JavaScript is disabled in your browser. Please enable JavaScript to view this website.
AB240046

Anti-IMPDH2 antibody [EPR8364(B)] - BSA and Azide free

Be the first to review this product! Submit a review

|

(1 Publication)

Rabbit Recombinant Monoclonal IMPDH2 antibody. Carrier free. Suitable for IHC-P, WB, ICC/IF and reacts with Human samples. Cited in 1 publication.

View Alternative Names

IMPD2, IMPDH2, Inosine-5'-monophosphate dehydrogenase 2, IMP dehydrogenase 2, IMPD 2, IMPDH 2, Inosine-5'-monophosphate dehydrogenase type II, IMP dehydrogenase II, IMPDH-II

4 Images
Western blot - Anti-IMPDH2 antibody [EPR8364(B)] - BSA and Azide free (AB240046)
  • WB

Supplier Data

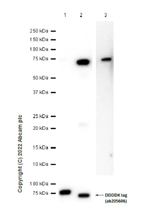
Western blot - Anti-IMPDH2 antibody [EPR8364(B)] - BSA and Azide free (AB240046)

This data was developed using ab131158, the same antibody clone in a different buffer formulation.  Blocking and dilution buffer : 5% NFDM/TBST. Exposure times : Lane 1&2 : 5 seconds Lane 3 : 180 seconds. This antibody shows very faint band when testing IMPDH1 recombinant protein in WB test

All lanes:

Western blot - Anti-IMPDH2 antibody [EPR8364(B)] (<a href='/en-us/products/primary-antibodies/impdh2-antibody-epr8364b-ab131158'>ab131158</a>) at 1/1000 dilution

Lanes 1 and 3:

C-Myc/DDK tagged full length IMPDH1 Human Recombinant Protein

Lane 2:

C-Myc/DDK tagged full length IMPDH2 Human Recombinant Protein

Predicted band size: 56 kDa

Observed band size: 75 kDa

false

Immunohistochemistry (Formalin/PFA-fixed paraffin-embedded sections) - Anti-IMPDH2 antibody [EPR8364(B)] - BSA and Azide free (AB240046)
  • IHC-P

Unknown

Immunohistochemistry (Formalin/PFA-fixed paraffin-embedded sections) - Anti-IMPDH2 antibody [EPR8364(B)] - BSA and Azide free (AB240046)

Immunohistochemical analysis of paraffin-embedded Human colon tissue labelling IMPDH2 with ab131158 at 1/100 dilution.

This data was developed using the same antibody clone in a different buffer formulation containing PBS, BSA, glycerol, and sodium azide (ab131158).

Perform heat mediated antigen retrieval with citrate buffer pH 6 before commencing with IHC staining protocol.

Immunocytochemistry/ Immunofluorescence - Anti-IMPDH2 antibody [EPR8364(B)] - BSA and Azide free (AB240046)
  • ICC/IF

Lab

Immunocytochemistry/ Immunofluorescence - Anti-IMPDH2 antibody [EPR8364(B)] - BSA and Azide free (AB240046)

ab131158 staining IMPDH2 in K562 (human chronic myelogenous leukemia) cells by ICC/IF (Immunocytochemistry/immunofluorescence). Cells were fixed with 4% PFA and permeabilized with 0.1% triton X-100. Samples were incubated with primary antibody at a dilution of 1/500. A goat anti rabbit IgG (Alexa Fluor® 488) (ab150077) was used as the secondary antibody at a dilution of 1/1000.

DAPI was used as a nuclear counterstain and the negative control was PBS only.

This data was developed using the same antibody clone in a different buffer formulation containing PBS, BSA, glycerol, and sodium azide (ab131158).

