JavaScript is disabled in your browser. Please enable JavaScript to view this website.
AB97705

Anti-Inhibin beta A antibody

Be the first to review this product! Submit a review

|

(10 Publications)

Rabbit Polyclonal Inhibin beta A antibody. Suitable for WB, ICC/IF, IHC-P and reacts with Human samples. Cited in 10 publications. Immunogen corresponding to Synthetic Peptide within Human Inhibin beta A chain aa 350 to C-terminus.

View Alternative Names

Inhibin beta A chain, Activin beta-A chain, Erythroid differentiation protein, EDF, INHBA

4 Images
Immunocytochemistry/ Immunofluorescence - Anti-Inhibin beta A antibody (AB97705)
  • ICC/IF

Unknown

Immunocytochemistry/ Immunofluorescence - Anti-Inhibin beta A antibody (AB97705)

ab97705, at 1/200 dilution, staining Inhibin beta A in paraformaldehyde-fixed HeLa cells by Immunofluorescence. Lower image is merged with DNA probe.

Immunohistochemistry (Formalin/PFA-fixed paraffin-embedded sections) - Anti-Inhibin beta A antibody (AB97705)
  • IHC-P

Supplier Data

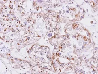
Immunohistochemistry (Formalin/PFA-fixed paraffin-embedded sections) - Anti-Inhibin beta A antibody (AB97705)

Immunohistochemical analysis of clear cell ovca xenograft tissue stained for Inhibin beta A with ab97705 at a 1/500 dilution.

Antigen retrieval : EDTA based, pH 8.0 buffer, 15min.

Western blot - Anti-Inhibin beta A antibody (AB97705)
  • WB

Supplier Data

Western blot - Anti-Inhibin beta A antibody (AB97705)

Samples were separated by 10% SDS PAGE.

All lanes:

Western blot - Anti-Inhibin beta A antibody (ab97705) at 1/1000 dilution

All lanes:

PC-3 conditioned medium at 30 µg

Secondary

All lanes:

HRP-conjugated anti-rabbit IgG antibody

Predicted band size: 47 kDa

false

Western blot - Anti-Inhibin beta A antibody (AB97705)
  • WB

Supplier Data

Western blot - Anti-Inhibin beta A antibody (AB97705)

Samples were separated by 10% SDS PAGE.

All lanes:

Western blot - Anti-Inhibin beta A antibody (ab97705) at 1/1000 dilution

Lane 1:

A549 whole cell extracts at 30 µg

Lane 2:

H1299 whole cell extracts at 30 µg

Lane 3:

HCT116 whole cell extracts at 30 µg

Secondary

All lanes:

HRP-conjugated anti-rabbit IgG antibody

Predicted band size: 47 kDa

false

Key facts

Host species

Rabbit

Clonality

Polyclonal

Isotype

IgG

Carrier free

No

Reacts with

Human

Applications

WB, ICC/IF, IHC-P

applications

Immunogen

Synthetic Peptide within Human Inhibin beta A chain aa 350 to C-terminus. The exact immunogen used to generate this antibody is proprietary information.

P08476

Reactivity data

{ "title": "Reactivity Data", "filters": { "stats": ["", "Species", "Dilution Info", "Notes"], "tabs": { "all-applications": {"fullname" : "All Applications", "shortname": "All Applications"}, "WB" : {"fullname" : "Western blot", "shortname":"WB"}, "ICCIF" : {"fullname" : "Immunocytochemistry/ Immunofluorescence", "shortname":"ICC/IF"}, "IHCP" : {"fullname" : "Immunohistochemistry (Formalin/PFA-fixed paraffin-embedded sections)", "shortname":"IHC-P"} }, "product-promise": { "all": "all", "testedAndGuaranteed": "tested", "guaranteed": "expected", "predicted": "predicted", "notRecommended": "not-recommended" } }, "values": { "Human": { "WB-species-checked": "testedAndGuaranteed", "WB-species-dilution-info": "1/500 - 1/3000", "WB-species-notes": "<p></p>", "ICCIF-species-checked": "testedAndGuaranteed", "ICCIF-species-dilution-info": "1/100 - 1/1000", "ICCIF-species-notes": "<p></p>", "IHCP-species-checked": "testedAndGuaranteed", "IHCP-species-dilution-info": "1/100 - 1/1000", "IHCP-species-notes": "<p></p>" } } }

