JavaScript is disabled in your browser. Please enable JavaScript to view this website.
AB211017

Anti-Indoleamine 2, 3-dioxygenase antibody [EPR20374]

5

(1 Review)

|

(26 Publications)

Anti-Indoleamine 2, 3-dioxygenase antibody [EPR20374] (ab211017) is a rabbit monoclonal antibody detecting Indoleamine 2, 3-dioxygenase in Western Blot, Flow Cytometry (Intra), Flow Cytometry, IP, IHC-P, ICC/IF. Suitable for Human.

- KO validated for confirmed specificity
- Biophysical QC for unrivalled batch-batch consistency
- Over 10 publications

View Alternative Names

IDO, INDO, IDO1, IDO-1

11 Images
Immunocytochemistry/ Immunofluorescence - Anti-Indoleamine 2, 3-dioxygenase antibody [EPR20374] (AB211017)
  • ICC/IF

Supplier Data

Immunocytochemistry/ Immunofluorescence - Anti-Indoleamine 2, 3-dioxygenase antibody [EPR20374] (AB211017)

Immunofluorescent analysis of 4% paraformaldehyde-fixed 0.1% Triton X-100 permeabilized HeLa (Human epithelial cell line from cervix adenocarcinoma) cells treated with 50ng/ml IFN-γ for 16 hours or untreated labeling Indoleamine 2 3-dioxygenase with ab211017 at 1/2000 dilution followed by Goat anti-rabbit IgG (Alexa Fluor® 488) (ab150077) secondary antibody at 1/1000 dilution (green).

The signal increased after treatment with IFN-γ (50 ng/ml) for 16 hours on HeLa cells.

The nuclear counterstain is DAPI (blue).

Tubulin is detected with ab195889 (Anti-alpha Tubulin antibody [DM1A] - Microtubule Marker (Alexa Fluor® 594)) at 1/200 dilution (red).

Secondary antibody only control : Used PBS instead of primary antibody secondary antibody is Goat anti-rabbit IgG (Alexa Fluor® 488) (ab150077) at 1/1000 dilution.

Immunohistochemistry (Formalin/PFA-fixed paraffin-embedded sections) - Anti-Indoleamine 2, 3-dioxygenase antibody [EPR20374] (AB211017)
  • IHC-P

Lab

Immunohistochemistry (Formalin/PFA-fixed paraffin-embedded sections) - Anti-Indoleamine 2, 3-dioxygenase antibody [EPR20374] (AB211017)

Tissue Microarrays stained for "Anti-Indoleamine 2, 3-dioxygenase antibody [EPR20374]" using "ab211017"in immunohistochemical analysis. This table provides a detailed overview of positive (tick mark) and negative (cross mark) staining per sample type tested. The sections were pre-treated using Heat mediated antigen retrieval using ab93684 (Tris/EDTA buffer, pH 9.0). The sections were incubated with ab211017 at +4°C overnight followed by a ready to use Goat Anti-Rabbit IgG H&L (HRP polymer).

Immunohistochemistry (Formalin/PFA-fixed paraffin-embedded sections) - Anti-Indoleamine 2, 3-dioxygenase antibody [EPR20374] (AB211017)
  • IHC-P

Unknown

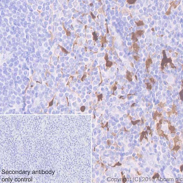
Immunohistochemistry (Formalin/PFA-fixed paraffin-embedded sections) - Anti-Indoleamine 2, 3-dioxygenase antibody [EPR20374] (AB211017)

Immunohistochemical analysis of paraffin-embedded human tonsil tissue labeling Indoleamine 2 3-dioxygenase with ab211017 at 1/2000 dilution followed by Goat Anti-Rabbit IgG H&L (HRP) Ready to use.

Cytoplasmic and nuclear staining on dendritic cells of human tonsil is observed (PMID : 21328335 PMID : 25271151).

Counter stained with Hematoxylin.

Secondary antibody only control : Used PBS instead of primary antibody secondary antibody is Goat Anti-Rabbit IgG H&L (HRP) Ready to use.

Perform heat mediated antigen retrieval with Tris/EDTA buffer pH 9.0 before commencing with IHC staining protocol.

