JavaScript is disabled in your browser. Please enable JavaScript to view this website.
AB323871

Anti-IMPDH2 antibody [EPR29835-594]

  • BOND RX™ Validated
  • RabMAb
  • Recombinant
  • 20ul selling size
  • What is this?

Be the first to review this product! Submit a review

|

(0 Publication)

Rabbit Recombinant Monoclonal IMPDH2 antibody. Suitable for Dot, ICC/IF, IHC-P, WB and reacts with Recombinant full length protein - Mouse, Mouse, Rat samples.

View Alternative Names

Inosine-5'-monophosphate dehydrogenase 2, IMP dehydrogenase 2, IMPD 2, IMPDH 2, IMPDH-II

9 Images
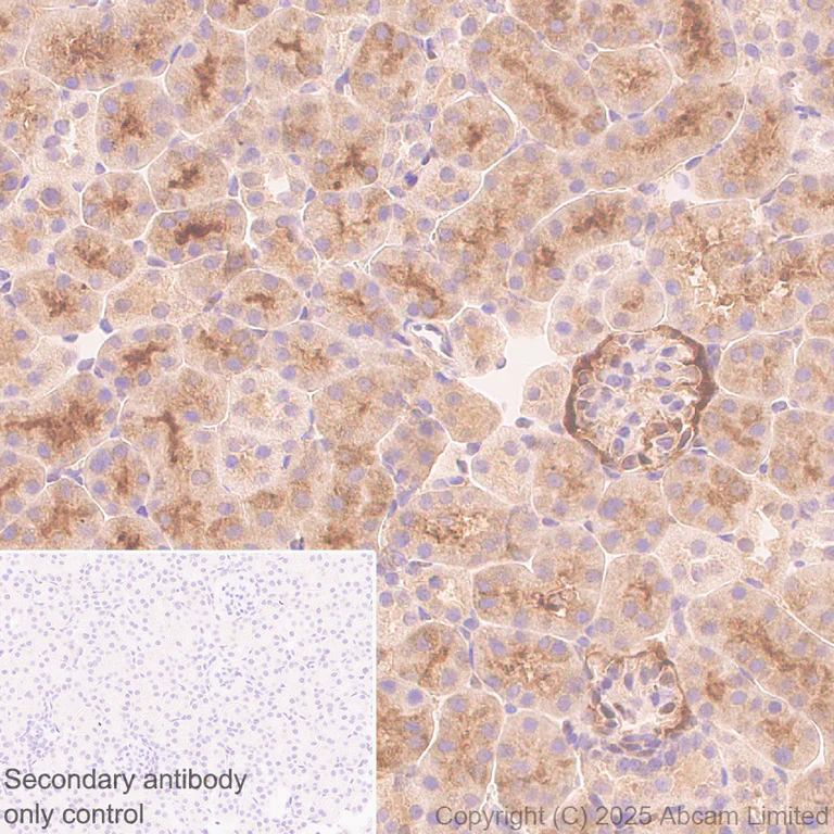
Immunohistochemistry (Formalin/PFA-fixed paraffin-embedded sections) - Anti-IMPDH2 antibody [EPR29835-594] (AB323871)
  • IHC-P

Supplier Data

Immunohistochemistry (Formalin/PFA-fixed paraffin-embedded sections) - Anti-IMPDH2 antibody [EPR29835-594] (AB323871)

Immunohistochemical analysis of paraffin-embedded Mouse kidney tissue labeling IMPDH2 with ab323871 at 1/2000 (0.244 ug/ml) dilution, followed by a ready to use LeicaDS9800 (Bond™ Polymer Refine Detection).

Positive staining on mouse kidney.
The primary antibody was incubated for 30 mins at room temperature.
The immunostaining was performed on a Leica Biosystems BOND® RX instrument

Counterstained with Hematoxylin.

Secondary antibody only control : Secondary antibody is a ready to use LeicaDS9800 (Bond™ Polymer Refine Detection).

