JavaScript is disabled in your browser. Please enable JavaScript to view this website.
AB308362

Anti-Influenza A virus PA protein antibody [HL1388]

Be the first to review this product! Submit a review

|

(0 Publication)

Rabbit Recombinant Monoclonal Influenza A virus PA protein (A/WSN/1933(H1N1)) antibody. Carrier free. Suitable for ICC/IF, WB and reacts with Transfected cell line - Influenza A, Purified native protein - Influenza A samples.
3 Images
Immunocytochemistry/ Immunofluorescence - Anti-Influenza A virus PA protein antibody [HL1388] (AB308362)
  • ICC/IF

Supplier Data

Immunocytochemistry/ Immunofluorescence - Anti-Influenza A virus PA protein antibody [HL1388] (AB308362)

For immunofluorescence analysis, mock and transfected HEK293T cells were fixed in 4% paraformaldehyde at room temperature for 15 minutes and permeabilized for detection of Influenza A virus PA protein using ab308362 at 1/500 dilution (green). Nuclei (blue) is stained with fluoroshield with DAPI

Western blot - Anti-Influenza A virus PA protein antibody [HL1388] (AB308362)
  • WB

Characteriser

Western blot - Anti-Influenza A virus PA protein antibody [HL1388] (AB308362)

Non-infected (–) and infected (+) H1299 whole cell extracts (1 μg) were separated by 7.5% SDS-PAGE, and the membrane was blotted with Influenza A virus PA protein antibody [HL1388] (ab308362) diluted at 1/500. A HRP-conjugated anti-rabbit IgG antibody was used to detect the primary antibody.

All lanes:

Western blot - Anti-Influenza A virus PA protein antibody [HL1388] (ab308362) at 1/500 dilution

Lane 1:

Non-infected (–) H1299 whole cell lysate at 1 µg

Lane 2:

Infected (+) H1299 whole cell lysate at 1 µg

Secondary

All lanes:

HRP-conjugated anti-rabbit IgG antibody

false

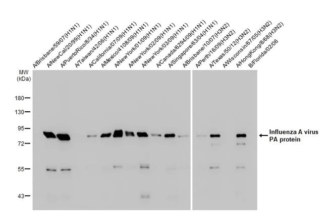
Western blot - Anti-Influenza A virus PA protein antibody [HL1388] (AB308362)
  • WB

Supplier Data

Western blot - Anti-Influenza A virus PA protein antibody [HL1388] (AB308362)

Influenza A viral lysate and Influenza B viral lysate (0.5 μg) were separated by 7.5% SDS-PAGE, and the membrane was blotted with Influenza A virus PA protein antibody [HL1388] (ab308362) diluted at 1/1000. A HRP-conjugated anti-rabbit IgG antibody was used to detect the primary antibody.

All lanes:

Western blot - Anti-Influenza A virus PA protein antibody [HL1388] (ab308362) at 1/1000 dilution

Lane 1:

A/Brisbane/59/07 (H1N1) viral lysate at 0.5 µg

Lane 2:

A/NewCal/20/99 (H1N1) viral lysate at 0.5 µg

Lane 3:

A/PuertoRico/8/34 (H1N1) viral lysate at 0.5 µg

Lane 4:

A/Taiwan/42/06 (H1N1) viral lysate at 0.5 µg

Lane 5:

A/California/07/09 (H1N1) viral lysate at 0.5 µg

Lane 6:

A/Mexico/4108/09 (H1N1) viral lysate at 0.5 µg

Lane 7:

A/NewYork/01/09 (H1N1) viral lysate at 0.5 µg

Lane 8:

A/NewYork/02/09 (H1N1) viral lysate at 0.5 µg

Lane 9:

A/NewYork/03/09 (H1N1) viral lysate at 0.5 µg

Lane 10:

A/Canada/6294/09 (H1N1) viral lysate at 0.5 µg

Lane 11:

A/Singapore/63/04 (H1N1) viral lysate at 0.5 µg

Lane 12:

A/Brisbane/10/07 (H3N2) viral lysate at 0.5 µg

Lane 13:

A/Perth/16/09 (H3N2) viral lysate at 0.5 µg

Lane 14:

A/Texas/50/12 (H3N2) viral lysate at 0.5 µg

Lane 15:

A/Wisconsin/67/05 (H3N2) viral lysate at 0.5 µg

Lane 16:

A/HongKong/8/68 (H3N2) viral lysate at 0.5 µg

Lane 17:

B/Florida/02/06 viral lysate at 0.5 µg

Secondary

All lanes:

