JavaScript is disabled in your browser. Please enable JavaScript to view this website.
AB300666

Anti-IMP5 antibody [1A1] (BSA and Azide free)

Be the first to review this product! Submit a review

|

(0 Publication)

Rat Recombinant Monoclonal IMP5 antibody. Carrier free. Suitable for WB and reacts with Human samples.

View Alternative Names

IMP5, SPPL2C, Signal peptide peptidase-like 2C, SPP-like 2C, SPPL2c, Intramembrane protease 5, IMP-5

1 Images
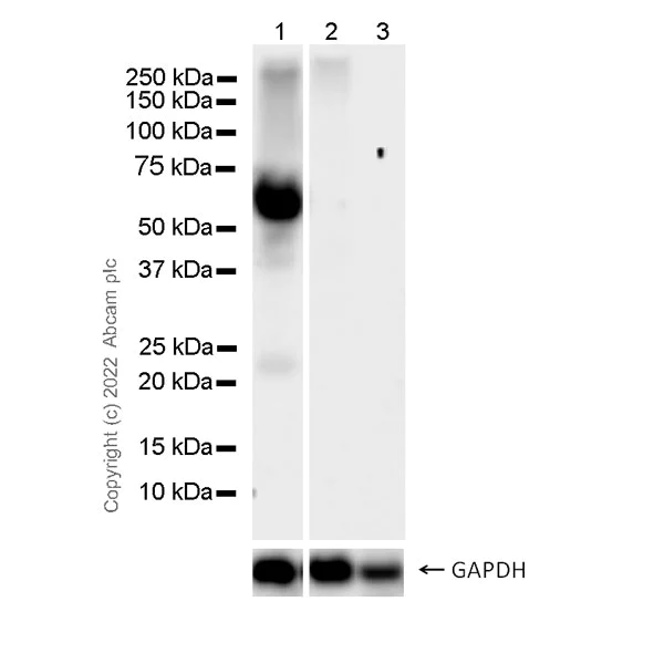
Western blot - Anti-IMP5 antibody [1A1] (BSA and Azide free) (AB300666)
  • WB

Supplier Data

Western blot - Anti-IMP5 antibody [1A1] (BSA and Azide free) (AB300666)

This data was developed using ab300665, the same antibody clone in a different buffer formulation.

Blocking and diluting buffer and concentration : 5% NFDM/TBST.

Negative control :  human kidney/human spleen (PMID : 30733281 and PMID : 30733280)

This blot was developed using a high sensitivity ECL substrate. The high-sensitivity ECL substrate used allows for the detection of proteins in the mid-femtogram range.

All lanes:

Western blot - Anti-IMP5 antibody [1A1] (<a href='/en-us/products/primary-antibodies/imp5-antibody-1a1-ab300665'>ab300665</a>) at 1/1000 dilution

Lane 1:

Human testis tissue lysate at 10 µg

Lane 2:

Human kidney tissue lysate at 10 µg

Lane 3:

Human spleen tissue lysate at 10 µg

Secondary

All lanes:

Peroxidase AffiniPure Donkey Anti-Rat IgG (H+L) at 1/10000 dilution

true

Exposure time: 48s

Key facts

Host species

Rat

Clonality

Monoclonal

Clone number

1A1

Isotype

IgG2a

Carrier free

Yes

Reacts with

Human

Applications

WB

applications

Immunogen

The exact immunogen used to generate this antibody is proprietary information.

Reactivity data

{ "title": "Reactivity Data", "filters": { "stats": ["", "Species", "Dilution Info", "Notes"], "tabs": { "all-applications": {"fullname" : "All Applications", "shortname": "All Applications"}, "WB" : {"fullname" : "Western blot", "shortname":"WB"}, "IHCP" : {"fullname" : "Immunohistochemistry (Formalin/PFA-fixed paraffin-embedded sections)", "shortname":"IHC-P"} }, "product-promise": { "all": "all", "testedAndGuaranteed": "tested", "guaranteed": "expected", "predicted": "predicted", "notRecommended": "not-recommended" } }, "values": { "Human": { "WB-species-checked": "testedAndGuaranteed", "WB-species-dilution-info": "", "WB-species-notes": "<p></p>", "IHCP-species-checked": "notRecommended", "IHCP-species-dilution-info": "", "IHCP-species-notes": "<p></p>" }, "Mouse": { "WB-species-checked": "notRecommended", "WB-species-dilution-info": "", "WB-species-notes": "<p></p>", "IHCP-species-checked": "notRecommended", "IHCP-species-dilution-info": "", "IHCP-species-notes": "<p></p>" }, "Rat": { "WB-species-checked": "notRecommended", "WB-species-dilution-info": "", "WB-species-notes": "<p></p>", "IHCP-species-checked": "notRecommended", "IHCP-species-dilution-info": "", "IHCP-species-notes": "<p></p>" } } }

Product details

What are the advantages of a recombinant monoclonal antibody?
This product is a recombinant monoclonal antibody, which offers several advantages including:

  • - High batch-to-batch consistency and reproducibility
  • - Improved sensitivity and specificity
  • - Long-term security of supply
  • - Animal-free batch production

For more information, read more on recombinant antibodies.

