JavaScript is disabled in your browser. Please enable JavaScript to view this website.
AB308340

Anti-Influenza A virus H1N1 NA Neuraminidase antibody [HL1108]

Be the first to review this product! Submit a review

|

(0 Publication)

Rabbit Recombinant Monoclonal Influenza A virus (strain A/Wilson-Smith/1933 H1N1) (Influenza A virus (strain A/WS/1933 H1N1)) Neuraminidase antibody. Carrier free. Suitable for ICC/IF, WB and reacts with Transfected cell line - Influenza A samples.

View Alternative Names

Flu N1, Influenza N1, Seasonal Influenza A (H1N1) Neuraminidase

3 Images
Immunocytochemistry/ Immunofluorescence - Anti-Influenza A virus H1N1 NA Neuraminidase antibody [HL1108] (AB308340)
  • ICC/IF

Supplier Data

Immunocytochemistry/ Immunofluorescence - Anti-Influenza A virus H1N1 NA Neuraminidase antibody [HL1108] (AB308340)

For immunofluorescence analysis, Influenza A and B Virus infected cells were fixed in Influenza Kit and permeabilized for detection of Influenza A virus H1N1 NA (Neuraminidase) protein using ab308340 at 1/100 dilution (green). Nuclei (blue) is stained with fluoroshield with DAPI.

Western blot - Anti-Influenza A virus H1N1 NA Neuraminidase antibody [HL1108] (AB308340)
  • WB

Supplier Data

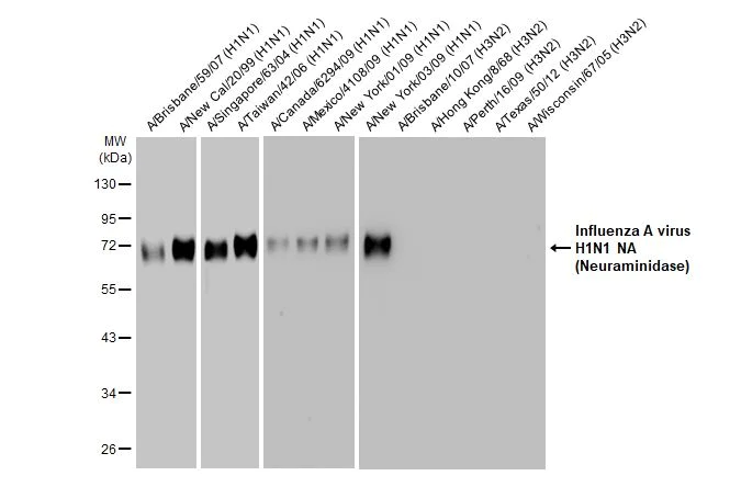
Western blot - Anti-Influenza A virus H1N1 NA Neuraminidase antibody [HL1108] (AB308340)

Influenza A viral lysate (1 μg) were separated by 10% SDS-PAGE, and the membrane was blotted with Influenza A virus H1N1 NA (Neuraminidase) antibody [HL1108] (ab308340) diluted at 1/1000. A HRP-conjugated anti-rabbit IgG antibody was used to detect the primary antibody.

All lanes:

Western blot - Anti-Influenza A virus H1N1 NA Neuraminidase antibody [HL1108] (ab308340) at 1/1000 dilution

Lane 1:

A/Brisbane/59/07 (H1N1) viral lysate at 1 µg

Lane 2:

A/New Cal/20/99 (H1N1) viral lysate at 1 µg

Lane 3:

A/Singapore/63/04 (H1N1) viral lysate at 1 µg

Lane 4:

A/Taiwan/42/06 (H1N1) viral lysate at 1 µg

Lane 5:

A/Canada/6294/09 (H1N1) viral lysate at 1 µg

Lane 6:

A/Mexico/4108/09 (H1N1) viral lysate at 1 µg

Lane 7:

A/New York/01/09 (H1N1) viral lysate at 1 µg

Lane 8:

A/New York/03/09 (H1N1) viral lysate at 1 µg

Lane 9:

A/Brisbane/10/07 (H3N2) viral lysate at 1 µg

Lane 10:

A/Hong Kong/8/68 (H3N2) viral lysate at 1 µg

Lane 11:

A/Perth/16/09 (H3N2) viral lysate at 1 µg

Lane 12:

A/Texas/50/12 (H3N2) viral lysate at 1 µg

Lane 13:

A/Wisconsin/67/05 (H3N2) viral lysate at 1 µg

Secondary

All lanes:

HRP-conjugated anti-rabbit IgG antibody

false

Western blot - Anti-Influenza A virus H1N1 NA Neuraminidase antibody [HL1108] (AB308340)
  • WB

Supplier Data

Western blot - Anti-Influenza A virus H1N1 NA Neuraminidase antibody [HL1108] (AB308340)

Non-transfected (–) and transfected (+) 293T whole cell extracts (30 μg) were separated by 10% SDS-PAGE, and the membrane was blotted with Influenza A virus H1N1 NA (Neuraminidase) antibody [HL1108] (ab308340) diluted at 1/5000. The HRP-conjugated anti-rabbit IgG antibody was used to detect the primary antibody.