Heat mediated antigen retrieval was performed with Tris-EDTA buffer (pH 9.0, Epitope Retrieval Solution2) for 20 mins

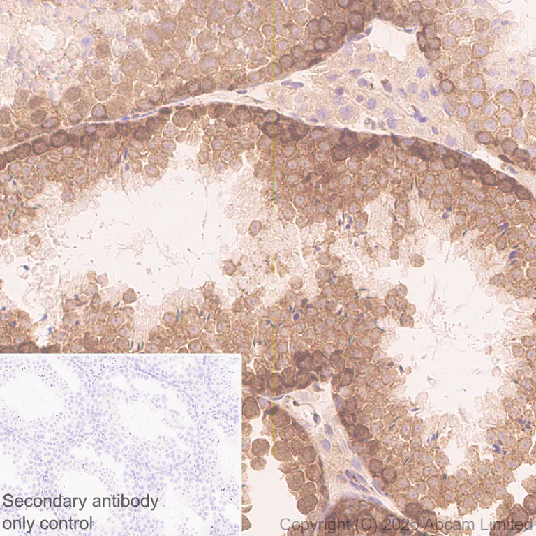
Immunohistochemistry (Formalin/PFA-fixed paraffin-embedded sections) - Anti-IMPDH2 antibody [EPR29835-594] (AB323871)
  • IHC-P

Supplier Data

Immunohistochemistry (Formalin/PFA-fixed paraffin-embedded sections) - Anti-IMPDH2 antibody [EPR29835-594] (AB323871)

Immunohistochemical analysis of paraffin-embedded Mouse testis tissue labeling IMPDH2 with ab323871 at 1/2000 (0.244 ug/ml) dilution, followed by a ready to use LeicaDS9800 (Bond™ Polymer Refine Detection).

Positive staining on mouse testis.
The primary antibody was incubated for 30 mins at room temperature.
The immunostaining was performed on a Leica Biosystems BOND® RX instrument

Counterstained with Hematoxylin.

Secondary antibody only control : Secondary antibody is a ready to use LeicaDS9800 (Bond™ Polymer Refine Detection).

Heat mediated antigen retrieval was performed with Tris-EDTA buffer (pH 9.0, Epitope Retrieval Solution2) for 20 mins

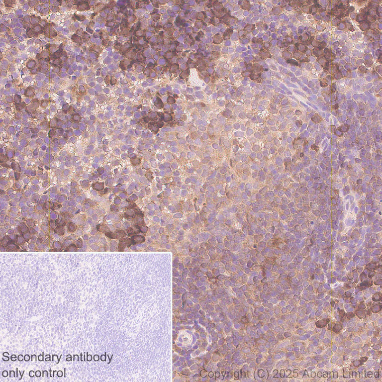
Immunohistochemistry (Formalin/PFA-fixed paraffin-embedded sections) - Anti-IMPDH2 antibody [EPR29835-594] (AB323871)
  • IHC-P

Supplier Data

Immunohistochemistry (Formalin/PFA-fixed paraffin-embedded sections) - Anti-IMPDH2 antibody [EPR29835-594] (AB323871)

Immunohistochemical analysis of paraffin-embedded Mouse spleen tissue labeling IMPDH2 with ab323871 at 1/2000 (0.244 ug/ml) dilution, followed by a ready to use LeicaDS9800 (Bond™ Polymer Refine Detection).

Positive staining on mouse spleen (PMID : 30555474).
The primary antibody was incubated for 30 mins at room temperature.
The immunostaining was performed on a Leica Biosystems BOND® RX instrument

Counterstained with Hematoxylin.

Secondary antibody only control : Secondary antibody is a ready to use LeicaDS9800 (Bond™ Polymer Refine Detection).

Heat mediated antigen retrieval was performed with Tris-EDTA buffer (pH 9.0, Epitope Retrieval Solution2) for 20 mins

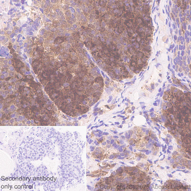
Immunohistochemistry (Formalin/PFA-fixed paraffin-embedded sections) - Anti-IMPDH2 antibody [EPR29835-594] (AB323871)
  • IHC-P

Supplier Data

Immunohistochemistry (Formalin/PFA-fixed paraffin-embedded sections) - Anti-IMPDH2 antibody [EPR29835-594] (AB323871)

Immunohistochemical analysis of paraffin-embedded Mouse breast cancer tissue labeling IMPDH2 with ab323871 at 1/2000 (0.244 ug/ml) dilution, followed by a ready to use LeicaDS9800 (Bond™ Polymer Refine Detection).

Positive staining on mouse breast cancer.
The primary antibody was incubated for 30 mins at room temperature.
The immunostaining was performed on a Leica Biosystems BOND® RX instrument

Counterstained with Hematoxylin.

Secondary antibody only control : Secondary antibody is a ready to use LeicaDS9800 (Bond™ Polymer Refine Detection).

