JavaScript is disabled in your browser. Please enable JavaScript to view this website.
AB250113

Anti-IMP3 antibody [EPR12021-114] - BSA and Azide free

  • BOND RX™ Validated
  • RabMAb
  • Recombinant
  • KO Validated
  • What is this?

Be the first to review this product! Submit a review

|

(1 Publication)

Rabbit Recombinant Monoclonal IMP3 antibody. Carrier free. Suitable for WB, IHC-P and reacts with Human samples. Cited in 1 publication.

View Alternative Names

IMP3, KOC1, VICKZ3, IGF2BP3, Insulin-like growth factor 2 mRNA-binding protein 3, IGF2 mRNA-binding protein 3, IMP-3, IGF-II mRNA-binding protein 3, KH domain-containing protein overexpressed in cancer, VICKZ family member 3, hKOC

8 Images
Immunohistochemistry (Formalin/PFA-fixed paraffin-embedded sections) - Anti-IMP3 antibody [EPR12021-114] - BSA and Azide free (AB250113)
  • IHC-P

Lab

Immunohistochemistry (Formalin/PFA-fixed paraffin-embedded sections) - Anti-IMP3 antibody [EPR12021-114] - BSA and Azide free (AB250113)

This data was developed using ab179807, the same antibody clone in a different buffer formulation.

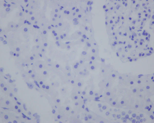
Negative control : Immunohistochemical analysis of paraffin-embedded human adult kidney tissue labeling IMP3 with Unpurified ab179807 at 1/100 dilution. Counter stained with hematoxylin. Perform heat mediated antigen retrieval with EDTA buffer pH 9 before commencing with IHC staining protocol.

Immunohistochemistry (Formalin/PFA-fixed paraffin-embedded sections) - Anti-IMP3 antibody [EPR12021-114] - BSA and Azide free (AB250113)
  • IHC-P

Lab

Immunohistochemistry (Formalin/PFA-fixed paraffin-embedded sections) - Anti-IMP3 antibody [EPR12021-114] - BSA and Azide free (AB250113)

This data was developed using ab179807, the same antibody clone in a different buffer formulation.

Unpurified ab179807 at 1 : 100 staining IMP3 antibody in human fetal kidney tissue by immunohistochemistry (FFPE). Immunohistochemical analysis of paraffin-embedded human fetal kidney tissue labeling IMP3 with ab179807 at 1/100 dilution. Counter stained with hematoxylin. Perform heat mediated antigen retrieval with EDTA buffer pH 9 before commencing with IHC staining protocol.

Immunohistochemistry (Formalin/PFA-fixed paraffin-embedded sections) - Anti-IMP3 antibody [EPR12021-114] - BSA and Azide free (AB250113)
  • IHC-P

Unknown

Immunohistochemistry (Formalin/PFA-fixed paraffin-embedded sections) - Anti-IMP3 antibody [EPR12021-114] - BSA and Azide free (AB250113)

This data was developed using ab179807, the same antibody clone in a different buffer formulation.
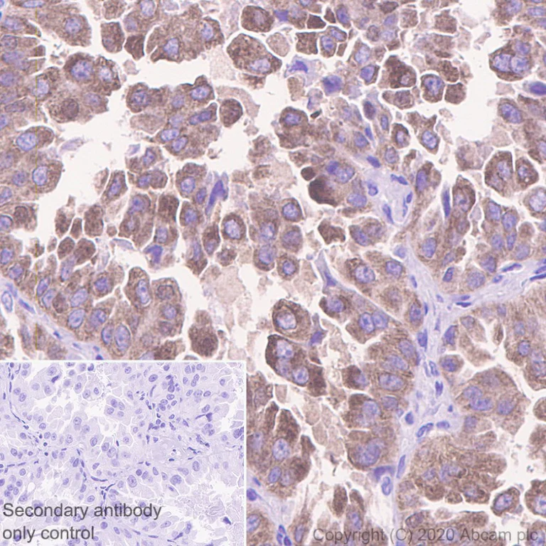
Immunohistochemistry (Formalin/PFA-fixed paraffin-embedded sections) analysis of human lung cancer tissue sections labeling IMP3 with purified ab179807 at 1/1000 dilution (0.10 µg/mL). Heat mediated antigen retrieval using Bond™ Epitope Retrieval Solution 2 (pH 9.0). Rabbit specific IHC polymer detection kit HRP/DAB (ab209101) was used as the secondary antibody. Negative control : PBS instead of the primary antibody. Hematoxylin was used as a counterstain.

Western blot - Anti-IMP3 antibody [EPR12021-114] - BSA and Azide free (AB250113)
  • WB

Supplier Data

Western blot - Anti-IMP3 antibody [EPR12021-114] - BSA and Azide free (AB250113)

This data was developed using ab179807, the same antibody clone in a different buffer formulation.