Immunohistochemistry (Formalin/PFA-fixed paraffin-embedded sections) - Anti-Indoleamine 2, 3-dioxygenase antibody [EPR20374] (AB211017)
  • IHC-P

Unknown

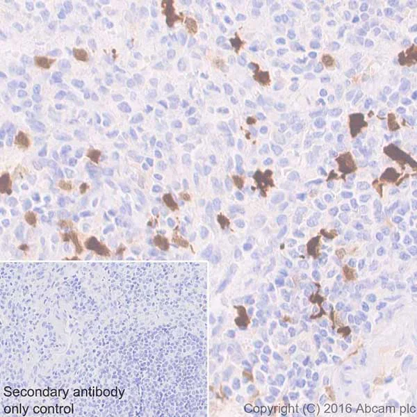
Immunohistochemistry (Formalin/PFA-fixed paraffin-embedded sections) - Anti-Indoleamine 2, 3-dioxygenase antibody [EPR20374] (AB211017)

Immunohistochemical analysis of paraffin-embedded human spleen tissue labeling Indoleamine 2 3-dioxygenase with ab211017 at 1/2000 dilution followed by Goat Anti-Rabbit IgG H&L (HRP) Ready to use.

Cytoplasmic and nuclear staining on dendritic cells of human spleen is observed (PMID : 21328335 PMID : 25271151).

Counter stained with Hematoxylin.

Secondary antibody only control : Used PBS instead of primary antibody secondary antibody is Goat Anti-Rabbit IgG H&L (HRP) Ready to use.

Perform heat mediated antigen retrieval with Tris/EDTA buffer pH 9.0 before commencing with IHC staining protocol.

Immunohistochemistry (Formalin/PFA-fixed paraffin-embedded sections) - Anti-Indoleamine 2, 3-dioxygenase antibody [EPR20374] (AB211017)
  • IHC-P

Unknown

Immunohistochemistry (Formalin/PFA-fixed paraffin-embedded sections) - Anti-Indoleamine 2, 3-dioxygenase antibody [EPR20374] (AB211017)

Immunohistochemical analysis of paraffin-embedded human endometrium cancer tissue labeling Indoleamine 2 3-dioxygenase with ab211017 at 1/2000 dilution followed by Goat Anti-Rabbit IgG H&L (HRP) Ready to use.

Cytoplasmic and nuclear staining on human endometrium cancer is observed (PMID : 26155395).

Counter stained with Hematoxylin.

Secondary antibody only control : Used PBS instead of primary antibody secondary antibody is Goat Anti-Rabbit IgG H&L (HRP) Ready to use.

Perform heat mediated antigen retrieval with Tris/EDTA buffer pH 9.0 before commencing with IHC staining protocol.

Flow Cytometry (Intracellular) - Anti-Indoleamine 2, 3-dioxygenase antibody [EPR20374] (AB211017)
  • Flow Cyt (Intra)

Supplier Data

Flow Cytometry (Intracellular) - Anti-Indoleamine 2, 3-dioxygenase antibody [EPR20374] (AB211017)

Intracellular flow cytometric analysis of 4% paraformaldehyde-fixed HeLa (Human epithelial cell line from cervix adenocarcinoma) cells, treated with 50ng/ml IFN-γ for 16h (red) or untreated (green), labeling Indoleamine 2, 3-dioxygenase with ab211017 at 1/500 dilution compared with a rabbit monoclonal IgG isotype control (ab172730; black) and an unlabeled control (cells without incubation with primary antibody and secondary antibody; blue). Goat anti rabbit IgG (Alexa Fluor® 488) at 1/2000 dilution was used as the secondary antibody.

Immunohistochemistry (Formalin/PFA-fixed paraffin-embedded sections) - Anti-Indoleamine 2, 3-dioxygenase antibody [EPR20374] (AB211017)
  • IHC-P

Unknown

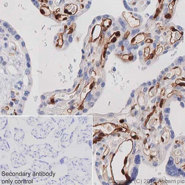
Immunohistochemistry (Formalin/PFA-fixed paraffin-embedded sections) - Anti-Indoleamine 2, 3-dioxygenase antibody [EPR20374] (AB211017)

Immunohistochemical analysis of paraffin-embedded human placenta tissue labeling Indoleamine 2 3-dioxygenase with ab211017 at 1/2000 dilution followed by Goat Anti-Rabbit IgG H&L (HRP) Ready to use.

