JavaScript is disabled in your browser. Please enable JavaScript to view this website.
AB256410

Anti-IMPA2 antibody [EPR23668-64]

Be the first to review this product! Submit a review

|

(1 Publication)

Rabbit Recombinant Monoclonal IMPA2 antibody. Suitable for IP, WB and reacts with Human, Mouse, Rat, Transfected cell lysate - Human samples. Cited in 1 publication.

View Alternative Names

IMP.18P, IMPA2, Inositol monophosphatase 2, IMP 2, IMPase 2, Inositol-1(or 4)-monophosphatase 2, Myo-inositol monophosphatase A2

3 Images
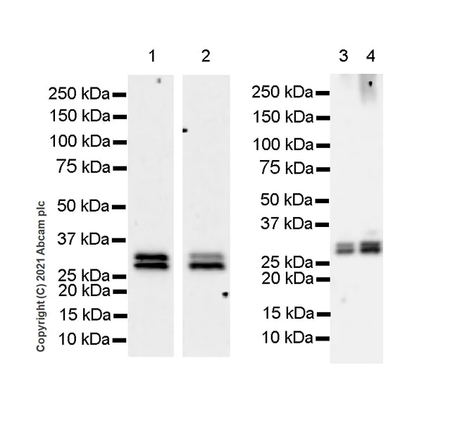
Western blot - Anti-IMPA2 antibody [EPR23668-64] (AB256410)
  • WB

Lab

Western blot - Anti-IMPA2 antibody [EPR23668-64] (AB256410)

Blocking and diluting buffer and concentration : 5% NFDM/TBST.

The observed MW is consistent with what has been described in the literature (PMID : 23205734).

Exposure time : Lanes 1-2 : 3 minutes; Lanes 3-4 : 81 seconds.

All lanes:

Western blot - Anti-IMPA2 antibody [EPR23668-64] (ab256410) at 1/1000 dilution

Lane 1:

MDA-MB-468 (human breast adenocarcinoma epithelial cell), whole cell lysate at 20 µg

Lane 2:

HeLa (human cervix adenocarcinoma epithelial cell) whole cell lysate at 20 µg

Lane 3:

RAW264.7 (mouse Abelson murine leukemia virus-induced tumor macrophage), whole cell lysate at 20 µg

Lane 4:

PC-12 (rat adrenal gland pheochromocytoma), whole cell lysate at 20 µg

Secondary

All lanes:

Western blot - Goat Anti-Rabbit IgG H&L (HRP) (<a href='/en-us/products/secondary-antibodies/goat-rabbit-igg-h-l-hrp-ab97051'>ab97051</a>) at 1/100000 dilution

Predicted band size: 31 kDa

false

Immunoprecipitation - Anti-IMPA2 antibody [EPR23668-64] (AB256410)
  • IP

Supplier Data

Immunoprecipitation - Anti-IMPA2 antibody [EPR23668-64] (AB256410)

IMPA2 was immunoprecipitated from 0.35 mg MDA-MB-468 (human breast adenocarcinoma epithelial cell), whole cell lysate 10 μg with ab256410 at 1/30 dilution (2μg in 0.35mg lysates). Western blot was performed on the immunoprecipitate using ab256410 at 1/1000 dilution. VeriBlot for IP Detection Reagent (HRP)(ab131366) was used at 1/5000 dilution.

Lane 1 : MDA-MB-468 whole cell lysate 10 μg

Lane 2 : ab256410 IP in MDA-MB-468 whole cell lysate

Lane 3 : Rabbit monoclonal IgG (ab172730) instead of ab256410 in MDA-MB-468 whole cell lysate

Blocking and dilution buffer and concentration : 5% NFDM/TBST.

Exposure time : 24 seconds

All lanes:

Immunoprecipitation - Anti-IMPA2 antibody [EPR23668-64] (ab256410)

Predicted band size: 31 kDa

false

Western blot - Anti-IMPA2 antibody [EPR23668-64] (AB256410)
  • WB

Lab

Western blot - Anti-IMPA2 antibody [EPR23668-64] (AB256410)

Blocking and diluting buffer and concentration : 5% NFDM/TBST.

Lysates were kindly provided by an anonymous collaborator.

Exposure time : 3.25 seconds.

