JavaScript is disabled in your browser. Please enable JavaScript to view this website.
AB224263

Anti-Indoleamine 2, 3-dioxygenase antibody [EPR20374] - Low endotoxin, Azide free

Be the first to review this product! Submit a review

|

(1 Publication)

Rabbit Recombinant Monoclonal Indoleamine 2, 3-dioxygenase antibody. Carrier free. Suitable for IP, WB, ICC/IF, Flow Cyt (Intra), IHC-P and reacts with Human samples. Cited in 1 publication.

View Alternative Names

IDO, INDO, IDO1, IDO-1

9 Images
Immunohistochemistry (Formalin/PFA-fixed paraffin-embedded sections) - Anti-Indoleamine 2, 3-dioxygenase antibody [EPR20374] - Low endotoxin, Azide free (AB224263)
  • IHC-P

Lab

Immunohistochemistry (Formalin/PFA-fixed paraffin-embedded sections) - Anti-Indoleamine 2, 3-dioxygenase antibody [EPR20374] - Low endotoxin, Azide free (AB224263)

Tissue Microarrays stained for "Anti-Indoleamine 2, 3-dioxygenase antibody [EPR20374]" using "ab211017"in immunohistochemical analysis. This table provides a detailed overview of positive (tick mark) and negative (cross mark) staining per sample type tested. The sections were pre-treated using Heat mediated antigen retrieval using ab93684 (Tris/EDTA buffer, pH 9.0). The sections were incubated with ab211017 at +4°C overnight followed by a ready to use Goat Anti-Rabbit IgG H&L (HRP polymer).

Immunocytochemistry/ Immunofluorescence - Anti-Indoleamine 2, 3-dioxygenase antibody [EPR20374] - Low endotoxin, Azide free (AB224263)
  • ICC/IF

Supplier Data

Immunocytochemistry/ Immunofluorescence - Anti-Indoleamine 2, 3-dioxygenase antibody [EPR20374] - Low endotoxin, Azide free (AB224263)

Immunofluorescent analysis of 4% paraformaldehyde-fixed 0.1% Triton X-100 permeabilized HeLa (Human epithelial cell line from cervix adenocarcinoma) cells treated with 50ng/ml IFN-γ for 16 hours or untreated labeling Indoleamine 2 3-dioxygenase with ab211017 at 1/2000 dilution followed by Goat anti-rabbit IgG (Alexa Fluor® 488) (ab150077) secondary antibody at 1/1000 dilution (green).

The signal increased after treatment with IFN-γ (50 ng/ml) for 16 hours on HeLa cells.

The nuclear counterstain is DAPI (blue).

Tubulin is detected with ab195889 (Anti-alpha Tubulin antibody [DM1A] - Microtubule Marker (Alexa Fluor® 594)) at 1/200 dilution (red).

Secondary antibody only control : Used PBS instead of primary antibody secondary antibody is Goat anti-rabbit IgG (Alexa Fluor® 488) (ab150077) at 1/1000 dilution.

This data was developed using the same antibody clone in a different buffer formulation containing PBS BSA glycerol and sodium azide (ab211017).

Immunohistochemistry (Formalin/PFA-fixed paraffin-embedded sections) - Anti-Indoleamine 2, 3-dioxygenase antibody [EPR20374] - Low endotoxin, Azide free (AB224263)
  • IHC-P

Unknown

Immunohistochemistry (Formalin/PFA-fixed paraffin-embedded sections) - Anti-Indoleamine 2, 3-dioxygenase antibody [EPR20374] - Low endotoxin, Azide free (AB224263)