Cytoplasmic and nuclear staining on endothelial cells of human placenta is observed (PMID : 21328335 PMID : 25271151).

Counter stained with Hematoxylin.

Secondary antibody only control : Used PBS instead of primary antibody secondary antibody is Goat Anti-Rabbit IgG H&L (HRP) Ready to use.

Perform heat mediated antigen retrieval with Tris/EDTA buffer pH 9.0 before commencing with IHC staining protocol.

Immunoprecipitation - Anti-Indoleamine 2, 3-dioxygenase antibody [EPR20374] (AB211017)
  • IP

Supplier Data

Immunoprecipitation - Anti-Indoleamine 2, 3-dioxygenase antibody [EPR20374] (AB211017)

Indoleamine 2, 3-dioxygenase was immunoprecipitated from 0.35 mg of HeLa (Human epithelial cell line from cervix adenocarcinoma) whole cell lysate treated with 50ng/ml IFN-γ for 16h with ab211017 at 1/40 dilution.

Western blot was performed from the immunoprecipitate using ab211017 at 1/1000 dilution.

VeriBlot for IP Detection Reagent (HRP) (ab131366), was used for detection at 1/10000 dilution.

Lane 1 : HeLa treated with 50ng/ml IFN-γ for 16h whole cell lysate 10 μg (Input).

Lane 2 : ab211017 IP in HeLa treated with 50ng/ml IFN-γ for 16h whole cell lysate.

Lane 3 : Rabbit monoclonal IgG (ab172730) instead of ab211017 in HeLa treated with 50ng/ml IFN-γ for 16h whole cell lysate.

Blocking and dilution buffer and concentration : 5% NFDM/TBST.

Exposure time : 1 second.

All lanes:

Immunoprecipitation - Anti-Indoleamine 2, 3-dioxygenase antibody [EPR20374] (ab211017)

Predicted band size: 45 kDa

Observed band size: 45 kDa

false

Western blot - Anti-Indoleamine 2, 3-dioxygenase antibody [EPR20374] (AB211017)
  • WB

Supplier Data

Western blot - Anti-Indoleamine 2, 3-dioxygenase antibody [EPR20374] (AB211017)

Blocking/Dilution buffer : 5% NFDM/TBST.

Exposure time : Lane 1-3 : 3 minutes; Lane 4 : 15 seconds.

All lanes:

Western blot - Anti-Indoleamine 2, 3-dioxygenase antibody [EPR20374] (ab211017) at 1/1000 dilution

Lane 1:

Human ovary cancer lysate at 20 µg

Lane 2:

Human placenta lysate at 20 µg

Lane 3:

Human tonsil lysate at 20 µg

Lane 4:

SK-OV-3 (Human ovarian cancer cell line) whole cell lysate at 10 µg

Secondary

All lanes:

Western blot - Goat Anti-Rabbit IgG H&L (HRP) (<a href='/en-us/products/secondary-antibodies/goat-rabbit-igg-h-l-hrp-ab97051'>ab97051</a>) at 1/100000 dilution

Predicted band size: 45 kDa

Observed band size: 45 kDa

false

Western blot - Anti-Indoleamine 2, 3-dioxygenase antibody [EPR20374] (AB211017)
  • WB

Lab

Western blot - Anti-Indoleamine 2, 3-dioxygenase antibody [EPR20374] (AB211017)

Lanes 1 - 6 : Merged signal (red and green). Green - ab211017 observed at 40 kDa. Red - loading control ab7291 (Mouse anti-Alpha Tubulin [DM1A]) observed at 55 kDa.

ab211017 was shown to react with Indoleamine 2, 3-dioxygenase in treated wild-type A549 cells in Western blot with no signal observed in treated IDO1 knockout cell line ab266949 (IDO1 knockout cell lysate ab256948). Wild-type A549 and IDO1 knockout cell lysates were subjected to SDS-PAGE. Membranes were blocked in 3 % milk in TBS-T (0.1 % Tween®) before incubation with ab211017 and ab7291 (Mouse anti-Alpha Tubulin [DM1A]) overnight at 4 °C at a 1 in 1000 dilution and a 1 in 20000 dilution respectively. Blots were incubated with Goat anti-Rabbit IgG H&L (IRDye® 800CW) preabsorbed (ab216773) and Goat anti-Mouse IgG H&L (IRDye® 680RD) preabsorbed (ab216776) secondary antibodies at 1 in 20000 dilution for 1 h at room temperature before imaging.

