JavaScript is disabled in your browser. Please enable JavaScript to view this website.
AB203824

Anti-Inhibin alpha antibody [EPR17083]

Be the first to review this product! Submit a review

|

(2 Publications)

Rabbit Recombinant Monoclonal Inhibin alpha antibody. Suitable for WB, IHC-P and reacts with Human samples. Cited in 2 publications.

View Alternative Names

Inhibin alpha chain, INHA

3 Images
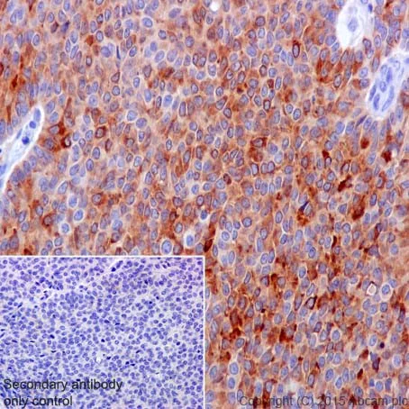
Immunohistochemistry (Formalin/PFA-fixed paraffin-embedded sections) - Anti-Inhibin alpha antibody [EPR17083] (AB203824)
  • IHC-P

Supplier Data

Immunohistochemistry (Formalin/PFA-fixed paraffin-embedded sections) - Anti-Inhibin alpha antibody [EPR17083] (AB203824)

Immunohistochemical analysis of paraffin-embedded Human ovarian carcinoma tissue labeling Inhibin alpha with ab203824 at 1/250 dilution followed by Goat Anti-Rabbit IgG H&L (HRP) (ab97051) at 1/500 dilution. Cytoplasmic staining on Human ovarian carcinoma tissue is observed. Counter stained with Hematoxylin.

Secondary antibody only control : Used PBS instead of primary antibody secondary antibody is Goat Anti-Rabbit IgG H&L (HRP) (ab97051) at 1/500 dilution.

Perform heat mediated antigen retrieval with Tris/EDTA buffer pH 9.0 before commencing with IHC staining protocol.

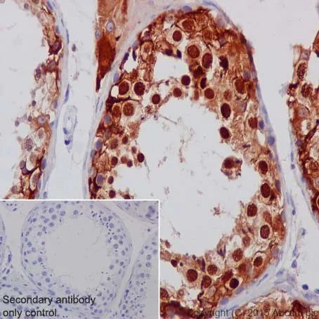
Immunohistochemistry (Formalin/PFA-fixed paraffin-embedded sections) - Anti-Inhibin alpha antibody [EPR17083] (AB203824)
  • IHC-P

Supplier Data

Immunohistochemistry (Formalin/PFA-fixed paraffin-embedded sections) - Anti-Inhibin alpha antibody [EPR17083] (AB203824)

Immunohistochemical analysis of paraffin-embedded Human testis tissue labeling Inhibin alpha with ab203824 at 1/250 dilution followed by Goat Anti-Rabbit IgG H&L (HRP) (ab97051) at 1/500 dilution. Cytoplasmic and nuclear staining on Human testis tissue is observed. Counter stained with Hematoxylin.

Secondary antibody only control : Used PBS instead of primary antibody secondary antibody is Goat Anti-Rabbit IgG H&L (HRP) (ab97051) at 1/500 dilution.

Perform heat mediated antigen retrieval with Tris/EDTA buffer pH 9.0 before commencing with IHC staining protocol.

Western blot - Anti-Inhibin alpha antibody [EPR17083] (AB203824)
  • WB

Supplier Data

Western blot - Anti-Inhibin alpha antibody [EPR17083] (AB203824)

Blocking/Dilution buffer : 5% NFDM/TBST.

All lanes:

Western blot - Anti-Inhibin alpha antibody [EPR17083] (ab203824) at 1/1000 dilution

All lanes:

Human testis lysate at 10 µg

Secondary

All lanes:

Anti-Rabbit IgG (HRP), specific to the non-reduced form of IgG at 1/1000 dilution

Predicted band size: 40 kDa

Observed band size: 38 kDa,40 kDa

false

Exposure time: 3min

Key facts

Host species

Rabbit

Clonality

Monoclonal

Clone number

EPR17083

Isotype

IgG

Carrier free

No

Reacts with

Human

Applications

IHC-P, WB

applications

Immunogen

The exact immunogen used to generate this antibody is proprietary information.

Reactivity data

{ "title": "Reactivity Data", "filters": { "stats": ["", "Species", "Dilution Info", "Notes"], "tabs": { "all-applications": {"fullname" : "All Applications", "shortname": "All Applications"}, "WB" : {"fullname" : "Western blot", "shortname":"WB"}, "IHCP" : {"fullname" : "Immunohistochemistry (Formalin/PFA-fixed paraffin-embedded sections)", "shortname":"IHC-P"} }, "product-promise": { "all": "all", "testedAndGuaranteed": "tested", "guaranteed": "expected", "predicted": "predicted", "notRecommended": "not-recommended" } }, "values": { "Human": { "WB-species-checked": "testedAndGuaranteed", "WB-species-dilution-info": "1/1000", "WB-species-notes": "<p></p>", "IHCP-species-checked": "testedAndGuaranteed", "IHCP-species-dilution-info": "1/250", "IHCP-species-notes": "<p></p>" } } }

Product details

Patented technology
Our RabMAb® technology is a patented hybridoma-based technology for making rabbit monoclonal antibodies. For details on our patents, please refer to RabMAb® patents.