Blocking and diluting buffer concentration : 5% NFDM/TBST.

ab205606 DDDDK tag was used as a loading control at 1/1000 dilution.

All lanes:

Western blot - Anti-IMP3 antibody [EPR12021-114] (<a href='/en-us/products/primary-antibodies/imp3-antibody-epr12021-114-ab179807'>ab179807</a>) at 1/1000 dilution

Lane 1:

C-Myc/DDK -tagged full length Human IGF2BP1 recombinant protein at 0.01 µg

Lane 2:

C-Myc/DDK -tagged full length Human IGF2BP2 recombinant protein at 0.01 µg

Lane 3:

N-His -tagged full length Human IGF2BP3 recombinant protein at 0.01 µg

Secondary

All lanes:

Western blot - Goat Anti-Rabbit IgG H&L (HRP) (<a href='/en-us/products/secondary-antibodies/goat-rabbit-igg-h-l-hrp-ab97051'>ab97051</a>) at 1/20000 dilution

Predicted band size: 63 kDa

Observed band size: 75 kDa

false

Exposure time: 180s

Western blot - Anti-IMP3 antibody [EPR12021-114] - BSA and Azide free (AB250113)
  • WB

Unknown

Western blot - Anti-IMP3 antibody [EPR12021-114] - BSA and Azide free (AB250113)

This data was developed using ab179807, the same antibody clone in a different buffer formulation.

Lanes 1 - 2:

Western blot - Anti-IMP3 antibody [EPR12021-114] (<a href='/en-us/products/primary-antibodies/imp3-antibody-epr12021-114-ab179807'>ab179807</a>) at 1/1000 dilution

Lane 3:

Western blot - Anti-IMP3 antibody [EPR12021-114] (<a href='/en-us/products/primary-antibodies/imp3-antibody-epr12021-114-ab179807'>ab179807</a>) at 1/10000 dilution

Lane 1:

HeLa (Human cervix adenocarcinoma epithelial cell) whole cell lysate at 20 µg

Lane 2:

HEK-293 (Human embryonic kidney epithelial cell) whole cell lysate at 20 µg

Lane 3:

BxPC-3 (Human pancreas adenocarcinoma epithelial cell) whole cell lysate at 20 µg

Secondary

Lanes 1 - 2:

Western blot - Goat Anti-Rabbit IgG H&L (HRP) (<a href='/en-us/products/secondary-antibodies/goat-rabbit-igg-h-l-hrp-ab97051'>ab97051</a>) at 1/20000 dilution

Lane 3:

Goat Anti-Rabbit IgG, (H+L), Peroxidase conjugated at 1/20000 dilution

Predicted band size: 63 kDa

Observed band size: 69 kDa

false

Immunohistochemistry (Formalin/PFA-fixed paraffin-embedded sections) - Anti-IMP3 antibody [EPR12021-114] - BSA and Azide free (AB250113)
  • IHC-P

Lab

Immunohistochemistry (Formalin/PFA-fixed paraffin-embedded sections) - Anti-IMP3 antibody [EPR12021-114] - BSA and Azide free (AB250113)

This data was developed using ab179807, the same antibody clone in a different buffer formulation.

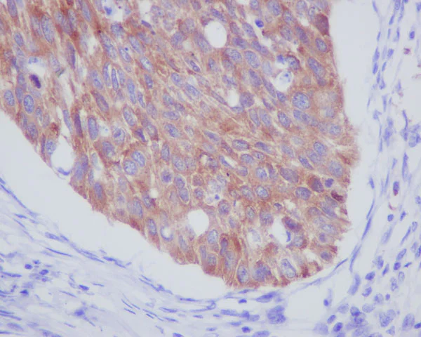
Unpurified ab179807 at 1 : 100 staining IMP3 antibody in human lung cancer tissue by immunohistochemistry (FFPE). Immunohistochemical analysis of paraffin-embedded human lung cancer tissue labeling IMP3 with ab179807 at 1/100 dilution. Counter stained with hematoxylin. Perform heat mediated antigen retrieval with EDTA buffer pH 9 before commencing with IHC staining protocol.

Western blot - Anti-IMP3 antibody [EPR12021-114] - BSA and Azide free (AB250113)
  • WB

Supplier Data

Western blot - Anti-IMP3 antibody [EPR12021-114] - BSA and Azide free (AB250113)

This data was developed using ab179807, the same antibody clone in a different buffer formulation.

