JavaScript is disabled in your browser. Please enable JavaScript to view this website.
AB235323

Anti-IMPACT antibody

Be the first to review this product! Submit a review

|

(1 Publication)

Rabbit Polyclonal IMPACT antibody. Suitable for WB, IHC-P and reacts with Human samples. Cited in 1 publication. Immunogen corresponding to Recombinant Fragment Protein within Human IMPACT aa 1 to C-terminus.

View Alternative Names

Protein IMPACT, Imprinted and ancient gene protein homolog, IMPACT

3 Images
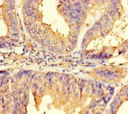
Immunohistochemistry (Formalin/PFA-fixed paraffin-embedded sections) - Anti-IMPACT antibody (AB235323)
  • IHC-P

Supplier Data

Immunohistochemistry (Formalin/PFA-fixed paraffin-embedded sections) - Anti-IMPACT antibody (AB235323)

Paraffin-embedded human endometrial cancer tissue stained for IMPACT using ab235323 at 1/100 dilution in immunohistochemical analysis.

Immunohistochemistry (Formalin/PFA-fixed paraffin-embedded sections) - Anti-IMPACT antibody (AB235323)
  • IHC-P

Supplier Data

Immunohistochemistry (Formalin/PFA-fixed paraffin-embedded sections) - Anti-IMPACT antibody (AB235323)

Paraffin-embedded human kidney tissue stained for IMPACT using ab235323 at 1/100 dilution in immunohistochemical analysis.

Western blot - Anti-IMPACT antibody (AB235323)
  • WB

Supplier Data

Western blot - Anti-IMPACT antibody (AB235323)

All lanes:

Western blot - Anti-IMPACT antibody (ab235323) at 1/1000 dilution

Lane 1:

HeLa (human epithelial cell line from cervix adenocarcinoma) whole cell lysate

Lane 2:

HL-60 (human promyelocytic leukemia cell line) whole cell lysate

Secondary

All lanes:

Goat polyclonal to rabbit IgG at 1/10000 dilution

Predicted band size: 36 kDa

false

Key facts

Host species

Rabbit

Clonality

Polyclonal

Isotype

IgG

Carrier free

No

Reacts with

Human

Applications

WB, IHC-P

applications

Immunogen

Recombinant Fragment Protein within Human IMPACT aa 1 to C-terminus. The exact immunogen used to generate this antibody is proprietary information.

Q9P2X3

Reactivity data

{ "title": "Reactivity Data", "filters": { "stats": ["", "Species", "Dilution Info", "Notes"], "tabs": { "all-applications": {"fullname" : "All Applications", "shortname": "All Applications"}, "WB" : {"fullname" : "Western blot", "shortname":"WB"}, "IHCP" : {"fullname" : "Immunohistochemistry (Formalin/PFA-fixed paraffin-embedded sections)", "shortname":"IHC-P"} }, "product-promise": { "all": "all", "testedAndGuaranteed": "tested", "guaranteed": "expected", "predicted": "predicted", "notRecommended": "not-recommended" } }, "values": { "Human": { "WB-species-checked": "testedAndGuaranteed", "WB-species-dilution-info": "1/1000 - 1/5000", "WB-species-notes": "<p></p>", "IHCP-species-checked": "testedAndGuaranteed", "IHCP-species-dilution-info": "1/20 - 1/200", "IHCP-species-notes": "<p></p>" }, "Cow": { "WB-species-checked": "predicted", "WB-species-dilution-info": "", "WB-species-notes": "", "IHCP-species-checked": "predicted", "IHCP-species-dilution-info": "", "IHCP-species-notes": "" } } }

Properties and storage information

Form
Liquid
Purification technique
Affinity purification Protein G
Purification notes
Purity >95%
Storage buffer
pH: 7.4 Preservative: 0.03% Proclin 300 Constituents: PBS, 50% Glycerol (glycerin, glycerine)
Shipped at conditions
Blue Ice
Appropriate short-term storage duration
1-2 weeks
Appropriate short-term storage conditions
+4°C
Appropriate long-term storage conditions
-20°C
Aliquoting information
Upon delivery aliquot
Storage information
Avoid freeze / thaw cycle

Supplementary information

This supplementary information is collated from multiple sources and compiled automatically.

IMPACT also known as Impact homolog or CI-68 is a protein that has around 33 kDa molecular weight. It is well-conserved across species and has significant expression in the brain. The protein can bind to ribosomes potentially influencing translation regulation. IMPACT can modulate translation initiation and is detected in other tissues but with lesser intensity than in the brain.
Biological function summary

The regulation of translation initiation is a critical function that IMPACT performs. It is thought to affect the cellular stress response by interacting with components of the translation machinery. IMPACT does not function as part of a large complex but influences the availability of translation factors. This influence is essential in neurons where it helps them survive under various environmental stress conditions.

Pathways

IMPACT plays a role in the mTOR signaling and integrated stress response pathways. Through these it influences protein synthesis and cellular stress management. IMPACT is related to proteins like GCN2 which allows cells to adapt to amino acid availability and eIF2α which is important for the translation initiation regulations in response to stress signals.

Alterations in IMPACT expression have links to neurodegenerative diseases and mental health disorders. In Alzheimer's Disease for example its regulation of protein synthesis is considered important in disease progress interacting with other proteins like tau. Additionally through stress response modulation IMPACT is associated with mood disorders due to its role in synaptic plasticity and neuron survival under stress conditions.

Product protocols

For this product, it's our understanding that no specific protocols are required. You can visit:

Target data

Translational regulator that ensures constant high levels of translation upon a variety of stress conditions, such as amino acid starvation, UV-C irradiation, proteasome inhibitor treatment and glucose deprivation. Plays a role as a negative regulator of the EIF2AK4/GCN2 kinase activity; impairs GCN1-mediated EIF2AK4/GCN2 activation, and hence EIF2AK4/GCN2-mediated eIF-2-alpha phosphorylation and subsequent down-regulation of protein synthesis. May be required to regulate translation in specific neuronal cells under amino acid starvation conditions by preventing GCN2 activation and therefore ATF4 synthesis. Through its inhibitory action on EIF2AK4/GCN2, plays a role in differentiation of neuronal cells by stimulating neurite outgrowth.
See full target information IMPACT

Publications (1)

Recent publications for all applications. Explore the full list and refine your search

Oncology letters 21:185 PubMed33574924

2021

A comprehensive analysis of the expression, epigenetic and genetic changes of HNF1B and ECI2 in 122 cases of high-grade serous ovarian carcinoma.

Applications

Unspecified application

Species

Unspecified reactive species

Kristýna Němejcová,Michaela Bártů,Jan Hojný,Nikola Hájková,Romana Michálková,Eva Krkavcová,Ivana Stružinská,Hiep Quang Bui,Pavel Dundr,David Cibula,Kateřina Jirsová
View all publications

Product promise

We are committed to supporting your work with high-quality reagents, and we're here for you every step of the way. In the unlikely event that one of our products does not perform as expected, you're protected by our Product Promise.
For full details, please see our Terms & Conditions

Please note: All products are 'FOR RESEARCH USE ONLY. NOT FOR USE IN DIAGNOSTIC OR THERAPEUTIC PROCEDURES'.

For licensing inquiries, please contact partnerships@abcam.com