All lanes:

Western blot - Anti-Indoleamine 2, 3-dioxygenase antibody [EPR20374] (ab211017) at 1/1000 dilution

Lane 1:

Wild-type A549 Vehicle Control IFN gamma (0 ng/ml, 48 h) cell lysate at 20 µg

Lane 2:

Wild-type A549 Treated IFN gamma (25 ng/ml, 48 h) cell lysate at 20 µg

Lane 2:

Western blot - Human IDO1 (Indoleamine 2, 3-dioxygenase) knockout A549 cell line (<a href='/en-us/products/cell-lines/human-ido1-indoleamine-2-3-dioxygenase-knockout-a549-cell-line-ab266949'>ab266949</a>)

Lane 3:

IDO1 knockout A549 Vehicle Control IFN gamma (0 ng/ml, 48 h) cell lysate at 20 µg

Lane 4:

IDO1 knockout A549 Treated IFN gamma (25 ng/ml, 48 h) cell lysate at 20 µg

Lane 5:

SK-OV-3 cell lysate at 20 µg

Lane 6:

MCF7 cell lysate at 20 µg

Predicted band size: 45 kDa

Observed band size: 40 kDa

false

Western blot - Anti-Indoleamine 2, 3-dioxygenase antibody [EPR20374] (AB211017)
  • WB

Supplier Data

Western blot - Anti-Indoleamine 2, 3-dioxygenase antibody [EPR20374] (AB211017)

Blocking/Dilution buffer : 5% NFDM/TBST.

The level of Indoleamine 2, 3-dioxygenase expression can be induced by IFN-γ treatment (PMID 16368976).

All lanes:

Western blot - Anti-Indoleamine 2, 3-dioxygenase antibody [EPR20374] (ab211017) at 1/1000 dilution

Lane 1:

Untreated HeLa (Human epithelial cell line from cervix adenocarcinoma) whole cell lysate at 10 µg

Lane 2:

HeLa whole cell lysate treated with 50ng/ml Interferon-gamma (IFN-gamma, <a href='/en-us/products/proteins-peptides/recombinant-human-interferon-gamma-protein-ab51240'>ab51240</a>) for 16 hours at 10 µg

Secondary

All lanes:

Western blot - Goat Anti-Rabbit IgG H&L (HRP) (<a href='/en-us/products/secondary-antibodies/goat-rabbit-igg-h-l-hrp-ab97051'>ab97051</a>) at 1/100000 dilution

Predicted band size: 45 kDa

Observed band size: 45 kDa

false

Exposure time: 15s

  • Carrier free

    Anti-Indoleamine 2, 3-dioxygenase antibody [EPR20374] - BSA and Azide free

  • 617 Alexa Fluor® 594

    Alexa Fluor® 594 Anti-Indoleamine 2, 3-dioxygenase antibody [EPR20374]

  • 665 Alexa Fluor® 647

    Alexa Fluor® 647 Anti-Indoleamine 2, 3-dioxygenase antibody [EPR20374]

  • 565 Alexa Fluor® 555

    Alexa Fluor® 555 Anti-Indoleamine 2, 3-dioxygenase antibody [EPR20374]

  • 519 Alexa Fluor® 488

    Alexa Fluor® 488 Anti-Indoleamine 2, 3-dioxygenase antibody [EPR20374]

  • Carrier free

    Anti-Indoleamine 2, 3-dioxygenase antibody [EPR20374] - BSA and Azide free (Capture)

  • Carrier free

    Anti-Indoleamine 2, 3-dioxygenase antibody [EPR20374] - Low endotoxin, Azide free

Key facts

Host species

Rabbit

Clonality

Monoclonal

Clone number

EPR20374

Isotype

IgG

Carrier free

No

Reacts with

Human

Applications

ICC/IF, IHC-P, IP, Flow Cyt (Intra), WB

applications

Immunogen

The exact immunogen used to generate this antibody is proprietary information.