Want a custom formulation?
This antibody clone is manufactured by Abcam. If you require a custom buffer formulation or conjugation for your experiments, please contact orders@abcam.com

Conjugation ready
Our carrier-free antibodies are typically supplied in a PBS-only formulation, purified and free of BSA, sodium azide and glycerol. This conjugation-ready format is designed for use with fluorochromes, metal isotopes, oligonucleotides, and enzymes, which makes them ideal for antibody labelling, functional and cell-based assays, flow-based assays (e.g. mass cytometry) and Multiplex Imaging applications.

Use our conjugation kits for antibody conjugates that are ready-to-use in as little as 20 minutes with 1 minute hands-on-time and 100% antibody recovery: available for fluorescent dyes, HRP, biotin and gold.

Compatibility
This product is compatible with the Maxpar® Antibody Labeling Kit from Fluidigm, without the need for antibody preparation. Maxpar® is a trademark of Fluidigm Canada Inc.

Properties and storage information

Form
Liquid
Purification technique
Ion exchange chromatography Protein A
Storage buffer
pH: 7.2 - 7.4 Constituents: PBS
Shipped at conditions
Blue Ice
Appropriate short-term storage conditions
+4°C
Appropriate long-term storage conditions
+4°C

Supplementary information

This supplementary information is collated from multiple sources and compiled automatically.

IMP5 also known as Importin 5 is a protein that functions mechanically by facilitating the nuclear import of certain proteins and ribonucleoproteins. This nuclear transport process is critical for regulating gene expression and maintaining cellular homeostasis. The molecular mass of IMP5 is approximately 116 kDa. Expression of IMP5 occurs in various cell types with notably higher levels in rapidly dividing cells where active nuclear transport is essential for cell cycle progression.
Biological function summary

IMP5 plays a critical role in the nuclear-cytoplasmic transport system by forming a complex with other importins to shuttle cargo proteins across the nuclear envelope. This transport is necessary for the regulation of transcription factors and other proteins that impact cellular function. IMP5's involvement in the import complex highlights its importance in regulating components that influence cell growth and metabolism.

Pathways

IMP5 participates in the nuclear import pathway which is part of the broader cell signaling and regulation framework. It particularly interacts with Ran GTPase an important regulator of nucleocytoplasmic transport facilitating the import cycle of cargo complexes. Its action is also significant in the p53 signaling pathway where regulation of nuclear transport affects the activity and localization of p53 and associated proteins impacting cell cycle and apoptosis processes.

IMP5 has connections with cancer and neurodegenerative diseases. Its elevated expression links to various cancers where dysregulated nuclear import can impact tumor suppressor functions. Specifically it relates to the misregulation of p53 a protein frequently mutated in cancer. In neurodegenerative disorders altered nuclear transport involving IMP5 may disturb neuronal function and survival. Dysfunction in these pathways reveals the importance of IMP5 in both maintaining normal cellular function and its implication in disease states.

Product protocols

For this product, it's our understanding that no specific protocols are required. You can visit:

Target data

Sperm-specific intramembrane-cleaving aspartic protease (I-CLiP) that cleaves distinct tail-anchored proteins and SNARE proteins (PubMed : 30733281). In elongated spermatids, modulates intracellular Ca(2+) homeostasis by controlling PLN abundance through proteolytic cleavage (By similarity). During spermatogenesis, processes SNARE proteins and impacts vesicular trafficking which supports compartmental reorganization in maturating spermatids and may play a role in formation of the acrosome (PubMed : 30733281).. In round spermatids, acts as a scaffold protein supporting FREY1 in IZUMO1 recruitment at the endoplasmic reticulum membrane and coordination of IZUMO1 complex assembly. Stabilizes FREY1 at the endoplasmic reticulum membrane through interaction. May recruit IZUMO1 interaction partners.
See full target information SPPL2C

Product promise

We are committed to supporting your work with high-quality reagents, and we're here for you every step of the way. In the unlikely event that one of our products does not perform as expected, you're protected by our Product Promise.
For full details, please see our Terms & Conditions

Please note: All products are 'FOR RESEARCH USE ONLY. NOT FOR USE IN DIAGNOSTIC OR THERAPEUTIC PROCEDURES'.

For licensing inquiries, please contact partnerships@abcam.com