JavaScript is disabled in your browser. Please enable JavaScript to view this website.
AB313886

Anti-Influenza B virus Nucleoprotein antibody [EPR28205-27] - BSA and Azide free

Be the first to review this product! Submit a review

|

(0 Publication)

Rabbit Recombinant Monoclonal NCAP antibody. Carrier free. Suitable for I-ELISA, WB, IHC-P, ICC/IF, IP and reacts with Recombinant fragment - Influenza B, Transfected cell lysate - Influenza B, Transfected cell line - Influenza B samples.

View Alternative Names

Nucleoprotein, Nucleocapsid protein, Protein N, NP

6 Images
Immunohistochemistry (Formalin/PFA-fixed paraffin-embedded sections) - Anti-Influenza B virus Nucleoprotein antibody [EPR28205-27] - BSA and Azide free (AB313886)
  • IHC-P

Supplier Data

Immunohistochemistry (Formalin/PFA-fixed paraffin-embedded sections) - Anti-Influenza B virus Nucleoprotein antibody [EPR28205-27] - BSA and Azide free (AB313886)

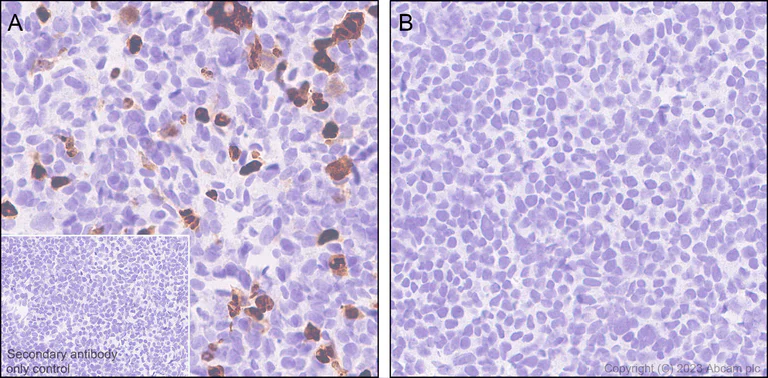
This data was developed using ab313885, the same antibody clone in a different buffer formulation. Immunohistochemical analysis of paraffin-embedded 293T (human tissue labeling Influenza B virus Nucleoprotein with ab313885 at 1/2000 (0.254 µg/ml) followed by a ready to use LeicaDS9800 (Bond™ Polymer Refine Detection). Nuclear staining on (A) 293T transfected with an Influenza B virus NP expression vector and no staining on (B) 293T transfected with empty vector. The section was incubated with ab313885 for 30 mins at room temperature. The immunostaining was performed on a Leica Biosystems BOND® RX instrument Counterstained with Hematoxylin. Secondary antibody only control : Secondary antibody is a ready to use LeicaDS9800 (Bond™ Polymer Refine Detection).Heat mediated antigen retrieval was performed with Tris-EDTA buffer (pH 9.0, Epitope Retrieval Solution2) for 20 mins

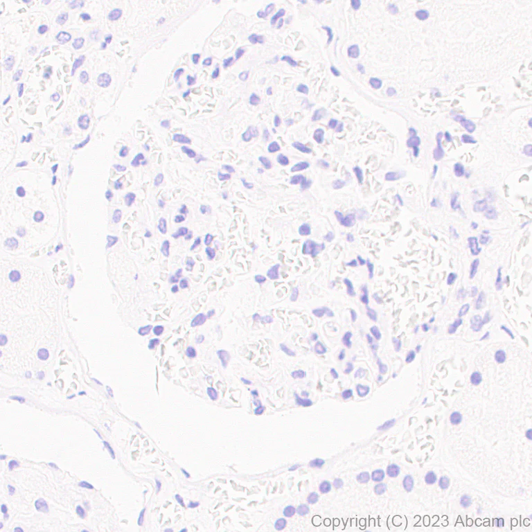
Immunohistochemistry (Formalin/PFA-fixed paraffin-embedded sections) - Anti-Influenza B virus Nucleoprotein antibody [EPR28205-27] - BSA and Azide free (AB313886)
  • IHC-P