All lanes:

Western blot - Anti-IMPA2 antibody [EPR23668-64] (ab256410) at 1/1000 dilution

Lane 1:

MCF7 (human breast adenocarcinoma epithelial cell) transfected with an empty vector (vector control), whole cell lysate at 20 µg

Lane 2:

MCF7 (human breast adenocarcinoma epithelial cell) transfected with IMPA2 expression vector, whole cell lysate at 20 µg

Secondary

All lanes:

Western blot - Goat Anti-Rabbit IgG H&L (HRP) (<a href='/en-us/products/secondary-antibodies/goat-rabbit-igg-h-l-hrp-ab97051'>ab97051</a>) at 1/100000 dilution

Predicted band size: 31 kDa

false

  • Carrier free

    Anti-IMPA2 antibody [EPR23668-64] - BSA and Azide free

Key facts

Host species

Rabbit

Clonality

Monoclonal

Clone number

EPR23668-64

Isotype

IgG

Carrier free

No

Reacts with

Mouse, Rat, Human

Applications

IP, WB

applications

Immunogen

The exact immunogen used to generate this antibody is proprietary information.

Reactivity data

{ "title": "Reactivity Data", "filters": { "stats": ["", "Species", "Dilution Info", "Notes"], "tabs": { "all-applications": {"fullname" : "All Applications", "shortname": "All Applications"}, "ICCIF" : {"fullname" : "Immunocytochemistry/ Immunofluorescence", "shortname":"ICC/IF"}, "IP" : {"fullname" : "Immunoprecipitation", "shortname":"IP"}, "WB" : {"fullname" : "Western blot", "shortname":"WB"}, "IHCP" : {"fullname" : "Immunohistochemistry (Formalin/PFA-fixed paraffin-embedded sections)", "shortname":"IHC-P"}, "FlowCytIntra" : {"fullname" : "Flow Cytometry (Intracellular)", "shortname":"Flow Cyt (Intra)"} }, "product-promise": { "all": "all", "testedAndGuaranteed": "tested", "guaranteed": "expected", "predicted": "predicted", "notRecommended": "not-recommended" } }, "values": { "Human": { "ICCIF-species-checked": "notRecommended", "ICCIF-species-dilution-info": "", "ICCIF-species-notes": "<p></p>", "IP-species-checked": "testedAndGuaranteed", "IP-species-dilution-info": "1/30", "IP-species-notes": "<p></p>", "WB-species-checked": "testedAndGuaranteed", "WB-species-dilution-info": "1/1000", "WB-species-notes": "<p></p>", "IHCP-species-checked": "notRecommended", "IHCP-species-dilution-info": "", "IHCP-species-notes": "<p></p>", "FlowCytIntra-species-checked": "notRecommended", "FlowCytIntra-species-dilution-info": "", "FlowCytIntra-species-notes": "<p></p>" }, "Mouse": { "ICCIF-species-checked": "notRecommended", "ICCIF-species-dilution-info": "", "ICCIF-species-notes": "<p></p>", "IP-species-checked": "guaranteed", "IP-species-dilution-info": "", "IP-species-notes": "", "WB-species-checked": "testedAndGuaranteed", "WB-species-dilution-info": "1/1000", "WB-species-notes": "<p></p>", "IHCP-species-checked": "notRecommended", "IHCP-species-dilution-info": "", "IHCP-species-notes": "<p></p>", "FlowCytIntra-species-checked": "notRecommended", "FlowCytIntra-species-dilution-info": "", "FlowCytIntra-species-notes": "<p></p>" }, "Rat": { "ICCIF-species-checked": "notRecommended", "ICCIF-species-dilution-info": "", "ICCIF-species-notes": "<p></p>", "IP-species-checked": "guaranteed", "IP-species-dilution-info": "", "IP-species-notes": "", "WB-species-checked": "testedAndGuaranteed", "WB-species-dilution-info": "1/1000", "WB-species-notes": "<p></p>", "IHCP-species-checked": "notRecommended", "IHCP-species-dilution-info": "", "IHCP-species-notes": "<p></p>", "FlowCytIntra-species-checked": "notRecommended", "FlowCytIntra-species-dilution-info": "", "FlowCytIntra-species-notes": "<p></p>" }, "Transfected cell lysate - Human": { "ICCIF-species-checked": "notRecommended", "ICCIF-species-dilution-info": "", "ICCIF-species-notes": "", "IP-species-checked": "notRecommended", "IP-species-dilution-info": "", "IP-species-notes": "", "WB-species-checked": "testedAndGuaranteed", "WB-species-dilution-info": "1/1000", "WB-species-notes": "<p></p>", "IHCP-species-checked": "notRecommended", "IHCP-species-dilution-info": "", "IHCP-species-notes": "", "FlowCytIntra-species-checked": "notRecommended", "FlowCytIntra-species-dilution-info": "", "FlowCytIntra-species-notes": "" } } }

Product details

Patented technology
Our RabMAb® technology is a patented hybridoma-based technology for making rabbit monoclonal antibodies. For details on our patents, please refer to RabMAb® patents.

