JavaScript is disabled in your browser. Please enable JavaScript to view this website.
AB325431

Anti-IMPDH1 antibody [EPR30383-519]

  • RabMAb
  • Recombinant
  • 20ul selling size
  • KO Validated
  • What is this?

Be the first to review this product! Submit a review

|

(0 Publication)

Rabbit Recombinant Monoclonal IMPDH1 antibody. Suitable for IHC-P, WB and reacts with Transfected cell line - Human, Human, Mouse, Transfected cell lysate - Human samples.

View Alternative Names

IMPD1, IMPDH1, Inosine-5'-monophosphate dehydrogenase 1, IMP dehydrogenase 1, IMPD 1, IMPDH 1, IMPDH-I

8 Images
Immunohistochemistry (Formalin/PFA-fixed paraffin-embedded sections) - Anti-IMPDH1 antibody [EPR30383-519] (AB325431)
  • IHC-P

Lab

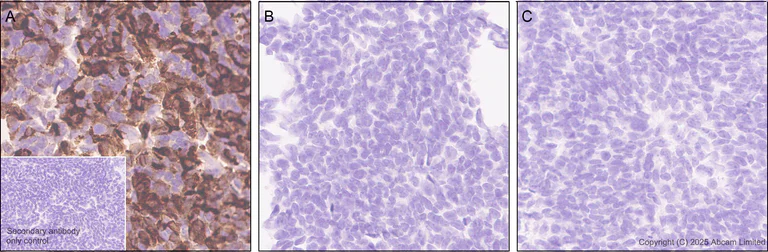
Immunohistochemistry (Formalin/PFA-fixed paraffin-embedded sections) - Anti-IMPDH1 antibody [EPR30383-519] (AB325431)

Immunohistochemical analysis of paraffin-embedded A : HEK-293T (human epithelial cell line from embryonic kidney) transfected with a human IMPDH1 expression vector containing a Myc-His tag B : HEK-293T (human epithelial cell line from embryonic kidney) transfected with a human IMPDH2 expression vector containing a Myc-His tag C : HEK-293T transfected with empty vector containing a Myc-His tag tissue labeling IMPDH1 with ab325431 at 1/5000 (0.101 µg/ml) dilution, followed by a ready to use LeicaDS9800 (Bond™ Polymer Refine Detection).

Positive staining in A : HEK-293T (human epithelial cell line from embryonic kidney) transfected with a human IMPDH1 expression vector containing a Myc-His tag, and no signal in B : HEK-293T transfected with a human IMPDH2 expression vector containing a Myc-His tag and C : HEK-293T transfected with empty vector containing a Myc-His tag.

The primary antibody was incubated for 30 mins at room temperature.

The immunostaining was performed on a Leica Biosystems BOND® RX instrument.

Counterstained with Hematoxylin.

Secondary antibody only control : Secondary antibody is a ready to use LeicaDS9800 (Bond™ Polymer Refine Detection).

Heat mediated antigen retrieval was performed with Tris-EDTA buffer (pH 9.0, Epitope Retrieval Solution2) for 20 mins

Immunohistochemistry (Formalin/PFA-fixed paraffin-embedded sections) - Anti-IMPDH1 antibody [EPR30383-519] (AB325431)
  • IHC-P

Lab

Immunohistochemistry (Formalin/PFA-fixed paraffin-embedded sections) - Anti-IMPDH1 antibody [EPR30383-519] (AB325431)

Immunohistochemical analysis of paraffin-embedded Human retina tissue labeling IMPDH1 with ab325431 at 1/5000 (0.101 μg/ml) dilution, followed by a ready to use LeicaDS9800 (Bond™ Polymer Refine Detection).

Positive staining in human retina. (IS : inner segment, ONL : outer nuclear layer, OPL : outer plexiform layer, IPL : inner plexiform layer, INL : inner nuclear layer, GCL : ganglion cell layer)

The primary antibody was incubated for 30 mins at room temperature.

The immunostaining was performed on a Leica Biosystems BOND® RX instrument

Counterstained with Hematoxylin.

