JavaScript is disabled in your browser. Please enable JavaScript to view this website.
AB121114

Anti-INF2 antibody

Be the first to review this product! Submit a review

|

(1 Publication)

Rabbit Polyclonal INF2 antibody. Suitable for IHC-P and reacts with Human samples. Cited in 1 publication. Immunogen corresponding to Recombinant Fragment Protein within Human INF2 aa 50-250.

View Alternative Names

C14orf151, C14orf173, INF2, Inverted formin-2, HBEBP2-binding protein C

4 Images
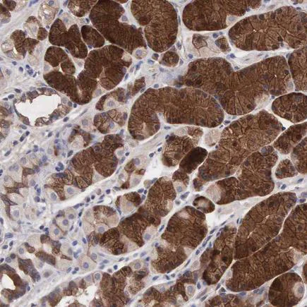
Immunohistochemistry (Formalin/PFA-fixed paraffin-embedded sections) - Anti-INF2 antibody (AB121114)
  • IHC-P

Supplier Data

Immunohistochemistry (Formalin/PFA-fixed paraffin-embedded sections) - Anti-INF2 antibody (AB121114)

Immunohistochemical analaysis of human stomach tissue labelling INF2 with ab121114 at 1/50 dilution. Moderate to strong cytoplasmic positivity in glandular cells is shown.

Immunohistochemistry (Formalin/PFA-fixed paraffin-embedded sections) - Anti-INF2 antibody (AB121114)
  • IHC-P

Supplier Data

Immunohistochemistry (Formalin/PFA-fixed paraffin-embedded sections) - Anti-INF2 antibody (AB121114)

Immunohistochemical analaysis of human skeletal muscle labelling INF2 with ab121114 at 1/50 dilution. Moderate cytoplasmic positivity in neurons is shown.

Immunohistochemistry (Formalin/PFA-fixed paraffin-embedded sections) - Anti-INF2 antibody (AB121114)
  • IHC-P

Supplier Data

Immunohistochemistry (Formalin/PFA-fixed paraffin-embedded sections) - Anti-INF2 antibody (AB121114)

Immunohistochemical analaysis of human kidneytissue labelling INF2 with ab121114 at 1/50 dilution. Moderate cytoplasmic positivity in podocytes and cells in tubules is shown.

Immunohistochemistry (Formalin/PFA-fixed paraffin-embedded sections) - Anti-INF2 antibody (AB121114)
  • IHC-P

Supplier Data

Immunohistochemistry (Formalin/PFA-fixed paraffin-embedded sections) - Anti-INF2 antibody (AB121114)

Immunohistochemical analaysis of human skeletal muscle labelling INF2 with ab121114 at 1/50 dilution. No cytoplasmic postitivity is shown in striated muscle fibres.

Key facts

Host species

Rabbit

Clonality

Polyclonal

Isotype

IgG

Carrier free

No

Reacts with

Human

Applications

IHC-P

applications

Immunogen

Recombinant Fragment Protein within Human INF2 aa 50-250. The exact immunogen used to generate this antibody is proprietary information.

Q27J81

Reactivity data

{ "title": "Reactivity Data", "filters": { "stats": ["", "Species", "Dilution Info", "Notes"], "tabs": { "all-applications": {"fullname" : "All Applications", "shortname": "All Applications"}, "IHCP" : {"fullname" : "Immunohistochemistry (Formalin/PFA-fixed paraffin-embedded sections)", "shortname":"IHC-P"} }, "product-promise": { "all": "all", "testedAndGuaranteed": "tested", "guaranteed": "expected", "predicted": "predicted", "notRecommended": "not-recommended" } }, "values": { "Human": { "IHCP-species-checked": "testedAndGuaranteed", "IHCP-species-dilution-info": "1/50 - 1/200", "IHCP-species-notes": "<p>Use buffer at pH 6 for antigen retrieval.</p> Perform heat-mediated antigen retrieval with citrate buffer pH 6 before commencing with IHC staining protocol." } } }

Properties and storage information

Form
Liquid
Purification technique
Affinity purification Immunogen
Storage buffer
pH: 7.2 Preservative: 0.02% Sodium azide Constituents: PBS, 40% Glycerol (glycerin, glycerine)
Shipped at conditions
Blue Ice
Appropriate short-term storage conditions
+4°C
Appropriate long-term storage conditions
-20°C
Aliquoting information
Upon delivery aliquot
Storage information
Avoid freeze / thaw cycle

Supplementary information

This supplementary information is collated from multiple sources and compiled automatically.

The INF2 protein officially named Inverted Formin 2 is involved in actin dynamics. It has a mass of approximately 139 kDa. INF2 exists throughout many tissues in the body with high expression in the kidney brain and heart. This protein structurally influences filamentous actin (F-actin) and globular actin (G-actin) balance facilitating cytoskeleton remodeling and cell shape changes. With these functions INF2 can take on different roles depending on cell type and physiological conditions.
Biological function summary

Inverted Formin 2 acts in multiple cellular processes like cell migration and division. It is a part of the formin family of proteins which are known to regulate actin filament polymerization. INF2 forms complexes with other proteins including mitochondria-associated membranes (MAMs). It connects the endoplasmic reticulum to mitochondria which supports cellular activities like calcium ion transfer and lipid biosynthesis.

Pathways

INF2 interacts with the Rho family GTPases in the regulation of actin cytoskeleton dynamics. It plays important roles in the RhoA pathway assisting the polymerization and depolymerization of actin filaments which impacts cell movement and morphology. INF2 interacts with diaphanous-related formins (DRFs) including mDia1 to support these cellular functions.

Abnormal regulation or mutation of INF2 can lead to serious conditions as shown in focal segmental glomerulosclerosis (FSGS) and Charcot-Marie-Tooth (CMT) disease. Mutations in INF2 causing defective protein interactions can trigger renal pathology by impairing the podocyte cytoskeleton. The connection with nephrin another protein critical for kidney function highlights further implications for FSGS. In neuromuscular disorders like CMT altered dynamics between INF2 and dynamin-related mitochondrial protein (DRP1) affect mitochondrial fission leading to axonal degeneration.

Product protocols

For this product, it's our understanding that no specific protocols are required. You can visit:

Target data

Severs actin filaments and accelerates their polymerization and depolymerization.
See full target information INF2

Publications (1)

Recent publications for all applications. Explore the full list and refine your search

Frontiers in immunology 13:1017120 PubMed36189307

2022

A novel immune cell signature for predicting osteosarcoma prognosis and guiding therapy.

Applications

Unspecified application

Species

Unspecified reactive species

Runsang Pan,Feng Pan,Zhirui Zeng,Shan Lei,Yan Yang,Yushi Yang,Chujiao Hu,Houping Chen,Xiaobin Tian
View all publications

Product promise

We are committed to supporting your work with high-quality reagents, and we're here for you every step of the way. In the unlikely event that one of our products does not perform as expected, you're protected by our Product Promise.
For full details, please see our Terms & Conditions

Please note: All products are 'FOR RESEARCH USE ONLY. NOT FOR USE IN DIAGNOSTIC OR THERAPEUTIC PROCEDURES'.

For licensing inquiries, please contact partnerships@abcam.com