JavaScript is disabled in your browser. Please enable JavaScript to view this website.
AB325543

Anti-INO80 antibody [EPR30384-761] - BSA and Azide free

Be the first to review this product! Submit a review

|

(0 Publication)

Rabbit Recombinant Monoclonal INO80 antibody. Carrier free. Suitable for ICC/IF, WB, ChIP-seq, ChIC/CUT&RUN-seq and reacts with Human, Mouse samples.

View Alternative Names

INO80A, INOC1, KIAA1259, INO80, Chromatin-remodeling ATPase INO80, hINO80, DNA helicase-related INO80 complex homolog 1, DNA helicase-related protein INO80, INO80 complex subunit A

15 Images
Immunocytochemistry/ Immunofluorescence - Anti-INO80 antibody [EPR30384-761] - BSA and Azide free (AB325543)
  • ICC/IF

Lab

Immunocytochemistry/ Immunofluorescence - Anti-INO80 antibody [EPR30384-761] - BSA and Azide free (AB325543)

Immunofluorescent analysis of 4% Paraformaldehyde-fixed, 0.1% TritonX-100 permeabilized A549 (human lung carcinoma epithelial cell) cells labelling INO80 with ab325542 at 1/50 (10.22 μg/ml) dilution , followed by ab150081 Goat Anti-Rabbit IgG H&L (Alexa Fluor® 488) preadsorbed antibody at 1/1000 dilution (Green).

Confocal image showing nuclear staining in A549 cell line (shown in green). The counterstain was observed in magenta. Nuclear DNA was labelled with DAPI (shown in blue). Image was taken with a confocal microscope (Leica-Microsystems, TCS SP8).

ab7291 Anti-alpha Tubulin mouse monoclonal antibody was used to counterstain tubulin at 1/1000 dilution (Magenta). The Nuclear counterstain was DAPI (Blue).

Secondary antibody only control : Secondary antibody is ab150081 Goat Anti-Rabbit IgG H&L (Alexa Fluor® 488) preadsorbed at 1/1000 dilution.

ChIP-sequencing - Anti-INO80 antibody [EPR30384-761] - BSA and Azide free (AB325543)
  • ChIP-seq

Lab

ChIP-sequencing - Anti-INO80 antibody [EPR30384-761] - BSA and Azide free (AB325543)

This data was developed using ab325542, the same antibody clone in a different buffer formulation.

Chromatin was prepared from A549 cells. Cells were fixed with 1% formaldehyde for 10 minutes. ChIP was performed with 5 x 10^6 cells and 4 µg of ab325542 [EPR30384-761]. ChIP DNA was sequenced on the Illumina NovaSeq 6000 to a depth of 30 million reads. The Input control is also shown.

ChIP-sequencing - Anti-INO80 antibody [EPR30384-761] - BSA and Azide free (AB325543)
  • ChIP-seq

Lab

ChIP-sequencing - Anti-INO80 antibody [EPR30384-761] - BSA and Azide free (AB325543)

This data was developed using ab325542, the same antibody clone in a different buffer formulation.

Chromatin was prepared from A549 cells. Cells were fixed with 1% formaldehyde for 10 minutes. ChIP was performed with 5 x 10^6 cells and 4 μg of ab325542 [EPR30384-761]. ChIP DNA was sequenced on the Illumina NovaSeq 6000 to a depth of 30 million reads. The Input control is also shown.

ChIP-sequencing - Anti-INO80 antibody [EPR30384-761] - BSA and Azide free (AB325543)
  • ChIP-seq

Lab

ChIP-sequencing - Anti-INO80 antibody [EPR30384-761] - BSA and Azide free (AB325543)

This data was developed using ab325542, the same antibody clone in a different buffer formulation.

Chromatin was prepared from A549 cells. Cells were fixed with 1% formaldehyde for 10 minutes. ChIP was performed with 5 x 10^6 cells and 4 μg of ab325542 [EPR30384-761]. ChIP DNA was sequenced on the Illumina NovaSeq 6000 to a depth of 30 million reads. The Input control is also shown.

Immunocytochemistry/ Immunofluorescence - Anti-INO80 antibody [EPR30384-761] - BSA and Azide free (AB325543)
  • ICC/IF

Lab

Immunocytochemistry/ Immunofluorescence - Anti-INO80 antibody [EPR30384-761] - BSA and Azide free (AB325543)

This data was developed using ab325542, the same antibody clone in a different buffer formulation.

