JavaScript is disabled in your browser. Please enable JavaScript to view this website.
AB320835

Anti-Influenza A Virus PB2 protein antibody [EPR29356-84]

  • BOND RX™ Validated
  • 20ul selling size
  • Recombinant
  • RabMAb
  • What is this?

Be the first to review this product! Submit a review

|

(0 Publication)

Rabbit Recombinant Monoclonal PB2 antibody. Suitable for WB, IHC-P, ICC/IF and reacts with Transfected cell lysate - Influenza A virus (A/Puerto Rico/8/1934(H1N1)), Transfected cell line - Influenza A virus (A/Puerto Rico/8/1934(H1N1)) samples.

View Alternative Names

Polymerase basic protein 2, RNA-directed RNA polymerase subunit P3, PB2

4 Images
Immunohistochemistry (Formalin/PFA-fixed paraffin-embedded sections) - Anti-Influenza A Virus PB2 protein antibody [EPR29356-84] (AB320835)
  • IHC-P

Supplier Data

Immunohistochemistry (Formalin/PFA-fixed paraffin-embedded sections) - Anti-Influenza A Virus PB2 protein antibody [EPR29356-84] (AB320835)

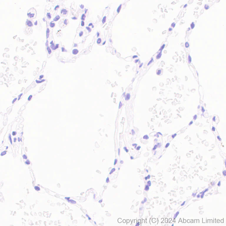
Immunohistochemical analysis of paraffin-embedded Human lung tissue labeling Influenza A Virus PB2 protein with ab320835 at 1/2000 (0.248 ug/ml) dilution, followed by a ready to use LeicaDS9800 (Bond™ Polymer Refine Detection).

Negative control : No staining on human lung.
The section was incubated with ab320835 for 30 mins at room temperature.
The immunostaining was performed on a Leica Biosystems BOND® RX instrument

Counterstained with Hematoxylin.

Secondary antibody only control : Secondary antibody is a ready to use LeicaDS9800 (Bond™ Polymer Refine Detection).

Heat mediated antigen retrieval was performed with Tris-EDTA buffer (pH 9.0, Epitope Retrieval Solution2) for 20 mins

Immunohistochemistry (Formalin/PFA-fixed paraffin-embedded sections) - Anti-Influenza A Virus PB2 protein antibody [EPR29356-84] (AB320835)
  • IHC-P

Supplier Data

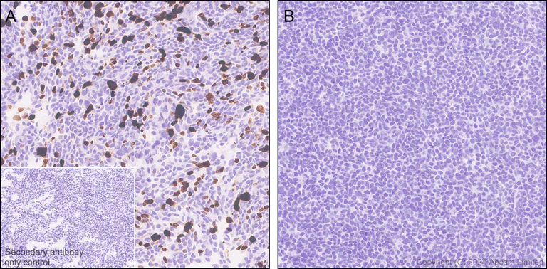
Immunohistochemistry (Formalin/PFA-fixed paraffin-embedded sections) - Anti-Influenza A Virus PB2 protein antibody [EPR29356-84] (AB320835)

Immunohistochemical analysis of paraffin-embedded Panel A 293T (human embryonic kidney epithelial cell) transfected with an Influenza A Virus PB2 expression vector containing a His-tag. Panel B 293T cells transfected with empty vector containing a his tag. tissue labeling Influenza A Virus PB2 protein with ab320835 at 1/2000 (0.248 ug/ml) dilution, followed by a ready to use LeicaDS9800 (Bond™ Polymer Refine Detection).

Positive staining on (A) HEK-293T transfected with an Influenza A Virus PB2 expression vector and no staining on (B) HEK-293T transfected with empty vector.
The section was incubated with ab320835 for 30 mins at room temperature.
The immunostaining was performed on a Leica Biosystems BOND® RX instrument

Counterstained with Hematoxylin.

Secondary antibody only control : Secondary antibody is a ready to use LeicaDS9800 (Bond™ Polymer Refine Detection).

Heat mediated antigen retrieval was performed with Tris-EDTA buffer (pH 9.0, Epitope Retrieval Solution2) for 20 mins

Immunocytochemistry/ Immunofluorescence - Anti-Influenza A Virus PB2 protein antibody [EPR29356-84] (AB320835)
  • ICC/IF

Supplier Data

Immunocytochemistry/ Immunofluorescence - Anti-Influenza A Virus PB2 protein antibody [EPR29356-84] (AB320835)

Immunofluorescent analysis of 4% Paraformaldehyde-fixed, 0.1% TritonX-100 permeabilized 293T (human embryonic kidney epithelial cell) cells labelling Influenza A Virus PB2 protein with ab320835 at 1/2000 (0.248 ug/ml) dilution, followed by ab150081 Goat Anti-Rabbit IgG H&L (Alexa Fluor® 488) preadsorbed antibody at 1/1000 2 ug/ml dilution (Green).

