JavaScript is disabled in your browser. Please enable JavaScript to view this website.
AB322202

Anti-Inhibin beta E chain antibody [EPR29191-125]

  • 20ul selling size
  • BOND RX™ Validated
  • Advanced Validation
  • Recombinant
  • RabMAb
  • What is this?

Be the first to review this product! Submit a review

|

(0 Publication)

Rabbit Recombinant Monoclonal Inhibin beta E chain antibody. Suitable for WB, IHC-P, mIHC and reacts with Recombinant fragment - Human, Human, Mouse samples.

View Alternative Names

Inhibin beta E chain, Activin beta-E chain, INHBE

11 Images
Immunohistochemistry (Formalin/PFA-fixed paraffin-embedded sections) - Anti-Inhibin beta E chain antibody [EPR29191-125] (AB322202)
  • IHC-P

Supplier Data

Immunohistochemistry (Formalin/PFA-fixed paraffin-embedded sections) - Anti-Inhibin beta E chain antibody [EPR29191-125] (AB322202)

Immunohistochemical analysis of paraffin-embedded Human skeletal muscle tissue labeling Inhibin beta E chain with ab322202 at 1/2000 (0.252 ug/ml) dilution, followed by a ready to use LeicaDS9800 (Bond™ Polymer Refine Detection).

Negative control : No staining in human skeletal muscle.
The section was incubated with ab322202 for 30 mins at room temperature.
The immunostaining was performed on a Leica Biosystems BOND® RX instrument

Counterstained with Hematoxylin.

Secondary antibody only control : Secondary antibody is a ready to use LeicaDS9800 (Bond™ Polymer Refine Detection).

Heat mediated antigen retrieval was performed with Tris-EDTA buffer (pH 9.0, Epitope Retrieval Solution2) for 20 mins

Multiplex immunohistochemistry - Anti-Inhibin beta E chain antibody [EPR29191-125] (AB322202)
  • mIHC

Lab

Multiplex immunohistochemistry - Anti-Inhibin beta E chain antibody [EPR29191-125] (AB322202)

Multiplex immunohistochemistry analysis of formalin/PFA-fixed paraffin-embedded human liver tissue staining Carboxypeptidase A with ab317620 at a 1/1000 dilution, ab322202 anti-Inhibin beta E chain used at 1/2000 dilution and ab52625 anti-Cytokeratin 19 used at a 1/6000 dilution. Opal Polymer HRP Ms + Rb was used as a secondary antibody.

Panel A : merged staining of anti-VAP1 (green; Opal520), anti-Inhibin beta E chain (magenta; Opal690) and anti-Cytokeratin 19 (gray; Opal570) on human liver. Panel B : anti-VAP1 staining endothelium in human liver.
Panel C : anti-Inhibin beta E chain staining hepatocytes in human liver.
Panel D : anti-Cytokeratin 19 staining branch of bile ducts in human liver.
Nuclear DNA was labeled with DAPI (shown in blue).

The section was incubated in three rounds of staining : in the order of ab317620, ab322202 and ab52625 for 30 mins at room temperature. Each round was followed by a separate fluorescent tyramide signal amplification system.

The immunostaining was performed on a Leica Biosystems BOND® RX instrument with an Opal 4-color kit. Image acquisition was performed with Leica SP8 confocal microscope.

Heat mediated antigen retrieval with Tris-EDTA buffer (pH 9.0, epitope retrieval solution2) for 20 mins.

Immunohistochemistry (Formalin/PFA-fixed paraffin-embedded sections) - Anti-Inhibin beta E chain antibody [EPR29191-125] (AB322202)
  • IHC-P

Supplier Data

Immunohistochemistry (Formalin/PFA-fixed paraffin-embedded sections) - Anti-Inhibin beta E chain antibody [EPR29191-125] (AB322202)