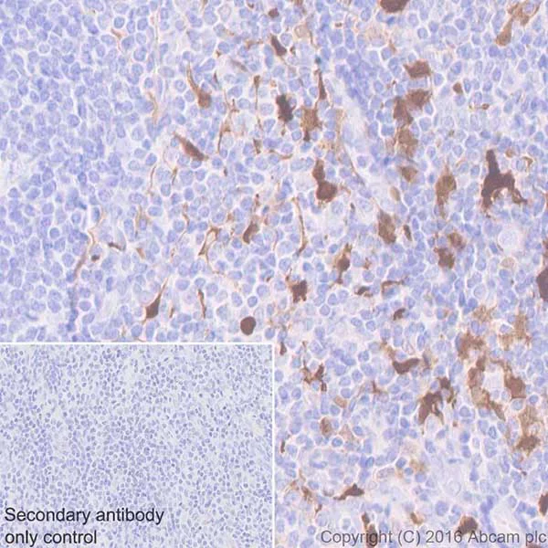
Immunohistochemical analysis of paraffin-embedded human tonsil tissue labeling Indoleamine 2 3-dioxygenase with ab211017 at 1/2000 dilution followed by Goat Anti-Rabbit IgG H&L (HRP) Ready to use.

Cytoplasmic and nuclear staining on dendritic cells of human tonsil is observed (PMID : 21328335 PMID : 25271151).

Counter stained with Hematoxylin.

Secondary antibody only control : Used PBS instead of primary antibody secondary antibody is Goat Anti-Rabbit IgG H&L (HRP) Ready to use.

This data was developed using the same antibody clone in a different buffer formulation containing PBS BSA glycerol and sodium azide (ab211017).

Perform heat mediated antigen retrieval with Tris/EDTA buffer pH 9.0 before commencing with IHC staining protocol.

Immunohistochemistry (Formalin/PFA-fixed paraffin-embedded sections) - Anti-Indoleamine 2, 3-dioxygenase antibody [EPR20374] - Low endotoxin, Azide free (AB224263)
  • IHC-P

Unknown

Immunohistochemistry (Formalin/PFA-fixed paraffin-embedded sections) - Anti-Indoleamine 2, 3-dioxygenase antibody [EPR20374] - Low endotoxin, Azide free (AB224263)

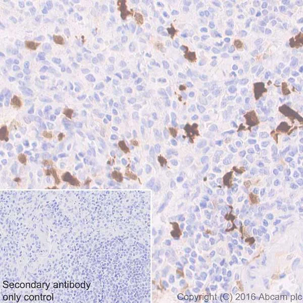
Immunohistochemical analysis of paraffin-embedded human spleen tissue labeling Indoleamine 2 3-dioxygenase with ab211017 at 1/2000 dilution followed by Goat Anti-Rabbit IgG H&L (HRP) Ready to use.

Cytoplasmic and nuclear staining on dendritic cells of human spleen is observed (PMID : 21328335 PMID : 25271151).

Counter stained with Hematoxylin.

Secondary antibody only control : Used PBS instead of primary antibody secondary antibody is Goat Anti-Rabbit IgG H&L (HRP) Ready to use.

This data was developed using the same antibody clone in a different buffer formulation containing PBS BSA glycerol and sodium azide (ab211017).

Perform heat mediated antigen retrieval with Tris/EDTA buffer pH 9.0 before commencing with IHC staining protocol.

Immunohistochemistry (Formalin/PFA-fixed paraffin-embedded sections) - Anti-Indoleamine 2, 3-dioxygenase antibody [EPR20374] - Low endotoxin, Azide free (AB224263)
  • IHC-P

Unknown

Immunohistochemistry (Formalin/PFA-fixed paraffin-embedded sections) - Anti-Indoleamine 2, 3-dioxygenase antibody [EPR20374] - Low endotoxin, Azide free (AB224263)

Immunohistochemical analysis of paraffin-embedded human endometrium cancer tissue labeling Indoleamine 2 3-dioxygenase with ab211017 at 1/2000 dilution followed by Goat Anti-Rabbit IgG H&L (HRP) Ready to use.

Cytoplasmic and nuclear staining on human endometrium cancer is observed (PMID : 26155395).

Counter stained with Hematoxylin.

Secondary antibody only control : Used PBS instead of primary antibody secondary antibody is Goat Anti-Rabbit IgG H&L (HRP) Ready to use.

This data was developed using the same antibody clone in a different buffer formulation containing PBS BSA glycerol and sodium azide (ab211017).

Perform heat mediated antigen retrieval with Tris/EDTA buffer pH 9.0 before commencing with IHC staining protocol.