Confocal image showing positive staining in 293T cells (shown in green) transfected with an Influenza A Virus PB2 protein expression vector containing a myc-His-tag®. The counterstain was observed in magenta. Nuclear DNA was labelled with DAPI (shown in blue). Image was taken with a confocal microscope (Leica-Microsystems, TCS SP8).

ab223894 Anti-Myc tag mouse monoclonal antibody (Alexa Fluor® 594) was used to counterstain tubulin at 1/100 5ug/ml dilution (Magenta). The Nuclear counterstain was DAPI (Blue).

Secondary antibody only control : Secondary antibody is ab150081 Goat Anti-Rabbit IgG H&L (Alexa Fluor® 488) preadsorbed at 1/1000 2 ug/ml dilution.

Western blot - Anti-Influenza A Virus PB2 protein antibody [EPR29356-84] (AB320835)
  • WB

Supplier Data

Western blot - Anti-Influenza A Virus PB2 protein antibody [EPR29356-84] (AB320835)

Blocking and diluting buffer and concentration : 5% NFDM/TBST.

In Western blot, Anti-GAPDH antibody [EPR16891] - Loading Control (ab181602) staining at 1/200000 dilution.

In Western blot, Anti-6X His tag antibody [EPR20547]-CHIP Grade (ab213204) staining at 1/5000 dilution.

All lanes:

Western blot - Anti-Influenza A Virus PB2 protein antibody [EPR29356-84] (ab320835) at 1/1000 dilution

Lane 1:

293T cells transfected with an empty vector containing a His-tag, whole cell lysate at 20 µg

Lane 2:

293T cells transfected with a Influenza A Virus PB2 protein expression vector containing a His-tag, whole cell lysate at 20 µg

Secondary

All lanes:

Western blot - Goat Anti-Rabbit IgG H&L (HRP) (<a href='/en-us/products/secondary-antibodies/goat-rabbit-igg-h-l-hrp-ab97051'>ab97051</a>) at 1/100000 dilution

Observed band size: 86 kDa,36 kDa

false

Exposure time: 10s

  • Carrier free

    Anti-Influenza A Virus PB2 protein antibody [EPR29356-84] - BSA and Azide free

Key facts

Host species

Rabbit

Clonality

Monoclonal

Clone number

EPR29356-84

Isotype

IgG

Carrier free

No

Reacts with

Influenza A virus (A/Puerto Rico/8/1934(H1N1))

Applications

WB, ICC/IF, IHC-P

applications

Immunogen

The exact immunogen used to generate this antibody is proprietary information.

Reactivity data

{ "title": "Reactivity Data", "filters": { "stats": ["", "Species", "Dilution Info", "Notes"], "tabs": { "all-applications": {"fullname" : "All Applications", "shortname": "All Applications"}, "WB" : {"fullname" : "Western blot", "shortname":"WB"}, "IHCP" : {"fullname" : "Immunohistochemistry (Formalin/PFA-fixed paraffin-embedded sections)", "shortname":"IHC-P"}, "ICCIF" : {"fullname" : "Immunocytochemistry/ Immunofluorescence", "shortname":"ICC/IF"} }, "product-promise": { "all": "all", "testedAndGuaranteed": "tested", "guaranteed": "expected", "predicted": "predicted", "notRecommended": "not-recommended" } }, "values": { "Influenza A virus (A/Puerto Rico/8/1934(H1N1))": { "WB-species-checked": "predicted", "WB-species-dilution-info": "", "WB-species-notes": "", "IHCP-species-checked": "predicted", "IHCP-species-dilution-info": "", "IHCP-species-notes": "", "ICCIF-species-checked": "predicted", "ICCIF-species-dilution-info": "", "ICCIF-species-notes": "" }, "Transfected cell line - Influenza A virus (A/Puerto Rico/8/1934(H1N1))": { "WB-species-checked": "notRecommended", "WB-species-dilution-info": "", "WB-species-notes": "", "IHCP-species-checked": "testedAndGuaranteed", "IHCP-species-dilution-info": "1/2000", "IHCP-species-notes": "<p></p> Perform heat-mediated antigen retrieval with Tris/EDTA buffer pH 9.0 before commencing with IHC staining protocol.", "ICCIF-species-checked": "testedAndGuaranteed", "ICCIF-species-dilution-info": "1/2000", "ICCIF-species-notes": "<p></p>" }, "Transfected cell lysate - Influenza A virus (A/Puerto Rico/8/1934(H1N1))": { "WB-species-checked": "testedAndGuaranteed", "WB-species-dilution-info": "1/1000", "WB-species-notes": "<p></p>", "IHCP-species-checked": "notRecommended", "IHCP-species-dilution-info": "", "IHCP-species-notes": "", "ICCIF-species-checked": "notRecommended", "ICCIF-species-dilution-info": "", "ICCIF-species-notes": "" } } }