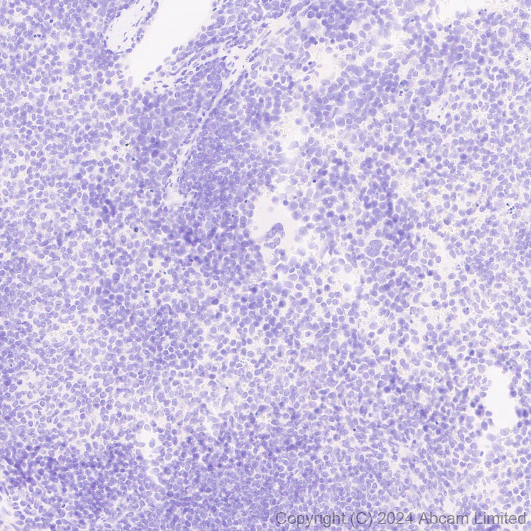
Immunohistochemical analysis of paraffin-embedded Human spleen tissue labeling Inhibin beta E chain with ab322202 at 1/2000 (0.252 ug/ml) dilution, followed by a ready to use LeicaDS9800 (Bond™ Polymer Refine Detection).

Negative control : No staining in human spleen.
The section was incubated with ab322202 for 30 mins at room temperature.
The immunostaining was performed on a Leica Biosystems BOND® RX instrument

Counterstained with Hematoxylin.

Secondary antibody only control : Secondary antibody is a ready to use LeicaDS9800 (Bond™ Polymer Refine Detection).

Heat mediated antigen retrieval was performed with Tris-EDTA buffer (pH 9.0, Epitope Retrieval Solution2) for 20 mins

Immunohistochemistry (Formalin/PFA-fixed paraffin-embedded sections) - Anti-Inhibin beta E chain antibody [EPR29191-125] (AB322202)
  • IHC-P

Supplier Data

Immunohistochemistry (Formalin/PFA-fixed paraffin-embedded sections) - Anti-Inhibin beta E chain antibody [EPR29191-125] (AB322202)

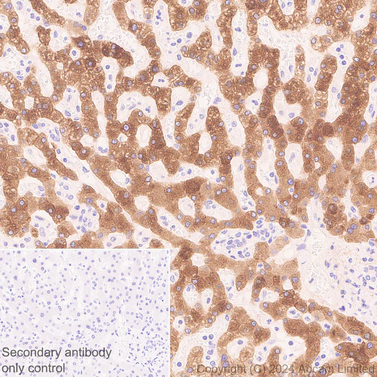
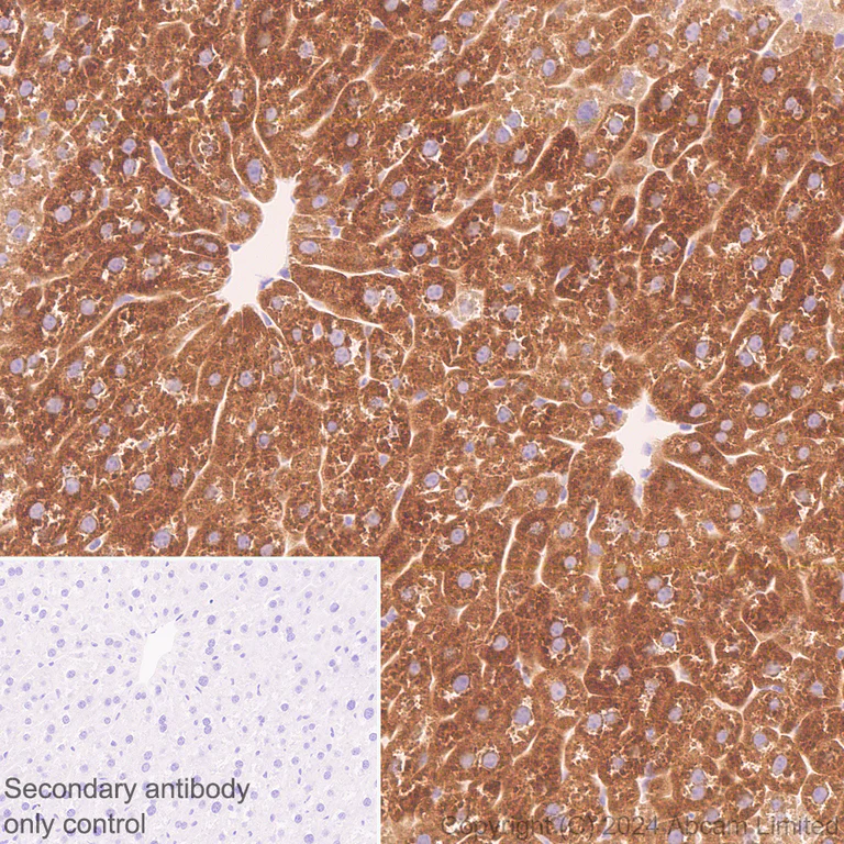
Immunohistochemical analysis of paraffin-embedded Human liver tissue labeling Inhibin beta E chain with ab322202 at 1/2000 (0.252 ug/ml) dilution, followed by a ready to use LeicaDS9800 (Bond™ Polymer Refine Detection).

