Antibody Labeling Kit from Fluidigm, without the need for antibody preparation. Maxpar® is a trademark of Fluidigm Canada Inc.

Properties and storage information

Form
Liquid
Purification technique
Affinity purification
Storage buffer
pH: 7.2 - 7.4 Constituents: PBS
Shipped at conditions
Blue Ice
Appropriate short-term storage conditions
+4°C
Appropriate long-term storage conditions
+4°C
Storage information
Do Not Freeze

Supplementary information

This supplementary information is collated from multiple sources and compiled automatically.

ILF2 also known as NF45 is a protein with a mass of approximately 45 kDa. It plays a mechanical role in regulating gene expression at the post-transcriptional level. ILF2/NF45 achieves this by binding to RNA and other regulatory proteins impacting RNA processing and stability. ILF2 is broadly expressed in various tissues with higher expression levels in cells that undergo rapid division such as immune cells and cancerous cells. The protein's interaction with RNA implicates it in important cellular processes that demand accurate RNA handling.
Biological function summary

ILF2/NF45 contributes to the formation of a multiprotein complex essential for modulating nuclear events. It is a significant participant in the Ilf2/Ilf3 complex where it cooperates with NF90 (also known as ILF3) to affect RNA dynamics. This complex manages processes like RNA transport and stabilization highlighting its role in regulating cellular responses under stressful situations. The presence of ILF2/NF45 in this complex suggests its involvement in essential cellular survival mechanisms providing stability to various RNA species within the cell.

Pathways

ILF2/NF45 integrates into cellular signaling through influences on immune response pathways and the cell cycle regulation. It has connections with proteins like NF90 impacting the transcriptional pathways that influence immune cell function and activity. This involvement permits ILF2/NF45 to regulate pathways such as those mediated by NF-κB where transcriptional control of inflammatory responses is critical. The integration into these pathways underlines its substantial role in maintaining cellular homeostasis.

ILF2/NF45 has links to conditions including cancer and autoimmune diseases. It is often overexpressed in various cancers playing a role in tumor progression and metastasis by modulating cell cycle-related mRNA turnover. NF90 frequently partners with ILF2/NF45 in these diseases reflecting a shared pathway influencing the development of malignancies and potentially autoimmune conditions. Understanding these interactions offers potential therapeutic targets as modulation of ILF2/NF45 and its associated complexes could alter disease outcomes.

Product protocols

For this product, it's our understanding that no specific protocols are required. You can visit:

Target data

Chromatin-interacting protein that forms a stable heterodimer with interleukin enhancer-binding factor 3/ILF3 and plays a role in several biological processes including transcription, innate immunity or cell growth (PubMed : 18458058, PubMed : 31212927). Essential for the efficient reshuttling of ILF3 (isoform 1 and isoform 2) into the nucleus. Together with ILF3, forms an RNA-binding complex that is required for mitotic progression and cytokinesis by regulating the expression of a cluster of mitotic genes. Mechanistically, competes with STAU1/STAU2-mediated mRNA decay (PubMed : 32433969). Also plays a role in the inhibition of various viruses including Japanese encephalitis virus or enterovirus 71.. (Microbial infection) Plays a positive role in HIV-1 virus production by binding to and thereby stabilizing HIV-1 RNA, together with ILF3.
See full target information ILF2

Publications (1)

Recent publications for all applications. Explore the full list and refine your search

Developmental cell 60:2744-2760.e9 PubMed40460835

2025

ATG9A and ARFIP2 cooperate to control PI4P levels for lysosomal repair.

Applications

Unspecified application

Species

Unspecified reactive species

Stefano De Tito,Eugenia Almacellas,Daniel Dai Yu,Emily Millard,Wenxin Zhang,Cecilia de Heus,Christophe Queval,Javier H Hervás,Enrica Pellegrino,Ioanna Panagi,Ditte Fogde,Teresa L M Thurston,Judith Klumperman,Maximiliano Gutierrez,Sharon A Tooze
View all publications

Product promise

We are committed to supporting your work with high-quality reagents, and we're here for you every step of the way. In the unlikely event that one of our products does not perform as expected, you're protected by our Product Promise.
For full details, please see our Terms & Conditions

Please note: All products are 'FOR RESEARCH USE ONLY. NOT FOR USE IN DIAGNOSTIC OR THERAPEUTIC PROCEDURES'.

For licensing inquiries, please contact partnerships@abcam.com