Flow Cytometry (Intracellular) - Anti-Indoleamine 2, 3-dioxygenase antibody [EPR20374] - Low endotoxin, Azide free (AB224263)
  • Flow Cyt (Intra)

Supplier Data

Flow Cytometry (Intracellular) - Anti-Indoleamine 2, 3-dioxygenase antibody [EPR20374] - Low endotoxin, Azide free (AB224263)

Intracellular flow cytometric analysis of 4% paraformaldehyde-fixed HeLa (Human epithelial cell line from cervix adenocarcinoma) cells, treated with 50ng/ml IFN-γ for 16h (red) or untreated (green), labeling Indoleamine 2, 3-dioxygenase with ab211017 at 1/500 dilution compared with a rabbit monoclonal IgG isotype control (ab172730; black) and an unlabeled control (cells without incubation with primary antibody and secondary antibody; blue). Goat anti rabbit IgG (Alexa Fluor® 488) at 1/2000 dilution was used as the secondary antibody.

This data was developed using the same antibody clone in a different buffer formulation containing PBS, BSA, glycerol, and sodium azide (ab211017).

Immunohistochemistry (Formalin/PFA-fixed paraffin-embedded sections) - Anti-Indoleamine 2, 3-dioxygenase antibody [EPR20374] - Low endotoxin, Azide free (AB224263)
  • IHC-P

Unknown

Immunohistochemistry (Formalin/PFA-fixed paraffin-embedded sections) - Anti-Indoleamine 2, 3-dioxygenase antibody [EPR20374] - Low endotoxin, Azide free (AB224263)

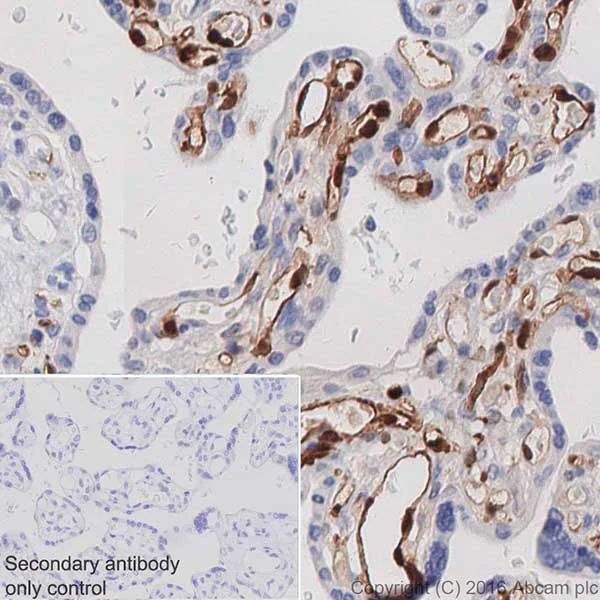
This IHC data was generated using the same anti-IDO antibody clone [EPR20374] in a different buffer formulation (cat# ab211017).

Immunohistochemical analysis of paraffin-embedded human placenta tissue labeling Indoleamine 2 3-dioxygenase with ab211017 at 1/2000 dilution followed by Goat Anti-Rabbit IgG H&L (HRP) Ready to use.

Cytoplasmic and nuclear staining on endothelial cells of human placenta is observed (PMID : 21328335 PMID : 25271151).

Counter stained with Hematoxylin.

Secondary antibody only control : Used PBS instead of primary antibody secondary antibody is Goat Anti-Rabbit IgG H&L (HRP) Ready to use.

Perform heat mediated antigen retrieval with Tris/EDTA buffer pH 9.0 before commencing with IHC staining protocol.

Immunoprecipitation - Anti-Indoleamine 2, 3-dioxygenase antibody [EPR20374] - Low endotoxin, Azide free (AB224263)
  • IP

Supplier Data

Immunoprecipitation - Anti-Indoleamine 2, 3-dioxygenase antibody [EPR20374] - Low endotoxin, Azide free (AB224263)

Indoleamine 2, 3-dioxygenase was immunoprecipitated from 0.35 mg of HeLa (Human epithelial cell line from cervix adenocarcinoma) whole cell lysate treated with 50ng/ml IFN-γ for 16h with ab211017 at 1/40 dilution.