Secondary antibody only control : Secondary antibody is a ready to use LeicaDS9800 (Bond™ Polymer Refine Detection).

Heat mediated antigen retrieval was performed with Tris-EDTA buffer (pH 9.0, Epitope Retrieval Solution2) for 20 mins

Immunohistochemistry (Formalin/PFA-fixed paraffin-embedded sections) - Anti-IMPDH1 antibody [EPR30383-519] (AB325431)
  • IHC-P

Lab

Immunohistochemistry (Formalin/PFA-fixed paraffin-embedded sections) - Anti-IMPDH1 antibody [EPR30383-519] (AB325431)

Immunohistochemical analysis of paraffin-embedded Mouse retina tissue labeling IMPDH1 with ab325431 at 1/5000 (0.101 µg/ml) dilution, followed by a ready to use LeicaDS9800 (Bond™ Polymer Refine Detection).

Positive staining in mouse retina. (IS : inner segment, ONL : outer nuclear layer, OPL : outer plexiform layer, IPL : inner plexiform layer, INL : inner nuclear layer, GCL : ganglion cell layer)

The primary antibody was incubated for 30 mins at room temperature.

The immunostaining was performed on a Leica Biosystems BOND® RX instrument

Counterstained with Hematoxylin.

Secondary antibody only control : Secondary antibody is a ready to use LeicaDS9800 (Bond™ Polymer Refine Detection).

Heat mediated antigen retrieval was performed with Tris-EDTA buffer (pH 9.0, Epitope Retrieval Solution2) for 20 mins

Western blot - Anti-IMPDH1 antibody [EPR30383-519] (AB325431)
  • WB

Lab

Western blot - Anti-IMPDH1 antibody [EPR30383-519] (AB325431)

Blocking and diluting buffer and concentration : 5% NFDM/TBST.

Performed under reducing conditions.

In Western blot, ab325431 was shown to bind specifically to IMPDH1. Target of interest was observed at 55 kDa in wild-type HAP1 cell lysates (lane 3) with no signal observed at this size in IMPDH1 knockout cell line (lane 4).

In Western blot, Anti-GAPDH antibody [EPR16891] - Loading Control (ab181602) (1 : 200000) (36KDa).

Exposure time : Lanes1-5 : 180 seconds, lane6 : 26 seconds

All lanes:

Western blot - Anti-IMPDH1 antibody [EPR30383-519] (ab325431) at 1/1000 dilution

Lane 1:

LN-229 (human brain glioblastoma epithelial cell) transfected with scrambled siRNA control whole cell lysate at 80 µg

Lane 2:

LN-229 transfected with siRNA specifically targeting IMPDH1 whole cell lysate at 80 µg

Lane 3:

parental HAP1(human chronic myelogenous leukemia near-haploid cell) whole cell lysate at 80 µg

Lane 4:

IMPDH1 KO HAP1 whole cell lysate at 80 µg

Lane 5:

786-O (human kidney epithelial cell) whole cell lysate at 80 µg

Lane 6:

SK-BR-3 (human breast adenocarcinoma epithelial cell) whole cell lysate at 80 µg

Secondary

All lanes:

Western blot - Goat Anti-Rabbit IgG H&L (HRP) (<a href='/en-us/products/secondary-antibodies/goat-rabbit-igg-h-l-hrp-ab97051'>ab97051</a>) at 1/20000 dilution

Observed band size: 55 kDa,36 kDa

false

Western blot - Anti-IMPDH1 antibody [EPR30383-519] (AB325431)
  • WB

Lab

Western blot - Anti-IMPDH1 antibody [EPR30383-519] (AB325431)

Blocking and diluting buffer and concentration : 5% NFDM/TBST.

This antibody does not cross-react with human IMPDH2 by western blot.

In Western blot, Anti-GAPDH antibody [EPR16891] - Loading Control (ab181602) (1 : 200000) (36KDa).

