JavaScript is disabled in your browser. Please enable JavaScript to view this website.
AB99273

Anti-Importin 7 antibody

Be the first to review this product! Submit a review

|

(17 Publications)

Rabbit Polyclonal Importin 7 antibody. Suitable for IHC-P, IP, WB and reacts with Human, Mouse samples. Cited in 17 publications. Immunogen corresponding to Synthetic Peptide within Human IPO7 aa 200-250.

View Alternative Names

RANBP7, IPO7, Importin-7, Imp7, Ran-binding protein 7, RanBP7

4 Images
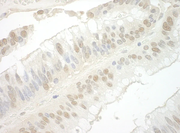
Immunohistochemistry (Formalin/PFA-fixed paraffin-embedded sections) - Anti-Importin 7 antibody (AB99273)
  • IHC-P

Unknown

Immunohistochemistry (Formalin/PFA-fixed paraffin-embedded sections) - Anti-Importin 7 antibody (AB99273)

Immunohistochemistry (Formalin/PFA-fixed paraffin-embedded sections) analysis of human colon carcinoma tissue labelling Importin 7 with ab99273 at 1/1000 (0.2µg/mg). Detection : DAB.

Immunoprecipitation - Anti-Importin 7 antibody (AB99273)
  • IP

Unknown

Immunoprecipitation - Anti-Importin 7 antibody (AB99273)

ab99273 at 0.1 μg/ml detecting Importin 7 in HeLa whole cell lysate by western blot analysis following immunoprecipitation. Detection utilised ECL with a 1 second exposure.
For immunoprecipitation, ab99273 was used at at 10 μg/mg lysate; 1 mg of lysate was used for IP and 20% of IP was loaded.
Lane 1; IP using ab99272 which recognizes an upstream epitope of Importin 7.
Lane 2; IP using ab99273.
Lane 3; IP using control IgG.

All lanes:

Immunoprecipitation - Anti-Importin 7 antibody (ab99273)

Predicted band size: 120 kDa

false

Western blot - Anti-Importin 7 antibody (AB99273)
  • WB

Unknown

Western blot - Anti-Importin 7 antibody (AB99273)

All lanes:

Western blot - Anti-Importin 7 antibody (ab99273) at 0.04 µg/mL

Lane 1:

HeLa whole cell lysate at 50 µg

Lane 2:

HeLa whole cell lysate at 15 µg

Lane 3:

HeLa whole cell lysate at 5 µg

Lane 4:

293T whole cell lysate at 50 µg

Lane 5:

Mouse NIH3T3 whole cell lysate at 50 µg

Predicted band size: 120 kDa

true

Exposure time: 3s

Western blot - Anti-Importin 7 antibody (AB99273)
  • WB

CiteAb

Western blot - Anti-Importin 7 antibody (AB99273)

Importin 7 western blot using anti-Importin 7 antibody ab99273. Publication image and figure legend from Helleboid, P. Y., Heusel, M., et al., 2019, EMBO J, PubMed 31403225.

ab99273 was used in this publication in western blot. This may not be the same as the application(s) guaranteed by Abcam. For a full list of applications guaranteed by Abcam for ab99273 please see the product overview.

KZFP common interactorsSIRT1 interaction validation. HA‐tagged KZFPs transduced cell lines were used for immunoprecipitations. HA immunoprecipitation of weak KAP1 interactor ZKSCAN3 and candidates ZNF138 and ZNF793, followed by the detection of endogenous SIRT1 in the immunoprecipitates through Western blot using an anti‐SIRT1 antibody. Input = cellular lysate, IP = immunoprecipitate. Western blot using an anti‐HA antibody on the IPs at the bottom.Venn diagram representing all the common preys that were detected in 5 and more KZFP interactomes. In pink are shown the common preys that only appear in interactomes alongside KAP1, in blue the prey that only appears in interactomes devoid of KAP1, and in purple the preys that are in both type of interactomes.IPO7 interaction validation. HA‐tagged KZFPs transduced cell lines were used for immunoprecipitations. HA immunoprecipitation of predominantly cytoplasmic ZNF283 and candidates ZNF577 and ZNF765, followed by the detection of endogenous IPO7 through Western blot using an anti‐IPO7 antibody. Input = cellular lysate, IP = immunoprecipitate. Western blot using an anti‐HA antibody on the IPs at the bottom.Source data are available online for this figure.