Reactivity data

{ "title": "Reactivity Data", "filters": { "stats": ["", "Species", "Dilution Info", "Notes"], "tabs": { "all-applications": {"fullname" : "All Applications", "shortname": "All Applications"}, "IP" : {"fullname" : "Immunoprecipitation", "shortname":"IP"}, "WB" : {"fullname" : "Western blot", "shortname":"WB"}, "ICCIF" : {"fullname" : "Immunocytochemistry/ Immunofluorescence", "shortname":"ICC/IF"}, "FlowCytIntra" : {"fullname" : "Flow Cytometry (Intracellular)", "shortname":"Flow Cyt (Intra)"}, "IHCP" : {"fullname" : "Immunohistochemistry (Formalin/PFA-fixed paraffin-embedded sections)", "shortname":"IHC-P"} }, "product-promise": { "all": "all", "testedAndGuaranteed": "tested", "guaranteed": "expected", "predicted": "predicted", "notRecommended": "not-recommended" } }, "values": { "Human": { "IP-species-checked": "testedAndGuaranteed", "IP-species-dilution-info": "1/40", "IP-species-notes": "<p></p>", "WB-species-checked": "testedAndGuaranteed", "WB-species-dilution-info": "1/1000", "WB-species-notes": "<p></p>", "ICCIF-species-checked": "testedAndGuaranteed", "ICCIF-species-dilution-info": "1/2000", "ICCIF-species-notes": "<p></p>", "FlowCytIntra-species-checked": "testedAndGuaranteed", "FlowCytIntra-species-dilution-info": "1/500", "FlowCytIntra-species-notes": "<p><a href='/en-us/products/primary-antibodies/rabbit-igg-monoclonal-epr25a-isotype-control-ab172730'>ab172730</a> - Rabbit monoclonal IgG, is suitable for use as an isotype control with this antibody.</p>", "IHCP-species-checked": "testedAndGuaranteed", "IHCP-species-dilution-info": "1/2000", "IHCP-species-notes": "<p></p> Perform heat-mediated antigen retrieval with Tris/EDTA buffer pH 9.0 before commencing with IHC staining protocol." } } }

Product details

What is this antibody validated in?
Anti-Indoleamine 2, 3-dioxygenase antibody [EPR20374] (ab211017) is a rabbit recombinant monoclonal antibody and is validated for use in Western Blot (WB), Flow Cytometry (Intra), Flow Cytometry (Flow Cyt), Immunoprecipitation (IP), Immunohistochemistry (IHC-P), Immunocytochemistry/immunofluorescence (ICC/IF) in Human samples.

What is the molecular weight of Indoleamine 2, 3-dioxygenase?
Anti-Indoleamine 2, 3-dioxygenase [EPR20374] (ab211017) specifically detects a band for Indoleamine 2, 3-dioxygenase (UniProt: P14902) at a molecular weight of 45kDa.

Trusted by the scientific community
Anti-Indoleamine 2, 3-dioxygenase [EPR20374] (ab211017) was first used in a scientific publication in 2017 and has been cited over 10 times in peer-reviewed journals.

Trial sizes available!
Test your antibody or perform pre-screening before committing to a larger quantity. Sold in 10µl. Discover our selection of trial-size antibodies.

Specificity confirmed
The specificity of Anti-Indoleamine 2, 3-dioxygenase antibody [EPR20374] (ab211017) has been confirmed by Western blot testing in IDO1 Knockout A549 cell line, ab266949.

Other related products
We have a range of other formats of antibody clone [EPR20374] also available for your convenience: ab211017, Carrier free - ab224263, Carrier free - ab252586, Carrier free - ab271990, Alexa Fluor® 647 - ab281580, Alexa Fluor® 555 - ab281769, Alexa Fluor® 594 - ab282278, Carrier free - ab302844, Alexa Fluor® 488 - ab315181

Patented technology
Our RabMAb® technology is a patented hybridoma-based technology for making rabbit monoclonal antibodies. For details on our patents, please refer to RabMAb® patents.

What are the advantages of a recombinant monoclonal antibody?
This product is a recombinant monoclonal antibody, which offers several advantages including:

  • - High batch-to-batch consistency and reproducibility
  • - Improved sensitivity and specificity
  • - Long-term security of supply
  • - Animal-free batch production

For more information, read more on recombinant antibodies.