Supplier Data

Immunohistochemistry (Formalin/PFA-fixed paraffin-embedded sections) - Anti-Influenza B virus Nucleoprotein antibody [EPR28205-27] - BSA and Azide free (AB313886)

This data was developed using ab313885, the same antibody clone in a different buffer formulation. Immunohistochemical analysis of paraffin-embedded Human kidney tissue labeling Influenza B virus Nucleoprotein with ab313885 at 1/2000 (0.254 µg/ml) followed by a ready to use LeicaDS9800 (Bond™ Polymer Refine Detection). Negative control : No staining on human kidney. The section was incubated with ab313885 for 30 mins at room temperature. The immunostaining was performed on a Leica Biosystems BOND® RX instrument Counterstained with Hematoxylin. Secondary antibody only control : Secondary antibody is a ready to use LeicaDS9800 (Bond™ Polymer Refine Detection).Heat mediated antigen retrieval was performed with Tris-EDTA buffer (pH 9.0, Epitope Retrieval Solution2) for 20 mins

Immunocytochemistry/ Immunofluorescence - Anti-Influenza B virus Nucleoprotein antibody [EPR28205-27] - BSA and Azide free (AB313886)
  • ICC/IF

Supplier Data

Immunocytochemistry/ Immunofluorescence - Anti-Influenza B virus Nucleoprotein antibody [EPR28205-27] - BSA and Azide free (AB313886)

This data was developed using ab313885, the same antibody clone in a different buffer formulation. Immunofluorescent analysis of 4% Paraformaldehyde-fixed, 0.1% TritonX-100 permeabilized 293T (Human embryonic kidney epithelial cell) transfected with an Influenza B virus NP gene expression vector containing a myc tag cells labelling Influenza B virus Nucleoprotein with ab313885 at 1/50 (10.16 µg/ml) dilution, followed by ab150081 Goat Anti-Rabbit IgG H&L (Alexa Fluor® 488) preadsorbed antibody at 1/1000 (2 µg/ml) dilution (Green). Confocal image showing nuclear staining in 293T cells transfected with an Influenza B virus NP gene expression vector containing a myc tag. Image was taken with a confocal microscope (Leica-Microsystems, TCS SP8). is observed. Myc-Tag Mouse mAb (Alexa Fluor® 647) was used to counterstain at 1/100 (0.38 µg/ml) dilution (Red). The Nuclear counterstain was DAPI (Blue). Secondary antibody only control : Secondary antibody is ab150081 Goat Anti-Rabbit IgG H&L (Alexa Fluor® 488) preadsorbed at 1/1000 (2 µg/ml) dilution.

Immunoprecipitation - Anti-Influenza B virus Nucleoprotein antibody [EPR28205-27] - BSA and Azide free (AB313886)
  • IP

Supplier Data

Immunoprecipitation - Anti-Influenza B virus Nucleoprotein antibody [EPR28205-27] - BSA and Azide free (AB313886)

This data was developed using ab313885, the same antibody clone in a different buffer formulation.

Influenza B virus Nucleoprotein was immunoprecipitated from 0.35 mg 293T (human embryonic kidney epithelial cell) cells transfected with an Influenza B virus NP gene expression vector containing a myc-His-tag® whole cell lysate with ab313885 at 1/30 dilution (2µg in 0.35mg lysates). Western blot was performed on the immunoprecipitate using ab313885 at 1/1000 dilution. VeriBlot for IP secondary antibody (HRP) (ab131366) was used at 1/5000 dilution.

Lane 1 : 293T (human embryonic kidney epithelial cell) cells transfected with an Influenza B virus NP gene expression vector containing a myc-His-tag® whole cell lysate
Lane 2 : ab313885 IP in 293T (human embryonic kidney epithelial cell) cells transfected with an Influenza B virus NP gene expression vector containing a myc-His-tag® whole cell lysate
Lane 3 : Rabbit monoclonal IgG (ab172730) instead of ab313885 in 293T cells transfected with an Influenza B virus NP gene expression vector containing a myc-His-tag® whole cell lysate.

