JavaScript is disabled in your browser. Please enable JavaScript to view this website.
AB137120

Anti-IMPDH2 + IMPDH1 antibody [EPR9678(B)]

Be the first to review this product! Submit a review

|

(1 Publication)

Rabbit Recombinant Monoclonal IMPDH1 antibody. Suitable for WB and reacts with Human, Mouse, Rat samples. Cited in 1 publication.

View Alternative Names

IMPD1, IMPDH1, Inosine-5'-monophosphate dehydrogenase 1, IMP dehydrogenase 1, IMPD 1, IMPDH 1, IMPDH-I

2 Images
Western blot - Anti-IMPDH2 + IMPDH1 antibody [EPR9678(B)] (AB137120)
  • WB

Unknown

Western blot - Anti-IMPDH2 + IMPDH1 antibody [EPR9678(B)] (AB137120)

All lanes:

Western blot - Anti-IMPDH2 + IMPDH1 antibody [EPR9678(B)] (ab137120) at 1/1000 dilution

Lane 1:

HeLa cell lysate at 10 µg

Lane 2:

Jurkat cell lysate at 10 µg

Lane 3:

K562 cell lysate at 10 µg

Lane 4:

Raji cell lysate at 10 µg

Secondary

All lanes:

HRP labelled goat anti-rabbit at 1/2000 dilution

Predicted band size: 55 kDa

Observed band size: 55 kDa

false

Western blot - Anti-IMPDH2 + IMPDH1 antibody [EPR9678(B)] (AB137120)
  • WB

Lab

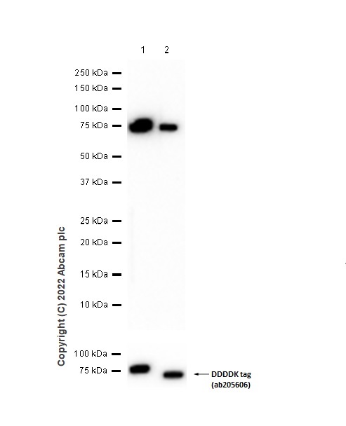
Western blot - Anti-IMPDH2 + IMPDH1 antibody [EPR9678(B)] (AB137120)

Blocking and diluting buffer and concentration : 5% NFDM/TBST.

All lanes:

Western blot - Anti-IMPDH2 + IMPDH1 antibody [EPR9678(B)] (ab137120) at 1/1000 dilution

Lane 1:

DDK tagged human full length IMPDH1 recombinant protein (P20839-3) at 10 ng

Lane 2:

DDK tagged human full length IMPDH2 recombinant protein (P12268) at 10 ng

Secondary

All lanes:

Western blot - Goat Anti-Rabbit IgG H&L (HRP) (<a href='/en-us/products/secondary-antibodies/goat-rabbit-igg-h-l-hrp-ab97051'>ab97051</a>) at 1/20000 dilution

Observed band size: 60 kDa,55 kDa

false

Exposure time: 3s

  • Carrier free

    Anti-IMPDH2 + IMPDH1 antibody [EPR9678(B)] - BSA and Azide free

Key facts

Host species

Rabbit

Clonality

Monoclonal

Clone number

EPR9678(B)

Isotype

IgG

Carrier free

No

Reacts with

Human

Applications

WB

applications

Immunogen

The exact immunogen used to generate this antibody is proprietary information.

Specificity

The immunogen used for this product shares 92% homology with IPMDH2. Cross-reactivity with this protein has not been confirmed experimentally.

Reactivity data

{ "title": "Reactivity Data", "filters": { "stats": ["", "Species", "Dilution Info", "Notes"], "tabs": { "all-applications": {"fullname" : "All Applications", "shortname": "All Applications"}, "IP" : {"fullname" : "Immunoprecipitation", "shortname":"IP"}, "FlowCyt" : {"fullname" : "Flow Cytometry", "shortname":"Flow Cyt"}, "WB" : {"fullname" : "Western blot", "shortname":"WB"}, "IHCP" : {"fullname" : "Immunohistochemistry (Formalin/PFA-fixed paraffin-embedded sections)", "shortname":"IHC-P"}, "ICCIF" : {"fullname" : "Immunocytochemistry/ Immunofluorescence", "shortname":"ICC/IF"} }, "product-promise": { "all": "all", "testedAndGuaranteed": "tested", "guaranteed": "expected", "predicted": "predicted", "notRecommended": "not-recommended" } }, "values": { "Human": { "IP-species-checked": "notRecommended", "IP-species-dilution-info": "", "IP-species-notes": "<p></p>", "FlowCyt-species-checked": "notRecommended", "FlowCyt-species-dilution-info": "", "FlowCyt-species-notes": "<p></p>", "WB-species-checked": "testedAndGuaranteed", "WB-species-dilution-info": "1/1000 - 1/10000", "WB-species-notes": "<p></p>", "IHCP-species-checked": "notRecommended", "IHCP-species-dilution-info": "", "IHCP-species-notes": "<p></p>", "ICCIF-species-checked": "notRecommended", "ICCIF-species-dilution-info": "", "ICCIF-species-notes": "<p></p>" }, "Mouse": { "IP-species-checked": "notRecommended", "IP-species-dilution-info": "", "IP-species-notes": "", "FlowCyt-species-checked": "notRecommended", "FlowCyt-species-dilution-info": "", "FlowCyt-species-notes": "", "WB-species-checked": "guaranteed", "WB-species-dilution-info": "", "WB-species-notes": "<p></p>", "IHCP-species-checked": "notRecommended", "IHCP-species-dilution-info": "", "IHCP-species-notes": "", "ICCIF-species-checked": "notRecommended", "ICCIF-species-dilution-info": "", "ICCIF-species-notes": "" }, "Rat": { "IP-species-checked": "notRecommended", "IP-species-dilution-info": "", "IP-species-notes": "", "FlowCyt-species-checked": "notRecommended", "FlowCyt-species-dilution-info": "", "FlowCyt-species-notes": "", "WB-species-checked": "guaranteed", "WB-species-dilution-info": "", "WB-species-notes": "<p></p>", "IHCP-species-checked": "notRecommended", "IHCP-species-dilution-info": "", "IHCP-species-notes": "", "ICCIF-species-checked": "notRecommended", "ICCIF-species-dilution-info": "", "ICCIF-species-notes": "" } } }