What are the advantages of a recombinant monoclonal antibody?
This product is a recombinant monoclonal antibody, which offers several advantages including:

  • - High batch-to-batch consistency and reproducibility
  • - Improved sensitivity and specificity
  • - Long-term security of supply
  • - Animal-free batch production

For more information, read more on recombinant antibodies.

Properties and storage information

Form
Liquid
Purification technique
Affinity purification Protein A
Storage buffer
pH: 7.2 - 7.4 Preservative: 0.01% Sodium azide Constituents: PBS, 40% Glycerol (glycerin, glycerine), 0.05% BSA
Shipped at conditions
Blue Ice
Appropriate short-term storage duration
1-2 weeks
Appropriate short-term storage conditions
+4°C
Appropriate long-term storage conditions
-20°C
Aliquoting information
Upon delivery aliquot
Storage information
Avoid freeze / thaw cycle

Supplementary information

This supplementary information is collated from multiple sources and compiled automatically.

Inhibin alpha also known as alpha-inhibin is a subunit of the inhibin protein complex. As a 32 kDa glycoprotein inhibin exerts its role as a modulator of hormone activities by forming heterodimers with various beta subunits typically expressed in the gonads adrenal glands and pituitary gland. Inhibin alpha not only influences the secretion of follicle-stimulating hormone (FSH) but also acts as an important player in reproductive endocrinology. Its expression can be assessed through inh alpha R1 and po12 markers offering insights through inhibin immunohistochemistry.
Biological function summary

Inhibin alpha forms part of the inhibin hormone complex which primarily serves as a negative regulator of FSH secretion. Insufficient levels of inhibin can disrupt normal metabolic functions impacting reproductive systems. The inhibin alpha subunit is vital for maintaining reproductive homeostasis and monitoring the inhibin staining pattern provides a useful diagnostic tool in reproductive health assessments. Inhibin binds to activin receptors where it blocks FSH release from the anterior pituitary gland reinforcing its role in managing the reproductive axis.

Pathways

Inhibin alpha is critically involved in the transforming growth factor-beta (TGF-beta) signaling pathway. This pathway plays a major role in cell differentiation and proliferation where inhibin competes with activin for the same receptors ultimately reducing FSH synthesis. Additionally inhibin functions within endocrine regulatory mechanisms ensuring the reproductive hormones maintain their balance alongside related proteins such as activin and follistatin each contributing uniquely to signaling processes.

Inhibin alpha alterations can significantly influence conditions like polycystic ovary syndrome (PCOS) and certain gonadal tumors. Abnormal levels of inhibin are often observed in PCOS where disrupted endocrine feedback leads to infertility issues. Gonadal tumors also relate to increased inhibin expression providing a biomarker for diagnosis and progression monitoring. Through these diseases inhibin alpha interacts with proteins such as luteinizing hormone playing part in their systemic dysfunctions within the affected individuals.

Product protocols

For this product, it's our understanding that no specific protocols are required. You can visit:

Target data

Inhibins and activins inhibit and activate, respectively, the secretion of follitropin by the pituitary gland. Inhibins/activins are involved in regulating a number of diverse functions such as hypothalamic and pituitary hormone secretion, gonadal hormone secretion, germ cell development and maturation, erythroid differentiation, insulin secretion, nerve cell survival, embryonic axial development or bone growth, depending on their subunit composition. Inhibins appear to oppose the functions of activins.
See full target information INHA

Publications (2)

Recent publications for all applications. Explore the full list and refine your search

Oncology letters 29:238 PubMed40486087

2025

Misdiagnosis of esophageal leiomyoma combined with adrenal cortical adenoma as esophageal cancer with adrenal metastasis by fluorine-18-fluorodeoxyglucose positron emission tomography: A case report.

Applications

Unspecified application

Species

Unspecified reactive species

Xiaoming Sun,Lin Lv,Daming Fan,Yubin Huang,Liangming Zhu,Haibo Liu

Journal of translational medicine 21:466 PubMed37443022

2023

A precise molecular subtyping of ulcerative colitis reveals the immune heterogeneity and predicts clinical drug responses.

Applications

Unspecified application

Species

Unspecified reactive species

Shaocong Mo,Bryan Jin,Yujen Tseng,Lingxi Lin,Lishuang Lin,Xin Shen,Huan Song,Mingjia Kong,Zhongguang Luo,Yiwei Chu,Chen Jiang,Zhiwei Cao,Jie Liu,Feifei Luo
View all publications

Product promise

We are committed to supporting your work with high-quality reagents, and we're here for you every step of the way. In the unlikely event that one of our products does not perform as expected, you're protected by our Product Promise.
For full details, please see our Terms & Conditions

Please note: All products are 'FOR RESEARCH USE ONLY. NOT FOR USE IN DIAGNOSTIC OR THERAPEUTIC PROCEDURES'.

For licensing inquiries, please contact partnerships@abcam.com