JavaScript is disabled in your browser. Please enable JavaScript to view this website.
AB177477

Anti-IMP3 antibody [EPR12021]

Be the first to review this product! Submit a review

|

(34 Publications)

Rabbit Recombinant Monoclonal IMP3 antibody. Suitable for IP, WB, ICC/IF, Flow Cyt (Intra) and reacts with Human, Mouse, Rat samples. Cited in 34 publications.

View Alternative Names

IMP3, KOC1, VICKZ3, IGF2BP3, Insulin-like growth factor 2 mRNA-binding protein 3, IGF2 mRNA-binding protein 3, IMP-3, IGF-II mRNA-binding protein 3, KH domain-containing protein overexpressed in cancer, VICKZ family member 3, hKOC

6 Images
Flow Cytometry (Intracellular) - Anti-IMP3 antibody [EPR12021] (AB177477)
  • Flow Cyt (Intra)

Lab

Flow Cytometry (Intracellular) - Anti-IMP3 antibody [EPR12021] (AB177477)

Intracellular Flow Cytometry analysis of BxPC-3 (human pancreas adenocarcinoma) cells labeling with purified ab177477 at 1/300 dilution (10ug/ml) (Red). Cells were fixed with 80% methanoland permeabilised with 0.1% Tween-20. A Goat anti rabbit IgG (Alexa Fluor® 488) (ab150077) (1/2000 dilution) was used as the secondary antibody. Rabbit monoclonal IgG (Black) (ab172730) was used as a isotype control. Cell without incubation with primary antibody and secondary antibody (Blue) were used as unlabeled control.

Immunocytochemistry/ Immunofluorescence - Anti-IMP3 antibody [EPR12021] (AB177477)
  • ICC/IF

Lab

Immunocytochemistry/ Immunofluorescence - Anti-IMP3 antibody [EPR12021] (AB177477)

Immunocytochemistry/ Immunofluorescence analysis of HeLa (Human cervix adenocarcinoma epithelial cell) cells labeling IMP3 using ab177477. The cells were fixed with 4% paraformaldehyde then permeabilized with 0.1% Triton X-100. The cells were then incubated with ab177477 at 1 : 50 dilution followed by a further incubation with a Goat anti rabbit IgG (Alexa Fluor® 488, ab150077) at 2 μg/ml (shown in green). Nuclear DNA was labelled in blue with DAPI. Cells were counterstained using ab195889 Anti-alpha Tubulin antibody [DM1A] - Microtubule Marker (Alexa Fluor® 594) at 1 : 200 dilution (shown in red). Secondary antibody only control : PBS instead of the primary antibody.

Immunoprecipitation - Anti-IMP3 antibody [EPR12021] (AB177477)
  • IP

Lab

Immunoprecipitation - Anti-IMP3 antibody [EPR12021] (AB177477)

Immunoprecipitation of IMP3 from 293T (Human embryonic kidney epithelial cell) whole cell lysate using ab177477 at 1/20 dilution. Lane 1 : 293T (Human embryonic kidney epithelial cell) whole cell lysate 10μg Lane 2 : 293T whole cell lysate Lane 3 : Rabbit monoclonal IgG (ab172730) instead of ab177477 in 293T whole cell lysate ab131366 was used as secondary antibody at 1/1000 dilution. Blocking and diluting buffer and concentration : 5% NFDM/TBST. Observed MW at 69kDa.

All lanes:

Immunoprecipitation - Anti-IMP3 antibody [EPR12021] (ab177477) at 1/20 dilution

Lane 1:

293T (Human embryonic kidney epithelial cell) whole cell lysate at 10 µg

Lane 2:

293T whole cell lysate

Lane 3:

Rabbit monoclonal IgG (<a href='/en-us/products/primary-antibodies/rabbit-igg-monoclonal-epr25a-isotype-control-ab172730'>ab172730</a>) instead of ab177477 in 293T whole cell lysate

Secondary

All lanes:

Immunoprecipitation - VeriBlot for IP Detection Reagent (HRP) (<a href='/en-us/products/reagents/veriblot-for-ip-detection-reagent-hrp-ab131366'>ab131366</a>) at 1/1000 dilution

