JavaScript is disabled in your browser. Please enable JavaScript to view this website.
AB248323

Anti-IMPDH2 antibody [EPR8365(B)] - BSA and Azide free

Be the first to review this product! Submit a review

|

(1 Publication)

Rabbit Recombinant Monoclonal IMPDH2 antibody. Carrier free. Suitable for IHC-P, ICC/IF, WB, Flow Cyt (Intra) and reacts with Human samples. Cited in 1 publication.

View Alternative Names

IMPD2, IMPDH2, Inosine-5'-monophosphate dehydrogenase 2, IMP dehydrogenase 2, IMPD 2, IMPDH 2, Inosine-5'-monophosphate dehydrogenase type II, IMP dehydrogenase II, IMPDH-II

7 Images
Immunocytochemistry/ Immunofluorescence - Anti-IMPDH2 antibody [EPR8365(B)] - BSA and Azide free (AB248323)
  • ICC/IF

Lab

Immunocytochemistry/ Immunofluorescence - Anti-IMPDH2 antibody [EPR8365(B)] - BSA and Azide free (AB248323)

This data was developed using ab129165, the same antibody clone in a different buffer formulation.

Immunocytochemistry/Immunofluorescence analysis of HeLa (human cervix adenocarcinoma epithelial cell) cells labelling IMPDH2 (Green) with ab129165 at 1/1000 dilution. Cells were fixed with 4% paraformaldehyde and permeabilized with 0.1% Triton X-100. ab150081, an Alexa Fluor® 488-conjugated goat anti-rabbit IgG H&L, was used as the secondary antibody at a 1/1000. Tubulin (Red) was stained with ab195889, an Alexa Fluor® 594-conjugated anti-alpha tubulin antibody, at a 1/200 dilution. DAPI (Blue) was used as the nuclear counterstain. Negative control using only secondary antibody.

Confocal image showing cytoplasmic and weak nuclear staining in HeLa cells.

Image was taken with a confocal microscope (Leica-Microsystems, TCS SP8).

Flow Cytometry (Intracellular) - Anti-IMPDH2 antibody [EPR8365(B)] - BSA and Azide free (AB248323)
  • Flow Cyt (Intra)

Lab

Flow Cytometry (Intracellular) - Anti-IMPDH2 antibody [EPR8365(B)] - BSA and Azide free (AB248323)

This data was developed using ab129165, the same antibody clone in a different buffer formulation. Intracellular Flow Cytometry analysis of K-562 (human chronic myelogenous leukemia lymphoblast) cells labeling IMPDH2 with ab129165 at 1/20 dilution (Red). Cells were fixed with 4% paraformaldehyde and permeabilised with 90% Methanol. Rabbit monoclonal - Alexa Fluor® 488 (Black) was used as the isotype control, cells without incubation with primary antibody and secondary antibody (Blue) were used as the unlabeled control.

Immunohistochemistry (PFA perfusion fixed frozen sections) - Anti-IMPDH2 antibody [EPR8365(B)] - BSA and Azide free (AB248323)
  • IHC-FoFr

Lab

Immunohistochemistry (PFA perfusion fixed frozen sections) - Anti-IMPDH2 antibody [EPR8365(B)] - BSA and Azide free (AB248323)

This data was developed using ab129165, the same antibody clone in a different buffer formulation.

Immunohistochemistry (Formalin/PFA-fixed paraffin-embedded sections) analysis of human colon tissue labelling IMPDH2 with ab129165 at 1/4000 for 30 mins at room temperature. A Rabbit specific IHC polymer detection kit HRP/DAB (ab209101) was used as the secondary antibody.

Heat mediated antigen retrieval using Bond™ Epitope Retrieval Solution 2 (pH 9.0) for 20 minutes. Negative control using only secondary antibody. Counterstained with hematoxylin.

The immunostaining was performed on a Leica Biosystems BOND® RX instrument.

Immunohistochemistry (PFA perfusion fixed frozen sections) - Anti-IMPDH2 antibody [EPR8365(B)] - BSA and Azide free (AB248323)
  • IHC-FoFr

Lab

Immunohistochemistry (PFA perfusion fixed frozen sections) - Anti-IMPDH2 antibody [EPR8365(B)] - BSA and Azide free (AB248323)

This data was developed using ab129165, the same antibody clone in a different buffer formulation.

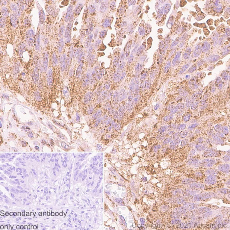
Immunohistochemistry (Formalin/PFA-fixed paraffin-embedded sections) analysis of human ovarian cancer tissue labelling IMPDH2 with ab129165 at 1/4000 for 30 mins at room temperature. A Rabbit specific IHC polymer detection kit HRP/DAB (ab209101) was used as the secondary antibody.