false

Key facts

Host species

Rabbit

Clonality

Polyclonal

Isotype

IgG

Carrier free

No

Reacts with

Human, Mouse

Applications

IHC-P, IP, WB

applications

Immunogen

Synthetic Peptide within Human IPO7 aa 200-250. The exact immunogen used to generate this antibody is proprietary information.

O95373

Reactivity data

{ "title": "Reactivity Data", "filters": { "stats": ["", "Species", "Dilution Info", "Notes"], "tabs": { "all-applications": {"fullname" : "All Applications", "shortname": "All Applications"}, "IHCP" : {"fullname" : "Immunohistochemistry (Formalin/PFA-fixed paraffin-embedded sections)", "shortname":"IHC-P"}, "IP" : {"fullname" : "Immunoprecipitation", "shortname":"IP"}, "WB" : {"fullname" : "Western blot", "shortname":"WB"} }, "product-promise": { "all": "all", "testedAndGuaranteed": "tested", "guaranteed": "expected", "predicted": "predicted", "notRecommended": "not-recommended" } }, "values": { "Human": { "IHCP-species-checked": "testedAndGuaranteed", "IHCP-species-dilution-info": "1/200 - 1/1000", "IHCP-species-notes": "<p></p> Perform heat-mediated antigen retrieval with citrate buffer pH 6 before commencing with IHC staining protocol.", "IP-species-checked": "testedAndGuaranteed", "IP-species-dilution-info": "5-15 µg/mg of lysate", "IP-species-notes": "<p></p>", "WB-species-checked": "testedAndGuaranteed", "WB-species-dilution-info": "1/2000 - 1/10000", "WB-species-notes": "<p></p>" }, "Mouse": { "IHCP-species-checked": "guaranteed", "IHCP-species-dilution-info": "", "IHCP-species-notes": "", "IP-species-checked": "guaranteed", "IP-species-dilution-info": "", "IP-species-notes": "", "WB-species-checked": "testedAndGuaranteed", "WB-species-dilution-info": "1/2000 - 1/10000", "WB-species-notes": "<p></p>" }, "Rat": { "IHCP-species-checked": "predicted", "IHCP-species-dilution-info": "", "IHCP-species-notes": "", "IP-species-checked": "predicted", "IP-species-dilution-info": "", "IP-species-notes": "", "WB-species-checked": "predicted", "WB-species-dilution-info": "", "WB-species-notes": "" }, "Chimpanzee": { "IHCP-species-checked": "predicted", "IHCP-species-dilution-info": "", "IHCP-species-notes": "", "IP-species-checked": "predicted", "IP-species-dilution-info": "", "IP-species-notes": "", "WB-species-checked": "predicted", "WB-species-dilution-info": "", "WB-species-notes": "" }, "Chinese hamster": { "IHCP-species-checked": "predicted", "IHCP-species-dilution-info": "", "IHCP-species-notes": "", "IP-species-checked": "predicted", "IP-species-dilution-info": "", "IP-species-notes": "", "WB-species-checked": "predicted", "WB-species-dilution-info": "", "WB-species-notes": "" }, "Cow": { "IHCP-species-checked": "predicted", "IHCP-species-dilution-info": "", "IHCP-species-notes": "", "IP-species-checked": "predicted", "IP-species-dilution-info": "", "IP-species-notes": "", "WB-species-checked": "predicted", "WB-species-dilution-info": "", "WB-species-notes": "" }, "Dog": { "IHCP-species-checked": "predicted", "IHCP-species-dilution-info": "", "IHCP-species-notes": "", "IP-species-checked": "predicted", "IP-species-dilution-info": "", "IP-species-notes": "", "WB-species-checked": "predicted", "WB-species-dilution-info": "", "WB-species-notes": "" }, "Elephant": { "IHCP-species-checked": "predicted", "IHCP-species-dilution-info": "", "IHCP-species-notes": "", "IP-species-checked": "predicted", "IP-species-dilution-info": "", "IP-species-notes": "", "WB-species-checked": "predicted", "WB-species-dilution-info": "", "WB-species-notes": "" }, "Gorilla": { "IHCP-species-checked": "predicted", "IHCP-species-dilution-info": "", "IHCP-species-notes": "", "IP-species-checked": "predicted", "IP-species-dilution-info": "", "IP-species-notes": "", "WB-species-checked": "predicted", "WB-species-dilution-info": "", "WB-species-notes": "" }, "Guinea pig": { "IHCP-species-checked": "predicted", "IHCP-species-dilution-info": "", "IHCP-species-notes": "", "IP-species-checked": "predicted", "IP-species-dilution-info": "", "IP-species-notes": "", "WB-species-checked": "predicted", "WB-species-dilution-info": "", "WB-species-notes": "" }, "Horse": { "IHCP-species-checked": "predicted", "IHCP-species-dilution-info": "", "IHCP-species-notes": "", "IP-species-checked": "predicted", "IP-species-dilution-info": "", "IP-species-notes": "", "WB-species-checked": "predicted", "WB-species-dilution-info": "", "WB-species-notes": "" }, "Pig": { "IHCP-species-checked": "predicted", "IHCP-species-dilution-info": "", "IHCP-species-notes": "", "IP-species-checked": "predicted", "IP-species-dilution-info": "", "IP-species-notes": "", "WB-species-checked": "predicted", "WB-species-dilution-info": "", "WB-species-notes": "" }, "Rabbit": { "IHCP-species-checked": "predicted", "IHCP-species-dilution-info": "", "IHCP-species-notes": "", "IP-species-checked": "predicted", "IP-species-dilution-info": "", "IP-species-notes": "", "WB-species-checked": "predicted", "WB-species-dilution-info": "", "WB-species-notes": "" }, "Rhesus monkey": { "IHCP-species-checked": "predicted", "IHCP-species-dilution-info": "", "IHCP-species-notes": "", "IP-species-checked": "predicted", "IP-species-dilution-info": "", "IP-species-notes": "", "WB-species-checked": "predicted", "WB-species-dilution-info": "", "WB-species-notes": "" } } }