Western blot was performed from the immunoprecipitate using ab211017 at 1/1000 dilution.

VeriBlot for IP Detection Reagent (HRP) (ab131366), was used for detection at 1/10000 dilution.

Lane 1 : HeLa treated with 50ng/ml IFN-γ for 16h whole cell lysate 10 μg (Input).

Lane 2 : ab211017 IP in HeLa treated with 50ng/ml IFN-γ for 16h whole cell lysate.

Lane 3 : Rabbit monoclonal IgG (ab172730) instead of ab211017 in HeLa treated with 50ng/ml IFN-γ for 16h whole cell lysate.

Blocking and dilution buffer and concentration : 5% NFDM/TBST.

Exposure time : 1 second.

This data was developed using the same antibody clone in a different buffer formulation containing PBS, BSA, glycerol, and sodium azide (ab211017).

All lanes:

Immunoprecipitation - Anti-Indoleamine 2, 3-dioxygenase antibody [EPR20374] (<a href='/en-us/products/primary-antibodies/indoleamine-2-3-dioxygenase-antibody-epr20374-ab211017'>ab211017</a>)

Predicted band size: 45 kDa

Observed band size: 45 kDa

false

Western blot - Anti-Indoleamine 2, 3-dioxygenase antibody [EPR20374] - Low endotoxin, Azide free (AB224263)
  • WB

Lab

Western blot - Anti-Indoleamine 2, 3-dioxygenase antibody [EPR20374] - Low endotoxin, Azide free (AB224263)

This data was developed using the same antibody clone in a different buffer formulation (ab211017).

Lanes 1 - 6 : Merged signal (red and green). Green - ab211017 observed at 40 kDa. Red - loading control ab7291 (Mouse anti-Alpha Tubulin [DM1A]) observed at 55 kDa.

ab211017 was shown to react with Indoleamine 2, 3-dioxygenase in treated wild-type A549 cells in Western blot with no signal observed in treated IDO1 knockout cell line ab266949 (IDO1 knockout cell lysate ab256948). Wild-type A549 and IDO1 knockout cell lysates were subjected to SDS-PAGE. Membranes were blocked in 3 % milk in TBS-T (0.1 % Tween®) before incubation with ab211017 and ab7291 (Mouse anti-Alpha Tubulin [DM1A]) overnight at 4 °C at a 1 in 1000 dilution and a 1 in 20000 dilution respectively. Blots were incubated with Goat anti-Rabbit IgG H&L (IRDye® 800CW) preabsorbed (ab216773) and Goat anti-Mouse IgG H&L (IRDye® 680RD) preabsorbed (ab216776) secondary antibodies at 1 in 20000 dilution for 1 h at room temperature before imaging.

All lanes:

Western blot - Anti-Indoleamine 2, 3-dioxygenase antibody [EPR20374] (<a href='/en-us/products/primary-antibodies/indoleamine-2-3-dioxygenase-antibody-epr20374-ab211017'>ab211017</a>) at 1/1000 dilution

Lane 1:

Wild-type A549 Vehicle Control IFN gamma (0 ng/ml, 48 h) cell lysate at 20 µg

Lane 2:

Wild-type A549 Treated IFN gamma (25 ng/ml, 48 h) cell lysate at 20 µg

Lane 2:

Western blot - Human IDO1 (Indoleamine 2, 3-dioxygenase) knockout A549 cell line (<a href='/en-us/products/cell-lines/human-ido1-indoleamine-2-3-dioxygenase-knockout-a549-cell-line-ab266949'>ab266949</a>)

Lane 3:

IDO1 knockout A549 Vehicle Control IFN gamma (0 ng/ml, 48 h) cell lysate at 20 µg

Lane 4:

IDO1 knockout A549 Treated IFN gamma (25 ng/ml, 48 h) cell lysate at 20 µg

Lane 5:

SK-OV-3 cell lysate at 20 µg

Lane 6:

MCF7 cell lysate at 20 µg

Predicted band size: 45 kDa

Observed band size: 40 kDa

false

  • 519 Alexa Fluor® 488

    Alexa Fluor® 488 Anti-Indoleamine 2, 3-dioxygenase antibody [EPR20374]