Heat mediated antigen retrieval using Bond™ Epitope Retrieval Solution 2 (pH 9.0) for 20 minutes. Negative control using only secondary antibody. Counterstained with hematoxylin.

The immunostaining was performed on a Leica Biosystems BOND® RX instrument.

Western blot - Anti-IMPDH2 antibody [EPR8365(B)] - BSA and Azide free (AB248323)
  • WB

Lab

Western blot - Anti-IMPDH2 antibody [EPR8365(B)] - BSA and Azide free (AB248323)

This data was developed using ab129165, the same antibody clone in a different buffer formulation. Blocking and diluting buffer and concentration : 5% NFDM/TBST

Lanes 1 - 6:

Western blot - Anti-Met (c-Met) antibody [EP1454Y] - N-terminal (<a href='/en-us/products/primary-antibodies/met-c-met-antibody-ep1454y-n-terminal-ab51067'>ab51067</a>) at 1/1000 dilution

Lanes 1 - 2:

Western blot - Anti-IMPDH2 antibody [EPR8365(B)] (<a href='/en-us/products/primary-antibodies/impdh2-antibody-epr8365b-ab129165'>ab129165</a>) at 1/1000 dilution

Lane 1:

Wild-type A549 cell lysate at 20 µg

Lane 2:

MET knockout A549 cell lysate at 20 µg

Lane 3:

Wild-type HeLa ab255929 cell lysate at 20 µg

Lane 4:

MET (Met (c-Met)) knockout HeLa <a href='/en-us/products/cell-lysates/human-met-c-met-knockout-hela-cell-lysate-ab256991'>ab256991</a> cell lysate at 20 µg

Lane 5:

HT-29 cell lysate at 20 µg

Lane 6:

T-47D cell lysate at 20 µg

Secondary

All lanes:

NFDM/TBST at 1/20000 dilution

Observed band size: 40-50 kDa

false

Western blot - Anti-IMPDH2 antibody [EPR8365(B)] - BSA and Azide free (AB248323)
  • WB

Lab

Western blot - Anti-IMPDH2 antibody [EPR8365(B)] - BSA and Azide free (AB248323)

This data was developed using ab129165, the same antibody clone in a different buffer formulation. Blocking and diluting buffer and concentration : 5% NFDM/TBST

All lanes:

Western blot - Anti-IMPDH2 antibody [EPR8365(B)] (<a href='/en-us/products/primary-antibodies/impdh2-antibody-epr8365b-ab129165'>ab129165</a>) at 1/10000 dilution

Lane 1:

K-562 (Human chronic myelogenous leukemia lymphoblast) whole cell lysate at 20 µg

Lane 2:

MCF7 (Human breast adenocarcinoma epithelial cell) whole cell lysate at 20 µg

Lanes 3 - 4:

Rat spleen lysate at 20 µg

Lane 5:

Mouse spleen lysate at 20 µg

Secondary

All lanes:

Western blot - Goat Anti-Rabbit IgG H&L (HRP) (<a href='/en-us/products/secondary-antibodies/goat-rabbit-igg-h-l-hrp-ab97051'>ab97051</a>) at 1/20000 dilution

Predicted band size: 56 kDa

Observed band size: 56 kDa

false

Exposure time: 60s

Western blot - Anti-IMPDH2 antibody [EPR8365(B)] - BSA and Azide free (AB248323)
  • WB

Lab

Western blot - Anti-IMPDH2 antibody [EPR8365(B)] - BSA and Azide free (AB248323)

This data was developed using ab129165, the same antibody clone in a different buffer formulation.

Blocking and diluting buffer and concentration : 5% NFDM/TBST

All lanes:

Western blot - Anti-IMPDH2 antibody [EPR8365(B)] (<a href='/en-us/products/primary-antibodies/impdh2-antibody-epr8365b-ab129165'>ab129165</a>) at 1/1000 dilution

Lane 1:

DDDK tagged human full length IMPDH1 recombinant protein at 10 µg

Lane 2:

DDDK tagged human full length IMPDH2 recombinant protein at 10 µg

Secondary

All lanes:

NFDM/TBST at 1/20000 dilution

Predicted band size: 56 kDa

Observed band size: 56 kDa

false

Exposure time: 140s

  • 775 Alexa Fluor® 750

    Alexa Fluor® 750 Anti-IMPDH2 antibody [EPR8365(B)]

  • Unconjugated

    Anti-IMPDH2 antibody [EPR8365(B)]