Predicted band size: 63 kDa

Observed band size: 69 kDa

false

Western blot - Anti-IMP3 antibody [EPR12021] (AB177477)
  • WB

Lab

Western blot - Anti-IMP3 antibody [EPR12021] (AB177477)

Lane 1 : Wild-type HAP1 whole cell lysate (20 μg)
Lane 2 : IGF2BP3 (IMP3) knockout HAP1 whole cell lysate (20 μg)
Lane 3 : HeLa whole cell lysate (20 μg)
Lane 4 : HEK293 whole cell lysate (20 μg)

Lanes 1 - 4 : Merged signal (red and green). Green - ab177477 observed at 70 kDa. Red - loading control, ab9484, observed at 37 kDa.

ab177477 was shown to specifically react with IGF2BP3 (IMP3) in wild-type HAP1 cells along with additional cross-reactive bands. No band was observed when IGF2BP3 (IMP3) knockout cells were examined. Wild-type and IGF2BP3 (IMP3) knockout samples were subjected to SDS-PAGE. ab177477 and ab9484 (Mouse anti GAPDH loading control) were incubated overnight at 4°C at 1/1000 dilution and 1/20,000 dilution respectively. Blots were developed with Goat anti-Rabbit IgG H&L (IRDye® 800CW) preabsorbed (ab216773) and Goat anti-Mouse IgG H&L (IRDye® 680RD) preabsorbed (ab216776) secondary antibodies at 1/20,000 dilution for 1 hour at room temperature before imaging.

All lanes:

Western blot - Anti-IMP3 antibody [EPR12021] (ab177477)

Predicted band size: 63 kDa

false

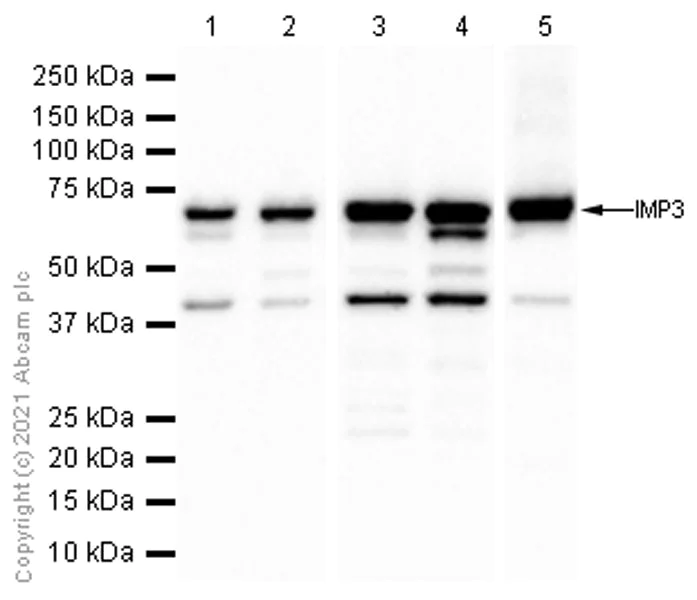
Western blot - Anti-IMP3 antibody [EPR12021] (AB177477)
  • WB

Lab

Western blot - Anti-IMP3 antibody [EPR12021] (AB177477)

All lanes:

Western blot - Anti-IMP3 antibody [EPR12021] (ab177477) at 1/10000 dilution

Lane 1:

MDA-MB-231 (Human breast adenocarcinoma epithelial cell) whole cell lysate at 20 µg

Lane 2:

MDA-MB-435S (Human mammary gland ductal carcinoma melanocyte) whole cell lysate at 20 µg

Lane 3:

HeLa (Human cervix adenocarcinoma epithelial cell) whole cell lysate at 20 µg

Lane 4:

HEK-293 (Human embryonic kidney epithelial cell) whole cell lysate at 20 µg

Lane 5:

Mouse placenta lysate at 20 µg

Secondary

All lanes:

Western blot - Goat Anti-Rabbit IgG H&L (HRP) (<a href='/en-us/products/secondary-antibodies/goat-rabbit-igg-h-l-hrp-ab97051'>ab97051</a>) at 1/20000 dilution

Predicted band size: 63 kDa

Observed band size: 69 kDa

false

Western blot - Anti-IMP3 antibody [EPR12021] (AB177477)
  • WB

Lab

Western blot - Anti-IMP3 antibody [EPR12021] (AB177477)

Blocking and diluting buffer and concentration : 5% NFDM/TBST. We are unsure about the nature of the extra bands.