Immunofluorescent analysis of 4% Paraformaldehyde-fixed, 0.1% TritonX-100 permeabilized ES-D3 [D3] (mouse blastocyst-derived embryonic stem cell) cells labelling INO80 with ab325542 at 1/50 (10.22 μg/ml) dilution , followed by ab150081 Goat Anti-Rabbit IgG H&L (Alexa Fluor® 488) preadsorbed antibody at 1/1000 dilution (Green).

Confocal image showing mainly nuclear staining in ES-D3 [D3] cell line (shown in green). The counterstain was observed in magenta. Nuclear DNA was labelled with DAPI (shown in blue). Image was taken with a confocal microscope (Leica-Microsystems, TCS SP8).

ab7291 Anti-alpha Tubulin mouse monoclonal antibody was used to counterstain tubulin at 1/1000 dilution (Magenta). The Nuclear counterstain was DAPI (Blue).

Secondary antibody only control : Secondary antibody is ab150081 Goat Anti-Rabbit IgG H&L (Alexa Fluor® 488) preadsorbed at 1/1000 dilution.

ChIP-sequencing - Anti-INO80 antibody [EPR30384-761] - BSA and Azide free (AB325543)
  • ChIP-seq

Lab

ChIP-sequencing - Anti-INO80 antibody [EPR30384-761] - BSA and Azide free (AB325543)

This data was developed using ab325542, the same antibody clone in a different buffer formulation.

Chromatin was prepared from ES-D3 [D3] cells. Cells were fixed with 1% formaldehyde for 10 minutes. ChIP was performed with 5 x 10^6 cells and 4 μg of ab325542 [EPR30384-761]. ChIP DNA was sequenced on the Illumina NovaSeq 6000 to a depth of 30 million reads. The Input control is also shown.

ChIP-sequencing - Anti-INO80 antibody [EPR30384-761] - BSA and Azide free (AB325543)
  • ChIP-seq

Lab

ChIP-sequencing - Anti-INO80 antibody [EPR30384-761] - BSA and Azide free (AB325543)

This data was developed using ab325542, the same antibody clone in a different buffer formulation.

Chromatin was prepared from ES-D3 [D3] cells. Cells were fixed with 1% formaldehyde for 10 minutes. ChIP was performed with 5 x 10^6 cells and 4 μg of ab325542 [EPR30384-761]. ChIP DNA was sequenced on the Illumina NovaSeq 6000 to a depth of 30 million reads. The Input control is also shown.

ChIP-sequencing - Anti-INO80 antibody [EPR30384-761] - BSA and Azide free (AB325543)
  • ChIP-seq

Lab

ChIP-sequencing - Anti-INO80 antibody [EPR30384-761] - BSA and Azide free (AB325543)

This data was developed using ab325542, the same antibody clone in a different buffer formulation.

Chromatin was prepared from ES-D3 [D3] cells. Cells were fixed with 1% formaldehyde for 10 minutes. ChIP was performed with 5 x 10^6 cells and 4 μg of ab325542 [EPR30384-761]. ChIP DNA was sequenced on the Illumina NovaSeq 6000 to a depth of 30 million reads. The Input control is also shown.

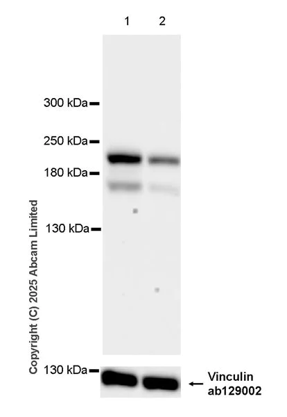
Western blot - Anti-INO80 antibody [EPR30384-761] - BSA and Azide free (AB325543)
  • WB

Lab

Western blot - Anti-INO80 antibody [EPR30384-761] - BSA and Azide free (AB325543)

This data was developed using ab325542, the same antibody clone in a different buffer formulation.

Blocking and diluting buffer and concentration : 5% NFDM/TBST.

To minimize protein degradation, cells were lysed immediately after harvest and then applied to a gel and transfer membrane for Western blotting as soon as possible.

In Western blot, Anti-Vinculin antibody [EPR8185] (ab129002) (1 : 10000) (124KDa).