All lanes:

Western blot - Anti-IMP3 antibody [EPR12021-114] (<a href='/en-us/products/primary-antibodies/imp3-antibody-epr12021-114-ab179807'>ab179807</a>) at 1/1000 dilution

Lane 1:

HeLa cell lysate at 10 µg

Lane 2:

293T (Human embryonic kidney epithelial cell) cell lysate at 10 µg

Lane 3:

BxPC-3 cell lysate at 10 µg

Secondary

All lanes:

HRP labelled goat anti-rabbit at 1/2000 dilution

Predicted band size: 63 kDa

Observed band size: 69 kDa

false

Western blot - Anti-IMP3 antibody [EPR12021-114] - BSA and Azide free (AB250113)
  • WB

Lab

Western blot - Anti-IMP3 antibody [EPR12021-114] - BSA and Azide free (AB250113)

This data was developed using ab179807, the same antibody clone in a different buffer formulation.

Lane 1 : Wild-type HAP1 whole cell lysate (20 μg)

Lane 2 : IGF2BP3 (IMP3) knockout HAP1 whole cell lysate (20 μg)

Lane 3 : HeLa whole cell lysate (20 μg)

Lanes 1 - 3 : Merged signal (red and green). Green - Unpurified ab179807 observed at 70 kDa. Red - loading control, ab9484, observed at 37 kDa.

Unpurified ab179807 was shown to specifically react with IGF2BP3 (IMP3) in wild-type HAP1 cells as signal was lost in IGF2BP3 (IMP3) knockout cells. Wild-type and IGF2BP3 (IMP3) knockout samples were subjected to SDS-PAGE. ab179807 and ab9484 (Mouse anti-GAPDH loading control) were incubated overnight at 4°C at 1/1000 dilution and 1/20,000 dilution respectively. Blots were developed with Goat anti-Rabbit IgG H&L (IRDye® 800CW) preabsorbed (ab216773) and Goat anti-Mouse IgG H&L (IRDye® 680RD) preabsorbed (ab216776) secondary antibodies at 1/20,000 dilution for 1 hour at room temperature before imaging.

All lanes:

Western blot - Anti-IMP3 antibody [EPR12021-114] (<a href='/en-us/products/primary-antibodies/imp3-antibody-epr12021-114-ab179807'>ab179807</a>)

Predicted band size: 63 kDa

false

Key facts

Host species

Rabbit

Clonality

Monoclonal

Clone number

EPR12021-114

Isotype

IgG

Carrier free

Yes

Reacts with

Human

Applications

IHC-P, WB

applications

Immunogen

The exact immunogen used to generate this antibody is proprietary information.

Reactivity data

{ "title": "Reactivity Data", "filters": { "stats": ["", "Species", "Dilution Info", "Notes"], "tabs": { "all-applications": {"fullname" : "All Applications", "shortname": "All Applications"}, "WB" : {"fullname" : "Western blot", "shortname":"WB"}, "IHCP" : {"fullname" : "Immunohistochemistry (Formalin/PFA-fixed paraffin-embedded sections)", "shortname":"IHC-P"} }, "product-promise": { "all": "all", "testedAndGuaranteed": "tested", "guaranteed": "expected", "predicted": "predicted", "notRecommended": "not-recommended" } }, "values": { "Human": { "WB-species-checked": "testedAndGuaranteed", "WB-species-dilution-info": "", "WB-species-notes": "<p><strong>For unpurified use at 1/1000 - 1/5000.</strong></p> Perform heat-mediated antigen retrieval with Tris/EDTA buffer pH 9.0 before commencing with IHC staining protocol.", "IHCP-species-checked": "testedAndGuaranteed", "IHCP-species-dilution-info": "", "IHCP-species-notes": "<p>See <a data-tabindex-counter=\"1\" data-tabindex-value=\"none\" href=\"../../../../protocols/ihc-antigen-retrieval-protocol\" tabindex=\"-1\">IHC antigen retrieval protocols</a>.</p><p><strong>For unpurified use at 1/100 - 1/250.</strong></p> Perform heat-mediated antigen retrieval with Tris/EDTA buffer pH 9.0 before commencing with IHC staining protocol." } } }

Product details

ab250113 is the carrier-free version of ab179807.

Species reactivity
Mouse, Rat: We have preliminary internal testing data to indicate this antibody may not react with these species.
Please contact us for more information.

Patented technology
Our RabMAb® technology is a patented hybridoma-based technology for making rabbit monoclonal antibodies. For details on our patents, please refer to RabMAb® patents.

What are the advantages of a recombinant monoclonal antibody?
This product is a recombinant monoclonal antibody, which offers several advantages including:

  • - High batch-to-batch consistency and reproducibility
  • - Improved sensitivity and specificity
  • - Long-term security of supply
  • - Animal-free batch production

For more information, read more on recombinant antibodies.