  • Carrier free

    Anti-Indoleamine 2, 3-dioxygenase antibody [EPR20374] - BSA and Azide free (Capture)

  • Unconjugated

    Anti-Indoleamine 2, 3-dioxygenase antibody [EPR20374]

  • 617 Alexa Fluor® 594

    Alexa Fluor® 594 Anti-Indoleamine 2, 3-dioxygenase antibody [EPR20374]

  • 665 Alexa Fluor® 647

    Alexa Fluor® 647 Anti-Indoleamine 2, 3-dioxygenase antibody [EPR20374]

  • 565 Alexa Fluor® 555

    Alexa Fluor® 555 Anti-Indoleamine 2, 3-dioxygenase antibody [EPR20374]

  • Carrier free

    Anti-Indoleamine 2, 3-dioxygenase antibody [EPR20374] - BSA and Azide free

Key facts

Host species

Rabbit

Clonality

Monoclonal

Clone number

EPR20374

Isotype

IgG

Carrier free

Yes

Reacts with

Human

Applications

Flow Cyt (Intra), ICC/IF, IP, WB, IHC-P

applications

Immunogen

The exact immunogen used to generate this antibody is proprietary information.

Reactivity data

{ "title": "Reactivity Data", "filters": { "stats": ["", "Species", "Dilution Info", "Notes"], "tabs": { "all-applications": {"fullname" : "All Applications", "shortname": "All Applications"}, "IP" : {"fullname" : "Immunoprecipitation", "shortname":"IP"}, "WB" : {"fullname" : "Western blot", "shortname":"WB"}, "ICCIF" : {"fullname" : "Immunocytochemistry/ Immunofluorescence", "shortname":"ICC/IF"}, "FlowCytIntra" : {"fullname" : "Flow Cytometry (Intracellular)", "shortname":"Flow Cyt (Intra)"}, "IHCP" : {"fullname" : "Immunohistochemistry (Formalin/PFA-fixed paraffin-embedded sections)", "shortname":"IHC-P"} }, "product-promise": { "all": "all", "testedAndGuaranteed": "tested", "guaranteed": "expected", "predicted": "predicted", "notRecommended": "not-recommended" } }, "values": { "Human": { "IP-species-checked": "testedAndGuaranteed", "IP-species-dilution-info": "", "IP-species-notes": "<p></p>", "WB-species-checked": "testedAndGuaranteed", "WB-species-dilution-info": "", "WB-species-notes": "<p></p>", "ICCIF-species-checked": "testedAndGuaranteed", "ICCIF-species-dilution-info": "", "ICCIF-species-notes": "<p></p>", "FlowCytIntra-species-checked": "testedAndGuaranteed", "FlowCytIntra-species-dilution-info": "", "FlowCytIntra-species-notes": "<p><a href='/en-us/products/primary-antibodies/rabbit-igg-monoclonal-epr25a-isotype-control-low-endotoxin-azide-free-ab199376'>ab199376</a> - Rabbit monoclonal IgG, is suitable for use as an isotype control with this antibody.</p>", "IHCP-species-checked": "testedAndGuaranteed", "IHCP-species-dilution-info": "", "IHCP-species-notes": "<p></p>" } } }

Product details

ab224263 is the carrier-free version of ab211017.

Patented technology
Our RabMAb® technology is a patented hybridoma-based technology for making rabbit monoclonal antibodies. For details on our patents, please refer to RabMAb® patents.

Conjugation ready
Our carrier-free antibodies are typically supplied in a PBS-only formulation, purified and free of BSA, sodium azide and glycerol. This conjugation-ready format is designed for use with fluorochromes, metal isotopes, oligonucleotides, and enzymes, which makes them ideal for antibody labelling, functional and cell-based assays, flow-based assays (e.g. mass cytometry) and Multiplex Imaging applications.

Use our conjugation kits for antibody conjugates that are ready-to-use in as little as 20 minutes with 1 minute hands-on-time and 100% antibody recovery: available for fluorescent dyes, HRP, biotin and gold.

