JavaScript is disabled in your browser. Please enable JavaScript to view this website.
AB248492

Anti-ILF3 antibody [EPR3627] - BSA and Azide free

Be the first to review this product! Submit a review

|

(1 Publication)

Rabbit Recombinant Monoclonal ILF3 antibody. Carrier free. Suitable for IHC-P, ICC/IF, WB, Flow Cyt (Intra) and reacts with Human samples. Cited in 1 publication.

View Alternative Names

DRBF, MPHOSPH4, NF90, ILF3, Interleukin enhancer-binding factor 3, Double-stranded RNA-binding protein 76, M-phase phosphoprotein 4, Nuclear factor associated with dsRNA, Nuclear factor of activated T-cells 90 kDa, Translational control protein 80, DRBP76, MPP4, NFAR, NF-AT-90, TCP80

5 Images
Immunocytochemistry/ Immunofluorescence - Anti-ILF3 antibody [EPR3627] - BSA and Azide free (AB248492)
  • ICC/IF

Lab

Immunocytochemistry/ Immunofluorescence - Anti-ILF3 antibody [EPR3627] - BSA and Azide free (AB248492)

This data was developed using ab133354, the same antibody clone in a different buffer formulation.
Immunocytochemistry analysis of A431 (Human epidermoid carcinoma epithelial cell) cells labeling ILF3 with Purified ab133354 at 1/50 dilution (2.6 µg/mL). Cells were fixed in 4% Paraformaldehyde and permeabilized with 0.1% tritonX-100. Cells were counterstained with ab195889 Anti-alpha Tubulin antibody [DM1A] - Microtubule Marker (Alexa Fluor® 594) 1/200 dilution (2.5 µg/mL). Goat anti rabbit IgG (Alexa Fluor® 488, ab150077) was used as the secondary antibody at 1/1000 dilution (2 µg/mL). DAPI (blue) was used as nuclear counterstain. PBS instead of the primary antibody was used as the secondary antibody only control.

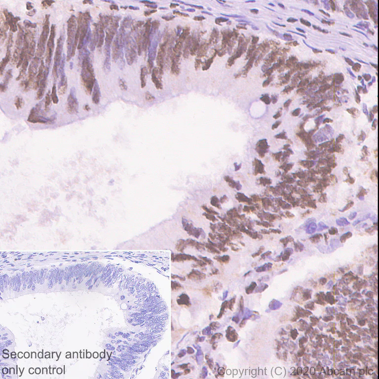
Immunohistochemistry (Formalin/PFA-fixed paraffin-embedded sections) - Anti-ILF3 antibody [EPR3627] - BSA and Azide free (AB248492)
  • IHC-P

Lab

Immunohistochemistry (Formalin/PFA-fixed paraffin-embedded sections) - Anti-ILF3 antibody [EPR3627] - BSA and Azide free (AB248492)

This data was developed using ab133354, the same antibody clone in a different buffer formulation.
Immunohistochemistry (Formalin/PFA-fixed paraffin-embedded sections) analysis of human colon cancer tissue sections labeling ILF3 with Purified ab133354 at 1/6000 dilution (0.09 µg/mL). Heat mediated antigen retrieval using Bond™ Epitope Retrieval Solution 2 (pH 9.0). Rabbit specific IHC polymer detection kit HRP/DAB (ab209101) was used as the secondary antibody. Negative control : PBS instead of the primary antibody. Hematoxylin was used as a counterstain.

Flow Cytometry (Intracellular) - Anti-ILF3 antibody [EPR3627] - BSA and Azide free (AB248492)
  • Flow Cyt (Intra)

Lab

Flow Cytometry (Intracellular) - Anti-ILF3 antibody [EPR3627] - BSA and Azide free (AB248492)

This data was developed using ab133354, the same antibody clone in a different buffer formulation. Intracellular Flow Cytometry analysis of HeLa (Human cervix adenocarcinoma epithelial cell) cells labeling ILF3 with Purified ab133354 at 1/50 dilution (10 μg/mL) (Red). Cells were fixed with 4% Paraformaldehyde and permeabilised with 90% Methanol. A Goat anti rabbit IgG (Alexa Fluor® 488, ab150077) secondary antibody was used at 1/2000. Isotype control - Rabbit monoclonal IgG (Black). Unlabeled control - Cell without incubation with primary antibody and secondary antibody (Blue).

Western blot - Anti-ILF3 antibody [EPR3627] - BSA and Azide free (AB248492)
  • WB

Unknown

Western blot - Anti-ILF3 antibody [EPR3627] - BSA and Azide free (AB248492)

This data was developed using ab133354, the same antibody clone in a different buffer formulation.

ab133354 recognizes only NF110 isoform of ILF3.