Blocking and dilution buffer and concentration : 5% NFDM/TBST. Exposure time : 180 seconds

All lanes:

Immunoprecipitation - Anti-Influenza B virus Nucleoprotein antibody [EPR28205-27] (<a href='/en-us/products/primary-antibodies/influenza-b-virus-nucleoprotein-antibody-epr28205-27-ab313885'>ab313885</a>) at 1/30 dilution

All lanes:

293T (human embryonic kidney epithelial cell) cells transfected with an Influenza B virus NP gene expression vector containing a myc-His-tag® whole cell lysate

Secondary

All lanes:

Immunoprecipitation - VeriBlot for IP Detection Reagent (HRP) (<a href='/en-us/products/reagents/veriblot-for-ip-detection-reagent-hrp-ab131366'>ab131366</a>) at 1/5000 dilution

false

Exposure time: 180s

Indirect ELISA - Anti-Influenza B virus Nucleoprotein antibody [EPR28205-27] - BSA and Azide free (AB313886)
  • I-ELISA

Supplier Data

Indirect ELISA - Anti-Influenza B virus Nucleoprotein antibody [EPR28205-27] - BSA and Azide free (AB313886)

This data was developed using ab313885, the same antibody clone in a different buffer formulation.

Indirect ELISA analysis of ab313885 at 1000-0 ng/ml. The Secondary antibody used was Alkaline Phosphatase-conjugated AffiniPure Goat Anti-Rabbit IgG (H+L) at 1 : 2500 dilution. Antigen : Influenza B virus Nucleoprotein. Antigen concentration : 1000 ng/ml.

Western blot - Anti-Influenza B virus Nucleoprotein antibody [EPR28205-27] - BSA and Azide free (AB313886)
  • WB

Supplier Data

Western blot - Anti-Influenza B virus Nucleoprotein antibody [EPR28205-27] - BSA and Azide free (AB313886)

This data was developed using ab313885, the same antibody clone in a different buffer formulation. Blocking and diluting buffer and concentration : 5% NFDM/TBST In Western blot, Anti-GAPDH antibody [EPR16891] - Loading Control (ab181602) staining at 1/200000 dilution. In Western blot, Anti-6X His tag® antibody [EPR20547] - ChIP Grade (ab213204) staining at 1/5000 dilution Exposure time : 26 seconds

All lanes:

Western blot - Anti-Influenza B virus Nucleoprotein antibody [EPR28205-27] (<a href='/en-us/products/primary-antibodies/influenza-b-virus-nucleoprotein-antibody-epr28205-27-ab313885'>ab313885</a>) at 1/1000 dilution

Lane 1:

293T (human embryonic kidney epithelial cell) cells transfected with an empty vector containing a myc-His-tag® whole cell lysate at 5 µg

Lane 2:

293T cells transfected with an Influenza B virus NP gene expression vector containing a myc-His-tag® whole cell lysate at 5 µg

Secondary

All lanes:

Western blot - Goat Anti-Rabbit IgG H&L (HRP) (<a href='/en-us/products/secondary-antibodies/goat-rabbit-igg-h-l-hrp-ab97051'>ab97051</a>) at 1/20000 dilution

Observed band size: 62 kDa,65 kDa

false

Exposure time: 26s

  • Unconjugated

    Anti-Influenza B virus Nucleoprotein antibody [EPR28205-27]

Key facts

Host species

Rabbit

Clonality

Monoclonal

Clone number

EPR28205-27

Isotype

IgG

Carrier free

Yes

Reacts with

Influenza B

Applications

ICC/IF, IP, WB, IHC-P, I-ELISA

applications

Immunogen

The exact immunogen used to generate this antibody is proprietary information.

