JavaScript is disabled in your browser. Please enable JavaScript to view this website.
AB23956

Anti-INCENP antibody [58-217]

4

(3 Reviews)

|

(7 Publications)

Mouse Monoclonal INCENP antibody. Suitable for IHC-P, ICC/IF and reacts with Human samples. Cited in 7 publications.

View Alternative Names

Inner centromere protein, INCENP

3 Images
Immunocytochemistry/ Immunofluorescence - Anti-INCENP antibody [58-217] (AB23956)
  • ICC/IF

Collaborator

Immunocytochemistry/ Immunofluorescence - Anti-INCENP antibody [58-217] (AB23956)

ab23956 staining INCENP in HeLa cells, by immunofluorescence.

optimal antibody dilution : 1mg/ml

Image kindly submitted by Serena Orlando, Giulia Guarguaglini and Patrizia Lavia, from the University 'La Sapienza' CNR, Italy

Immunocytochemistry/ Immunofluorescence - Anti-INCENP antibody [58-217] (AB23956)
  • ICC/IF

Unknown

Immunocytochemistry/ Immunofluorescence - Anti-INCENP antibody [58-217] (AB23956)

ICC/IF image of ab23956 stained human HeLa cells. The cells were methanol fixed (5 min) and incubated with the antibody (ab23956, 1μg/ml) for 1h at room temperature. The secondary antibody (green) was Alexa Fluor® 488 goat anti-mouse IgG (H+L) used at a 1/1000 dilution for 1h. Image-iTTM FX Signal Enhancer was used as the primary blocking agent, 5% BSA (in TBS-T) was used for all other blocking steps. DAPI was used to stain the cell nuclei (blue). Alexa Fluor® 594 WGA was used to label plasma membranes (red).

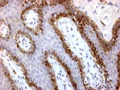
Immunohistochemistry (Formalin/PFA-fixed paraffin-embedded sections) - Anti-INCENP antibody [58-217] (AB23956)
  • IHC-P

Collaborator

Immunohistochemistry (Formalin/PFA-fixed paraffin-embedded sections) - Anti-INCENP antibody [58-217] (AB23956)

ab23956 staining human anal cancer tissue sections by IHC-P. Sections were formaldehyde fixed and subjected to heat mediated antigen retreival in citrate buffer (pH 6) prior to blocking in a commercially available blocking agent for 20 minutes at 20°C. The primary anibody was diluted 1/200 and incubated with the sample for 40 minutes at 20°C. A HRP-conjugated goat anti-mouse antibody was used as the secondary.

This image is courtesy of an Abreview submitted by Antibody Solutions Ltd.

Key facts

Host species

Mouse

Clonality

Monoclonal

Clone number

58-217

Isotype

IgG1

Carrier free

No

Reacts with

Human

Applications

ICC/IF, IHC-P

applications

Immunogen

The exact immunogen used to generate this antibody is proprietary information.

Reactivity data

{ "title": "Reactivity Data", "filters": { "stats": ["", "Species", "Dilution Info", "Notes"], "tabs": { "all-applications": {"fullname" : "All Applications", "shortname": "All Applications"}, "IHCP" : {"fullname" : "Immunohistochemistry (Formalin/PFA-fixed paraffin-embedded sections)", "shortname":"IHC-P"}, "ICCIF" : {"fullname" : "Immunocytochemistry/ Immunofluorescence", "shortname":"ICC/IF"} }, "product-promise": { "all": "all", "testedAndGuaranteed": "tested", "guaranteed": "expected", "predicted": "predicted", "notRecommended": "not-recommended" } }, "values": { "Human": { "IHCP-species-checked": "testedAndGuaranteed", "IHCP-species-dilution-info": "", "IHCP-species-notes": "<p></p>", "ICCIF-species-checked": "testedAndGuaranteed", "ICCIF-species-dilution-info": "1 µg/mL", "ICCIF-species-notes": "<p></p>" }, "Mouse": { "IHCP-species-checked": "notRecommended", "IHCP-species-dilution-info": "", "IHCP-species-notes": "<p></p>", "ICCIF-species-checked": "notRecommended", "ICCIF-species-dilution-info": "1 µg/mL", "ICCIF-species-notes": "<p></p>" }, "Rat": { "IHCP-species-checked": "notRecommended", "IHCP-species-dilution-info": "", "IHCP-species-notes": "<p></p>", "ICCIF-species-checked": "notRecommended", "ICCIF-species-dilution-info": "1 µg/mL", "ICCIF-species-notes": "<p></p>" } } }

Product details

Want a custom formulation?
This antibody clone is manufactured by Abcam. If you require a custom buffer formulation or conjugation for your experiments, please contact orders@abcam.com

Properties and storage information

Form
Liquid
Purity
IgG fraction
Storage buffer
pH: 7.4 Preservative: 0.02% Sodium azide Constituents: PBS
Shipped at conditions
Blue Ice
Appropriate short-term storage duration
1-2 weeks
Appropriate short-term storage conditions
+4°C
Appropriate long-term storage conditions
-20°C
Aliquoting information
Upon delivery aliquot
Storage information
Avoid freeze / thaw cycle

Supplementary information

This supplementary information is collated from multiple sources and compiled automatically.

INCENP short for Inner Centromere Protein plays a mechanical role during cell division. It acts as an important component of the chromosomal passenger complex (CPC) an important player in mitosis. INCENP is approximately 95 kDa in mass and is expressed largely in dividing cells. It helps to regulate chromosome alignment segregation and cytokinesis by interacting with other CPC members. Its activity is centered on the centromeres and the spindle midzone making it essential for proper mitotic progression.
Biological function summary

INCENP functions within the CPC which includes the kinase Aurora B Survivin and Borealin. This complex facilitates proper chromosomal alignment and segregation during mitosis. INCENP links Aurora B kinase activity to the centromere essential for correct chromosome bi-orientation and tension sensing. As a result INCENP stabilizes the architecture of the mitotic spindle ensuring successful cell cycle completion. This process is vital for maintaining genomic stability in proliferating cells.