All lanes:

Western blot - Anti-INO80 antibody [EPR30384-761] (<a href='/en-us/products/primary-antibodies/ino80-antibody-epr30384-761-ab325542'>ab325542</a>) at 1/1000 dilution

Lane 1:

A549 (human lung carcinoma epithelial cell) transfected with scrambled siRNA control fresh whole cell lysate at 20 µg

Lane 2:

A549 transfected with siRNA specifically targeting INO80 fresh whole cell lysate at 20 µg

Secondary

All lanes:

Western blot - Goat Anti-Rabbit IgG H&L (HRP) (<a href='/en-us/products/secondary-antibodies/goat-rabbit-igg-h-l-hrp-ab97051'>ab97051</a>) at 1/20000 dilution

Observed band size: 200 kDa,170 kDa,124 kDa

false

Exposure time: 15s

ChIC/CUT&RUN sequencing - Anti-INO80 antibody [EPR30384-761] - BSA and Azide free (AB325543)
  • ChIC/CUT&RUN-seq

Lab

ChIC/CUT&RUN sequencing - Anti-INO80 antibody [EPR30384-761] - BSA and Azide free (AB325543)

This data was developed using ab325542, the same antibody clone in a different buffer formulation.

ChIC/CUT&RUN was performed using a pAG-MNase at a final concentration of 700 ng/mL, 2.5 x 10^5 A549 (human lung carcinoma epithelial cell) cells and 5 μg of ab325542 [EPR30384-761]. The resulting DNA was sequenced on the Illumina NovaSeq 6000 to a depth of 10 million reads. The negative IgG control ab172730 is also shown.

The University of Geneva owns patents relevant to ChIC (Chromatin Immuno-Cleavage) methods.

ChIC/CUT&RUN sequencing - Anti-INO80 antibody [EPR30384-761] - BSA and Azide free (AB325543)
  • ChIC/CUT&RUN-seq

Lab

ChIC/CUT&RUN sequencing - Anti-INO80 antibody [EPR30384-761] - BSA and Azide free (AB325543)

This data was developed using ab325542, the same antibody clone in a different buffer formulation.

ChIC/CUT&RUN was performed using a pAG-MNase at a final concentration of 700 ng/mL, 2.5 x 10^5 A549 (human lung carcinoma epithelial cell) cells and 5 µg of ab325542 [EPR30384-761]. The resulting DNA was sequenced on the Illumina NovaSeq 6000 to a depth of 10 million reads. The negative IgG control ab172730 is also shown.

The University of Geneva owns patents relevant to ChIC (Chromatin Immuno-Cleavage) methods.

ChIC/CUT&RUN sequencing - Anti-INO80 antibody [EPR30384-761] - BSA and Azide free (AB325543)
  • ChIC/CUT&RUN-seq

Lab

ChIC/CUT&RUN sequencing - Anti-INO80 antibody [EPR30384-761] - BSA and Azide free (AB325543)

This data was developed using ab325542, the same antibody clone in a different buffer formulation.

ChIC/CUT&RUN was performed using a pAG-MNase at a final concentration of 700 ng/mL, 2.5 x 10^5 A549 (human lung carcinoma epithelial cell) cells and 5 µg of ab325542 [EPR30384-761]. The resulting DNA was sequenced on the Illumina NovaSeq 6000 to a depth of 10 million reads. The negative IgG control ab172730 is also shown.

The University of Geneva owns patents relevant to ChIC (Chromatin Immuno-Cleavage) methods.

ChIC/CUT&RUN sequencing - Anti-INO80 antibody [EPR30384-761] - BSA and Azide free (AB325543)
  • ChIC/CUT&RUN-seq

Lab

ChIC/CUT&RUN sequencing - Anti-INO80 antibody [EPR30384-761] - BSA and Azide free (AB325543)

This data was developed using ab325542, the same antibody clone in a different buffer formulation.

ChIC/CUT&RUN was performed using a pAG-MNase at a final concentration of 700 ng/mL, 2.5 x 10^5 ES-D3 [D3] (mouse blastocyst-derived embryonic stem cell) cells and 5 μg of ab325542 [EPR30384-761]. The resulting DNA was sequenced on the Illumina NovaSeq 6000 to a depth of 10 million reads. The negative IgG control ab172730 is also shown.

The University of Geneva owns patents relevant to ChIC (Chromatin Immuno-Cleavage) methods.

