JavaScript is disabled in your browser. Please enable JavaScript to view this website.
AB308393

Anti-Influenza A virus Nucleoprotein antibody [HL1089]

Be the first to review this product! Submit a review

|

(0 Publication)

Rabbit Recombinant Monoclonal NCAP antibody. Carrier free. Suitable for I-ELISA, IHC-P, ICC/IF, WB and reacts with Influenza A, Recombinant full length protein - Influenza A, Transfected cell line - Influenza A, Transfected cell lysate - Influenza A samples.

View Alternative Names

Common flu NP, Influenza A virus NP, NP, Nucleocapsid protein, Nucleoprotein, Protein N, Seasonal Influenza A (H1N1) Nucleocapsid Protein

8 Images
Immunocytochemistry/ Immunofluorescence - Anti-Influenza A virus Nucleoprotein antibody [HL1089] (AB308393)
  • ICC/IF

Supplier Data

Immunocytochemistry/ Immunofluorescence - Anti-Influenza A virus Nucleoprotein antibody [HL1089] (AB308393)

For immunofluorescence analysis, mock and transfected HEK293T cells were fixed in 4% paraformaldehyde at room temperature for 15 minutes and permeabilized for detection of Influenza A virus Nucleoprotein using ab308393 at 1/2000 dilution (green).

Immunohistochemistry paraffin embedded sections - Anti-Influenza A virus Nucleoprotein antibody [HL1089] (AB308393)
  • IHC-P

Supplier Data

Immunohistochemistry paraffin embedded sections - Anti-Influenza A virus Nucleoprotein antibody [HL1089] (AB308393)

Immunohistochemical analysis of flu A_NP (Kansas/2017/H3N2) transfected HEK293T cell FFPE Cell Pellet Block labeling Influenza A virus Nucleoprotein (green) using ab308393 at 1/1000 dilution. Antigen retrival was performed using Citrate buffer, pH 6.0, 15 min

Western blot - Anti-Influenza A virus Nucleoprotein antibody [HL1089] (AB308393)
  • WB

Supplier Data

Western blot - Anti-Influenza A virus Nucleoprotein antibody [HL1089] (AB308393)

Non-transfected (–) and transfected (+) HEK293T whole cell lysate were separated by 10% SDS-PAGE, and the membrane was blotted with Influenza A virus NP (nucleoprotein) antibody [HL1078] (ab308393) diluted at 1/5000. A HRP-conjugated anti-rabbit IgG antibody was used to detect the primary antibody.

All lanes:

Western blot - Anti-Influenza A virus Nucleoprotein antibody [HL1089] (ab308393) at 1/5000 dilution

Lane 1:

Non-transfected (–) HEK293T whole cell lysate at 30 µg

Lanes 2 - 6:

Transfected (–) HEK293T whole cell lysate at 30 µg

Secondary

All lanes:

HRP-conjugated anti-rabbit IgG antibody

false

Western blot - Anti-Influenza A virus Nucleoprotein antibody [HL1089] (AB308393)
  • WB

Supplier Data

Western blot - Anti-Influenza A virus Nucleoprotein antibody [HL1089] (AB308393)

Non-transfected (–) and transfected (+) HEK293T whole cell lysate (30 μg) were separated by 10% SDS-PAGE, and the membrane was blotted with Influenza A virus Nucleoprotein antibody [HL1089] (ab308393) diluted at 1/5000. A HRP-conjugated anti-rabbit IgG antibody was used to detect the primary antibody.

All lanes:

Western blot - Anti-Influenza A virus Nucleoprotein antibody [HL1089] (ab308393) at 1/5000 dilution

Lane 1:

Non-transfected (–) HEK293T whole cell lysate at 30 µg

Lane 2:

Transfected (+) HEK293T whole cell lysate at 30 µg

Secondary

All lanes:

HRP-conjugated anti-rabbit IgG antibody

false

Immunocytochemistry/ Immunofluorescence - Anti-Influenza A virus Nucleoprotein antibody [HL1089] (AB308393)
  • ICC/IF

Supplier Data

Immunocytochemistry/ Immunofluorescence - Anti-Influenza A virus Nucleoprotein antibody [HL1089] (AB308393)

For immunofluorescence analysis, Influenza A and B Virus infected cells slide and permeabilized for detection of Influenza A virus Nucleoprotein using ab308393 at 1/100 dilution (green).