All lanes:

Western blot - Anti-IMPDH1 antibody [EPR30383-519] (ab325431) at 1/1000 dilution

Lane 1:

His-tag purified protein overexpressed in 293T human embryonic kidney epithelial cells, transfected with a human IMPDH1 expression vector incorporating a Myc-His® tag, whole-cell lysate at 20 µg

Lane 2:

His-tag purified protein overexpressed in 293T human embryonic kidney epithelial cells, transfected with a human IMPDH2 expression vector incorporating a Myc-His® tag, whole-cell lysate at 20 µg

Secondary

All lanes:

Western blot - Goat Anti-Rabbit IgG H&L (HRP) (<a href='/en-us/products/secondary-antibodies/goat-rabbit-igg-h-l-hrp-ab97051'>ab97051</a>) at 1/20000 dilution

Observed band size: 55 kDa,36 kDa

false

Exposure time: 48s

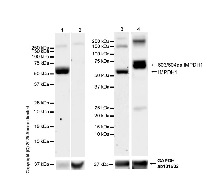
Western blot - Anti-IMPDH1 antibody [EPR30383-519] (AB325431)
  • WB

Lab

Western blot - Anti-IMPDH1 antibody [EPR30383-519] (AB325431)

Blocking and diluting buffer and concentration : 5% NFDM/TBST.

Low expression : liver(PMID : 32702086)

The identity of the higher MW bands at approximately 64 kDa corresponds to the 603/604aa retinal-specific spliced form(PMID : 32254022, 16936083)

In Western blot, Anti-GAPDH antibody [EPR16891] - Loading Control (ab181602) (1 : 200000) (36KDa).

Exposure time : Lanes1-2 : 59 seconds, lane3 : 180 seconds, lane4 : 26seconds

All lanes:

Western blot - Anti-IMPDH1 antibody [EPR30383-519] (ab325431) at 1/1000 dilution

Lane 1:

Mouse pancreas tissue lysate at 80 µg

Lane 2:

Mouse liver tissue lysate at 80 µg

Lane 3:

Neuro-2a (mouse neuroblastoma neuroblast) whole cell lysate at 80 µg

Lane 4:

Mouse retina tissue lysate at 80 µg

Secondary

All lanes:

Western blot - Goat Anti-Rabbit IgG H&L (HRP) (<a href='/en-us/products/secondary-antibodies/goat-rabbit-igg-h-l-hrp-ab97051'>ab97051</a>) at 1/20000 dilution

Observed band size: 55 kDa,64 kDa,36 kDa

false

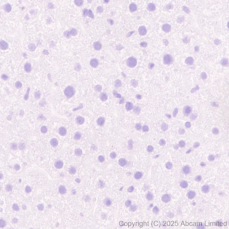
Immunohistochemistry (Formalin/PFA-fixed paraffin-embedded sections) - Anti-IMPDH1 antibody [EPR30383-519] (AB325431)
  • IHC-P

Lab

Immunohistochemistry (Formalin/PFA-fixed paraffin-embedded sections) - Anti-IMPDH1 antibody [EPR30383-519] (AB325431)

Immunohistochemical analysis of paraffin-embedded Mouse liver tissue labeling IMPDH1 with ab325431 at 1/5000 (0.101 µg/ml) dilution, followed by a ready to use LeicaDS9800 (Bond™ Polymer Refine Detection).

Negative control : No staining in mouse liver.

The primary antibody was incubated for 30 mins at room temperature.

The immunostaining was performed on a Leica Biosystems BOND® RX instrument

Counterstained with Hematoxylin.

Secondary antibody only control : Secondary antibody is a ready to use LeicaDS9800 (Bond™ Polymer Refine Detection).