All lanes:

Western blot - Anti-IMP3 antibody [EPR12021] (ab177477) at 1/10000 dilution

Lane 1:

Mouse spleen lysate at 20 µg

Lane 2:

Rat heart lysate at 20 µg

Lane 3:

Rat spleen lysate at 20 µg

Secondary

All lanes:

Western blot - Goat Anti-Rabbit IgG H&L (HRP) (<a href='/en-us/products/secondary-antibodies/goat-rabbit-igg-h-l-hrp-ab97051'>ab97051</a>) at 1/20000 dilution

Predicted band size: 63 kDa

Observed band size: 69 kDa

false

Key facts

Host species

Rabbit

Clonality

Monoclonal

Clone number

EPR12021

Isotype

IgG

Carrier free

No

Reacts with

Mouse, Rat, Human

Applications

ICC/IF, Flow Cyt (Intra), IP, WB

applications

Immunogen

The exact immunogen used to generate this antibody is proprietary information.

Reactivity data

{ "title": "Reactivity Data", "filters": { "stats": ["", "Species", "Dilution Info", "Notes"], "tabs": { "all-applications": {"fullname" : "All Applications", "shortname": "All Applications"}, "IP" : {"fullname" : "Immunoprecipitation", "shortname":"IP"}, "WB" : {"fullname" : "Western blot", "shortname":"WB"}, "IHCP" : {"fullname" : "Immunohistochemistry (Formalin/PFA-fixed paraffin-embedded sections)", "shortname":"IHC-P"}, "ICCIF" : {"fullname" : "Immunocytochemistry/ Immunofluorescence", "shortname":"ICC/IF"}, "FlowCytIntra" : {"fullname" : "Flow Cytometry (Intracellular)", "shortname":"Flow Cyt (Intra)"} }, "product-promise": { "all": "all", "testedAndGuaranteed": "tested", "guaranteed": "expected", "predicted": "predicted", "notRecommended": "not-recommended" } }, "values": { "Human": { "IP-species-checked": "testedAndGuaranteed", "IP-species-dilution-info": "1/10 - 1/100", "IP-species-notes": "<p></p>", "WB-species-checked": "testedAndGuaranteed", "WB-species-dilution-info": "1/1000 - 1/5000", "WB-species-notes": "<p></p>", "IHCP-species-checked": "notRecommended", "IHCP-species-dilution-info": "", "IHCP-species-notes": "<p></p>", "ICCIF-species-checked": "testedAndGuaranteed", "ICCIF-species-dilution-info": "1/50 - 1/100", "ICCIF-species-notes": "<p></p>", "FlowCytIntra-species-checked": "testedAndGuaranteed", "FlowCytIntra-species-dilution-info": "", "FlowCytIntra-species-notes": "<p></p>" }, "Mouse": { "IP-species-checked": "guaranteed", "IP-species-dilution-info": "", "IP-species-notes": "", "WB-species-checked": "testedAndGuaranteed", "WB-species-dilution-info": "1/1000 - 1/5000", "WB-species-notes": "<p></p>", "IHCP-species-checked": "notRecommended", "IHCP-species-dilution-info": "", "IHCP-species-notes": "<p></p>", "ICCIF-species-checked": "guaranteed", "ICCIF-species-dilution-info": "", "ICCIF-species-notes": "", "FlowCytIntra-species-checked": "guaranteed", "FlowCytIntra-species-dilution-info": "", "FlowCytIntra-species-notes": "" }, "Rat": { "IP-species-checked": "guaranteed", "IP-species-dilution-info": "", "IP-species-notes": "", "WB-species-checked": "testedAndGuaranteed", "WB-species-dilution-info": "1/1000 - 1/5000", "WB-species-notes": "<p></p>", "IHCP-species-checked": "notRecommended", "IHCP-species-dilution-info": "", "IHCP-species-notes": "<p></p>", "ICCIF-species-checked": "guaranteed", "ICCIF-species-dilution-info": "", "ICCIF-species-notes": "", "FlowCytIntra-species-checked": "guaranteed", "FlowCytIntra-species-dilution-info": "", "FlowCytIntra-species-notes": "" } } }

Product details

Patented technology
Our RabMAb® technology is a patented hybridoma-based technology for making rabbit monoclonal antibodies. For details on our patents, please refer to RabMAb® patents.