Properties and storage information

Form
Liquid
Purification technique
Affinity purification Immunogen
Storage buffer
pH: 7 Preservative: 0.025% Proclin 300 Constituents: PBS, 20% Glycerol (glycerin, glycerine)
Shipped at conditions
Blue Ice
Appropriate short-term storage conditions
+4°C
Appropriate long-term storage conditions
-20°C
Aliquoting information
Upon delivery aliquot
Storage information
Avoid freeze / thaw cycle

Supplementary information

This supplementary information is collated from multiple sources and compiled automatically.

Inhibin beta A also known as activin beta A chain and inhibin A is a protein with a significant role in the regulation of diverse physiological processes. This protein has a molecular mass of approximately 45 kDa and originates primarily from gonadal tissues but also from the placenta pituitary gland and other tissues. Inhibin beta A consists of several subunits that can dimerize to form both activins and inhibins depending on the pairing with other subunits like the alpha chain.
Biological function summary

Activin beta A chain plays an important role in the modulation of follicle-stimulating hormone (FSH) regulation cellular growth and differentiation. It often functions as part of a complex with activin and inhibin proteins influencing reproductive hormone levels and participating in tissue repair and inflammation processes. Inhibin beta A forms activin A when paired with another inhibin beta A subunit or inhibin A when paired with an inhibin alpha subunit therefore contributing to the modulation of FSH-releasing protein activity.

Pathways

Activin and inhibin proteins participate in the regulation of the TGF-beta signaling pathway which is essential for reproductive and developmental processes. In this context inhibin beta A interacts functionally with proteins such as follistatin and FSH-releasing protein which modulate pathways that influence follicle maturation and hormone secretion. The protein's role in these pathways highlights its importance in orchestrating hormonal responses and facilitating proper cellular communication within the endocrine system.

Inhibin beta A becomes relevant in the context of reproductive health and oncology. Changes in its expression can associate with disorders like polycystic ovary syndrome (PCOS) and certain cancers particularly ovarian cancer where it may alter hormonal regulation and tumor progression. Related proteins such as inhibin B and follistatin also play roles in these conditions further complicating the pathways and the potential development of therapeutic interventions that target inhibin beta A and its network of interactions.

Product protocols

For this product, it's our understanding that no specific protocols are required. You can visit:

Target data

Inhibins and activins inhibit and activate, respectively, the secretion of follitropin by the pituitary gland. Inhibins/activins are involved in regulating a number of diverse functions such as hypothalamic and pituitary hormone secretion, gonadal hormone secretion, germ cell development and maturation, erythroid differentiation, insulin secretion, nerve cell survival, embryonic axial development or bone growth, depending on their subunit composition. Inhibins appear to oppose the functions of activins.
See full target information Inhibin beta A chain

Publications (10)

Recent publications for all applications. Explore the full list and refine your search

Cells 12: PubMed36899937

2023

Tubule-Derived Follistatin Is Increased in the Urine of Rats with Renal Ischemia and Reflects the Severity of Acute Tubular Damage.

Applications

Unspecified application

Species

Unspecified reactive species

Izumi Nagayama,Kaori Takayanagi,Hajime Hasegawa,Akito Maeshima

Disease markers 2021:4251763 PubMed34804261

2021

Development and Verification of an Immune-Based Gene Signature for Risk Stratification and Immunotherapeutic Efficacy Assessment in Gastric Cancer.

Applications

Unspecified application

Species

Unspecified reactive species

Feng Qiu,Yumei Zhu,Yafeng Shi,Jingjing Ji,Yingchao Jin

Molecular medicine reports 24: PubMed34505633

2021

Inhibin βA is an independent prognostic factor that promotes invasion via Hippo signaling in non‑small cell lung cancer.