Positive staining in human liver.
The section was incubated with ab322202 for 30 mins at room temperature.
The immunostaining was performed on a Leica Biosystems BOND® RX instrument

Counterstained with Hematoxylin.

Secondary antibody only control : Secondary antibody is a ready to use LeicaDS9800 (Bond™ Polymer Refine Detection).

Heat mediated antigen retrieval was performed with Tris-EDTA buffer (pH 9.0, Epitope Retrieval Solution2) for 20 mins

Immunohistochemistry (Formalin/PFA-fixed paraffin-embedded sections) - Anti-Inhibin beta E chain antibody [EPR29191-125] (AB322202)
  • IHC-P

Supplier Data

Immunohistochemistry (Formalin/PFA-fixed paraffin-embedded sections) - Anti-Inhibin beta E chain antibody [EPR29191-125] (AB322202)

Immunohistochemical analysis of paraffin-embedded Mouse skeletal muscle tissue labeling Inhibin beta E chain with ab322202 at 1/2000 (0.252 ug/ml) dilution, followed by a ready to use LeicaDS9800 (Bond™ Polymer Refine Detection).

Negative control : No staining in mouse skeletal muscle.
The section was incubated with ab322202 for 30 mins at room temperature.
The immunostaining was performed on a Leica Biosystems BOND® RX instrument

Counterstained with Hematoxylin.

Secondary antibody only control : Secondary antibody is a ready to use LeicaDS9800 (Bond™ Polymer Refine Detection).

Heat mediated antigen retrieval was performed with Tris-EDTA buffer (pH 9.0, Epitope Retrieval Solution2) for 20 mins

Immunohistochemistry (Formalin/PFA-fixed paraffin-embedded sections) - Anti-Inhibin beta E chain antibody [EPR29191-125] (AB322202)
  • IHC-P

Supplier Data

Immunohistochemistry (Formalin/PFA-fixed paraffin-embedded sections) - Anti-Inhibin beta E chain antibody [EPR29191-125] (AB322202)

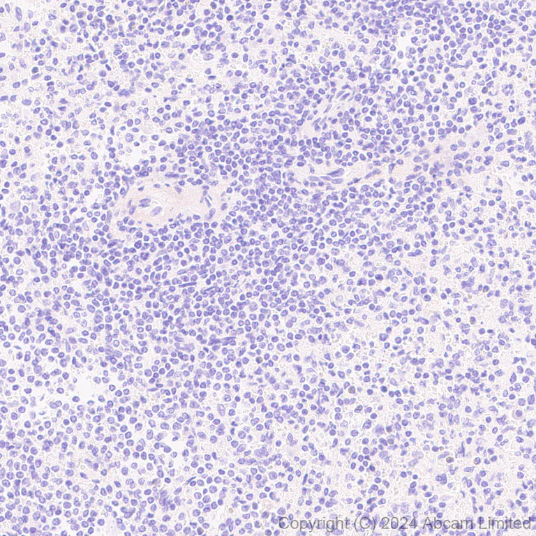
Immunohistochemical analysis of paraffin-embedded Mouse spleen tissue labeling Inhibin beta E chain with ab322202 at 1/2000 (0.252 ug/ml) dilution, followed by a ready to use LeicaDS9800 (Bond™ Polymer Refine Detection).

Negative control : No staining in mouse spleen.
The section was incubated with ab322202 for 30 mins at room temperature.
The immunostaining was performed on a Leica Biosystems BOND® RX instrument

Counterstained with Hematoxylin.

Secondary antibody only control : Secondary antibody is a ready to use LeicaDS9800 (Bond™ Polymer Refine Detection).

