JavaScript is disabled in your browser. Please enable JavaScript to view this website.
AB47720

Anti-Inhibin alpha antibody [4A2F2]

Be the first to review this product! Submit a review

|

(6 Publications)

Mouse Monoclonal Inhibin alpha antibody. Suitable for Flow Cyt, IHC-P, ICC/IF and reacts with Human samples. Cited in 6 publications. Immunogen corresponding to Recombinant Fragment Protein within Human INHA.

View Alternative Names

Inhibin alpha chain, INHA

5 Images
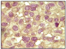
Immunohistochemistry (Formalin/PFA-fixed paraffin-embedded sections) - Anti-Inhibin alpha antibody [4A2F2] (AB47720)
  • IHC-P

Unknown

Immunohistochemistry (Formalin/PFA-fixed paraffin-embedded sections) - Anti-Inhibin alpha antibody [4A2F2] (AB47720)

Immunohistochemical analysis of paraffin-embedded human testicle tumor tissue showing cytoplasmic/ membrane localization using ab47720 at a 1/500 dilution, with DAB staining.

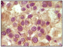
Immunohistochemistry (Formalin/PFA-fixed paraffin-embedded sections) - Anti-Inhibin alpha antibody [4A2F2] (AB47720)
  • IHC-P

Unknown

Immunohistochemistry (Formalin/PFA-fixed paraffin-embedded sections) - Anti-Inhibin alpha antibody [4A2F2] (AB47720)

Immunohistochemical analysis of paraffin-embedded human lymphoid tissue showing cytoplasmic/ membrane localization using ab47720 at a 1/500 dilution, with DAB staining.

Flow Cytometry - Anti-Inhibin alpha antibody [4A2F2] (AB47720)
  • Flow Cyt

Unknown

Flow Cytometry - Anti-Inhibin alpha antibody [4A2F2] (AB47720)

Overlay histogram showing HeLa cells stained with ab47720 (red line). The cells were fixed with 80% methanol (5 min) and then permeabilized with 0.1% PBS-Tween for 20 min. The cells were then incubated in 1x PBS / 10% normal goat serum / 0.3M glycine to block non-specific protein-protein interactions followed by the antibody (ab47720, 1μg/1x106 cells) for 30 min at 22°C. The secondary antibody used was DyLight® 488 goat anti-mouse IgG (H+L) (ab96879) at 1/500 dilution for 30 min at 22°C. Isotype control antibody (black line) was mouse IgG1 [ICIGG1](ab91353, 2μg/1x106 cells) used under the same conditions. Acquisition of >5,000 events was performed. This antibody gave a positive signal in HeLa cells fixed with 4% paraformaldehyde/permeabilized in 0.1% PBS-Tween used under the same conditions.

Immunocytochemistry/ Immunofluorescence - Anti-Inhibin alpha antibody [4A2F2] (AB47720)
  • ICC/IF

Unknown

Immunocytochemistry/ Immunofluorescence - Anti-Inhibin alpha antibody [4A2F2] (AB47720)

ab47720 at 1/1000 dilution staining Inhibin alpha in human Hela cells by immunocytochemistry/ Immunofluorescence. An Alexa Fluor® 488 conjugated Goat polyclonal to mouse IgG was used as secondary antibody. The primary show green staining in image while actin filaments have been labelled red with DY-554 phalloidin. Nuclei were stained blue with DRAQ5 DNA fluorescent dye.

Immunohistochemistry (Formalin/PFA-fixed paraffin-embedded sections) - Anti-Inhibin alpha antibody [4A2F2] (AB47720)
  • IHC-P

Unknown

Immunohistochemistry (Formalin/PFA-fixed paraffin-embedded sections) - Anti-Inhibin alpha antibody [4A2F2] (AB47720)

Immunohistochemical analysis of paraffin-embedded human ovary tumor tissue showing cytoplasmic/ membrane localization using ab47720 at a 1/500 dilution, with DAB staining.

Key facts

Host species

Mouse

Clonality

Monoclonal

Clone number

4A2F2

Isotype

IgG1

Carrier free

No

Reacts with

Human

Applications

IHC-P, Flow Cyt, ICC/IF

applications

Immunogen

Recombinant Fragment Protein within Human INHA. The exact immunogen used to generate this antibody is proprietary information.