Indirect ELISA - Anti-Influenza A virus Nucleoprotein antibody [HL1089] (AB308393)
  • I-ELISA

Supplier Data

Indirect ELISA - Anti-Influenza A virus Nucleoprotein antibody [HL1089] (AB308393)

Indirect ELISA analysis performed by coating plate with recombinant full-length Influenza A virus NP (nucleoprotein) antibody (ab308393) (50 ng). Coated protein was probed with Influenza A virus Nucleoprotein antibody [HL1089] (20000-4.77*10-3 pM). Rabbit IgG antibody (HRP) (1/10000) was used to detect bound primary antibody.

Indirect ELISA - Anti-Influenza A virus Nucleoprotein antibody [HL1089] (AB308393)
  • I-ELISA

Supplier Data

Indirect ELISA - Anti-Influenza A virus Nucleoprotein antibody [HL1089] (AB308393)

Indirect ELISA analysis performed by coating plate with viral lysate derived from different strains of Influenza A virus (i.e., A/Brisbane/59/07 (H1N1); A/New Cal/20/99 (H1N1); A/Puerto Rico/8/34 (H1N1); A/Taiwan/42/06 (H1N1); A/California/07/09 (H1N1); A/Mexico/4108/09 (H1N1); A/New York/01/09 (H1N1); A/New York/02/09 (H1N1); A/New York/03/09 (H1N1); A/Canada/6294/09 (H1N1); A/Singapore/63/04 (H1N1); A/Brisbane/10/07 (H3N2); A/Perth/16/09 (H3N2); A/Texas/50/12 (H3N2); A/Wisconsin/67/05 (H3N2); A/Hong Kong/8/68 (H3N2)) and Influenza B virus (i.e., B/Florida/02/06) (1-0.2 μg). Coated protein was probed with Influenza A virus NP (nucleoprotein) antibody [HL1089] (ab308393) (1 μg/mL). Rabbit IgG antibody (HRP) (1/10000) was used to detect bound primary antibody.

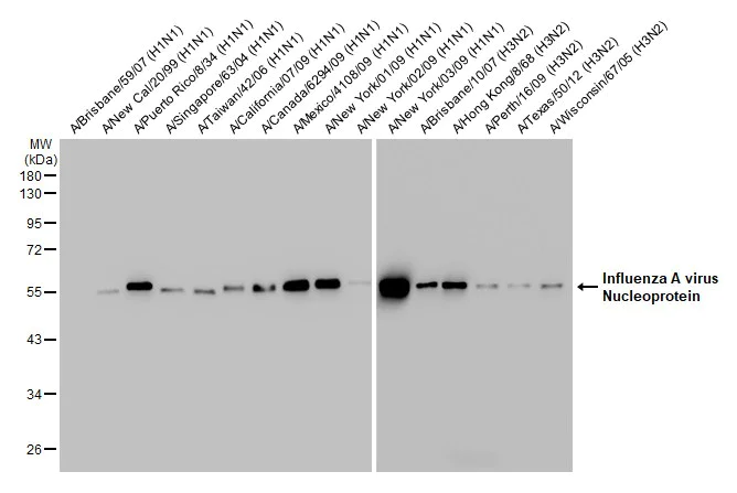
Western blot - Anti-Influenza A virus Nucleoprotein antibody [HL1089] (AB308393)
  • WB

Supplier Data

Western blot - Anti-Influenza A virus Nucleoprotein antibody [HL1089] (AB308393)

Influenza A viral lysates (1 μg) were separated by 10% SDS-PAGE, and the membrane was blotted with Influenza A virus Nucleoprotein antibody [HL1089] (ab308393) diluted at 1/1000. A HRP-conjugated anti-rabbit IgG antibody was used to detect the primary antibody.