Reactivity data

{ "title": "Reactivity Data", "filters": { "stats": ["", "Species", "Dilution Info", "Notes"], "tabs": { "all-applications": {"fullname" : "All Applications", "shortname": "All Applications"}, "IELISA" : {"fullname" : "Indirect ELISA", "shortname":"I-ELISA"}, "FlowCytIntra" : {"fullname" : "Flow Cytometry (Intracellular)", "shortname":"Flow Cyt (Intra)"}, "WB" : {"fullname" : "Western blot", "shortname":"WB"}, "IHCP" : {"fullname" : "Immunohistochemistry (Formalin/PFA-fixed paraffin-embedded sections)", "shortname":"IHC-P"}, "ICCIF" : {"fullname" : "Immunocytochemistry/ Immunofluorescence", "shortname":"ICC/IF"}, "IP" : {"fullname" : "Immunoprecipitation", "shortname":"IP"} }, "product-promise": { "all": "all", "testedAndGuaranteed": "tested", "guaranteed": "expected", "predicted": "predicted", "notRecommended": "not-recommended" } }, "values": { "Influenza B": { "IELISA-species-checked": "predicted", "IELISA-species-dilution-info": "", "IELISA-species-notes": "", "FlowCytIntra-species-checked": "notRecommended", "FlowCytIntra-species-dilution-info": "", "FlowCytIntra-species-notes": "<p></p>", "WB-species-checked": "predicted", "WB-species-dilution-info": "", "WB-species-notes": "", "IHCP-species-checked": "predicted", "IHCP-species-dilution-info": "", "IHCP-species-notes": "", "ICCIF-species-checked": "predicted", "ICCIF-species-dilution-info": "", "ICCIF-species-notes": "", "IP-species-checked": "predicted", "IP-species-dilution-info": "", "IP-species-notes": "" }, "Recombinant fragment - Influenza B": { "IELISA-species-checked": "testedAndGuaranteed", "IELISA-species-dilution-info": "", "IELISA-species-notes": "<p></p>", "FlowCytIntra-species-checked": "notRecommended", "FlowCytIntra-species-dilution-info": "", "FlowCytIntra-species-notes": "", "WB-species-checked": "notRecommended", "WB-species-dilution-info": "", "WB-species-notes": "", "IHCP-species-checked": "notRecommended", "IHCP-species-dilution-info": "", "IHCP-species-notes": "", "ICCIF-species-checked": "notRecommended", "ICCIF-species-dilution-info": "", "ICCIF-species-notes": "", "IP-species-checked": "notRecommended", "IP-species-dilution-info": "", "IP-species-notes": "" }, "Transfected cell line - Influenza B": { "IELISA-species-checked": "notRecommended", "IELISA-species-dilution-info": "", "IELISA-species-notes": "", "FlowCytIntra-species-checked": "notRecommended", "FlowCytIntra-species-dilution-info": "", "FlowCytIntra-species-notes": "", "WB-species-checked": "notRecommended", "WB-species-dilution-info": "", "WB-species-notes": "", "IHCP-species-checked": "testedAndGuaranteed", "IHCP-species-dilution-info": "", "IHCP-species-notes": "<p></p>", "ICCIF-species-checked": "testedAndGuaranteed", "ICCIF-species-dilution-info": "", "ICCIF-species-notes": "<p></p>", "IP-species-checked": "notRecommended", "IP-species-dilution-info": "", "IP-species-notes": "" }, "Transfected cell lysate - Influenza B": { "IELISA-species-checked": "notRecommended", "IELISA-species-dilution-info": "", "IELISA-species-notes": "", "FlowCytIntra-species-checked": "notRecommended", "FlowCytIntra-species-dilution-info": "", "FlowCytIntra-species-notes": "", "WB-species-checked": "testedAndGuaranteed", "WB-species-dilution-info": "", "WB-species-notes": "<p></p>", "IHCP-species-checked": "notRecommended", "IHCP-species-dilution-info": "", "IHCP-species-notes": "", "ICCIF-species-checked": "notRecommended", "ICCIF-species-dilution-info": "", "ICCIF-species-notes": "", "IP-species-checked": "testedAndGuaranteed", "IP-species-dilution-info": "", "IP-species-notes": "<p></p>" } } }

Product details

ab313886 is the carrier-free version of ab313885.

Patented technology
Our RabMAb® technology is a patented hybridoma-based technology for making rabbit monoclonal antibodies. For details on our patents, please refer to RabMAb® patents.

What are the advantages of a recombinant monoclonal antibody?
This product is a recombinant monoclonal antibody, which offers several advantages including:

  • - High batch-to-batch consistency and reproducibility
  • - Improved sensitivity and specificity
  • - Long-term security of supply
  • - Animal-free batch production

For more information, read more on recombinant antibodies.