Heat mediated antigen retrieval was performed with Tris-EDTA buffer (pH 9.0, Epitope Retrieval Solution2) for 20 mins

Immunocytochemistry/ Immunofluorescence - Anti-IMPDH2 antibody [EPR29835-594] (AB323871)
  • ICC/IF

Supplier Data

Immunocytochemistry/ Immunofluorescence - Anti-IMPDH2 antibody [EPR29835-594] (AB323871)

Immunofluorescent analysis of 4% Paraformaldehyde-fixed, 0.1% TritonX-100 permeabilized PC-12 (rat adrenal gland pheochromocytoma cell) cells labelling IMPDH2 with ab323871 at 1/50 (9.76 ug/ml) dilution, followed by ab150081 Goat Anti-Rabbit IgG H&L (Alexa Fluor® 488) preadsorbed antibody at 1/1000 (2ug/ml) dilution (Green).

Confocal image showing mainly cytoplasmic staining in PC-12 cell line (shown in green). The counterstain was observed in magenta. Nuclear DNA was labelled with DAPI (shown in blue). Image was taken with a confocal microscope (Leica-Microsystems, TCS SP8).

ab195889 Anti-alpha Tubulin mouse monoclonal antibody - Microtubule Marker (Alexa Fluor® 594) was used to counterstain tubulin at 1/200 (2.5ug/ml) dilution (Magenta).

Secondary antibody only control : Secondary antibody is ab150081 Goat Anti-Rabbit IgG H&L (Alexa Fluor® 488) preadsorbed at 1/1000 (2ug/ml) dilution.

Immunocytochemistry/ Immunofluorescence - Anti-IMPDH2 antibody [EPR29835-594] (AB323871)
  • ICC/IF

Supplier Data

Immunocytochemistry/ Immunofluorescence - Anti-IMPDH2 antibody [EPR29835-594] (AB323871)

Immunofluorescent analysis of 4% Paraformaldehyde-fixed, 0.1% TritonX-100 permeabilized MEF (mouse embryo fibroblast) cells labelling IMPDH2 with ab323871 at 1/50 (9.76 ug/ml) dilution, followed by ab150081 Goat Anti-Rabbit IgG H&L (Alexa Fluor® 488) preadsorbed antibody at 1/1000 (2ug/ml) dilution (Green).

Confocal image showing mainly cytoplasmic staining in MEF cell line (shown in green). The counterstain was observed in magenta. Nuclear DNA was labelled with DAPI (shown in blue). Image was taken with a confocal microscope (Leica-Microsystems, TCS SP8).

ab195889 Anti-alpha Tubulin mouse monoclonal antibody - Microtubule Marker (Alexa Fluor® 594) was used to counterstain tubulin at 1/200 (2.5ug/ml) dilution (Magenta).

Secondary antibody only control : Secondary antibody is ab150081 Goat Anti-Rabbit IgG H&L (Alexa Fluor® 488) preadsorbed at 1/1000 (2ug/ml) dilution.

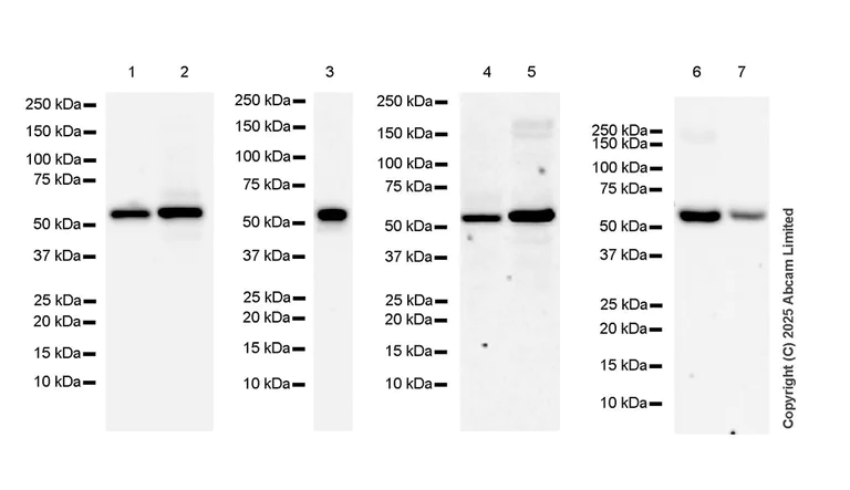
Western blot - Anti-IMPDH2 antibody [EPR29835-594] (AB323871)
  • WB

Supplier Data

Western blot - Anti-IMPDH2 antibody [EPR29835-594] (AB323871)

Blocking and diluting buffer and concentration : 5% NFDM/TBST.