Heat mediated antigen retrieval was performed with Tris-EDTA buffer (pH 9.0, Epitope Retrieval Solution2) for 20 mins

Immunohistochemistry (Formalin/PFA-fixed paraffin-embedded sections) - Anti-Inhibin beta E chain antibody [EPR29191-125] (AB322202)
  • IHC-P

Supplier Data

Immunohistochemistry (Formalin/PFA-fixed paraffin-embedded sections) - Anti-Inhibin beta E chain antibody [EPR29191-125] (AB322202)

Immunohistochemical analysis of paraffin-embedded Mouse liver tissue labeling Inhibin beta E chain with ab322202 at 1/2000 (0.252 ug/ml) dilution, followed by a ready to use LeicaDS9800 (Bond™ Polymer Refine Detection).

Positive staining in mouse liver.
The section was incubated with ab322202 for 30 mins at room temperature.
The immunostaining was performed on a Leica Biosystems BOND® RX instrument

Counterstained with Hematoxylin.

Secondary antibody only control : Secondary antibody is a ready to use LeicaDS9800 (Bond™ Polymer Refine Detection).

Heat mediated antigen retrieval was performed with Tris-EDTA buffer (pH 9.0, Epitope Retrieval Solution2) for 20 mins

Western blot - Anti-Inhibin beta E chain antibody [EPR29191-125] (AB322202)
  • WB

Supplier Data

Western blot - Anti-Inhibin beta E chain antibody [EPR29191-125] (AB322202)

Blocking and diluting buffer and concentration : 5% NFDM/TBST.

Negative control : skeletal muscle, uterus (PMID : 12242034, PMID : 11932210, PMID : 9070865).

The expression profile/ molecular weight observed is consistent with what has been described in the literature (PMID : 35999217, PMID : 35896531).

In Western blot, Anti-GAPDH antibody [EPR16891] - Loading Control (ab181602) staining at 1/200000 dilution.

All lanes:

Western blot - Anti-Inhibin beta E chain antibody [EPR29191-125] (ab322202) at 1/1000 dilution

Lane 1:

Human liver tissue lysate at 20 µg

Lane 2:

Human skeletal muscle tissue lysate at 20 µg

Lane 3:

Human uterus tissue lysate at 20 µg

Secondary

All lanes:

Goat Anti-Rabbit IgG (HRP) with minimal cross-reactivity with human IgG at 1/2000 dilution

Observed band size: 48 kDa,36 kDa

false

Exposure time: 180s

Western blot - Anti-Inhibin beta E chain antibody [EPR29191-125] (AB322202)
  • WB

Supplier Data

Western blot - Anti-Inhibin beta E chain antibody [EPR29191-125] (AB322202)

Blocking and diluting buffer and concentration : 5% NFDM/TBST.

Negative control : skeletal muscle, spleen, ovary, uterus (PMID : 12242034, PMID : 11932210, PMID : 9070865).

In Western blot, Anti-GAPDH antibody [EPR16891] - Loading Control (ab181602) staining at 1/200000 dilution.

All lanes:

Western blot - Anti-Inhibin beta E chain antibody [EPR29191-125] (ab322202) at 1/1000 dilution

Lane 1:

Mouse liver tissue lysate at 20 µg

Lane 2:

Mouse skeletal muscle tissue lysate at 20 µg

Lane 3:

Mouse spleen tissue lysate at 20 µg

Lane 4:

Mouse ovary tissue lysate at 20 µg

Lane 5:

Mouse uterus tissue lysate at 20 µg

Secondary

All lanes:

Western blot - Goat Anti-Rabbit IgG H&L (HRP) (<a href='/en-us/products/secondary-antibodies/goat-rabbit-igg-h-l-hrp-ab97051'>ab97051</a>) at 1/100000 dilution

Observed band size: 48 kDa,36 kDa

false

Exposure time: 180s

Western blot - Anti-Inhibin beta E chain antibody [EPR29191-125] (AB322202)
  • WB

Supplier Data

Western blot - Anti-Inhibin beta E chain antibody [EPR29191-125] (AB322202)

Blocking and diluting buffer and concentration : 5% NFDM/TBST.

This antibody does not cross-react with human Inhibin beta C chain.