OI-RD Scanning - Anti-IMPDH2 antibody [EPR8364(B)] - BSA and Azide free (AB240046)
  • OI-RD Scanning

Unknown

OI-RD Scanning - Anti-IMPDH2 antibody [EPR8364(B)] - BSA and Azide free (AB240046)

We have systematically measured KD (the equilibrium dissociation constant between the antibody and its antigen), of more than 840 recombinant antibodies to assess not only their individual KD values but also to see the average affinity of antibody. Based on the comparison with published literature values for mouse monoclonal antibodies, Recombinant antibodies appear to be on average 1-2 order of magnitude higher affinity.

Key facts

Host species

Rabbit

Clonality

Monoclonal

Clone number

EPR8364(B)

Isotype

IgG

Carrier free

Yes

Reacts with

Human

Applications

WB, ICC/IF, IHC-P

applications

Immunogen

The exact immunogen used to generate this antibody is proprietary information.

Specificity

The immunogen used to raise this antibody shares 79% homology with Human IMPDH1.

This antibody shows very faint band when testing IMPDH1 recombinant protein in WB test.

Reactivity data

{ "title": "Reactivity Data", "filters": { "stats": ["", "Species", "Dilution Info", "Notes"], "tabs": { "all-applications": {"fullname" : "All Applications", "shortname": "All Applications"}, "IHCP" : {"fullname" : "Immunohistochemistry (Formalin/PFA-fixed paraffin-embedded sections)", "shortname":"IHC-P"}, "WB" : {"fullname" : "Western blot", "shortname":"WB"}, "ICCIF" : {"fullname" : "Immunocytochemistry/ Immunofluorescence", "shortname":"ICC/IF"} }, "product-promise": { "all": "all", "testedAndGuaranteed": "tested", "guaranteed": "expected", "predicted": "predicted", "notRecommended": "not-recommended" } }, "values": { "Human": { "IHCP-species-checked": "testedAndGuaranteed", "IHCP-species-dilution-info": "", "IHCP-species-notes": "<p></p> Perform heat-mediated antigen retrieval with citrate buffer pH 6 before commencing with IHC staining protocol.", "WB-species-checked": "guaranteed", "WB-species-dilution-info": "", "WB-species-notes": "<p></p>", "ICCIF-species-checked": "testedAndGuaranteed", "ICCIF-species-dilution-info": "", "ICCIF-species-notes": "<p></p>" }, "Mouse": { "IHCP-species-checked": "predicted", "IHCP-species-dilution-info": "", "IHCP-species-notes": "", "WB-species-checked": "predicted", "WB-species-dilution-info": "", "WB-species-notes": "", "ICCIF-species-checked": "predicted", "ICCIF-species-dilution-info": "", "ICCIF-species-notes": "" }, "Rat": { "IHCP-species-checked": "predicted", "IHCP-species-dilution-info": "", "IHCP-species-notes": "", "WB-species-checked": "predicted", "WB-species-dilution-info": "", "WB-species-notes": "", "ICCIF-species-checked": "predicted", "ICCIF-species-dilution-info": "", "ICCIF-species-notes": "" } } }

Product details

ab240046 is the carrier-free version of ab131158.

Patented technology
Our RabMAb® technology is a patented hybridoma-based technology for making rabbit monoclonal antibodies. For details on our patents, please refer to RabMAb® patents.

What are the advantages of a recombinant monoclonal antibody?
This product is a recombinant monoclonal antibody, which offers several advantages including:

  • - High batch-to-batch consistency and reproducibility
  • - Improved sensitivity and specificity
  • - Long-term security of supply
  • - Animal-free batch production

For more information, read more on recombinant antibodies.

Conjugation ready
Our carrier-free antibodies are typically supplied in a PBS-only formulation, purified and free of BSA, sodium azide and glycerol. This conjugation-ready format is designed for use with fluorochromes, metal isotopes, oligonucleotides, and enzymes, which makes them ideal for antibody labelling, functional and cell-based assays, flow-based assays (e.g. mass cytometry) and Multiplex Imaging applications.