HRP-conjugated anti-rabbit IgG antibody

false

Key facts

Host species

Rabbit

Clonality

Monoclonal

Clone number

HL1388

Isotype

IgG

Carrier free

Yes

Reacts with

Influenza A

Applications

WB, ICC/IF

applications

Reactivity data

{ "title": "Reactivity Data", "filters": { "stats": ["", "Species", "Dilution Info", "Notes"], "tabs": { "all-applications": {"fullname" : "All Applications", "shortname": "All Applications"}, "ICCIF" : {"fullname" : "Immunocytochemistry/ Immunofluorescence", "shortname":"ICC/IF"}, "WB" : {"fullname" : "Western blot", "shortname":"WB"} }, "product-promise": { "all": "all", "testedAndGuaranteed": "tested", "guaranteed": "expected", "predicted": "predicted", "notRecommended": "not-recommended" } }, "values": { "Influenza A": { "ICCIF-species-checked": "predicted", "ICCIF-species-dilution-info": "", "ICCIF-species-notes": "", "WB-species-checked": "predicted", "WB-species-dilution-info": "", "WB-species-notes": "" }, "Purified native protein - Influenza A": { "ICCIF-species-checked": "notRecommended", "ICCIF-species-dilution-info": "", "ICCIF-species-notes": "", "WB-species-checked": "testedAndGuaranteed", "WB-species-dilution-info": "1/500 - 1/3000", "WB-species-notes": "<p></p>" }, "Transfected cell line - Influenza A": { "ICCIF-species-checked": "testedAndGuaranteed", "ICCIF-species-dilution-info": "1/500", "ICCIF-species-notes": "<p></p>", "WB-species-checked": "testedAndGuaranteed", "WB-species-dilution-info": "1/500 - 1/3000", "WB-species-notes": "<p></p>" } } }

Product details

What are the advantages of a recombinant monoclonal antibody?
This product is a recombinant monoclonal antibody, which offers several advantages including:

  • - High batch-to-batch consistency and reproducibility
  • - Improved sensitivity and specificity
  • - Long-term security of supply
  • - Animal-free batch production

For more information, read more on recombinant antibodies.

Conjugation ready
Our carrier-free antibodies are typically supplied in a PBS-only formulation, purified and free of BSA, sodium azide and glycerol. This conjugation-ready format is designed for use with fluorochromes, metal isotopes, oligonucleotides, and enzymes, which makes them ideal for antibody labelling, functional and cell-based assays, flow-based assays (e.g. mass cytometry) and Multiplex Imaging applications.

Use our conjugation kits for antibody conjugates that are ready-to-use in as little as 20 minutes with 1 minute hands-on-time and 100% antibody recovery: available for fluorescent dyes, HRP, biotin and gold.

Properties and storage information

Form
Liquid
Purification technique
Affinity purification Protein A
Storage buffer
pH: 7.4 Constituents: PBS
Shipped at conditions
Blue Ice
Appropriate short-term storage duration
1-2 weeks
Appropriate short-term storage conditions
+4°C
Appropriate long-term storage conditions
+4°C
Aliquoting information
Upon delivery aliquot
Storage information
Avoid freeze / thaw cycle

Supplementary information

This supplementary information is collated from multiple sources and compiled automatically.

The Influenza A virus PA protein also known simply as PA protein plays an important mechanical role in the viral replication process. It acts as a component of the RNA polymerase complex within the Influenza A virus. This protein has a molecular mass of approximately 85 kDa. PA is expressed in infected host cells and contributes significantly to viral RNA synthesis by possessing endonuclease activity which is important for the cleavage of host mRNA during viral transcription.
Biological function summary

This protein is part of the viral RNA polymerase complex along with PB1 and PB2 proteins. This complex functions as an essential machinery for the transcription and replication of the viral RNA genome enabling the virus to use host cellular machinery for its proliferation. PA protein interacts specifically with the PB1 protein assisting in the polymerase assembly and activity which marks it as an important element in the life cycle of the virus.

Pathways

The PA protein is involved primarily in the influenza viral RNA synthesis pathway. The polymerase complex which includes PA drives this pathway by transcribing viral RNA into mRNA and replicating the viral genome. The PA protein also interacts with the host's nuclear pathways as influenza replication occurs in the host cell nucleus. Its interaction with PB1 and PB2 proteins is central to these pathways facilitating the initiation and elongation phases of RNA synthesis.

The PA protein relates directly to influenza infections in humans which can manifest as seasonal flu outbreaks or pandemic events. Its role in the replication of Influenza A makes it a potential target for antiviral drug development. Compounds that inhibit the endonuclease activity of PA protein aim to impair viral growth and spread. The PA protein's interaction with other viral proteins like PB1 highlights its involvement in the pathogenesis of influenza and highlights its importance in the disease life cycle.

Product protocols

For this product, it's our understanding that no specific protocols are required. You can visit:

Product promise

We are committed to supporting your work with high-quality reagents, and we're here for you every step of the way. In the unlikely event that one of our products does not perform as expected, you're protected by our Product Promise.
For full details, please see our Terms & Conditions

Please note: All products are 'FOR RESEARCH USE ONLY. NOT FOR USE IN DIAGNOSTIC OR THERAPEUTIC PROCEDURES'.

For licensing inquiries, please contact partnerships@abcam.com