What are the advantages of a recombinant monoclonal antibody?
This product is a recombinant monoclonal antibody, which offers several advantages including:

  • - High batch-to-batch consistency and reproducibility
  • - Improved sensitivity and specificity
  • - Long-term security of supply
  • - Animal-free batch production

For more information, read more on recombinant antibodies.

Properties and storage information

Form
Liquid
Purification technique
Affinity purification Protein A
Storage buffer
pH: 7.2 - 7.4 Preservative: 0.01% Sodium azide Constituents: PBS, 40% Glycerol (glycerin, glycerine), 0.05% BSA
Shipped at conditions
Blue Ice
Appropriate short-term storage duration
1-2 weeks
Appropriate short-term storage conditions
+4°C
Appropriate long-term storage conditions
-20°C
Aliquoting information
Upon delivery aliquot
Storage information
Avoid freeze / thaw cycle

Supplementary information

This supplementary information is collated from multiple sources and compiled automatically.

IMP3 also known as IGF2BP3 is an oncofetal protein belonging to the insulin-like growth factor 2 mRNA-binding protein family. It has a molecular weight of around 65 kDa. IMP3 expresses in various tissues including embryonic tissues and several cancer types. In healthy adults the expression is minimal observed mostly in the testis placenta and some parts of the nervous system. It's significance in development and cancer makes it an important target for research.
Biological function summary

IMP3 plays a role in the regulation of mRNA stability localization and translation. It is a part of ribonucleoprotein complexes that facilitate these processes by binding to the 3' untranslated regions of target mRNAs. The protein influences the expression of genes involved in cell growth differentiation and migration. IMP3's ability to modulate mRNA fate contributes to cellular events essential for development and has implications in cancer progression.

Pathways

The involvement of IMP3 is significant in pathways like the insulin-like growth factor (IGF) signaling pathway and epithelial-mesenchymal transition (EMT). Within these pathways IMP3 modulates the activities of proteins such as IGF2 influencing cell proliferation and survival. Its participation in EMT is essential for processes like metastasis in cancer cells linking it to broader biological processes that govern cell movement and identity change.

High IMP3 expression associates with various cancers including pancreatic and ovarian cancers. It has been connected to the progression and poor prognosis of these cancers. In pancreatic cancer IMP3 can interact with proteins like IGF2 enhancing tumor growth and metastasis. This connection makes IMP3 a potential biomarker for cancer diagnostics and therapeutic targeting.

Product protocols

For this product, it's our understanding that no specific protocols are required. You can visit:

Target data

RNA-binding factor that may recruit target transcripts to cytoplasmic protein-RNA complexes (mRNPs). This transcript 'caging' into mRNPs allows mRNA transport and transient storage. It also modulates the rate and location at which target transcripts encounter the translational apparatus and shields them from endonuclease attacks or microRNA-mediated degradation. Preferentially binds to N6-methyladenosine (m6A)-containing mRNAs and increases their stability (PubMed : 29476152). Binds to the 3'-UTR of CD44 mRNA and stabilizes it, hence promotes cell adhesion and invadopodia formation in cancer cells. Binds to beta-actin/ACTB and MYC transcripts. Increases MYC mRNA stability by binding to the coding region instability determinant (CRD) and binding is enhanced by m6A-modification of the CRD (PubMed : 29476152). Binds to the 5'-UTR of the insulin-like growth factor 2 (IGF2) mRNAs.
See full target information IGF2BP3

Publications (34)

Recent publications for all applications. Explore the full list and refine your search

Journal of translational medicine 22:931 PubMed39402642

2024

m6A-modified circXPO1 accelerates colorectal cancer progression via interaction with FMRP to promote WWC2 mRNA decay.

Applications

Unspecified application

Species

Unspecified reactive species

Xiaowen Zhu,Pengxia Zhang

Biology direct 19:57 PubMed39039611

2024

Epigenetic mechanism of RBM15 in affecting cisplatin resistance in laryngeal carcinoma cells by regulating ferroptosis.