All lanes:

Western blot - Anti-ILF3 antibody [EPR3627] (<a href='/en-us/products/primary-antibodies/ilf3-antibody-epr3627-ab133354'>ab133354</a>) at 1/20000 dilution

Lane 1:

K-562 (Human chronic myelogenous leukemia lymphoblast) whole cell lysate at 15 µg

Lane 2:

Raji (Human Burkitt's lymphoma B lymphocyte) whole cell lysate at 15 µg

Secondary

All lanes:

Western blot - Goat Anti-Rabbit IgG H&L (HRP) (<a href='/en-us/products/secondary-antibodies/goat-rabbit-igg-h-l-hrp-ab97051'>ab97051</a>) at 1/20000 dilution

Predicted band size: 14 kDa,63 kDa,95 kDa

Observed band size: 110 kDa,30 kDa,63 kDa,65 kDa

false

Western blot - Anti-ILF3 antibody [EPR3627] - BSA and Azide free (AB248492)
  • WB

Unknown

Western blot - Anti-ILF3 antibody [EPR3627] - BSA and Azide free (AB248492)

This data was developed using ab133354, the same antibody clone in a different buffer formulation.

ab133354 recognizes only NF110 isoform of ILF3.

All lanes:

Western blot - Anti-ILF3 antibody [EPR3627] (<a href='/en-us/products/primary-antibodies/ilf3-antibody-epr3627-ab133354'>ab133354</a>) at 1/2000 dilution

Lane 1:

HeLa (Human cervix adenocarcinoma epithelial cell) whole cell lysate at 20 µg

Lane 2:

A431 (Human epidermoid carcinoma epithelial cell) whole cell lysate at 20 µg

Secondary

All lanes:

Western blot - Goat Anti-Rabbit IgG H&L (HRP) (<a href='/en-us/products/secondary-antibodies/goat-rabbit-igg-h-l-hrp-ab97051'>ab97051</a>) at 1/20000 dilution

Predicted band size: 95 kDa

Observed band size: 110 kDa

false

Key facts

Host species

Rabbit

Clonality

Monoclonal

Clone number

EPR3627

Isotype

IgG

Carrier free

Yes

Reacts with

Human

Applications

IHC-P, Flow Cyt (Intra), WB, ICC/IF

applications

Immunogen

The exact immunogen used to generate this antibody is proprietary information.

Reactivity data

{ "title": "Reactivity Data", "filters": { "stats": ["", "Species", "Dilution Info", "Notes"], "tabs": { "all-applications": {"fullname" : "All Applications", "shortname": "All Applications"}, "IHCP" : {"fullname" : "Immunohistochemistry (Formalin/PFA-fixed paraffin-embedded sections)", "shortname":"IHC-P"}, "ICCIF" : {"fullname" : "Immunocytochemistry/ Immunofluorescence", "shortname":"ICC/IF"}, "WB" : {"fullname" : "Western blot", "shortname":"WB"}, "FlowCytIntra" : {"fullname" : "Flow Cytometry (Intracellular)", "shortname":"Flow Cyt (Intra)"} }, "product-promise": { "all": "all", "testedAndGuaranteed": "tested", "guaranteed": "expected", "predicted": "predicted", "notRecommended": "not-recommended" } }, "values": { "Human": { "IHCP-species-checked": "testedAndGuaranteed", "IHCP-species-dilution-info": "", "IHCP-species-notes": "<p></p>", "ICCIF-species-checked": "testedAndGuaranteed", "ICCIF-species-dilution-info": "", "ICCIF-species-notes": "<p></p>", "WB-species-checked": "testedAndGuaranteed", "WB-species-dilution-info": "", "WB-species-notes": "<p></p>", "FlowCytIntra-species-checked": "testedAndGuaranteed", "FlowCytIntra-species-dilution-info": "", "FlowCytIntra-species-notes": "<p></p>" } } }

Product details

ab248492 is the carrier-free version of ab133354.

Species reactivity
Mouse, Rat: We have preliminary internal testing data to indicate this antibody may not react with these species.
Please contact us for more information.

Patented technology
Our RabMAb® technology is a patented hybridoma-based technology for making rabbit monoclonal antibodies. For details on our patents, please refer to RabMAb® patents.

What are the advantages of a recombinant monoclonal antibody?
This product is a recombinant monoclonal antibody, which offers several advantages including:

  • - High batch-to-batch consistency and reproducibility
  • - Improved sensitivity and specificity
  • - Long-term security of supply
  • - Animal-free batch production

For more information, read more on recombinant antibodies.

Conjugation ready
Our carrier-free antibodies are typically supplied in a PBS-only formulation, purified and free of BSA, sodium azide and glycerol. This conjugation-ready format is designed for use with fluorochromes, metal isotopes, oligonucleotides, and enzymes, which makes them ideal for antibody labelling, functional and cell-based assays, flow-based assays (e.g. mass cytometry) and Multiplex Imaging applications.