Conjugation ready
Our carrier-free antibodies are typically supplied in a PBS-only formulation, purified and free of BSA, sodium azide and glycerol. This conjugation-ready format is designed for use with fluorochromes, metal isotopes, oligonucleotides, and enzymes, which makes them ideal for antibody labelling, functional and cell-based assays, flow-based assays (e.g. mass cytometry) and Multiplex Imaging applications.

Use our conjugation kits for antibody conjugates that are ready-to-use in as little as 20 minutes with 1 minute hands-on-time and 100% antibody recovery: available for fluorescent dyes, HRP, biotin and gold.

Compatibility
This product is compatible with the Maxpar® Antibody Labeling Kit from Fluidigm, without the need for antibody preparation. Maxpar® is a trademark of Fluidigm Canada Inc.

Properties and storage information

Form
Liquid
Purification technique
Affinity purification Protein A
Storage buffer
pH: 7.2 - 7.4 Constituents: PBS
Shipped at conditions
Blue Ice
Appropriate short-term storage conditions
+4°C
Appropriate long-term storage conditions
+4°C
Storage information
Do Not Freeze

Supplementary information

This supplementary information is collated from multiple sources and compiled automatically.

IMP3 also known as IGF2BP3 is an oncofetal protein belonging to the insulin-like growth factor 2 mRNA-binding protein family. It has a molecular weight of around 65 kDa. IMP3 expresses in various tissues including embryonic tissues and several cancer types. In healthy adults the expression is minimal observed mostly in the testis placenta and some parts of the nervous system. It's significance in development and cancer makes it an important target for research.
Biological function summary

IMP3 plays a role in the regulation of mRNA stability localization and translation. It is a part of ribonucleoprotein complexes that facilitate these processes by binding to the 3' untranslated regions of target mRNAs. The protein influences the expression of genes involved in cell growth differentiation and migration. IMP3's ability to modulate mRNA fate contributes to cellular events essential for development and has implications in cancer progression.

Pathways

The involvement of IMP3 is significant in pathways like the insulin-like growth factor (IGF) signaling pathway and epithelial-mesenchymal transition (EMT). Within these pathways IMP3 modulates the activities of proteins such as IGF2 influencing cell proliferation and survival. Its participation in EMT is essential for processes like metastasis in cancer cells linking it to broader biological processes that govern cell movement and identity change.

High IMP3 expression associates with various cancers including pancreatic and ovarian cancers. It has been connected to the progression and poor prognosis of these cancers. In pancreatic cancer IMP3 can interact with proteins like IGF2 enhancing tumor growth and metastasis. This connection makes IMP3 a potential biomarker for cancer diagnostics and therapeutic targeting.

Product protocols

For this product, it's our understanding that no specific protocols are required. You can visit:

Target data

RNA-binding factor that may recruit target transcripts to cytoplasmic protein-RNA complexes (mRNPs). This transcript 'caging' into mRNPs allows mRNA transport and transient storage. It also modulates the rate and location at which target transcripts encounter the translational apparatus and shields them from endonuclease attacks or microRNA-mediated degradation. Preferentially binds to N6-methyladenosine (m6A)-containing mRNAs and increases their stability (PubMed : 29476152). Binds to the 3'-UTR of CD44 mRNA and stabilizes it, hence promotes cell adhesion and invadopodia formation in cancer cells. Binds to beta-actin/ACTB and MYC transcripts. Increases MYC mRNA stability by binding to the coding region instability determinant (CRD) and binding is enhanced by m6A-modification of the CRD (PubMed : 29476152). Binds to the 5'-UTR of the insulin-like growth factor 2 (IGF2) mRNAs.
See full target information IGF2BP3

Publications (1)

Recent publications for all applications. Explore the full list and refine your search

Advanced science (Weinheim, Baden-Wurttemberg, Germany) 11:e2207435 PubMed38286681

2024

Defective Homologous Recombination Repair By Up-Regulating Lnc-HZ10/Ahr Loop in Human Trophoblast Cells Induced Miscarriage.

Applications

Unspecified application

Species

Unspecified reactive species

Weina Chen,Chenyang Mi,Ying Zhang,Yang Yang,Wenxin Huang,Zhongyan Xu,Jingsong Zhao,Rong Wang,Manli Wang,Shukun Wan,Xiaoqing Wang,Huidong Zhang
View all publications

Product promise

We are committed to supporting your work with high-quality reagents, and we're here for you every step of the way. In the unlikely event that one of our products does not perform as expected, you're protected by our Product Promise.
For full details, please see our Terms & Conditions

Please note: All products are 'FOR RESEARCH USE ONLY. NOT FOR USE IN DIAGNOSTIC OR THERAPEUTIC PROCEDURES'.

For licensing inquiries, please contact partnerships@abcam.com