In Western blot, Anti-6X His tag® antibody [EPR20547] - ChIP Grade (ab213204) staining at 1/5000 dilution.

All lanes:

Western blot - Anti-Inhibin beta E chain antibody [EPR29191-125] (ab322202) at 1/1000 dilution

Lane 1:

His-tagged human Inhibin beta E chain fragment at 10 ng

Lane 2:

His-tagged human Inhibin beta C chain fragment at 10 ng

Secondary

All lanes:

Western blot - Goat Anti-Rabbit IgG H&L (HRP) (<a href='/en-us/products/secondary-antibodies/goat-rabbit-igg-h-l-hrp-ab97051'>ab97051</a>) at 1/100000 dilution

Observed band size: 15 kDa

false

Exposure time: 180s

Western blot - Anti-Inhibin beta E chain antibody [EPR29191-125] (AB322202)
  • WB

Lab

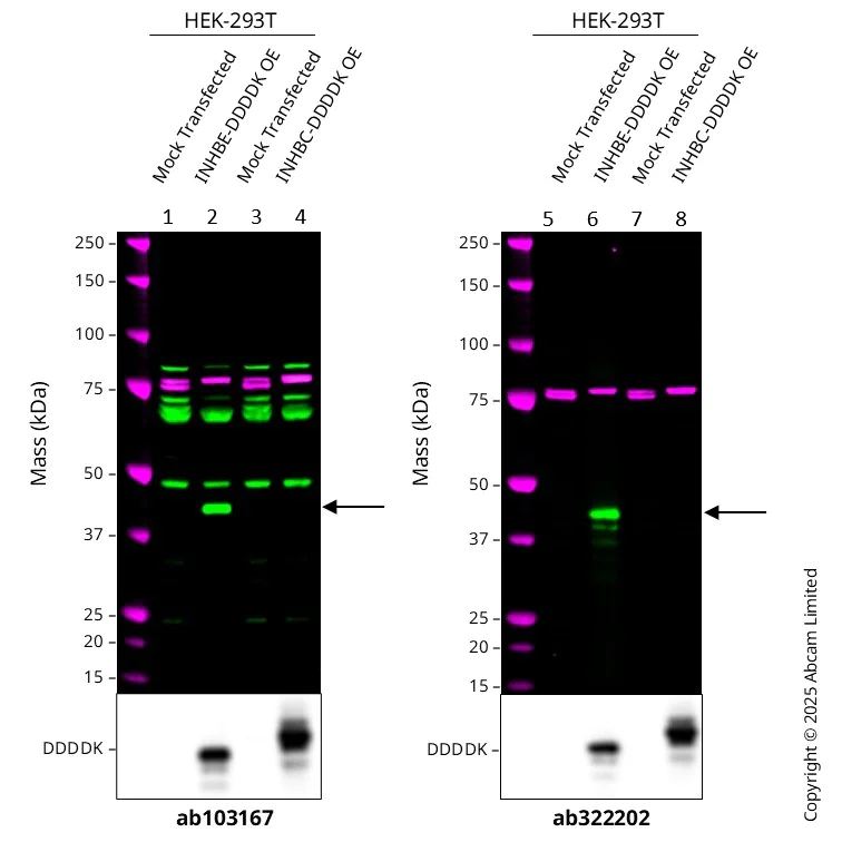
Western blot - Anti-Inhibin beta E chain antibody [EPR29191-125] (AB322202)

Left : Anti-Inhibin beta E chain antibody ab103167 staining at 1/1000 dilution, shown in green; Mouse anti-CANX (ab238078) loading control staining at 1/20,000 dilution, shown in magenta.

Right : Rabbit Monoclonal [EPR29191-125] to Inhibin beta E chain ab322202 staining at 1/1000 dilution, shown in green; Mouse anti-CANX (ab238078) loading control staining at 1/20,000 dilution, shown in magenta.

A band was observed at 43 kDa in INHBE-DDDDK HEK-293T overexpression lysate with no signal observed at this size in INHBC-DDDDK HEK-293T overexpression lysate.