Heat mediated antigen retrieval was performed with Tris-EDTA buffer (pH 9.0, Epitope Retrieval Solution2) for 20 mins

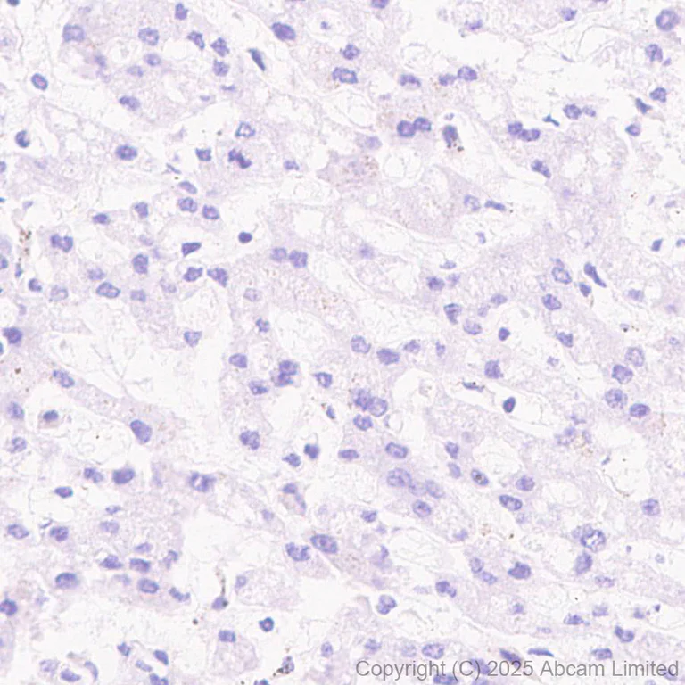
Immunohistochemistry (Formalin/PFA-fixed paraffin-embedded sections) - Anti-IMPDH1 antibody [EPR30383-519] (AB325431)
  • IHC-P

Lab

Immunohistochemistry (Formalin/PFA-fixed paraffin-embedded sections) - Anti-IMPDH1 antibody [EPR30383-519] (AB325431)

Immunohistochemical analysis of paraffin-embedded Human liver tissue labeling IMPDH1 with ab325431 at 1/5000 (0.101 µg/ml) dilution, followed by a ready to use LeicaDS9800 (Bond™ Polymer Refine Detection).

Negative control : No staining in human liver.

The primary antibody was incubated for 30 mins at room temperature.

The immunostaining was performed on a Leica Biosystems BOND® RX instrument

Counterstained with Hematoxylin.

Secondary antibody only control : Secondary antibody is a ready to use LeicaDS9800 (Bond™ Polymer Refine Detection).

Heat mediated antigen retrieval was performed with Tris-EDTA buffer (pH 9.0, Epitope Retrieval Solution2) for 20 mins

Key facts

Host species

Rabbit

Clonality

Monoclonal

Clone number

EPR30383-519

Isotype

IgG

Carrier free

No

Reacts with

Human, Mouse

Applications

WB, IHC-P

applications

Immunogen

The exact immunogen used to generate this antibody is proprietary information.

Specificity

This antibody does not cross-react with overexpressed human IMPDH2 in Western blot.