P05111

Specificity

This antibody is specific for Inhibin alpha.

Reactivity data

{ "title": "Reactivity Data", "filters": { "stats": ["", "Species", "Dilution Info", "Notes"], "tabs": { "all-applications": {"fullname" : "All Applications", "shortname": "All Applications"}, "FlowCyt" : {"fullname" : "Flow Cytometry", "shortname":"Flow Cyt"}, "IHCP" : {"fullname" : "Immunohistochemistry (Formalin/PFA-fixed paraffin-embedded sections)", "shortname":"IHC-P"}, "ICCIF" : {"fullname" : "Immunocytochemistry/ Immunofluorescence", "shortname":"ICC/IF"} }, "product-promise": { "all": "all", "testedAndGuaranteed": "tested", "guaranteed": "expected", "predicted": "predicted", "notRecommended": "not-recommended" } }, "values": { "Human": { "FlowCyt-species-checked": "testedAndGuaranteed", "FlowCyt-species-dilution-info": "1 µg for 10^6 Cells", "FlowCyt-species-notes": "<p><a href='/en-us/products/primary-antibodies/mouse-igg1-kappa-monoclonal-15-6e10a7-isotype-control-ab170190'>ab170190</a> - Mouse monoclonal IgG1, is suitable for use as an isotype control with this antibody.</p>", "IHCP-species-checked": "testedAndGuaranteed", "IHCP-species-dilution-info": "", "IHCP-species-notes": "<p></p>", "ICCIF-species-checked": "testedAndGuaranteed", "ICCIF-species-dilution-info": "1/200 - 1/1000", "ICCIF-species-notes": "<p></p>" } } }

Properties and storage information

Form
Liquid
Purification technique
Affinity purification Protein G
Purification notes
Purified from tissue culture supernatant.
Storage buffer
Preservative: 0.05% Sodium azide Constituents: PBS
Shipped at conditions
Blue Ice
Appropriate short-term storage conditions
+4°C
Appropriate long-term storage conditions
-20°C
Aliquoting information
Upon delivery aliquot
Storage information
Avoid freeze / thaw cycle

Supplementary information

This supplementary information is collated from multiple sources and compiled automatically.

Inhibin alpha also known as alpha-inhibin is a subunit of the inhibin protein complex. As a 32 kDa glycoprotein inhibin exerts its role as a modulator of hormone activities by forming heterodimers with various beta subunits typically expressed in the gonads adrenal glands and pituitary gland. Inhibin alpha not only influences the secretion of follicle-stimulating hormone (FSH) but also acts as an important player in reproductive endocrinology. Its expression can be assessed through inh alpha R1 and po12 markers offering insights through inhibin immunohistochemistry.
Biological function summary

Inhibin alpha forms part of the inhibin hormone complex which primarily serves as a negative regulator of FSH secretion. Insufficient levels of inhibin can disrupt normal metabolic functions impacting reproductive systems. The inhibin alpha subunit is vital for maintaining reproductive homeostasis and monitoring the inhibin staining pattern provides a useful diagnostic tool in reproductive health assessments. Inhibin binds to activin receptors where it blocks FSH release from the anterior pituitary gland reinforcing its role in managing the reproductive axis.

Pathways

Inhibin alpha is critically involved in the transforming growth factor-beta (TGF-beta) signaling pathway. This pathway plays a major role in cell differentiation and proliferation where inhibin competes with activin for the same receptors ultimately reducing FSH synthesis. Additionally inhibin functions within endocrine regulatory mechanisms ensuring the reproductive hormones maintain their balance alongside related proteins such as activin and follistatin each contributing uniquely to signaling processes.

Inhibin alpha alterations can significantly influence conditions like polycystic ovary syndrome (PCOS) and certain gonadal tumors. Abnormal levels of inhibin are often observed in PCOS where disrupted endocrine feedback leads to infertility issues. Gonadal tumors also relate to increased inhibin expression providing a biomarker for diagnosis and progression monitoring. Through these diseases inhibin alpha interacts with proteins such as luteinizing hormone playing part in their systemic dysfunctions within the affected individuals.