Compatibility
This product is compatible with the Maxpar® Antibody Labeling Kit from Fluidigm, without the need for antibody preparation. Maxpar® is a trademark of Fluidigm Canada Inc.

What does low endotoxin mean?
Our low endotoxin, azide-free formats have low endotoxin level (1 EU/mg, determined by the TAL assay) and are free from azide, to achieve consistent experimental results in functional assays.

Properties and storage information

Form
Liquid
Purification technique
Affinity purification Protein A
Storage buffer
pH: 7.2 - 7.4 Constituents: PBS
Shipped at conditions
Blue Ice
Appropriate short-term storage conditions
+4°C
Appropriate long-term storage conditions
+4°C
Storage information
Do Not Freeze

Supplementary information

This supplementary information is collated from multiple sources and compiled automatically.

Indoleamine 2 3-dioxygenase (IDO) also known as IDO1 is an enzyme involved in the catabolism of tryptophan to kynurenine. It weighs approximately 45 kDa and it is an important target in immunoregulatory processes. IDO is highly expressed in antigen-presenting cells such as dendritic cells and macrophages as well as in various tumor cells where it helps modulate immune responses. This enzyme can also be measured by using assays like IDO ELISA.
Biological function summary

IDO plays a role in immune response regulation by degrading tryptophan an essential amino acid needed for T-cell proliferation. The depletion of tryptophan and the accumulation of its metabolites such as kynurenine cause immunosuppressive effects within the tissue microenvironment. While IDO functions mostly as a standalone enzyme its activity influences the cellular surroundings by altering the balance of local immune reactions.

Pathways

IDO integrates into the tryptophan metabolism pathway and is important in the kynurenine pathway. Through this pathway it maintains immune homeostasis and cell defense mechanisms. Proteins like kynureninase and kynurenine 3-monooxygenase also participate in the same metabolic processes which further extend the effects of tryptophan metabolism on immune cell behavior.

IDO is linked with cancer and chronic inflammatory conditions. In cancer elevated IDO expression suppresses anti-tumor immunity aiding tumor cells to evade immune surveillance. It also plays a role in autoimmune disorders by regulating excessive immune activity. During cancer progression IDO often works in conjunction with immune checkpoint proteins like PD-L1 which further enhances its immunosuppressive capabilities within the tumor microenvironment.

Product protocols

For this product, it's our understanding that no specific protocols are required. You can visit:

Target data

Catalyzes the first and rate limiting step of the catabolism of the essential amino acid tryptophan along the kynurenine pathway (PubMed : 17671174). Involved in the peripheral immune tolerance, contributing to maintain homeostasis by preventing autoimmunity or immunopathology that would result from uncontrolled and overreacting immune responses (PubMed : 25691885). Tryptophan shortage inhibits T lymphocytes division and accumulation of tryptophan catabolites induces T-cell apoptosis and differentiation of regulatory T-cells (PubMed : 25691885). Acts as a suppressor of anti-tumor immunity (PubMed : 14502282, PubMed : 23103127, PubMed : 25157255, PubMed : 25691885). Limits the growth of intracellular pathogens by depriving tryptophan (PubMed : 25691885). Protects the fetus from maternal immune rejection (PubMed : 25691885).
See full target information IDO1

Publications (1)

Recent publications for all applications. Explore the full list and refine your search

Journal of infection and chemotherapy : official j 20:460-4 PubMed24855914

2014

Effect of Ureaplasma parvum co-incubation on Chlamydia trachomatis maturation in human epithelial HeLa cells treated with interferon-γ.

Applications

Unspecified application

Species

Unspecified reactive species

Tomohiro Yamazaki,Junji Matsuo,Shinji Nakamura,Satoshi Oguri,Hiroyuki Yamaguchi
View all publications

Product promise

We are committed to supporting your work with high-quality reagents, and we're here for you every step of the way. In the unlikely event that one of our products does not perform as expected, you're protected by our Product Promise.
For full details, please see our Terms & Conditions

Please note: All products are 'FOR RESEARCH USE ONLY. NOT FOR USE IN DIAGNOSTIC OR THERAPEUTIC PROCEDURES'.

For licensing inquiries, please contact partnerships@abcam.com