JavaScript is disabled in your browser. Please enable JavaScript to view this website.
AB216969

Anti-Inhibin alpha antibody

Be the first to review this product! Submit a review

|

(2 Publications)

Rabbit Polyclonal Inhibin alpha antibody. Suitable for IHC-P, WB and reacts with Rat samples. Cited in 2 publications. Immunogen corresponding to Synthetic Peptide within Mouse Inhibin alpha chain aa 300 to C-terminus conjugated to Keyhole Limpet Haemocyanin.

View Alternative Names

Inhibin alpha chain, Inha

2 Images
Immunohistochemistry (Formalin/PFA-fixed paraffin-embedded sections) - Anti-Inhibin alpha antibody (AB216969)
  • IHC-P

Supplier Data

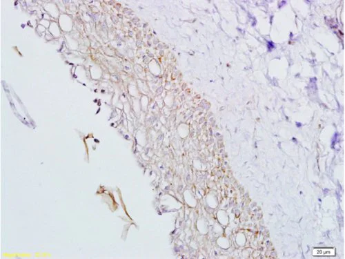
Immunohistochemistry (Formalin/PFA-fixed paraffin-embedded sections) - Anti-Inhibin alpha antibody (AB216969)

Immunohistochemical analysis of formalin-fixed, paraffin-embedded rat ovary tissue labeling Inhibin alpha with ab216969 at 1/200 dilution, followed by conjugation to the secondary antibody and DAB staining.

Western blot - Anti-Inhibin alpha antibody (AB216969)
  • WB

Supplier Data

Western blot - Anti-Inhibin alpha antibody (AB216969)

12% gel.

All lanes:

Western blot - Anti-Inhibin alpha antibody (ab216969) at 1/200 dilution

Lane 1:

rat brain lysate

Lane 2:

rat kidney lysate

Secondary

All lanes:

Goat Anti-Rabbit IgG Antibody (H+L), HRP at 1/3000 dilution

Predicted band size: 40 kDa

false

Key facts

Host species

Rabbit

Clonality

Polyclonal

Isotype

IgG

Carrier free

No

Reacts with

Rat

Applications

WB, IHC-P

applications

Immunogen

Synthetic Peptide within Mouse Inhibin alpha chain aa 300 to C-terminus conjugated to Keyhole Limpet Haemocyanin. The exact immunogen used to generate this antibody is proprietary information.

Q04997

Reactivity data

{ "title": "Reactivity Data", "filters": { "stats": ["", "Species", "Dilution Info", "Notes"], "tabs": { "all-applications": {"fullname" : "All Applications", "shortname": "All Applications"}, "IHCP" : {"fullname" : "Immunohistochemistry (Formalin/PFA-fixed paraffin-embedded sections)", "shortname":"IHC-P"}, "WB" : {"fullname" : "Western blot", "shortname":"WB"} }, "product-promise": { "all": "all", "testedAndGuaranteed": "tested", "guaranteed": "expected", "predicted": "predicted", "notRecommended": "not-recommended" } }, "values": { "Human": { "IHCP-species-checked": "predicted", "IHCP-species-dilution-info": "", "IHCP-species-notes": "", "WB-species-checked": "predicted", "WB-species-dilution-info": "", "WB-species-notes": "" }, "Mouse": { "IHCP-species-checked": "predicted", "IHCP-species-dilution-info": "", "IHCP-species-notes": "", "WB-species-checked": "predicted", "WB-species-dilution-info": "", "WB-species-notes": "" }, "Rat": { "IHCP-species-checked": "testedAndGuaranteed", "IHCP-species-dilution-info": "1/100 - 1/500", "IHCP-species-notes": "<p></p> Perform heat-mediated antigen retrieval with citrate buffer pH 6 before commencing with IHC staining protocol.", "WB-species-checked": "testedAndGuaranteed", "WB-species-dilution-info": "1/100 - 1/1000", "WB-species-notes": "<p></p>" } } }

Properties and storage information

Form
Liquid
Purification technique
Affinity purification Protein A
Storage buffer
pH: 7.4 Preservative: 0.02% Proclin 300 Constituents: 50% Glycerol (glycerin, glycerine), 48.98% TBS, 1X, 1% BSA
Shipped at conditions
Blue Ice
Appropriate short-term storage duration
1-2 weeks
Appropriate short-term storage conditions
+4°C
Appropriate long-term storage conditions
-20°C
Aliquoting information
Upon delivery aliquot
Storage information
Avoid freeze / thaw cycle

Supplementary information

This supplementary information is collated from multiple sources and compiled automatically.