Applications

Unspecified application

Species

Unspecified reactive species

Yue Liang,Haoyue Zhong,Yi Zhao,XiaoMin Tang,Chunchen Pan,Jingwu Sun,Jiaqiang Sun

Scientific reports 14:16051 PubMed38992083

2024

Epigenetically associated IGF2BP3 upregulation promotes cell proliferation by regulating E2F1 expression in hepatocellular carcinoma.

Applications

Unspecified application

Species

Unspecified reactive species

Chenghao Liu,Yicheng Zhuo,Xiaofeng Yang,Chen Yang,Min Shu,Bowen Hou,Jun Hou,Xueling Chen,Lianghai Wang,Xiangwei Wu

Thoracic cancer 15:1357-1368 PubMed38709912

2024

Berberine inhibits the progression of breast cancer by regulating METTL3-mediated m6A modification of FGF7 mRNA.

Applications

Unspecified application

Species

Unspecified reactive species

Wei Fu,Lixin Liu,Suiju Tong

Molecular cancer 23:79 PubMed38658974

2024

Co-transcriptional R-loops-mediated epigenetic regulation drives growth retardation and docetaxel chemosensitivity enhancement in advanced prostate cancer.

Applications

Unspecified application

Species

Unspecified reactive species

Yufan Ying,Yuqing Wu,Fenghao Zhang,Yijie Tang,Jiahe Yi,Xueyou Ma,Jiangfeng Li,Danni Chen,Xiao Wang,Xiaoyan Liu,Ben Liu,Jindan Luo,Xiangyi Zheng,Liping Xie

Clinical and translational medicine 14:e1653 PubMed38616702

2024

Mitochondrial dysfunction induced by HIF-1α under hypoxia contributes to the development of gastric mucosal lesions.

Applications

Unspecified application

Species

Unspecified reactive species

Yuelin Xiao,Xianzhi Liu,Kaiduan Xie,Jiajie Luo,Yiwang Zhang,Xiaoli Huang,Jinni Luo,Siwei Tan

Human genomics 18:33 PubMed38566168

2024

Profiling the role of m6A effectors in the regulation of pluripotent reprogramming.

Applications

Unspecified application

Species

Unspecified reactive species

Wenjun Wang,Lei Zhou,Hui Li,Tingge Sun,Xue Wen,Wei Li,Miguel A Esteban,Andrew R Hoffman,Ji-Fan Hu,Jiuwei Cui

Cellular & molecular biology letters 29:39 PubMed38504159

2024

IGF2BP3 prevent HMGB1 mRNA decay in bladder cancer and development.

Applications

Unspecified application

Species

Unspecified reactive species

Lei Lv,Qinqin Wei,Jianxiao Zhang,Yitong Dong,Zhenglei Shan,Na Chang,Ye Zhao,Po Bian,Qiyi Yi

Cell death & disease 15:192 PubMed38448411

2024

The RNA mA reader IGF2BP3 regulates NFAT1/IRF1 axis-mediated anti-tumor activity in gastric cancer.

Applications

Unspecified application

Species

Unspecified reactive species

Lichen Ge,Yalan Rui,Cheng Wang,Yingmin Wu,Hongsheng Wang,Junjun Wang

Journal of translational medicine 22:5 PubMed38169393

2024

PIGT promotes cell growth, glycolysis, and metastasis in bladder cancer by modulating GLUT1 glycosylation and membrane trafficking.

Applications

Unspecified application

Species

Unspecified reactive species

Mingyue Tan,Qi Pan,Chao Yu,Xinyu Zhai,Jianyi Gu,Le Tao,Dongliang Xu
View all publications

Product promise

We are committed to supporting your work with high-quality reagents, and we're here for you every step of the way. In the unlikely event that one of our products does not perform as expected, you're protected by our Product Promise.
For full details, please see our Terms & Conditions

Please note: All products are 'FOR RESEARCH USE ONLY. NOT FOR USE IN DIAGNOSTIC OR THERAPEUTIC PROCEDURES'.

For licensing inquiries, please contact partnerships@abcam.com