Applications

Unspecified application

Species

Unspecified reactive species

Yijun Zhang,Shumei Yan,Yan Li,Jiangbo Zhang,Yuan Luo,Pengcheng Li,Yuanzhong Yang,Yong Li,Yuhua Huang,Enhua Wang

Frontiers in immunology 11:613975 PubMed33679701

2021

GM-CSF Expression and Macrophage Polarization in Joints of Undifferentiated Arthritis Patients Evolving to Rheumatoid Arthritis or Psoriatic Arthritis.

Applications

Unspecified application

Species

Unspecified reactive species

Sara Fuentelsaz-Romero,Andrea Cuervo,Lizbeth Estrada-Capetillo,Raquel Celis,Raquel García-Campos,Julio Ramírez,Sergi Sastre,Rafael Samaniego,Amaya Puig-Kröger,Juan D Cañete

PloS one 14:e0223703 PubMed31613925

2019

Urinary Activin A is a novel biomarker reflecting renal inflammation and tubular damage in ANCA-associated vasculitis.

Applications

Unspecified application

Species

Unspecified reactive species

Yoshinori Takei,Shunsuke Takahashi,Masao Nakasatomi,Toru Sakairi,Hidekazu Ikeuchi,Yoriaki Kaneko,Keiju Hiromura,Yoshihisa Nojima,Akito Maeshima

Bioscience reports 39: PubMed31072919

2019

Activin A: a novel urinary biomarker of renal impairment in multiple myeloma.

Applications

Unspecified application

Species

Unspecified reactive species

Hirono Iriuchishima,Akito Maeshima,Shunsuke Takahashi,Takuma Ishizaki,Akihiko Yokohama,Norifumi Tsukamoto,Takayuki Saitoh,Hirokazu Murakami,Hiroshi Handa

Circulation research 122:1347-1353 PubMed29483092

2018

Regulates Igf2bp2 Translation in Cardiomyocytes.

Applications

Unspecified application

Species

Unspecified reactive species

Mohammed Rabiul Hosen,Giuseppe Militello,Tyler Weirick,Yuliya Ponomareva,Sujith Dassanayaka,Joseph B Moore,Claudia Döring,Marcin Wysoczynski,Steven P Jones,Stefanie Dimmeler,Shizuka Uchida

The Journal of pathology 235:515-26 PubMed25319955

2014

Macrophages from the synovium of active rheumatoid arthritis exhibit an activin A-dependent pro-inflammatory profile.

Applications

Unspecified application

Species

Unspecified reactive species

Blanca Soler Palacios,Lizbeth Estrada-Capetillo,Elena Izquierdo,Gabriel Criado,Concha Nieto,Cristina Municio,Isidoro González-Alvaro,Paloma Sánchez-Mateos,Jose Luis Pablos,Angel L Corbí,Amaya Puig-Kröger

Wound repair and regeneration : official publication of the Wound Healing Society [and] the European Tissue Repair Society 20:757-69 PubMed22985042

2012

Identification of biomarkers in sequential biopsies of patients with chronic wounds receiving simultaneous acute wounds: a genetic, histological, and noninvasive imaging study.

Applications

Unspecified application

Species

Unspecified reactive species

Barbara Shih,Muhammad J Sultan,Iskander H Chaudhry,Kian T Tan,Kavan S Johal,Arshiya Marstan,Melody Tsai,Mohammed Baguneid,Ardeshir Bayat

Endocrinology 152:3779-90 PubMed21828177

2011

IL-1beta stimulates activin betaA mRNA expression in human skin fibroblasts through the MAPK pathways, the nuclear factor-kappaB pathway, and prostaglandin E2.

Applications

WB

Species

Human

Koji Y Arai,Mariko Ono,Chikako Kudo,Atsuko Fujioka,Ryoko Okamura,Yoshihiro Nomura,Toshio Nishiyama
View all publications

Product promise

We are committed to supporting your work with high-quality reagents, and we're here for you every step of the way. In the unlikely event that one of our products does not perform as expected, you're protected by our Product Promise.
For full details, please see our Terms & Conditions

Please note: All products are 'FOR RESEARCH USE ONLY. NOT FOR USE IN DIAGNOSTIC OR THERAPEUTIC PROCEDURES'.

For licensing inquiries, please contact partnerships@abcam.com