Product protocols

For this product, it's our understanding that no specific protocols are required. You can visit:

Target data

Inhibins and activins inhibit and activate, respectively, the secretion of follitropin by the pituitary gland. Inhibins/activins are involved in regulating a number of diverse functions such as hypothalamic and pituitary hormone secretion, gonadal hormone secretion, germ cell development and maturation, erythroid differentiation, insulin secretion, nerve cell survival, embryonic axial development or bone growth, depending on their subunit composition. Inhibins appear to oppose the functions of activins.
See full target information INHA

Publications (6)

Recent publications for all applications. Explore the full list and refine your search

Scientific reports 13:15508 PubMed37726363

2023

A 3D adrenocortical carcinoma tumor platform for preclinical modeling of drug response and matrix metalloproteinase activity.

Applications

Unspecified application

Species

Unspecified reactive species

Priya H Dedhia,Hemamylammal Sivakumar,Marco A Rodriguez,Kylie G Nairon,Joshua M Zent,Xuguang Zheng,Katie Jones,Liudmila V Popova,Jennifer L Leight,Aleksander Skardal

Cancer medicine 10:1485-1500 PubMed33611864

2021

An immature inhibin-α-expressing subpopulation of ovarian clear cell carcinoma cells is related to an unfavorable prognosis.

Applications

Unspecified application

Species

Unspecified reactive species

Shinya Kusumoto,Masako Kurashige,Kenji Ohshima,Shinichiro Tahara,Takahiro Matsui,Satoshi Nojima,Satoshi Hattori,Eiichi Morii

Human reproduction (Oxford, England) 34:1019-1029 PubMed31119261

2019

Peroxisome proliferator-activated receptor-γ coactivator 1α-mediated pathway as a possible therapeutic target in endometriosis.

Applications

Unspecified application

Species

Unspecified reactive species

Hisashi Kataoka,Taisuke Mori,Hiroyuki Okimura,Hiroshi Matsushima,Fumitake Ito,Akemi Koshiba,Yukiko Tanaka,Kanoko Akiyama,Eiko Maeda,Takuya Sugahara,Yosuke Tarumi,Izumi Kusuki,Khaleque N Khan,Jo Kitawaki

Cancer research 78:2978-2989 PubMed29535220

2018

Inhibin Is a Novel Paracrine Factor for Tumor Angiogenesis and Metastasis.

Applications

Unspecified application

Species

Unspecified reactive species

Priyanka Singh,Laura M Jenkins,Ben Horst,Victoria Alers,Shrikant Pradhan,Prabhjot Kaur,Tapasya Srivastava,Nadine Hempel,Balázs Győrffy,Eugenia V Broude,Nam Y Lee,Karthikeyan Mythreye

Medicine 96:e7998 PubMed28906379

2017

Accessory ovarian steroid cell tumor producing testosterone and cortisol: A case report.

Applications

IHC

Species

Human

Li Zang,Mingxia Ye,Guoqing Yang,Jinlong Li,Mei Liu,Jin Du,Weijun Gu,Nan Jin,Lijuan Yang,Jianming Ba,Jingtao Dou,Wensheng Fan,Yiming Mu,Yuanguang Meng,Zhaohui Lyu

PloS one 11:e0151640 PubMed26982590

2016

Shedding Light on the Nature of Seminal Round Cells.

Applications

Unspecified application

Species

Unspecified reactive species

Gianpiero D Palermo,Queenie V Neri,Tyler Cozzubbo,Stephanie Cheung,Nigel Pereira,Zev Rosenwaks
View all publications

Product promise

We are committed to supporting your work with high-quality reagents, and we're here for you every step of the way. In the unlikely event that one of our products does not perform as expected, you're protected by our Product Promise.
For full details, please see our Terms & Conditions

Please note: All products are 'FOR RESEARCH USE ONLY. NOT FOR USE IN DIAGNOSTIC OR THERAPEUTIC PROCEDURES'.

For licensing inquiries, please contact partnerships@abcam.com