To generate this image, samples were run on an SDS-PAGE gel then transferred onto a nitrocellulose membrane. Membranes were blocked in 3pc Milk in TBS-0.1 % Tween® 20 (TBS-T) before incubation with primary antibodies overnight at 4°C. Blots were washed four times in TBS-T, incubated with secondary antibodies for 1 h at room temperature, washed again four times then imaged. Secondary antibodies used were Goat anti-Rabbit 800CW & Goat anti-Mouse 680RD at 1/20,000 dilution. For DDDDK-tag detection, HRP Anti-DDDDK tag (Binds to FLAG® tag sequence) antibody [M2] (ab49763) was used at 1/1000 dilution and developed using the ECL technique.

Neither ab103167 nor ab322202 cross-reacts with Inhibin beta C chain (INHBC). In Western Blot, we recommend ab322202 as the superior alternative to ab103167 for better specificity and sensitivity.

Exposure time for DDDDK tag : 2s.

Lanes 1 - 4:

Western blot - Anti-Inhibin beta E chain antibody (<a href='/en-us/products/primary-antibodies/inhibin-beta-e-chain-antibody-ab103167'>ab103167</a>) at 1/1000 dilution

Lanes 2, 4, 6 and 8:

Western blot - HRP Anti-DDDDK tag (Binds to FLAG® tag sequence) antibody [M2] (<a href='/en-us/products/primary-antibodies/hrp-ddddk-tag-binds-to-flag-tag-sequence-antibody-m2-ab49763'>ab49763</a>)

Lanes 5 - 8:

Western blot - Anti-Inhibin beta E chain antibody [EPR29191-125] (ab322202) at 1/1000 dilution

Lanes 1, 3, 5 and 7:

HEK-293 Mock Transfection Lysate at 20 µg

Lanes 2 and 6:

INHBE-DDDDK HEK-293T Overexpression Lysate at 20 µg

Lanes 4 and 8:

INHBC-DDDDK HEK-293T Overexpression Lysate at 20 µg

Secondary

Lanes 1 - 8:

Goat anti-Rabbit 800CW at 1/20000 dilution

Lanes 1 - 8:

Goat anti-Mouse 680RD at 1/20000 dilution

Predicted band size: 35 kDa

Observed band size: 43 kDa

true

  • Carrier free

    Anti-Inhibin beta E chain antibody [EPR29191-125] - BSA and Azide free

Key facts

Host species

Rabbit

Clonality

Monoclonal

Clone number

EPR29191-125

Isotype

IgG

Carrier free

No

Reacts with

Human, Mouse

Applications

mIHC, WB, IHC-P

applications

Immunogen

The exact immunogen used to generate this antibody is proprietary information.

Specificity

Not suitable for WB in cell lines. Does not cross-react with Inhibin beta C chain (INHBC)

Reactivity data

{ "title": "Reactivity Data", "filters": { "stats": ["", "Species", "Dilution Info", "Notes"], "tabs": { "all-applications": {"fullname" : "All Applications", "shortname": "All Applications"}, "WB" : {"fullname" : "Western blot", "shortname":"WB"}, "IHCP" : {"fullname" : "Immunohistochemistry (Formalin/PFA-fixed paraffin-embedded sections)", "shortname":"IHC-P"}, "mIHC" : {"fullname" : "Multiplex immunohistochemistry", "shortname":"mIHC"} }, "product-promise": { "all": "all", "testedAndGuaranteed": "tested", "guaranteed": "expected", "predicted": "predicted", "notRecommended": "not-recommended" } }, "values": { "Human": { "WB-species-checked": "testedAndGuaranteed", "WB-species-dilution-info": "1/1000", "WB-species-notes": "<p></p>", "IHCP-species-checked": "testedAndGuaranteed", "IHCP-species-dilution-info": "1/2000", "IHCP-species-notes": "<p></p> Perform heat-mediated antigen retrieval with Tris/EDTA buffer pH 9.0 before commencing with IHC staining protocol.", "mIHC-species-checked": "testedAndGuaranteed", "mIHC-species-dilution-info": "1/2000", "mIHC-species-notes": "<p></p>" }, "Mouse": { "WB-species-checked": "testedAndGuaranteed", "WB-species-dilution-info": "1/1000", "WB-species-notes": "<p></p>", "IHCP-species-checked": "testedAndGuaranteed", "IHCP-species-dilution-info": "1/2000", "IHCP-species-notes": "<p></p> Perform heat-mediated antigen retrieval with Tris/EDTA buffer pH 9.0 before commencing with IHC staining protocol.", "mIHC-species-checked": "guaranteed", "mIHC-species-dilution-info": "", "mIHC-species-notes": "" }, "Recombinant fragment - Human": { "WB-species-checked": "testedAndGuaranteed", "WB-species-dilution-info": "1/1000", "WB-species-notes": "<p></p>", "IHCP-species-checked": "notRecommended", "IHCP-species-dilution-info": "", "IHCP-species-notes": "", "mIHC-species-checked": "notRecommended", "mIHC-species-dilution-info": "", "mIHC-species-notes": "" } } }