Exposure time : Lane 1-3 : 48 seconds; Lane 4, 5 : 180 seconds; Lane 6, 7 : 59 seconds.

All lanes:

Western blot - Anti-IMPDH2 antibody [EPR29835-594] (ab323871) at 1/1000 dilution

Lane 1:

Mouse testis tissue lysate at 20 µg

Lane 2:

Mouse spleen tissue lysate at 20 µg

Lane 3:

PC-12 (rat adrenal gland pheochromocytoma cell) whole cell lysate at 20 µg

Lane 4:

NMuLi (mouse liver epithelial cell) whole cell lysate at 20 µg

Lane 5:

Neuro-2a (mouse neuroblastoma neuroblast) whole cell lysate at 20 µg

Lane 6:

Rat testis tissue lysate at 20 µg

Lane 7:

Rat spleen tissue lysate at 20 µg

Secondary

All lanes:

Western blot - Goat Anti-Rabbit IgG H&L (HRP) (<a href='/en-us/products/secondary-antibodies/goat-rabbit-igg-h-l-hrp-ab97051'>ab97051</a>) at 1/100000 dilution

Observed band size: 55 kDa

false

Western blot - Anti-IMPDH2 antibody [EPR29835-594] (AB323871)
  • WB

Supplier Data

Western blot - Anti-IMPDH2 antibody [EPR29835-594] (AB323871)

Blocking and diluting buffer and concentration : 5% NFDM/TBST.

In Western blot, Anti-GAPDH antibody [EPR16891] - Loading Control (ab181602) staining at 1/200000 dilution.

All lanes:

Western blot - Anti-IMPDH2 antibody [EPR29835-594] (ab323871) at 1/1000 dilution

Lane 1:

MEF (mouse embryo fibroblast) transfected with scrambled siRNA control whole cell lysate at 20 µg

Lane 2:

MEF transfected with siRNA specifically targeting IMPDH2 whole cell lysate at 20 µg

Secondary

All lanes:

Western blot - Goat Anti-Rabbit IgG H&L (HRP) (<a href='/en-us/products/secondary-antibodies/goat-rabbit-igg-h-l-hrp-ab97051'>ab97051</a>) at 1/100000 dilution

Observed band size: 55 kDa,36 kDa

false

Exposure time: 180s

Dot Blot - Anti-IMPDH2 antibody [EPR29835-594] (AB323871)
  • Dot

Supplier Data

Dot Blot - Anti-IMPDH2 antibody [EPR29835-594] (AB323871)

Dot blot analysis of IMPDH2 using ab323871 at 1 : 1000 (0.488 ug/ml) followed by a Goat Anti-Rabbit IgG, (H+L), Peroxidase conjugated (ab97051) at 1 : 100,000 dilution.

Lane 1 : Mouse IMPDH2 recombinant protein
Lane 2 : C-Myc/DDK Mouse IMPDH1 recombinant protein

Exposure time : 3 minutes.

Blocking and diluting buffer and concentration : 5% NFDM/TBST.

This antibody doesn't cross-react with IMPDH1.
Anti-IMPDH2 + IMPDH1 antibody [EPR9679(B)] staining at 1/1000 dilution.

All lanes:

Dot Blot - Anti-IMPDH2 antibody [EPR29835-594] (ab323871) at 1/1000 dilution

Lane 1:

Mouse IMPDH2 recombinant protein

Lane 2:

C-Myc/DDK Mouse IMPDH1 recombinant protein

Secondary

All lanes:

Dot Blot - Goat Anti-Rabbit IgG H&L (HRP) (<a href='/en-us/products/secondary-antibodies/goat-rabbit-igg-h-l-hrp-ab97051'>ab97051</a>) at 1/100000 dilution

false

Exposure time: 180s

  • Carrier free

    Anti-IMPDH2 antibody [EPR29835-594] - BSA and Azide free

Key facts

Host species

Rabbit

Clonality

Monoclonal

Clone number

EPR29835-594

Isotype

IgG

Carrier free

No

Reacts with

Mouse, Rat

Applications

IHC-P, Dot, ICC/IF, WB

applications

Immunogen

The exact immunogen used to generate this antibody is proprietary information.