Product details

Patented technology
Our RabMAb® technology is a patented hybridoma-based technology for making rabbit monoclonal antibodies. For details on our patents, please refer to RabMAb® patents.

What are the advantages of a recombinant monoclonal antibody?
This product is a recombinant monoclonal antibody, which offers several advantages including:

  • - High batch-to-batch consistency and reproducibility
  • - Improved sensitivity and specificity
  • - Long-term security of supply
  • - Animal-free batch production

For more information, read more on recombinant antibodies.

Properties and storage information

Form
Liquid
Purity
Tissue culture supernatant
Storage buffer
pH: 7.2 - 7.4 Preservative: 0.01% Sodium azide Constituents: 50% Tissue culture supernatant, 40% Glycerol (glycerin, glycerine), 9% PBS, 0.05% BSA
Shipped at conditions
Blue Ice
Appropriate short-term storage conditions
+4°C
Appropriate long-term storage conditions
-20°C
Aliquoting information
Upon delivery aliquot
Storage information
Avoid freeze / thaw cycle

Supplementary information

This supplementary information is collated from multiple sources and compiled automatically.

The proteins IMPDH2 and IMPDH1 also known as inosine-5'-monophosphate dehydrogenase 2 and 1 are enzymes involved in purine metabolism. IMPDH1 has a mass of approximately 55 kDa while IMPDH2 measures around 56 kDa. Both proteins catalyze the conversion of inosine monophosphate (IMP) to xanthosine monophosphate (XMP) an essential step in the de novo synthesis of guanine nucleotides. They are expressed in various tissues with highest levels found in blood and immune system cells reflecting their important role in cell proliferation.
Biological function summary

These enzymes perform critical functions by facilitating the synthesis of guanine nucleotides which are building blocks of DNA and RNA. IMPDH1 and IMPDH2 do not function within large multimeric complexes but exhibit regulatory roles over cellular proliferation and differentiation. The balance between these enzymes impacts the overall guanine nucleotide pool affecting cellular processes such as growth and division.

Pathways

These enzymes link to nucleotide biosynthesis pathways particularly the guanine nucleotide synthesis pathway. This pathway integrates with the purine metabolism network. IMPDH proteins interact with key enzymes like GMP synthase which directly follows IMPDHs in nucleotide synthesis. Their activity regulates cell proliferative capacity making them integral to processes like DNA replication and repair.

The proteins play significant roles in conditions like cancer and retinitis pigmentosa. IMPDH2 is often overexpressed in rapidly proliferating cancer cells linking it to tumor growth and progression. Meanwhile mutations in IMPDH1 have associations with retinitis pigmentosa a genetic disorder causing retinal degeneration. These enzymes’ dysfunction relates to proteins they interact with in these diseases such as DNA repair proteins in cancer and photoreceptor proteins in retinal disorders.

Product protocols

For this product, it's our understanding that no specific protocols are required. You can visit:

Target data

Catalyzes the conversion of inosine 5'-phosphate (IMP) to xanthosine 5'-phosphate (XMP), the first committed and rate-limiting step in the de novo synthesis of guanine nucleotides, and therefore plays an important role in the regulation of cell growth. Could also have a single-stranded nucleic acid-binding activity and could play a role in RNA and/or DNA metabolism. It may also have a role in the development of malignancy and the growth progression of some tumors.
See full target information IMPDH1

Additional targets

IMPDH2

Publications (1)

Recent publications for all applications. Explore the full list and refine your search

Cancer cell 32:624-638.e5 PubMed29056426

2017

mTORC1 Couples Nucleotide Synthesis to Nucleotide Demand Resulting in a Targetable Metabolic Vulnerability.

Applications

Unspecified application

Species

Unspecified reactive species

Alexander J Valvezan,Marc Turner,Amine Belaid,Hilaire C Lam,Spencer K Miller,Molly C McNamara,Christian Baglini,Benjamin E Housden,Norbert Perrimon,David J Kwiatkowski,John M Asara,Elizabeth P Henske,Brendan D Manning
View all publications

Product promise

We are committed to supporting your work with high-quality reagents, and we're here for you every step of the way. In the unlikely event that one of our products does not perform as expected, you're protected by our Product Promise.
For full details, please see our Terms & Conditions

Please note: All products are 'FOR RESEARCH USE ONLY. NOT FOR USE IN DIAGNOSTIC OR THERAPEUTIC PROCEDURES'.

For licensing inquiries, please contact partnerships@abcam.com