What are the advantages of a recombinant monoclonal antibody?
This product is a recombinant monoclonal antibody, which offers several advantages including:

  • - High batch-to-batch consistency and reproducibility
  • - Improved sensitivity and specificity
  • - Long-term security of supply
  • - Animal-free batch production

For more information, read more on recombinant antibodies.

Properties and storage information

Form
Liquid
Purification technique
Affinity purification Protein A
Storage buffer
Preservative: 0.01% Sodium azide Constituents: 59.94% PBS, 40% Glycerol (glycerin, glycerine), 0.05% BSA
Shipped at conditions
Blue Ice
Appropriate short-term storage duration
1-2 weeks
Appropriate short-term storage conditions
+4°C
Appropriate long-term storage conditions
-20°C
Aliquoting information
Upon delivery aliquot
Storage information
Avoid freeze / thaw cycle

Supplementary information

This supplementary information is collated from multiple sources and compiled automatically.

IMPA2 also known as Inositol Monophosphatase 2 is an enzyme with a mass of approximately 29 kDa. This protein is expressed predominantly in the brain particularly in regions such as the cerebellum and cerebral cortex. IMPA2 catalyzes the dephosphorylation of inositol monophosphate to free inositol an essential step in the phosphatidylinositol signaling pathway. This enzyme plays a significant role in maintaining inositol and inositol-derived compounds important for cellular functions.
Biological function summary

IMPA2 influences cellular processes by managing inositol phosphate recycling and inositol availability. This enzyme does not typically function as part of a larger protein complex. Its activity helps control the levels of inositol in cells impacting signaling pathways that rely on phosphatidylinositol and its derivatives. Through this regulation IMPA2 supports functions like cell growth and survival indirectly affecting neurotransmission and hormone signaling.

Pathways

IMPA2 assumes a central role in the phosphatidylinositol signaling pathway which influences a variety of cellular responses. It interacts closely with the phosphoinositide pathway sharing a relationship with proteins like G-protein coupled receptors and protein kinase C. The enzyme's activity ensures the continuous functioning of these pathways by supplying inositol an important molecule that these proteins need for activation and signaling transmission.

Researchers have linked IMPA2 to bipolar disorder and schizophrenia. Reduced or altered activity of IMPA2 might contribute to imbalance in inositol signaling which is a hypothesis in the pathophysiology of these psychiatric conditions. The protein shows connections to other molecules involved in these disorders such as glycogen synthase kinase-3 (GSK3) which plays a role in mood regulation and neuroplasticity. Understanding the role of IMPA2 in these diseases could offer insights into potential therapeutic approaches.

Product protocols

For this product, it's our understanding that no specific protocols are required. You can visit:

Target data

Can use myo-inositol monophosphates, scylloinositol 1,4-diphosphate, glucose-1-phosphate, beta-glycerophosphate, and 2'-AMP as substrates. Has been implicated as the pharmacological target for lithium Li(+) action in brain.
See full target information IMPA2

Publications (1)

Recent publications for all applications. Explore the full list and refine your search

Translational oncology 27:101588 PubMed36423383

2022

LINC01311 exerts an inhibitory effect in thyroid cancer progression by targeting the miR-146b-5p/IMPA2 axis.

Applications

Unspecified application

Species

Unspecified reactive species

Mengjiang Liu,Linghui Zhang,Juping Hu,Chong Yan,Yi Zhang,Zhaodan Yan
View all publications

Product promise

We are committed to supporting your work with high-quality reagents, and we're here for you every step of the way. In the unlikely event that one of our products does not perform as expected, you're protected by our Product Promise.
For full details, please see our Terms & Conditions

Please note: All products are 'FOR RESEARCH USE ONLY. NOT FOR USE IN DIAGNOSTIC OR THERAPEUTIC PROCEDURES'.

For licensing inquiries, please contact partnerships@abcam.com