Product details

Patented technology
Our RabMAb® technology is a patented hybridoma-based technology for making rabbit monoclonal antibodies. For details on our patents, please refer to RabMAb® patents.

What are the advantages of a recombinant monoclonal antibody?
This product is a recombinant monoclonal antibody, which offers several advantages including:

  • - High batch-to-batch consistency and reproducibility
  • - Improved sensitivity and specificity
  • - Long-term security of supply
  • - Animal-free batch production

For more information, read more on recombinant antibodies.

Properties and storage information

Form
Liquid
Purification technique
Affinity purification Protein A
Storage buffer
pH: 7.2 - 7.4 Preservative: 0.01% Sodium azide Constituents: PBS, 40% Glycerol (glycerin, glycerine), 0.05% BSA
Shipped at conditions
Blue Ice
Appropriate short-term storage duration
1-2 weeks
Appropriate short-term storage conditions
+4°C
Appropriate long-term storage conditions
-20°C
Aliquoting information
Upon delivery aliquot
Storage information
Avoid freeze / thaw cycle

Supplementary information

This supplementary information is collated from multiple sources and compiled automatically.

The Inhibin beta E chain also known as 'INHBE' is a protein with multiple roles in the human body weighing about 42 kDa. It is a member of the transforming growth factor-beta (TGF-β) superfamily. The protein can be expressed in many tissues including the liver and placenta. INHBE is associated with other proteins to form different complexes affecting various biological processes.
Biological function summary

The Inhibin beta E chain participates in the regulation of reproductive hormone activity. It forms either homodimers or heterodimers combining with other inhibin and activin molecules. The dimerization with alpha chains forms inhibins while pairing with other beta subunits forms activins. These complexes then modulate signaling pathways that adjust hormonal secretion particularly in the pituitary and gonadal tissues.

Pathways

Inhibin beta E chain plays a significant role in the activin signaling pathway. This pathway affects the regulation of FSH (follicle-stimulating hormone) secretion which is important for reproductive processes. INHBE relates to proteins such as follistatin and activin A within these pathways influencing activities flowing from ligand-receptor interactions to transcriptional regulation.

Inhibin beta E chain has been linked to certain reproductive and metabolic disorders. For instance abnormal expression or dysfunction of INHBE may relate to polycystic ovary syndrome (PCOS) affecting women’s fertility. Liver diseases such as non-alcoholic fatty liver disease (NAFLD) also show associations with INHBE levels. In these contexts INHBE interacts with various TGF-β family proteins contributing to either disease progression or regulation.

Product protocols

For this product, it's our understanding that no specific protocols are required. You can visit:

Target data

Inhibins and activins inhibit and activate, respectively, the secretion of follitropin by the pituitary gland. Inhibins/activins are involved in regulating a number of diverse functions such as hypothalamic and pituitary hormone secretion, gonadal hormone secretion, germ cell development and maturation, erythroid differentiation, insulin secretion, nerve cell survival, embryonic axial development or bone growth, depending on their subunit composition. Inhibins appear to oppose the functions of activins.
See full target information INHBE

Product promise

We are committed to supporting your work with high-quality reagents, and we're here for you every step of the way. In the unlikely event that one of our products does not perform as expected, you're protected by our Product Promise.
For full details, please see our Terms & Conditions

Please note: All products are 'FOR RESEARCH USE ONLY. NOT FOR USE IN DIAGNOSTIC OR THERAPEUTIC PROCEDURES'.

For licensing inquiries, please contact partnerships@abcam.com