Use our conjugation kits for antibody conjugates that are ready-to-use in as little as 20 minutes with 1 minute hands-on-time and 100% antibody recovery: available for fluorescent dyes, HRP, biotin and gold.

Compatibility
This product is compatible with the Maxpar® Antibody Labeling Kit from Fluidigm, without the need for antibody preparation. Maxpar® is a trademark of Fluidigm Canada Inc.

Properties and storage information

Form
Liquid
Purification technique
Affinity purification Protein A
Storage buffer
pH: 7.2 - 7.4 Constituents: PBS
Shipped at conditions
Blue Ice
Appropriate short-term storage conditions
+4°C
Appropriate long-term storage conditions
+4°C
Storage information
Do Not Freeze

Supplementary information

This supplementary information is collated from multiple sources and compiled automatically.

IMPDH2 also known as inosine monophosphate dehydrogenase 2 plays an important role in the de novo synthesis of guanine nucleotides. This enzyme with a molecular mass of approximately 56 kDa catalyzes the conversion of inosine monophosphate (IMP) to xanthosine monophosphate (XMP) an important step in the nucleotide biosynthesis. IMPDH2 is expressed in various tissues across the body with high expression in proliferating cells due to increased nucleotide requirements.
Biological function summary

IMPDH2 functions as a homotetramer forming part of a larger complex that regulates nucleotide levels. This regulation is critical for cell growth differentiation and proliferation. IMPDH2 activity drives the synthesis of guanine nucleotides which are essential for DNA and RNA synthesis influencing cellular communication and energy transfer.

Pathways

The target IMPDH2 has a significant role in the purine nucleotide biosynthesis pathway aligning with other enzymes like GMP synthetase. This pathway is critical in maintaining cellular nucleotide pools. IMPDH2’s activity closely interacts with guanosine monophosphate reductase within the same pathway ensuring the balance between different types of nucleotides necessary for various cellular processes.

Aberrations in IMPDH2 activity link to immunological diseases and cancer. Overexpression or upregulation of this enzyme contributes to the rapid proliferation seen in cancerous cells by maintaining high guanine nucleotide levels. Additionally IMPDH2 serves as a target for immunosuppressive drugs used in autoimmune conditions highlighting its relationship with T- and B-cell proliferation. This positions IMPDH2 in therapeutic strategies alongside its pathway partners to modulate disease outcomes.

Product protocols

For this product, it's our understanding that no specific protocols are required. You can visit:

Target data

Catalyzes the conversion of inosine 5'-phosphate (IMP) to xanthosine 5'-phosphate (XMP), the first committed and rate-limiting step in the de novo synthesis of guanine nucleotides, and therefore plays an important role in the regulation of cell growth (PubMed : 7763314, PubMed : 7903306). Could also have a single-stranded nucleic acid-binding activity and could play a role in RNA and/or DNA metabolism (PubMed : 14766016). It may also have a role in the development of malignancy and the growth progression of some tumors.
See full target information IMPDH2

Publications (1)

Recent publications for all applications. Explore the full list and refine your search

Frontiers in molecular biosciences 9:1055356 PubMed36518851

2022

The copper transporter CTR1 and cisplatin accumulation at the single-cell level by LA-ICP-TOFMS.

Applications

Unspecified application

Species

Unspecified reactive species

Anna Schoeberl,Michael Gutmann,Sarah Theiner,Mario Corte-Rodríguez,Gabriel Braun,Petra Vician,Walter Berger,Gunda Koellensperger
View all publications

Product promise

We are committed to supporting your work with high-quality reagents, and we're here for you every step of the way. In the unlikely event that one of our products does not perform as expected, you're protected by our Product Promise.
For full details, please see our Terms & Conditions

Please note: All products are 'FOR RESEARCH USE ONLY. NOT FOR USE IN DIAGNOSTIC OR THERAPEUTIC PROCEDURES'.

For licensing inquiries, please contact partnerships@abcam.com