Properties and storage information

Form
Liquid
Purification technique
Affinity purification Protein A
Storage buffer
pH: 7.2 - 7.4 Preservative: 0.01% Sodium azide Constituents: PBS, 40% Glycerol (glycerin, glycerine), 0.05% BSA
Shipped at conditions
Blue Ice
Appropriate short-term storage duration
1-2 weeks
Appropriate short-term storage conditions
+4°C
Appropriate long-term storage conditions
-20°C
Aliquoting information
Upon delivery aliquot
Storage information
Avoid freeze / thaw cycle

Supplementary information

This supplementary information is collated from multiple sources and compiled automatically.

Indoleamine 2 3-dioxygenase (IDO) also known as IDO1 is an enzyme involved in the catabolism of tryptophan to kynurenine. It weighs approximately 45 kDa and it is an important target in immunoregulatory processes. IDO is highly expressed in antigen-presenting cells such as dendritic cells and macrophages as well as in various tumor cells where it helps modulate immune responses. This enzyme can also be measured by using assays like IDO ELISA.
Biological function summary

IDO plays a role in immune response regulation by degrading tryptophan an essential amino acid needed for T-cell proliferation. The depletion of tryptophan and the accumulation of its metabolites such as kynurenine cause immunosuppressive effects within the tissue microenvironment. While IDO functions mostly as a standalone enzyme its activity influences the cellular surroundings by altering the balance of local immune reactions.

Pathways

IDO integrates into the tryptophan metabolism pathway and is important in the kynurenine pathway. Through this pathway it maintains immune homeostasis and cell defense mechanisms. Proteins like kynureninase and kynurenine 3-monooxygenase also participate in the same metabolic processes which further extend the effects of tryptophan metabolism on immune cell behavior.

IDO is linked with cancer and chronic inflammatory conditions. In cancer elevated IDO expression suppresses anti-tumor immunity aiding tumor cells to evade immune surveillance. It also plays a role in autoimmune disorders by regulating excessive immune activity. During cancer progression IDO often works in conjunction with immune checkpoint proteins like PD-L1 which further enhances its immunosuppressive capabilities within the tumor microenvironment.

Product protocols

For this product, it's our understanding that no specific protocols are required. You can visit:

Target data

Catalyzes the first and rate limiting step of the catabolism of the essential amino acid tryptophan along the kynurenine pathway (PubMed : 17671174). Involved in the peripheral immune tolerance, contributing to maintain homeostasis by preventing autoimmunity or immunopathology that would result from uncontrolled and overreacting immune responses (PubMed : 25691885). Tryptophan shortage inhibits T lymphocytes division and accumulation of tryptophan catabolites induces T-cell apoptosis and differentiation of regulatory T-cells (PubMed : 25691885). Acts as a suppressor of anti-tumor immunity (PubMed : 14502282, PubMed : 23103127, PubMed : 25157255, PubMed : 25691885). Limits the growth of intracellular pathogens by depriving tryptophan (PubMed : 25691885). Protects the fetus from maternal immune rejection (PubMed : 25691885).
See full target information IDO1

Publications (26)

Recent publications for all applications. Explore the full list and refine your search

Theranostics 15:5826-5845 PubMed40365295

2025

GPX4 knockdown suppresses M2 macrophage polarization in gastric cancer by modulating kynurenine metabolism.

Applications

Unspecified application

Species

Unspecified reactive species

Jingli Xu,Chunyan Weng,Yanqiang Zhang,Qianyu Zhao,Jiahui Chen,Siwei Pan,Yan Wang,Ruolan Zhang,Yuqi Wang,Weiwei Zhu,Mengxuan Cao,Dan Zu,Shengjie Zhang,Zhiyuan Xu,Can Hu,Xiangdong Cheng

Frontiers in oncology 15:1524861 PubMed40061889

2025

Prognostic significance of the inhibitory-to-stimulatory immune checkpoint ratio in patients with breast cancer.

Applications

Unspecified application

Species

Unspecified reactive species

Chuangang Tang,Xiang Hu,Dawei Hao,Tao Chen,Pei Wang,Changwen Li,Chengling Chen,Yongcheng Li,Xiaowen Hao,Zeng Yuan

Genes & genetic systems 100: PubMed39428479

2024

FOXM1 derived from triple-negative breast cancer exosomes promotes cancer progression by activating IDO1 transcription in macrophages to suppress ferroptosis and induce M2 polarization of tumor-associated macrophages.