Inhibin alpha also known as alpha-inhibin is a subunit of the inhibin protein complex. As a 32 kDa glycoprotein inhibin exerts its role as a modulator of hormone activities by forming heterodimers with various beta subunits typically expressed in the gonads adrenal glands and pituitary gland. Inhibin alpha not only influences the secretion of follicle-stimulating hormone (FSH) but also acts as an important player in reproductive endocrinology. Its expression can be assessed through inh alpha R1 and po12 markers offering insights through inhibin immunohistochemistry.
Biological function summary

Inhibin alpha forms part of the inhibin hormone complex which primarily serves as a negative regulator of FSH secretion. Insufficient levels of inhibin can disrupt normal metabolic functions impacting reproductive systems. The inhibin alpha subunit is vital for maintaining reproductive homeostasis and monitoring the inhibin staining pattern provides a useful diagnostic tool in reproductive health assessments. Inhibin binds to activin receptors where it blocks FSH release from the anterior pituitary gland reinforcing its role in managing the reproductive axis.

Pathways

Inhibin alpha is critically involved in the transforming growth factor-beta (TGF-beta) signaling pathway. This pathway plays a major role in cell differentiation and proliferation where inhibin competes with activin for the same receptors ultimately reducing FSH synthesis. Additionally inhibin functions within endocrine regulatory mechanisms ensuring the reproductive hormones maintain their balance alongside related proteins such as activin and follistatin each contributing uniquely to signaling processes.

Inhibin alpha alterations can significantly influence conditions like polycystic ovary syndrome (PCOS) and certain gonadal tumors. Abnormal levels of inhibin are often observed in PCOS where disrupted endocrine feedback leads to infertility issues. Gonadal tumors also relate to increased inhibin expression providing a biomarker for diagnosis and progression monitoring. Through these diseases inhibin alpha interacts with proteins such as luteinizing hormone playing part in their systemic dysfunctions within the affected individuals.

Product protocols

For this product, it's our understanding that no specific protocols are required. You can visit:

Target data

Inhibins and activins inhibit and activate, respectively, the secretion of follitropin by the pituitary gland. Inhibins/activins are involved in regulating a number of diverse functions such as hypothalamic and pituitary hormone secretion, gonadal hormone secretion, germ cell development and maturation, erythroid differentiation, insulin secretion, nerve cell survival, embryonic axial development or bone growth, depending on their subunit composition. Inhibins appear to oppose the functions of activins.
See full target information Inha

Publications (2)

Recent publications for all applications. Explore the full list and refine your search

Bioengineered 13:8101-8114 PubMed35313782

2022

Neuropeptide Y in the amygdala contributes to neuropathic pain-like behaviors in rats the neuropeptide Y receptor type 2/mitogen-activated protein kinase axis.

Applications

Unspecified application

Species

Unspecified reactive species

Wenhui Yan,Wuchao Liu,Junlu Wu,Lipei Wu,Shihai Xuan,Weiwei Wang,Anquan Shang

Scientific reports 10:20678 PubMed33244099

2020

Differences in gynecologic tumor development in Amhr2-Cre mice with KRAS or KRAS mutations.

Applications

Unspecified application

Species

Unspecified reactive species

Eucharist H S Kun,Yvonne T M Tsang,Sophia Lin,Sophia Pan,Tejas Medapalli,Anais Malpica,JoAnne S Richards,David M Gershenson,Kwong-Kwok Wong
View all publications

Product promise

We are committed to supporting your work with high-quality reagents, and we're here for you every step of the way. In the unlikely event that one of our products does not perform as expected, you're protected by our Product Promise.
For full details, please see our Terms & Conditions

Please note: All products are 'FOR RESEARCH USE ONLY. NOT FOR USE IN DIAGNOSTIC OR THERAPEUTIC PROCEDURES'.

For licensing inquiries, please contact partnerships@abcam.com