Product details

Patented technology
Our RabMAb® technology is a patented hybridoma-based technology for making rabbit monoclonal antibodies. For details on our patents, please refer to RabMAb® patents.

What are the advantages of a recombinant monoclonal antibody?
This product is a recombinant monoclonal antibody, which offers several advantages including:

  • - High batch-to-batch consistency and reproducibility
  • - Improved sensitivity and specificity
  • - Long-term security of supply
  • - Animal-free batch production

For more information, read more on recombinant antibodies.

Properties and storage information

Form
Liquid
Purification technique
Affinity purification Protein A
Storage buffer
pH: 7.2 - 7.4 Preservative: 0.01% Sodium azide Constituents: PBS, 40% Glycerol (glycerin, glycerine), 0.05% BSA
Shipped at conditions
Blue Ice
Appropriate short-term storage duration
1-2 weeks
Appropriate short-term storage conditions
+4°C
Appropriate long-term storage conditions
-20°C
Aliquoting information
Upon delivery aliquot
Storage information
Avoid freeze / thaw cycle

Supplementary information

This supplementary information is collated from multiple sources and compiled automatically.

Influenza A Polymerase basic protein 2 also known as PB2 protein plays an important mechanical role in the viral RNA polymerase complex which is necessary for viral replication. This protein has a molecular mass of approximately 87 kDa. PB2 is expressed within infected host cells and is a component of the influenza A virus polymerase complex along with PA and PB1 proteins. The PB2 target is essential for the transcription and replication phase in the viral lifecycle allowing the virus to hijack the host cell machinery for viral propagation.
Biological function summary

PB2 protein is part of the heterotrimeric RNA polymerase complex which is critical for the influenza virus's ability to replicate. The polymerase complex includes PA PB1 and PB2 proteins where PB2 protein plays a role in cap-snatching a mechanism to steal host mRNA caps for viral mRNA synthesis. This enables the influenza virus to synthesize its own proteins in the host cytoplasm facilitating efficient viral replication and protein expression.

Pathways

The PB2 protein functions prominently within the viral replication cycle of the influenza A virus. It is intricately linked with the host's mRNA processing pathways as it engages in the cap-snatching mechanism necessary for viral mRNA transcription. PB2 protein works closely with PB1 in the replication pathway where PB1 acts as the RNA-dependent RNA polymerase in conjunction with activities of PB2.

PB2 protein plays a significant role in the pathogenicity of influenza A virus infections in humans and animals. Its interactions are pivotal for the adaptation and virulence of the influenza virus leading to significant morbidity during outbreaks. Mutations in the PB2 gene can relate to species adaptation and increased virulence and the protein's function is important for the virus to overcome host defense mechanisms frequently. PB2 interacts with host proteins to moderate host immune responses making it a target for antiviral drug development and treatment strategies.

Product protocols

For this product, it's our understanding that no specific protocols are required. You can visit:

Target data

Plays an essential role in transcription initiation and cap-stealing mechanism, in which cellular capped pre-mRNAs are used to generate primers for viral transcription. Recognizes and binds the 7-methylguanosine-containing cap of the target pre-RNA which is subsequently cleaved after 10-13 nucleotides by the viral protein PA. Plays a role in the initiation of the viral genome replication and modulates the activity of the ribonucleoprotein (RNP) complex. In addition, participates in the inhibition of type I interferon induction through interaction with and inhibition of the host mitochondrial antiviral signaling protein MAVS.
See full target information PB2

Product promise

We are committed to supporting your work with high-quality reagents, and we're here for you every step of the way. In the unlikely event that one of our products does not perform as expected, you're protected by our Product Promise.
For full details, please see our Terms & Conditions

Please note: All products are 'FOR RESEARCH USE ONLY. NOT FOR USE IN DIAGNOSTIC OR THERAPEUTIC PROCEDURES'.

For licensing inquiries, please contact partnerships@abcam.com