Conjugation ready
Our carrier-free antibodies are typically supplied in a PBS-only formulation, purified and free of BSA, sodium azide and glycerol. This conjugation-ready format is designed for use with fluorochromes, metal isotopes, oligonucleotides, and enzymes, which makes them ideal for antibody labelling, functional and cell-based assays, flow-based assays (e.g. mass cytometry) and Multiplex Imaging applications.

Use our conjugation kits for antibody conjugates that are ready-to-use in as little as 20 minutes with 1 minute hands-on-time and 100% antibody recovery: available for fluorescent dyes, HRP, biotin and gold.

Compatibility
This product is compatible with the Maxpar® Antibody Labeling Kit from Fluidigm, without the need for antibody preparation. Maxpar® is a trademark of Fluidigm Canada Inc.

Properties and storage information

Form
Liquid
Purification technique
Affinity purification Protein A
Storage buffer
pH: 7.2 - 7.4 Constituents: PBS
Shipped at conditions
Blue Ice
Appropriate short-term storage conditions
+4°C
Appropriate long-term storage conditions
+4°C

Supplementary information

This supplementary information is collated from multiple sources and compiled automatically.

The Influenza B Virus Nucleoprotein often known as NP or flu B NP is an essential structural protein with a molecular weight of approximately 56 kDa. It plays a role in the influenza B virus lifecycle by encapsidating the viral RNA forming the ribonucleoprotein complex important for viral replication and transcription. This protein expresses in the host cell's cytoplasm and nucleus facilitating the export of vRNPs from the nucleus.
Biological function summary

The ribonucleoprotein complex formation involves nucleoproteins assembling with the viral RNA and polymerase subunits securing the genome for replication and transcription. NP interacts with both the polymerase basic 2 (PB2) and polymerase acidic (PA) proteins forming a vital part of the complex. This interaction allows the viral RNA to maintain its structure and function effectively during the virus infection cycle aiding both Influenza A and B viruses.

Pathways

NP participates in the viral replication pathway supporting the influenza virus propagation in infected cells. It associates closely with viral RNA polymerases and is integral to the transcription and replication of the viral RNA genome. Other key proteins involved in these pathways include the polymerase basic 1 (PB1) protein essential for synthesizing viral mRNA and the matrix protein (M1) which aids in vRNA encapsidation and budding.

NP relates closely to influenza B infections contributing to the clinical symptoms of flu B such as fever and respiratory issues. This protein is also a potential target for vaccine and therapeutic development against influenza B. NP shares a connection with the M2 protein another target in antiviral strategies given its role in proton channel activity and viral uncoating. Understanding NP's role can guide the creation of flu B antibodies and influenza A and B antibodies to reduce disease severity or prevent flu infections.

Product protocols

For this product, it's our understanding that no specific protocols are required. You can visit:

Target data

Encapsidates the negative strand viral RNA, protecting it from nucleases. The encapsidated genomic RNA is termed the ribonucleoprotein (RNP) and serves as template for transcription and replication. The RNP needs to be localized in the host nucleus to start an infectious cycle, but is too large to diffuse through the nuclear pore complex. NP comprises at least 2 nuclear localization signals that are responsible for the active RNP import into the nucleus through cellular importin alpha/beta pathway. Later in the infection, nclear export of RNPs are mediated through viral proteins NEP interacting with M1 which binds nucleoproteins. It is possible that nucleoprotein binds directly host exportin-1/XPO1 and plays an active role in RNPs nuclear export. M1 interaction with RNP seems to hide nucleoprotein's nuclear localization signals. Soon after a virion infects a new cell, M1 dissociates from the RNP under acidification of the virion driven by M2 protein. Dissociation of M1 from RNP unmasks nucleoprotein's nuclear localization signals, targeting the RNP to the nucleus.
See full target information NP

Product promise

We are committed to supporting your work with high-quality reagents, and we're here for you every step of the way. In the unlikely event that one of our products does not perform as expected, you're protected by our Product Promise.
For full details, please see our Terms & Conditions

Please note: All products are 'FOR RESEARCH USE ONLY. NOT FOR USE IN DIAGNOSTIC OR THERAPEUTIC PROCEDURES'.

For licensing inquiries, please contact partnerships@abcam.com