  • 578 PE

    PE Anti-IMPDH2 antibody [EPR8365(B)]

  • 660 APC

    APC Anti-IMPDH2 antibody [EPR8365(B)]

  • HRP

    HRP Anti-IMPDH2 antibody [EPR8365(B)]

  • 519 Alexa Fluor® 488

    Alexa Fluor® 488 Anti-IMPDH2 antibody [EPR8365(B)]

  • 665 Alexa Fluor® 647

    Alexa Fluor® 647 Anti-IMPDH2 antibody [EPR8365(B)]

  • 617 Alexa Fluor® 594

    Alexa Fluor® 594 Anti-IMPDH2 antibody [EPR8365(B)]

  • 565 Alexa Fluor® 555

    Alexa Fluor® 555 Anti-IMPDH2 antibody [EPR8365(B)]

  • 603 Alexa Fluor® 568

    Alexa Fluor® 568 Anti-IMPDH2 antibody [EPR8365(B)]

Key facts

Host species

Rabbit

Clonality

Monoclonal

Clone number

EPR8365(B)

Isotype

IgG

Carrier free

Yes

Reacts with

Mouse, Rat, Human

Applications

IHC-P, WB, ICC/IF, Flow Cyt (Intra)

applications

Immunogen

The exact immunogen used to generate this antibody is proprietary information.

Specificity

The immunogen used to raise this antibody shares 86% homology with Human IMPDH1. Cross-reactivity with this protein has not been confirmed experimentally.

Reactivity data

{ "title": "Reactivity Data", "filters": { "stats": ["", "Species", "Dilution Info", "Notes"], "tabs": { "all-applications": {"fullname" : "All Applications", "shortname": "All Applications"}, "IHCP" : {"fullname" : "Immunohistochemistry (Formalin/PFA-fixed paraffin-embedded sections)", "shortname":"IHC-P"}, "ICCIF" : {"fullname" : "Immunocytochemistry/ Immunofluorescence", "shortname":"ICC/IF"}, "IP" : {"fullname" : "Immunoprecipitation", "shortname":"IP"}, "WB" : {"fullname" : "Western blot", "shortname":"WB"}, "FlowCytIntra" : {"fullname" : "Flow Cytometry (Intracellular)", "shortname":"Flow Cyt (Intra)"} }, "product-promise": { "all": "all", "testedAndGuaranteed": "tested", "guaranteed": "expected", "predicted": "predicted", "notRecommended": "not-recommended" } }, "values": { "Human": { "IHCP-species-checked": "testedAndGuaranteed", "IHCP-species-dilution-info": "", "IHCP-species-notes": "<p></p>", "ICCIF-species-checked": "testedAndGuaranteed", "ICCIF-species-dilution-info": "", "ICCIF-species-notes": "<p></p>", "IP-species-checked": "notRecommended", "IP-species-dilution-info": "", "IP-species-notes": "<p></p>", "WB-species-checked": "testedAndGuaranteed", "WB-species-dilution-info": "", "WB-species-notes": "<p></p>", "FlowCytIntra-species-checked": "testedAndGuaranteed", "FlowCytIntra-species-dilution-info": "", "FlowCytIntra-species-notes": "<p></p>" }, "Mouse": { "IHCP-species-checked": "predicted", "IHCP-species-dilution-info": "", "IHCP-species-notes": "", "ICCIF-species-checked": "predicted", "ICCIF-species-dilution-info": "", "ICCIF-species-notes": "", "IP-species-checked": "notRecommended", "IP-species-dilution-info": "", "IP-species-notes": "", "WB-species-checked": "predicted", "WB-species-dilution-info": "", "WB-species-notes": "", "FlowCytIntra-species-checked": "predicted", "FlowCytIntra-species-dilution-info": "", "FlowCytIntra-species-notes": "" }, "Rat": { "IHCP-species-checked": "predicted", "IHCP-species-dilution-info": "", "IHCP-species-notes": "", "ICCIF-species-checked": "predicted", "ICCIF-species-dilution-info": "", "ICCIF-species-notes": "", "IP-species-checked": "notRecommended", "IP-species-dilution-info": "", "IP-species-notes": "", "WB-species-checked": "predicted", "WB-species-dilution-info": "", "WB-species-notes": "", "FlowCytIntra-species-checked": "predicted", "FlowCytIntra-species-dilution-info": "", "FlowCytIntra-species-notes": "" } } }

Product details

ab248323 is the carrier-free version of ab129165.

Patented technology
Our RabMAb® technology is a patented hybridoma-based technology for making rabbit monoclonal antibodies. For details on our patents, please refer to RabMAb® patents.