Applications

Unspecified application

Species

Unspecified reactive species

Tielin Wang,Yan Zhang,Hong Liu,Jian Wu

Cell death & disease 15:688 PubMed39304650

2024

Mesenchymal stem cells in tumor microenvironment: drivers of bladder cancer progression through mitochondrial dynamics and energy production.

Applications

Unspecified application

Species

Unspecified reactive species

Enguang Yang,Suoshi Jing,Fang Wang,Hanzhang Wang,Shengjun Fu,Li Yang,Junqiang Tian,Dragan J Golijanin,Wafik S El-Deiry,Liang Cheng,Zhiping Wang

Advanced science (Weinheim, Baden-Wurttemberg, Germany) 11:e2402284 PubMed38994917

2024

Hyperactivation of mTOR/eIF4E Signaling Pathway Promotes the Production of Tryptophan-To-Phenylalanine Substitutants in EBV-Positive Gastric Cancer.

Applications

Unspecified application

Species

Unspecified reactive species

Zi-Qi Zheng,Cheng-Rui Zhong,Cheng-Zhi Wei,Xiao-Jiang Chen,Guo-Ming Chen,Run-Cong Nie,Ze-Wei Chen,Fei-Yang Zhang,Yuan-Fang Li,Zhi-Wei Zhou,Yong-Ming Chen,Ye-Lin Liang

Biomarker research 12:55 PubMed38831319

2024

Single-cell and spatial transcriptomics reveal alterations in trophoblasts at invasion sites and disturbed myometrial immune microenvironment in placenta accreta spectrum disorders.

Applications

Unspecified application

Species

Unspecified reactive species

Kaiyuan Ji,Yunshan Chen,Xiuyu Pan,Lina Chen,Xiaodi Wang,Bolun Wen,Junjie Bao,Junmin Zhong,Zi Lv,Zheng Zheng,Huishu Liu

Communications biology 7:669 PubMed38822095

2024

Decidual natural killer cells dysfunction is caused by IDO downregulation in dMDSCs with Toxoplasma gondii infection.

Applications

Unspecified application

Species

Unspecified reactive species

Yu Wang,Xiaoyue Zhao,Zhidan Li,Wenxiao Wang,Yuzhu Jiang,Haixia Zhang,Xianbing Liu,Yushan Ren,Xiaoyan Xu,Xuemei Hu

Clinical proteomics 21:29 PubMed38594611

2024

Proteomics study of primary and recurrent adamantinomatous craniopharyngiomas.

Applications

Unspecified application

Species

Unspecified reactive species

Haidong Deng,Ting Lei,Siqi Liu,Wenzhe Hao,Mengqing Hu,Xin Xiang,Ling Ye,Dongting Chen,Yan Li,Fangjun Liu

Journal of medicinal chemistry 67:4691-4706 PubMed38470246

2024

Discovery of the sEH Inhibitor Epoxykynin as a Potent Kynurenine Pathway Modulator.

Applications

Unspecified application

Species

Unspecified reactive species

Lara Dötsch,Caitlin Davies,Elisabeth Hennes,Julia Schönfeld,Adarsh Kumar,Celine Da Cruz Lopes Guita,Johanna H M Ehrler,Kerstin Hiesinger,Sasikala Thavam,Petra Janning,Sonja Sievers,Stefan Knapp,Ewgenij Proschak,Slava Ziegler,Herbert Waldmann

Cancer medicine 12:21996-22005 PubMed38062922

2023

Tryptophan metabolism enzymes are potential targets in ovarian clear cell carcinoma.

Applications

Unspecified application

Species

Unspecified reactive species

Sumei Zhang,Yike Gao,Pan Wang,Shu Wang,Yuming Wang,Mei Li,Anqi Wang,Kun Zhao,Zixin Zhang,Jian Sun,Dan Guo,Zhiyong Liang
View all publications

Product promise

We are committed to supporting your work with high-quality reagents, and we're here for you every step of the way. In the unlikely event that one of our products does not perform as expected, you're protected by our Product Promise.
For full details, please see our Terms & Conditions

Please note: All products are 'FOR RESEARCH USE ONLY. NOT FOR USE IN DIAGNOSTIC OR THERAPEUTIC PROCEDURES'.

For licensing inquiries, please contact partnerships@abcam.com