Reactivity data

{ "title": "Reactivity Data", "filters": { "stats": ["", "Species", "Dilution Info", "Notes"], "tabs": { "all-applications": {"fullname" : "All Applications", "shortname": "All Applications"}, "IHCP" : {"fullname" : "Immunohistochemistry (Formalin/PFA-fixed paraffin-embedded sections)", "shortname":"IHC-P"}, "WB" : {"fullname" : "Western blot", "shortname":"WB"}, "IP" : {"fullname" : "Immunoprecipitation", "shortname":"IP"}, "ICCIF" : {"fullname" : "Immunocytochemistry/ Immunofluorescence", "shortname":"ICC/IF"} }, "product-promise": { "all": "all", "testedAndGuaranteed": "tested", "guaranteed": "expected", "predicted": "predicted", "notRecommended": "not-recommended" } }, "values": { "Human": { "IHCP-species-checked": "testedAndGuaranteed", "IHCP-species-dilution-info": "1/5000", "IHCP-species-notes": "<p></p> Perform heat-mediated antigen retrieval with Tris/EDTA buffer pH 9.0 before commencing with IHC staining protocol.", "WB-species-checked": "testedAndGuaranteed", "WB-species-dilution-info": "1/1000", "WB-species-notes": "<p></p>", "IP-species-checked": "notRecommended", "IP-species-dilution-info": "", "IP-species-notes": "<p></p>", "ICCIF-species-checked": "notRecommended", "ICCIF-species-dilution-info": "", "ICCIF-species-notes": "<p></p>" }, "Mouse": { "IHCP-species-checked": "testedAndGuaranteed", "IHCP-species-dilution-info": "1/5000", "IHCP-species-notes": "<p></p> Perform heat-mediated antigen retrieval with Tris/EDTA buffer pH 9.0 before commencing with IHC staining protocol.", "WB-species-checked": "testedAndGuaranteed", "WB-species-dilution-info": "1/1000", "WB-species-notes": "<p></p>", "IP-species-checked": "notRecommended", "IP-species-dilution-info": "", "IP-species-notes": "", "ICCIF-species-checked": "notRecommended", "ICCIF-species-dilution-info": "", "ICCIF-species-notes": "<p></p>" }, "Transfected cell line - Human": { "IHCP-species-checked": "testedAndGuaranteed", "IHCP-species-dilution-info": "1/5000", "IHCP-species-notes": "<p></p> Perform heat-mediated antigen retrieval with Tris/EDTA buffer pH 9.0 before commencing with IHC staining protocol.", "WB-species-checked": "notRecommended", "WB-species-dilution-info": "", "WB-species-notes": "", "IP-species-checked": "notRecommended", "IP-species-dilution-info": "", "IP-species-notes": "", "ICCIF-species-checked": "notRecommended", "ICCIF-species-dilution-info": "", "ICCIF-species-notes": "" }, "Transfected cell lysate - Human": { "IHCP-species-checked": "notRecommended", "IHCP-species-dilution-info": "", "IHCP-species-notes": "", "WB-species-checked": "testedAndGuaranteed", "WB-species-dilution-info": "1/1000", "WB-species-notes": "<p></p>", "IP-species-checked": "notRecommended", "IP-species-dilution-info": "", "IP-species-notes": "", "ICCIF-species-checked": "notRecommended", "ICCIF-species-dilution-info": "", "ICCIF-species-notes": "" } } }

Product details

Patented technology
Our RabMAb® technology is a patented hybridoma-based technology for making rabbit monoclonal antibodies. For details on our patents, please refer to RabMAb® patents.

What are the advantages of a recombinant monoclonal antibody?
This product is a recombinant monoclonal antibody, which offers several advantages including:

  • - High batch-to-batch consistency and reproducibility
  • - Improved sensitivity and specificity
  • - Long-term security of supply
  • - Animal-free batch production

For more information, read more on recombinant antibodies.

Properties and storage information

Form
Liquid
Purification technique
Affinity purification Protein A
Storage buffer
pH: 7.2 - 7.4 Preservative: 0.01% Sodium azide Constituents: PBS, 40% Glycerol (glycerin, glycerine), 0.05% BSA
Shipped at conditions
Blue Ice
Appropriate short-term storage duration
1-2 weeks
Appropriate short-term storage conditions
+4°C
Appropriate long-term storage conditions
-20°C
Aliquoting information
Upon delivery aliquot
Storage information
Avoid freeze / thaw cycle

Product protocols

For this product, it's our understanding that no specific protocols are required. You can visit:

Target data

Catalyzes the conversion of inosine 5'-phosphate (IMP) to xanthosine 5'-phosphate (XMP), the first committed and rate-limiting step in the de novo synthesis of guanine nucleotides, and therefore plays an important role in the regulation of cell growth. Could also have a single-stranded nucleic acid-binding activity and could play a role in RNA and/or DNA metabolism. It may also have a role in the development of malignancy and the growth progression of some tumors.
See full target information IMPDH1

Product promise

We are committed to supporting your work with high-quality reagents, and we're here for you every step of the way. In the unlikely event that one of our products does not perform as expected, you're protected by our Product Promise.
For full details, please see our Terms & Conditions

Please note: All products are 'FOR RESEARCH USE ONLY. NOT FOR USE IN DIAGNOSTIC OR THERAPEUTIC PROCEDURES'.

For licensing inquiries, please contact partnerships@abcam.com