All lanes:

Western blot - Anti-Influenza A virus Nucleoprotein antibody [HL1089] (ab308393) at 1/1000 dilution

Lane 1:

A/Brisbane/59/07 (H1N1) viral lysate at 1 µg

Lane 2:

A/New Cal/20/99 (H1N1) viral lysate at 1 µg

Lane 3:

A/Puerto Rico/8/34 (H1N1) viral lysate at 1 µg

Lane 4:

A/Singapore/63/04 (H1N1) viral lysate at 1 µg

Lane 5:

A/Taiwan/42/06 (H1N1) viral lysate at 1 µg

Lane 6:

A/California/07/09 (H1N1) viral lysate at 1 µg

Lane 7:

A/Canada/6294/09 (H1N1) viral lysate at 1 µg

Lane 8:

A/Mexico/4108/09 (H1N1) viral lysate at 1 µg

Lane 9:

A/New York/01/09 (H1N1) viral lysate at 1 µg

Lane 10:

A/New York/02/09 (H1N1) viral lysate at 1 µg

Lane 11:

A/New York/03/09 (H1N1) viral lysate at 1 µg

Lane 12:

A/Brisbane/10/07 (H3N2) viral lysate at 1 µg

Lane 13:

A/Hong Kong/8/68 (H3N2) viral lysate at 1 µg

Lane 14:

A/Perth/16/09 (H3N2) viral lysate at 1 µg

Lane 15:

A/Texas/50/12 (H3N2) viral lysate at 1 µg

Lane 16:

A/Wisconsin/67/05 (H3N2) viral lysate at 1 µg

Secondary

All lanes:

HRP-conjugated anti-rabbit IgG antibody

false

Key facts

Host species

Rabbit

Clonality

Monoclonal

Clone number

HL1089

Isotype

IgG

Carrier free

Yes

Reacts with

Influenza A

Applications

WB, ICC/IF, IHC-P, I-ELISA

applications

Reactivity data

{ "title": "Reactivity Data", "filters": { "stats": ["", "Species", "Dilution Info", "Notes"], "tabs": { "all-applications": {"fullname" : "All Applications", "shortname": "All Applications"}, "IELISA" : {"fullname" : "Indirect ELISA", "shortname":"I-ELISA"}, "IHCP" : {"fullname" : "Immunohistochemistry (Formalin/PFA-fixed paraffin-embedded sections)", "shortname":"IHC-P"}, "ICCIF" : {"fullname" : "Immunocytochemistry/ Immunofluorescence", "shortname":"ICC/IF"}, "WB" : {"fullname" : "Western blot", "shortname":"WB"} }, "product-promise": { "all": "all", "testedAndGuaranteed": "tested", "guaranteed": "expected", "predicted": "predicted", "notRecommended": "not-recommended" } }, "values": { "Influenza A": { "IELISA-species-checked": "testedAndGuaranteed", "IELISA-species-dilution-info": "1 µg/mL", "IELISA-species-notes": "<p></p>", "IHCP-species-checked": "guaranteed", "IHCP-species-dilution-info": "", "IHCP-species-notes": "", "ICCIF-species-checked": "testedAndGuaranteed", "ICCIF-species-dilution-info": "1/100 - 1/2000", "ICCIF-species-notes": "<p></p>", "WB-species-checked": "testedAndGuaranteed", "WB-species-dilution-info": "1/1000 - 1/5000", "WB-species-notes": "<p></p>" }, "Recombinant full length protein - Influenza A": { "IELISA-species-checked": "testedAndGuaranteed", "IELISA-species-dilution-info": "1 µg/mL", "IELISA-species-notes": "<p></p>", "IHCP-species-checked": "notRecommended", "IHCP-species-dilution-info": "", "IHCP-species-notes": "", "ICCIF-species-checked": "notRecommended", "ICCIF-species-dilution-info": "", "ICCIF-species-notes": "", "WB-species-checked": "notRecommended", "WB-species-dilution-info": "", "WB-species-notes": "" }, "Transfected cell line - Influenza A": { "IELISA-species-checked": "notRecommended", "IELISA-species-dilution-info": "", "IELISA-species-notes": "", "IHCP-species-checked": "testedAndGuaranteed", "IHCP-species-dilution-info": "1/1000", "IHCP-species-notes": "<p></p> Perform heat-mediated antigen retrieval with citrate buffer pH 6 before commencing with IHC staining protocol.", "ICCIF-species-checked": "testedAndGuaranteed", "ICCIF-species-dilution-info": "1/100 - 1/2000", "ICCIF-species-notes": "<p></p>", "WB-species-checked": "notRecommended", "WB-species-dilution-info": "", "WB-species-notes": "" }, "Transfected cell lysate - Influenza A": { "IELISA-species-checked": "notRecommended", "IELISA-species-dilution-info": "", "IELISA-species-notes": "", "IHCP-species-checked": "notRecommended", "IHCP-species-dilution-info": "", "IHCP-species-notes": "", "ICCIF-species-checked": "notRecommended", "ICCIF-species-dilution-info": "", "ICCIF-species-notes": "", "WB-species-checked": "testedAndGuaranteed", "WB-species-dilution-info": "1/1000 - 1/5000", "WB-species-notes": "<p></p>" } } }

