JavaScript is disabled in your browser. Please enable JavaScript to view this website.
AB113493

Anti-IMPG1 antibody

Be the first to review this product! Submit a review

|

(1 Publication)

Rabbit Polyclonal IMPG1 antibody. Suitable for WB, IHC-P and reacts with Human samples. Cited in 1 publication. Immunogen corresponding to Recombinant Fragment Protein within Human IMPG1 aa 200-450.

View Alternative Names

IPM150, SPACR, IMPG1, Interphotoreceptor matrix proteoglycan 1, Interphotoreceptor matrix proteoglycan of 150 kDa, Sialoprotein associated with cones and rods, IPM-150

2 Images
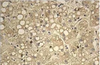
Immunohistochemistry (Formalin/PFA-fixed paraffin-embedded sections) - Anti-IMPG1 antibody (AB113493)
  • IHC-P

Unknown

Immunohistochemistry (Formalin/PFA-fixed paraffin-embedded sections) - Anti-IMPG1 antibody (AB113493)

ab113493 at 1/100 dilution staining IMPG1 in Formalin-fixed, Paraffin-embedded Human fetal liver tissue by Immunohistochemistry.

Western blot - Anti-IMPG1 antibody (AB113493)
  • WB

Unknown

Western blot - Anti-IMPG1 antibody (AB113493)

All lanes:

Western blot - Anti-IMPG1 antibody (ab113493) at 1/500 dilution

Lane 1:

Human fetal liver lysate

Lane 2:

Human fetal muscle lysate

Lane 3:

Human fetal kidney lysate

Lane 4:

HepG2 cell lysate

Lane 5:

97 H cell lysate

Lane 6:

LO2 cell lysate

Predicted band size: 89 kDa

false

Key facts

Host species

Rabbit

Clonality

Polyclonal

Isotype

IgG

Carrier free

No

Reacts with

Human

Applications

WB, IHC-P

applications

Immunogen

Recombinant Fragment Protein within Human IMPG1 aa 200-450. The exact immunogen used to generate this antibody is proprietary information.

Q17R60

Reactivity data

{ "title": "Reactivity Data", "filters": { "stats": ["", "Species", "Dilution Info", "Notes"], "tabs": { "all-applications": {"fullname" : "All Applications", "shortname": "All Applications"}, "WB" : {"fullname" : "Western blot", "shortname":"WB"}, "IHCP" : {"fullname" : "Immunohistochemistry (Formalin/PFA-fixed paraffin-embedded sections)", "shortname":"IHC-P"} }, "product-promise": { "all": "all", "testedAndGuaranteed": "tested", "guaranteed": "expected", "predicted": "predicted", "notRecommended": "not-recommended" } }, "values": { "Human": { "WB-species-checked": "testedAndGuaranteed", "WB-species-dilution-info": "1/500 - 1/1000", "WB-species-notes": "<p></p>", "IHCP-species-checked": "testedAndGuaranteed", "IHCP-species-dilution-info": "1/100 - 1/500", "IHCP-species-notes": "<p></p>" }, "Mouse": { "WB-species-checked": "predicted", "WB-species-dilution-info": "", "WB-species-notes": "", "IHCP-species-checked": "predicted", "IHCP-species-dilution-info": "", "IHCP-species-notes": "" }, "Rat": { "WB-species-checked": "predicted", "WB-species-dilution-info": "", "WB-species-notes": "", "IHCP-species-checked": "predicted", "IHCP-species-dilution-info": "", "IHCP-species-notes": "" } } }

Properties and storage information

Form
Lyophilized
Reconstitution
Reconstitute in 200 µL of water
Purification technique
Affinity purification Immunogen
Purification notes
ab113493 is purified by a peptide affinity column.
Storage buffer
pH: 7.2 Preservative: 0.02% Sodium azide Constituents: 1% BSA
Shipped at conditions
Blue Ice
Appropriate short-term storage conditions
+4°C
Appropriate long-term storage conditions
-20°C
Aliquoting information
Upon delivery aliquot
Storage information
Avoid freeze / thaw cycle

Supplementary information

This supplementary information is collated from multiple sources and compiled automatically.

IMPG1 also known as Interphotoreceptor Matrix Proteoglycan 1 or SPACR (Sialoprotein Associated with Cones and Rods) is a protein with a mass of about 133 kDa. It plays a mechanical role in the structure and function of the interphotoreceptor matrix (IPM) in the eye. IMPG1 locates between the photoreceptor cells and the retinal pigment epithelium and its expression is highly specific to retinal tissues. This protein contributes to maintaining the extracellular environment important for ocular photoreceptors.
Biological function summary

IMPG1 supports the stability and integrity of the IPM serving as a structural component and interacting with various molecules within the matrix. It contributes to the arrangement of photoreceptor outer segments facilitating their proper function. IMPG1 forms a complex with other glycoproteins in the IPM providing a scaffold for adhesion molecules and playing a significant role in visual cycles. Its interactions with retinal pigment epithelial cells influence photoreceptor health and homeostasis.

Pathways

IMPG1 participates prominently in the visual cycle and phototransduction pathway. In these pathways the protein ensures effective communication and nutrient exchange between photoreceptors and retinal pigment epithelial cells. Notably IMPG1 interacts with peripherin-2 a protein essential for disc morphogenesis in photoreceptors. This relationship enhances the structural cohesion needed for efficient phototransduction and maintenance of vision.

IMPG1 associates strongly with retinitis pigmentosa and macular degeneration. These conditions often involve mutations or malfunctions in this protein leading to progressive vision loss. IMPG1 relationships with proteins like peripherin-2 are critical in understanding such diseases as disruptions can impair the protective and structural roles of the interphotoreceptor matrix. Studying these connections aids in developing potential therapeutic strategies for degenerative retinal disorders.

Product protocols

For this product, it's our understanding that no specific protocols are required. You can visit:

Target data

Chondroitin sulfate-, heparin- and hyaluronan-binding protein (By similarity). May serve to form a basic macromolecular scaffold comprising the insoluble interphotoreceptor matrix (PubMed : 9813076).
See full target information IMPG1

Publications (1)

Recent publications for all applications. Explore the full list and refine your search

Acta biomaterialia 74:207-221 PubMed29777959

2018

Extracellular matrix component expression in human pluripotent stem cell-derived retinal organoids recapitulates retinogenesis in vivo and reveals an important role for IMPG1 and CD44 in the development of photoreceptors and interphotoreceptor matrix.

Applications

Unspecified application

Species

Unspecified reactive species

Majed Felemban,Birthe Dorgau,Nicola Claire Hunt,Dean Hallam,Darin Zerti,Roman Bauer,Yuchun Ding,Joseph Collin,David Steel,Natalio Krasnogor,Jumana Al-Aama,Susan Lindsay,Carla Mellough,Majlinda Lako
View all publications

Product promise

We are committed to supporting your work with high-quality reagents, and we're here for you every step of the way. In the unlikely event that one of our products does not perform as expected, you're protected by our Product Promise.
For full details, please see our Terms & Conditions

Please note: All products are 'FOR RESEARCH USE ONLY. NOT FOR USE IN DIAGNOSTIC OR THERAPEUTIC PROCEDURES'.

For licensing inquiries, please contact partnerships@abcam.com