Properties and storage information

Form
Liquid
Purification technique
Affinity purification Immunogen
Purification notes
ab99273 was affinity purified using an epitope specific to Importin 7 immobilized on solid support.
Storage buffer
pH: 6.8 - 7.4 Preservative: 0.09% Sodium azide Constituents: Tris buffered saline, 0.1% BSA
Shipped at conditions
Blue Ice
Appropriate short-term storage conditions
+4°C
Appropriate long-term storage conditions
-20°C
Aliquoting information
Upon delivery aliquot
Storage information
Avoid freeze / thaw cycle

Supplementary information

This supplementary information is collated from multiple sources and compiled automatically.

Importin 7 also known as IPO7 is a nuclear transport receptor with a mass of approximately 120 kDa. It facilitates the import of proteins into the nucleus recognizing nuclear localization signals and interacting with the nuclear pore complex. Importin 7 is expressed in various tissues with higher expression levels observed in proliferating cells. It acts independently or in conjunction with importin-beta to mediate transport processes essential for maintaining cellular function.
Biological function summary

Importin 7 participates in the active transport of macromolecules between the cytoplasm and the nucleus. It functions as an important component of the importin superfamily which plays a role in nuclear-cytoplasmic trafficking. Importin 7 can form a complex with importin-beta to transport large cargo requiring importin-alpha therefore indicating its versatility in transport mechanisms. The ability to bind different cargo allows it to regulate transcription factors and other nuclear proteins impacting gene expression and cellular responses.

Pathways

Importin 7 is involved in the nuclear import pathway and participates in the regulation of gene expression. It is integral to the translocation of SMAD proteins which are part of the TGF-beta signaling pathway. The interaction of importin 7 with importin-beta underlines its function in these pathways meticulously controlling the movement of signaling molecules into the nucleus to impact cellular growth processes and differentiation events.