Reactivity data

{ "title": "Reactivity Data", "filters": { "stats": ["", "Species", "Dilution Info", "Notes"], "tabs": { "all-applications": {"fullname" : "All Applications", "shortname": "All Applications"}, "Dot" : {"fullname" : "Dot Blot", "shortname":"Dot"}, "ICCIF" : {"fullname" : "Immunocytochemistry/ Immunofluorescence", "shortname":"ICC/IF"}, "IHCP" : {"fullname" : "Immunohistochemistry (Formalin/PFA-fixed paraffin-embedded sections)", "shortname":"IHC-P"}, "WB" : {"fullname" : "Western blot", "shortname":"WB"} }, "product-promise": { "all": "all", "testedAndGuaranteed": "tested", "guaranteed": "expected", "predicted": "predicted", "notRecommended": "not-recommended" } }, "values": { "Mouse": { "Dot-species-checked": "guaranteed", "Dot-species-dilution-info": "", "Dot-species-notes": "", "ICCIF-species-checked": "testedAndGuaranteed", "ICCIF-species-dilution-info": "1/50", "ICCIF-species-notes": "<p></p>", "IHCP-species-checked": "testedAndGuaranteed", "IHCP-species-dilution-info": "1/2000", "IHCP-species-notes": "<p></p> Perform heat-mediated antigen retrieval with Tris/EDTA buffer pH 9.0 before commencing with IHC staining protocol.", "WB-species-checked": "testedAndGuaranteed", "WB-species-dilution-info": "1/1000", "WB-species-notes": "<p></p>" }, "Rat": { "Dot-species-checked": "guaranteed", "Dot-species-dilution-info": "", "Dot-species-notes": "", "ICCIF-species-checked": "testedAndGuaranteed", "ICCIF-species-dilution-info": "1/50", "ICCIF-species-notes": "<p></p>", "IHCP-species-checked": "guaranteed", "IHCP-species-dilution-info": "", "IHCP-species-notes": "", "WB-species-checked": "testedAndGuaranteed", "WB-species-dilution-info": "1/1000", "WB-species-notes": "<p></p>" }, "Recombinant full length protein - Mouse": { "Dot-species-checked": "testedAndGuaranteed", "Dot-species-dilution-info": "1/1000", "Dot-species-notes": "<p></p>", "ICCIF-species-checked": "notRecommended", "ICCIF-species-dilution-info": "", "ICCIF-species-notes": "", "IHCP-species-checked": "notRecommended", "IHCP-species-dilution-info": "", "IHCP-species-notes": "", "WB-species-checked": "notRecommended", "WB-species-dilution-info": "", "WB-species-notes": "" } } }

Product details

Patented technology
Our RabMAb® technology is a patented hybridoma-based technology for making rabbit monoclonal antibodies. For details on our patents, please refer to RabMAb® patents.

What are the advantages of a recombinant monoclonal antibody?
This product is a recombinant monoclonal antibody, which offers several advantages including:

  • - High batch-to-batch consistency and reproducibility
  • - Improved sensitivity and specificity
  • - Long-term security of supply
  • - Animal-free batch production

For more information, read more on recombinant antibodies.

Properties and storage information

Form
Liquid
Purification technique
Affinity purification Protein A
Storage buffer
pH: 7.2 - 7.4 Preservative: 0.01% Sodium azide Constituents: PBS, 40% Glycerol (glycerin, glycerine), 0.05% BSA
Shipped at conditions
Blue Ice
Appropriate short-term storage duration
1-2 weeks
Appropriate short-term storage conditions
+4°C
Appropriate long-term storage conditions
-20°C
Aliquoting information
Upon delivery aliquot
Storage information
Avoid freeze / thaw cycle

Product protocols

For this product, it's our understanding that no specific protocols are required. You can visit:

Target data

Catalyzes the conversion of inosine 5'-phosphate (IMP) to xanthosine 5'-phosphate (XMP), the first committed and rate-limiting step in the de novo synthesis of guanine nucleotides, and therefore plays an important role in the regulation of cell growth. Could also have a single-stranded nucleic acid-binding activity and could play a role in RNA and/or DNA metabolism. It may also have a role in the development of malignancy and the growth progression of some tumors.
See full target information Impdh2

Additional targets

Inosine-5'-monophosphate dehydrogenase 2

Product promise

We are committed to supporting your work with high-quality reagents, and we're here for you every step of the way. In the unlikely event that one of our products does not perform as expected, you're protected by our Product Promise.
For full details, please see our Terms & Conditions

Please note: All products are 'FOR RESEARCH USE ONLY. NOT FOR USE IN DIAGNOSTIC OR THERAPEUTIC PROCEDURES'.

For licensing inquiries, please contact partnerships@abcam.com