Pathways

INCENP participates in the signaling cascades that control mitosis and cellular division. It is involved in the spindle assembly checkpoint pathway ensuring that cells do not progress through mitosis with misaligned chromosomes. INCENP interacts closely with proteins such as Aurora B and Survivin within this checkpoint mechanism. These interactions ensure that the cell cycle does not proceed until all chromosomes are correctly attached to the spindle apparatus thereby safeguarding against aneuploidy.

INCENP has strong connections to cancer and various chromosomal instability syndromes. Misregulation or mutation of INCENP can lead to an improper chromosomal segregation resulting in aneuploidy a hallmark of many cancer types. Its association with Aurora B and the other CPC components further implicates its role in tumorigenesis. Alterations in INCENP function could also contribute to disorders characterized by genomic instability highlighting its importance in cell division and genomic integrity.

Product protocols

For this product, it's our understanding that no specific protocols are required. You can visit:

Target data

Component of the chromosomal passenger complex (CPC), a complex that acts as a key regulator of mitosis. The CPC complex has essential functions at the centromere in ensuring correct chromosome alignment and segregation and is required for chromatin-induced microtubule stabilization and spindle assembly. Acts as a scaffold regulating CPC localization and activity. The C-terminus associates with AURKB or AURKC, the N-terminus associated with BIRC5/survivin and CDCA8/borealin tethers the CPC to the inner centromere, and the microtubule binding activity within the central SAH domain directs AURKB/C toward substrates near microtubules (PubMed : 12925766, PubMed : 15316025, PubMed : 27332895). The flexibility of the SAH domain is proposed to allow AURKB/C to follow substrates on dynamic microtubules while ensuring CPC docking to static chromatin (By similarity). Activates AURKB and AURKC (PubMed : 27332895). Required for localization of CBX5 to mitotic centromeres (PubMed : 21346195). Controls the kinetochore localization of BUB1 (PubMed : 16760428).
See full target information INCENP

Publications (7)

Recent publications for all applications. Explore the full list and refine your search

STAR protocols 5:103190 PubMed39002133

2024

Protocol for iterative indirect immunofluorescence imaging in cultured cells, tissue sections, and metaphase chromosome spreads.

Applications

Unspecified application

Species

Unspecified reactive species

Jeffrey Hsu,Kimberly T Nguyen,Magda Bujnowska,Kevin A Janes,Mohammad Fallahi-Sichani

The Journal of cell biology 220: PubMed33443568

2021

Induction of spontaneous human neocentromere formation and long-term maturation.

Applications

Unspecified application

Species

Unspecified reactive species

Marina Murillo-Pineda,Luis P Valente,Marie Dumont,João F Mata,Daniele Fachinetti,Lars E T Jansen

eLife 5: PubMed26885717

2016

Probing the catalytic functions of Bub1 kinase using the small molecule inhibitors BAY-320 and BAY-524.

Applications

Unspecified application

Species

Unspecified reactive species

Anna P Baron,Conrad von Schubert,Fabien Cubizolles,Gerhard Siemeister,Marion Hitchcock,Anne Mengel,Jens Schröder,Amaury Fernández-Montalván,Franz von Nussbaum,Dominik Mumberg,Erich A Nigg

Cell cycle (Georgetown, Tex.) 13:2391-9 PubMed25483190

2014

Ewing sarcoma EWS protein regulates midzone formation by recruiting Aurora B kinase to the midzone.

Applications

Unspecified application

Species

Unspecified reactive species

Hyewon Park,Timothy K Turkalo,Kayla Nelson,Stephen Sai Folmsbee,Caroline Robb,Brittany Roper,Mizuki Azuma

Nature communications 4:2631 PubMed24149858

2013

Functional interplay between Aurora B kinase and Ssu72 phosphatase regulates sister chromatid cohesion.

Applications

Unspecified application

Species

Unspecified reactive species

Hyun-Soo Kim,Se-Hyuk Kim,Hye-Young Park,Janet Lee,Jong Hyuk Yoon,Sunkyu Choi,Sung Ho Ryu,Ho Lee,Hyun-Soo Cho,Chang-Woo Lee

Cell cycle (Georgetown, Tex.) 10:3140-52 PubMed21900751

2011

Raptor, a positive regulatory subunit of mTOR complex 1, is a novel phosphoprotein of the rDNA transcription machinery in nucleoli and chromosomal nucleolus organizer regions (NORs).

Applications

ICC/IF

Species

Human

Alejandro Vazquez-Martin,Sílvia Cufí,Cristina Oliveras-Ferraros,Javier A Menendez

The Journal of cell biology 191:923-31 PubMed21098116

2010

Defects in nuclear pore assembly lead to activation of an Aurora B-mediated abscission checkpoint.

Applications

Unspecified application

Species

Unspecified reactive species

Douglas R Mackay,Masaki Makise,Katharine S Ullman
View all publications

Product promise

We are committed to supporting your work with high-quality reagents, and we're here for you every step of the way. In the unlikely event that one of our products does not perform as expected, you're protected by our Product Promise.
For full details, please see our Terms & Conditions

Please note: All products are 'FOR RESEARCH USE ONLY. NOT FOR USE IN DIAGNOSTIC OR THERAPEUTIC PROCEDURES'.

For licensing inquiries, please contact partnerships@abcam.com