Importin 7 links to cancer and viral infections. Altered expression or mutations may affect nuclear transport contributing to tumorigenesis by disrupting nuclear signaling pathways. In cancer importin 7's relationship with proteins such as p53 can influence the progression of the disease by modifying transcriptional regulatory activities. In viral infections it interacts with viral proteins that hijack the nuclear import machinery allowing viruses to replicate and evade the host immune response.

Product protocols

For this product, it's our understanding that no specific protocols are required. You can visit:

Target data

Functions in nuclear protein import, either by acting as autonomous nuclear transport receptor or as an adapter-like protein in association with the importin-beta subunit KPNB1. Acting autonomously, is thought to serve itself as receptor for nuclear localization signals (NLS) and to promote translocation of import substrates through the nuclear pore complex (NPC) by an energy requiring, Ran-dependent mechanism. At the nucleoplasmic side of the NPC, Ran binds to importin, the importin/substrate complex dissociates and importin is re-exported from the nucleus to the cytoplasm where GTP hydrolysis releases Ran. The directionality of nuclear import is thought to be conferred by an asymmetric distribution of the GTP- and GDP-bound forms of Ran between the cytoplasm and nucleus. Mediates autonomously the nuclear import of ribosomal proteins RPL23A, RPS7 and RPL5 (PubMed : 11682607). In association with KPNB1 mediates the nuclear import of H1 histone and the Ran-binding site of IPO7 is not required but synergizes with that of KPNB1 in importin/substrate complex dissociation. Promotes odontoblast differentiation via promoting nuclear translocation of DLX3, KLF4, SMAD2, thereby facilitating the transcription of target genes that play a role in odontoblast differentiation (By similarity). Facilitates BMP4-induced translocation of SMAD1 to the nucleus and recruitment to the MSX1 gene promoter, thereby promotes the expression of the odontogenic regulator MSX1 in dental mesenchymal cells (By similarity). Also promotes odontoblast differentiation by facilitating the nuclear translocation of HDAC6 and subsequent repression of RUNX2 expression (By similarity). Inhibits osteoblast differentiation by inhibiting nuclear translocation of RUNX2 and therefore inhibition of RUNX2 target gene transcription (By similarity). In vitro, mediates nuclear import of H2A, H2B, H3 and H4 histones.. (Microbial infection) Mediates the nuclear import of HIV-1 reverse transcription complex (RTC) integrase. Binds and mediates the nuclear import of HIV-1 Rev.
See full target information IPO7

Publications (17)

Recent publications for all applications. Explore the full list and refine your search

PLoS pathogens 21:e1013217 PubMed40445976

2025

Temporal gating of nuclear import: How Merkel cell polyomavirus exploits the cell cycle for nuclear entry.

Applications

Unspecified application

Species

Unspecified reactive species

Karen Wang,Adrienne N Eady,Isabel Amaya,Alina Stanczak,Chelsey C Spriggs

PLoS pathogens 20:e1012409 PubMed39146232

2024

Importin-7-dependent nuclear translocation of the Flavivirus core protein is required for infectious virus production.

Applications

Unspecified application

Species

Unspecified reactive species

Yumi Itoh,Yoichi Miyamoto,Makoto Tokunaga,Tatsuya Suzuki,Akira Takada,Akinori Ninomiya,Tomomi Hishinuma,Mami Matsuda,Yoshihiro Yoneda,Masahiro Oka,Ryosuke Suzuki,Yoshiharu Matsuura,Toru Okamoto

EMBO molecular medicine 15:e15984 PubMed37792911

2023

Nuclear ERK1/2 signaling potentiation enhances neuroprotection and cognition via Importinα1/KPNA2.