What are the advantages of a recombinant monoclonal antibody?
This product is a recombinant monoclonal antibody, which offers several advantages including:

  • - High batch-to-batch consistency and reproducibility
  • - Improved sensitivity and specificity
  • - Long-term security of supply
  • - Animal-free batch production

For more information, read more on recombinant antibodies.

Conjugation ready
Our carrier-free antibodies are typically supplied in a PBS-only formulation, purified and free of BSA, sodium azide and glycerol. This conjugation-ready format is designed for use with fluorochromes, metal isotopes, oligonucleotides, and enzymes, which makes them ideal for antibody labelling, functional and cell-based assays, flow-based assays (e.g. mass cytometry) and Multiplex Imaging applications.

Use our conjugation kits for antibody conjugates that are ready-to-use in as little as 20 minutes with 1 minute hands-on-time and 100% antibody recovery: available for fluorescent dyes, HRP, biotin and gold.

Compatibility
This product is compatible with the Maxpar® Antibody Labeling Kit from Fluidigm, without the need for antibody preparation. Maxpar® is a trademark of Fluidigm Canada Inc.

Properties and storage information

Form
Liquid
Purification technique
Affinity purification Protein A
Storage buffer
pH: 7.2 - 7.4 Constituents: PBS
Shipped at conditions
Blue Ice
Appropriate short-term storage conditions
+4°C
Appropriate long-term storage conditions
+4°C
Storage information
Do Not Freeze

Supplementary information

This supplementary information is collated from multiple sources and compiled automatically.

IMPDH2 also known as inosine monophosphate dehydrogenase 2 plays an important role in the de novo synthesis of guanine nucleotides. This enzyme with a molecular mass of approximately 56 kDa catalyzes the conversion of inosine monophosphate (IMP) to xanthosine monophosphate (XMP) an important step in the nucleotide biosynthesis. IMPDH2 is expressed in various tissues across the body with high expression in proliferating cells due to increased nucleotide requirements.
Biological function summary

IMPDH2 functions as a homotetramer forming part of a larger complex that regulates nucleotide levels. This regulation is critical for cell growth differentiation and proliferation. IMPDH2 activity drives the synthesis of guanine nucleotides which are essential for DNA and RNA synthesis influencing cellular communication and energy transfer.

Pathways

The target IMPDH2 has a significant role in the purine nucleotide biosynthesis pathway aligning with other enzymes like GMP synthetase. This pathway is critical in maintaining cellular nucleotide pools. IMPDH2’s activity closely interacts with guanosine monophosphate reductase within the same pathway ensuring the balance between different types of nucleotides necessary for various cellular processes.

Aberrations in IMPDH2 activity link to immunological diseases and cancer. Overexpression or upregulation of this enzyme contributes to the rapid proliferation seen in cancerous cells by maintaining high guanine nucleotide levels. Additionally IMPDH2 serves as a target for immunosuppressive drugs used in autoimmune conditions highlighting its relationship with T- and B-cell proliferation. This positions IMPDH2 in therapeutic strategies alongside its pathway partners to modulate disease outcomes.

Product protocols

For this product, it's our understanding that no specific protocols are required. You can visit:

Target data

Catalyzes the conversion of inosine 5'-phosphate (IMP) to xanthosine 5'-phosphate (XMP), the first committed and rate-limiting step in the de novo synthesis of guanine nucleotides, and therefore plays an important role in the regulation of cell growth (PubMed : 7763314, PubMed : 7903306). Could also have a single-stranded nucleic acid-binding activity and could play a role in RNA and/or DNA metabolism (PubMed : 14766016). It may also have a role in the development of malignancy and the growth progression of some tumors.
See full target information IMPDH2

Publications (1)

Recent publications for all applications. Explore the full list and refine your search

Cell proliferation 56:e13400 PubMed36642844

2023

Non-SMC condensin I complex subunit H participates in anti-programmed cell death-1 resistance of clear cell renal cell carcinomas.

Applications

Unspecified application

Species

Unspecified reactive species

Zhi Chen,Weiqiang Ruan,Chunhao Guo,Ke Chen,Le Li,Jihua Tian,Zhiquan Hu,Dan Peng,Xing Zeng
View all publications

Product promise

We are committed to supporting your work with high-quality reagents, and we're here for you every step of the way. In the unlikely event that one of our products does not perform as expected, you're protected by our Product Promise.
For full details, please see our Terms & Conditions

Please note: All products are 'FOR RESEARCH USE ONLY. NOT FOR USE IN DIAGNOSTIC OR THERAPEUTIC PROCEDURES'.

For licensing inquiries, please contact partnerships@abcam.com