Use our conjugation kits for antibody conjugates that are ready-to-use in as little as 20 minutes with 1 minute hands-on-time and 100% antibody recovery: available for fluorescent dyes, HRP, biotin and gold.

Compatibility
This product is compatible with the Maxpar® Antibody Labeling Kit from Fluidigm, without the need for antibody preparation. Maxpar® is a trademark of Fluidigm Canada Inc.

Properties and storage information

Form
Liquid
Purification technique
Affinity purification Protein A
Storage buffer
pH: 7.2 - 7.4 Constituents: PBS
Shipped at conditions
Blue Ice
Appropriate short-term storage conditions
+4°C
Appropriate long-term storage conditions
+4°C
Storage information
Do Not Freeze

Supplementary information

This supplementary information is collated from multiple sources and compiled automatically.

The ILF3 protein also known as Interleukin enhancer-binding factor 3 plays an important role in cellular mechanisms. It has a molecular mass of approximately 90 kDa and is expressed broadly in various tissues such as the liver kidney and spleen. ILF3 is part of the double-stranded RNA-binding proteins and it engages in regulating RNA metabolism processes. Scientists also refer to ILF3 as NF90 and it is known for its function in modulating gene expression by interacting with RNA.
Biological function summary

ILF3 interacts with RNA and proteins within the cell to control the stability and translation of mRNA. It acts as a component of various ribonucleoprotein complexes indicating its role in post-transcriptional regulation. ILF3 can bind to double-stranded RNA and single-stranded RNA motifs affecting the proliferation and differentiation of cells in which it is expressed. It also contributes significantly in cellular stress responses impacting how cells respond to environmental changes.

Pathways

ILF3 is involved in important cellular pathways such as RNA processing and antiviral defense mechanisms. In the RNA processing pathway ILF3 associates with proteins such as Drosha impacting microRNA biogenesis. Additionally in antiviral responses it identifies and binds viral RNAs initiating defensive cellular responses. These pathways position ILF3 as integral to maintaining cellular homeostasis during stress and infection.

ILF3 has connections to cancer and viral infections. Aberrations in ILF3 expression or function are observed in certain cancers where it influences tumor progression by interacting with oncogenic pathways. In viral infections like those caused by hepatitis C virus ILF3 contributes to host defense by modulating immune responses. It interacts with proteins like RIG-I in the context of viral infections facilitating antiviral signaling pathways to control disease progression.

Product protocols

For this product, it's our understanding that no specific protocols are required. You can visit:

Target data

RNA-binding protein that plays an essential role in the biogenesis of circular RNAs (circRNAs) which are produced by back-splicing circularization of pre-mRNAs. Within the nucleus, promotes circRNAs processing by stabilizing the regulatory elements residing in the flanking introns of the circularized exons. Plays thereby a role in the back-splicing of a subset of circRNAs (PubMed : 28625552). As a consequence, participates in a wide range of transcriptional and post-transcriptional processes. Binds to poly-U elements and AU-rich elements (AREs) in the 3'-UTR of target mRNAs (PubMed : 14731398). Upon viral infection, ILF3 accumulates in the cytoplasm and participates in the innate antiviral response (PubMed : 21123651, PubMed : 34110282). Mechanistically, ILF3 becomes phosphorylated and activated by the double-stranded RNA-activated protein kinase/PKR which releases ILF3 from cellular mature circRNAs. In turn, unbound ILF3 molecules are able to interact with and thus inhibit viral mRNAs (PubMed : 21123651, PubMed : 28625552).. (Microbial infection) Plays a positive role in HIV-1 virus production by binding to and thereby stabilizing HIV-1 RNA, together with ILF3.
See full target information ILF3

Publications (1)

Recent publications for all applications. Explore the full list and refine your search

Oncology letters 24:457 PubMed36380881

2022

Suppressive effect of YY1-mediated RGS22 regulation on the proliferation, migration and invasion of pancreatic ductal adenocarcinoma.

Applications

Unspecified application

Species

Unspecified reactive species

Shou-Ji Cao,Wan-Li Ge,Ling-Dong Meng,Qun Chen,Yi Miao,Kui-Rong Jiang,Jing-Jing Zhang
View all publications

Product promise

We are committed to supporting your work with high-quality reagents, and we're here for you every step of the way. In the unlikely event that one of our products does not perform as expected, you're protected by our Product Promise.
For full details, please see our Terms & Conditions

Please note: All products are 'FOR RESEARCH USE ONLY. NOT FOR USE IN DIAGNOSTIC OR THERAPEUTIC PROCEDURES'.

For licensing inquiries, please contact partnerships@abcam.com