Applications

Unspecified application

Species

Unspecified reactive species

Marzia Indrigo,Ilaria Morella,Daniel Orellana,Raffaele d'Isa,Alessandro Papale,Riccardo Parra,Antonia Gurgone,Daniela Lecca,Anna Cavaccini,Cezar M Tigaret,Alfredo Cagnotto,Kimberley Jones,Simon Brooks,Gian Michele Ratto,Nicholas D Allen,Mariah J Lelos,Silvia Middei,Maurizio Giustetto,Anna R Carta,Raffaella Tonini,Mario Salmona,Jeremy Hall,Kerrie Thomas,Riccardo Brambilla,Stefania Fasano

Nucleic acid therapeutics 33:117-131 PubMed36735581

2023

Chemical Modifications and Design Influence the Potency of Anti-Gene Oligonucleotides.

Applications

Unspecified application

Species

Unspecified reactive species

Osama Saher,Eman M Zaghloul,Tea Umek,Daniel W Hagey,Negin Mozafari,Mathias B Danielsen,Alaa S Gouda,Karin E Lundin,Per T Jørgensen,Jesper Wengel,C I Edvard Smith,Rula Zain

International journal of molecular sciences 23: PubMed35742897

2022

Tibolone Pre-Treatment Ameliorates the Dysregulation of Protein Translation and Transport Generated by Palmitic Acid-Induced Lipotoxicity in Human Astrocytes: A Label-Free MS-Based Proteomics and Network Analysis.

Applications

Unspecified application

Species

Unspecified reactive species

Diego Julián Vesga-Jiménez,Cynthia A Martín-Jiménez,Adriana Grismaldo Rodríguez,Andrés Felipe Aristizábal-Pachón,Andrés Pinzón,George E Barreto,David Ramírez,Janneth González

Clinics (Sao Paulo, Brazil) 77:100044 PubMed35588577

2022

IPO7 promotes pancreatic cancer progression via regulating ERBB pathway.

Applications

Unspecified application

Species

Unspecified reactive species

Ming Li,Dongqiang Xu,Yijun Zhan,Shiyun Tan

Cell reports 38:110418 PubMed35196484

2022

Nucleoporin-93 reveals a common feature of aggressive breast cancers: robust nucleocytoplasmic transport of transcription factors.

Applications

Unspecified application

Species

Unspecified reactive species

Nishanth Belugali Nataraj,Ashish Noronha,Joo Sang Lee,Soma Ghosh,Harsha Raj Mohan Raju,Arunachalam Sekar,Binyamin Zuckerman,Moshit Lindzen,Emilio Tarcitano,Swati Srivastava,Michael Selitrennik,Ido Livneh,Diana Drago-Garcia,Oscar Rueda,Carlos Caldas,Sima Lev,Tamar Geiger,Aaron Ciechanover,Igor Ulitsky,Rony Seger,Eytan Ruppin,Yosef Yarden

Frontiers in cell and developmental biology 9:630262 PubMed34660566

2021

Pancreatic Cancer Progression Is Regulated by IPO7/p53/LncRNA MALAT1/MiR-129-5p Positive Feedback Loop.

Applications

Unspecified application

Species

Unspecified reactive species

Jin Xu,Weixue Xu,Yang Xuan,Zhen Liu,Qinyun Sun,Cheng Lan

Frontiers in cell and developmental biology 9:732786 PubMed34650978

2021

Increased Nuclear Transporter Importin 7 Contributes to the Tumor Growth and Correlates With CD8 T Cell Infiltration in Cervical Cancer.

Applications

Unspecified application

Species

Unspecified reactive species

Jing Chen,Yan Hu,Yincheng Teng,BiKang Yang

Journal of the Endocrine Society 5:bvab035 PubMed33869982

2021

Ligand Binding Prolongs Androgen Receptor Protein Half-Life by Reducing its Degradation.

Applications

Unspecified application

Species

Unspecified reactive species

Olga Astapova,Christina Seger,Stephen R Hammes
View all publications

Product promise

We are committed to supporting your work with high-quality reagents, and we're here for you every step of the way. In the unlikely event that one of our products does not perform as expected, you're protected by our Product Promise.
For full details, please see our Terms & Conditions

Please note: All products are 'FOR RESEARCH USE ONLY. NOT FOR USE IN DIAGNOSTIC OR THERAPEUTIC PROCEDURES'.

For licensing inquiries, please contact partnerships@abcam.com