Product details

What are the advantages of a recombinant monoclonal antibody?
This product is a recombinant monoclonal antibody, which offers several advantages including:

  • - High batch-to-batch consistency and reproducibility
  • - Improved sensitivity and specificity
  • - Long-term security of supply
  • - Animal-free batch production

For more information, read more on recombinant antibodies.

Conjugation ready
Our carrier-free antibodies are typically supplied in a PBS-only formulation, purified and free of BSA, sodium azide and glycerol. This conjugation-ready format is designed for use with fluorochromes, metal isotopes, oligonucleotides, and enzymes, which makes them ideal for antibody labelling, functional and cell-based assays, flow-based assays (e.g. mass cytometry) and Multiplex Imaging applications.

Use our conjugation kits for antibody conjugates that are ready-to-use in as little as 20 minutes with 1 minute hands-on-time and 100% antibody recovery: available for fluorescent dyes, HRP, biotin and gold.

Properties and storage information

Form
Liquid
Purification technique
Affinity purification Protein A
Storage buffer
pH: 7.4 Constituents: PBS
Shipped at conditions
Blue Ice
Appropriate short-term storage duration
1-2 weeks
Appropriate short-term storage conditions
+4°C
Appropriate long-term storage conditions
+4°C
Aliquoting information
Upon delivery aliquot
Storage information
Avoid freeze / thaw cycle

Supplementary information

This supplementary information is collated from multiple sources and compiled automatically.

The Influenza A virus nucleoprotein also known as NP plays an important role in the viral lifecycle. This protein with an approximate mass of 56 kDa is essential for encapsidation of the viral RNA within the host cells. It forms ribonucleoprotein (RNP) complexes by interacting with the viral RNA segments facilitating their replication and transcription. The NP is expressed primarily in the nucleus and cytoplasm of infected cells where it sequesters RNA and assists in virus assembly and release.
Biological function summary

The nucleoprotein of influenza A is integral to viral replication and transcription processes. It forms the backbone of the RNP complex together with the RNA polymerase subunits (PB1 PB2 and PA). The NP-RNP complex allows the viral genome to replicate efficiently within host cells by aiding in the synthesis of viral mRNA and the assembly of new virions. It regulates the activity of the polymerase ensuring accurate viral RNA synthesis and packaging.

Pathways

One can see the influenza nucleoprotein as central to the replication and transcription pathways of the virus. It ties closely with host cellular machinery to accomplish its functions. The NP protein modulates interactions with the polymerase complex and is associated with the nuclear export pathway which involves host proteins like CRM1 (Chromosomal Maintenance 1). These pathways ensure the transport of RNPs to the cytoplasm for the budding of the viral progeny.

The nucleoprotein connects to influenza-related respiratory diseases. It plays a critical role in the virulence and transmission of the influenza A virus including strains like H1N1 and H3N2 which are responsible for flu epidemics. The NP is a target for immune responses and understanding its function can help in developing anti-flu strategies. Also related viral proteins such as HA (Hemagglutinin) aid in understanding the pathology of the influenza virus and its interaction with host immune defenses.

Product protocols

For this product, it's our understanding that no specific protocols are required. You can visit:

Product promise

We are committed to supporting your work with high-quality reagents, and we're here for you every step of the way. In the unlikely event that one of our products does not perform as expected, you're protected by our Product Promise.
For full details, please see our Terms & Conditions

Please note: All products are 'FOR RESEARCH USE ONLY. NOT FOR USE IN DIAGNOSTIC OR THERAPEUTIC PROCEDURES'.

For licensing inquiries, please contact partnerships@abcam.com