All lanes:

Western blot - Anti-Influenza A virus H1N1 NA Neuraminidase antibody [HL1108] (ab308340) at 1/5000 dilution

Lane 1:

Non-transfected (–) HEK-293T whole cell lysate at 30 µg

Lane 2:

Transfected (+) HEK-293T whole cell lysate at 30 µg

Secondary

All lanes:

HRP-conjugated anti-rabbit IgG antibody

false

Key facts

Host species

Rabbit

Clonality

Monoclonal

Clone number

HL1108

Isotype

IgG

Carrier free

Yes

Reacts with

Influenza A

Applications

WB, ICC/IF

applications

Reactivity data

{ "title": "Reactivity Data", "filters": { "stats": ["", "Species", "Dilution Info", "Notes"], "tabs": { "all-applications": {"fullname" : "All Applications", "shortname": "All Applications"}, "ICCIF" : {"fullname" : "Immunocytochemistry/ Immunofluorescence", "shortname":"ICC/IF"}, "WB" : {"fullname" : "Western blot", "shortname":"WB"} }, "product-promise": { "all": "all", "testedAndGuaranteed": "tested", "guaranteed": "expected", "predicted": "predicted", "notRecommended": "not-recommended" } }, "values": { "Influenza A": { "ICCIF-species-checked": "predicted", "ICCIF-species-dilution-info": "", "ICCIF-species-notes": "", "WB-species-checked": "predicted", "WB-species-dilution-info": "", "WB-species-notes": "" }, "Transfected cell line - Influenza A": { "ICCIF-species-checked": "testedAndGuaranteed", "ICCIF-species-dilution-info": "", "ICCIF-species-notes": "<p></p>", "WB-species-checked": "testedAndGuaranteed", "WB-species-dilution-info": "1/500 - 1/3000", "WB-species-notes": "<p></p>" } } }

Product details

What are the advantages of a recombinant monoclonal antibody?
This product is a recombinant monoclonal antibody, which offers several advantages including:

  • - High batch-to-batch consistency and reproducibility
  • - Improved sensitivity and specificity
  • - Long-term security of supply
  • - Animal-free batch production

For more information, read more on recombinant antibodies.

Conjugation ready
Our carrier-free antibodies are typically supplied in a PBS-only formulation, purified and free of BSA, sodium azide and glycerol. This conjugation-ready format is designed for use with fluorochromes, metal isotopes, oligonucleotides, and enzymes, which makes them ideal for antibody labelling, functional and cell-based assays, flow-based assays (e.g. mass cytometry) and Multiplex Imaging applications.

Use our conjugation kits for antibody conjugates that are ready-to-use in as little as 20 minutes with 1 minute hands-on-time and 100% antibody recovery: available for fluorescent dyes, HRP, biotin and gold.

Properties and storage information

Form
Liquid
Purification technique
Affinity purification Protein A
Storage buffer
pH: 7.4 Constituents: PBS
Shipped at conditions
Blue Ice
Appropriate short-term storage duration
1-2 weeks
Appropriate short-term storage conditions
+4°C
Appropriate long-term storage conditions
+4°C
Aliquoting information
Upon delivery aliquot
Storage information
Avoid freeze / thaw cycle

Supplementary information

This supplementary information is collated from multiple sources and compiled automatically.

Influenza A H1N1 Neuraminidase often called "anti-NA" is a surface glycoprotein expressed on the Influenza A virus including strains like H1N1 Singapore. This protein has a mass of about 470 kDa. Neuraminidase cleaves sialic acid residues from glycoproteins facilitating the spread of the virus by assisting in the release of virions from infected cells. This enzymatic action is essential for the efficient propagation of the influenza virus.
Biological function summary

The function of Neuraminidase facilitates viral mobility and infectivity by preventing virion aggregation after budding from the host cell. While not part of a larger protein complex its role complements other viral surface proteins such as Hemagglutinin (HA) in mediating host cell entry and subsequent infection cycles. The interaction with Hemagglutinin is vital for maintaining viral infectivity balancing attachment to and release from host cells.

Pathways

Neuraminidase activity is embedded in processes essential to the viral life cycle such as the respiratory epithelium invasion. The protein plays a role in the neuraminidase pathway distinct from but linked to the Hemagglutinin-mediated endocytosis pathway. These pathways ensure the virus manages effective host penetration and immune evasion strategies.

The activity of Neuraminidase is directly linked to diseases such as seasonal influenza and pandemics involving H1N1 strains including Influenza A: A/Brisbane/10/07. The inhibition of Neuraminidase forms the basis for antiviral treatments like oseltamivir which aim to curb viral spread. The protein relates to disorders of immune response controlled partially by interactions with other viral proteins like Hemagglutinin which enhance or mitigate host immune activation.

Product protocols

For this product, it's our understanding that no specific protocols are required. You can visit:

Product promise

We are committed to supporting your work with high-quality reagents, and we're here for you every step of the way. In the unlikely event that one of our products does not perform as expected, you're protected by our Product Promise.
For full details, please see our Terms & Conditions

Please note: All products are 'FOR RESEARCH USE ONLY. NOT FOR USE IN DIAGNOSTIC OR THERAPEUTIC PROCEDURES'.

For licensing inquiries, please contact partnerships@abcam.com