ChIC/CUT&RUN sequencing - Anti-INO80 antibody [EPR30384-761] - BSA and Azide free (AB325543)
  • ChIC/CUT&RUN-seq

Lab

ChIC/CUT&RUN sequencing - Anti-INO80 antibody [EPR30384-761] - BSA and Azide free (AB325543)

This data was developed using ab325542, the same antibody clone in a different buffer formulation.

ChIC/CUT&RUN was performed using a pAG-MNase at a final concentration of 700 ng/mL, 2.5 x 10^5 ES-D3 [D3] (mouse blastocyst-derived embryonic stem cell) cells and 5 μg of ab325542 [EPR30384-761]. The resulting DNA was sequenced on the Illumina NovaSeq 6000 to a depth of 10 million reads. The negative IgG control ab172730 is also shown.

The University of Geneva owns patents relevant to ChIC (Chromatin Immuno-Cleavage) methods.

ChIC/CUT&RUN sequencing - Anti-INO80 antibody [EPR30384-761] - BSA and Azide free (AB325543)
  • ChIC/CUT&RUN-seq

Lab

ChIC/CUT&RUN sequencing - Anti-INO80 antibody [EPR30384-761] - BSA and Azide free (AB325543)

This data was developed using ab325542, the same antibody clone in a different buffer formulation.

ChIC/CUT&RUN was performed using a pAG-MNase at a final concentration of 700 ng/mL, 2.5 x 10^5 ES-D3 [D3] (mouse blastocyst-derived embryonic stem cell) cells and 5 μg of ab325542 [EPR30384-761]. The resulting DNA was sequenced on the Illumina NovaSeq 6000 to a depth of 10 million reads. The negative IgG control ab172730 is also shown.

The University of Geneva owns patents relevant to ChIC (Chromatin Immuno-Cleavage) methods.

Key facts

Host species

Rabbit

Clonality

Monoclonal

Clone number

EPR30384-761

Isotype

IgG

Carrier free

Yes

Reacts with

Human, Mouse

Applications

ChIC/CUT&RUN-seq, ICC/IF, ChIP-seq, WB

applications

Immunogen

The exact immunogen used to generate this antibody is proprietary information.

Reactivity data

{ "title": "Reactivity Data", "filters": { "stats": ["", "Species", "Dilution Info", "Notes"], "tabs": { "all-applications": {"fullname" : "All Applications", "shortname": "All Applications"}, "ICCIF" : {"fullname" : "Immunocytochemistry/ Immunofluorescence", "shortname":"ICC/IF"}, "WB" : {"fullname" : "Western blot", "shortname":"WB"}, "IP" : {"fullname" : "Immunoprecipitation", "shortname":"IP"}, "ChIPseq" : {"fullname" : "ChIP-sequencing", "shortname":"ChIP-seq"}, "ChICCUTRUNseq" : {"fullname" : "ChIC/CUT&RUN sequencing", "shortname":"ChIC/CUT&RUN-seq"} }, "product-promise": { "all": "all", "testedAndGuaranteed": "tested", "guaranteed": "expected", "predicted": "predicted", "notRecommended": "not-recommended" } }, "values": { "Human": { "ICCIF-species-checked": "testedAndGuaranteed", "ICCIF-species-dilution-info": "", "ICCIF-species-notes": "<p></p>", "WB-species-checked": "testedAndGuaranteed", "WB-species-dilution-info": "", "WB-species-notes": "<p></p>", "IP-species-checked": "notRecommended", "IP-species-dilution-info": "", "IP-species-notes": "<p></p>", "ChIPseq-species-checked": "testedAndGuaranteed", "ChIPseq-species-dilution-info": "", "ChIPseq-species-notes": "<p></p>", "ChICCUTRUNseq-species-checked": "testedAndGuaranteed", "ChICCUTRUNseq-species-dilution-info": "", "ChICCUTRUNseq-species-notes": "<p></p>" }, "Mouse": { "ICCIF-species-checked": "testedAndGuaranteed", "ICCIF-species-dilution-info": "", "ICCIF-species-notes": "<p></p>", "WB-species-checked": "testedAndGuaranteed", "WB-species-dilution-info": "", "WB-species-notes": "<p></p>", "IP-species-checked": "notRecommended", "IP-species-dilution-info": "", "IP-species-notes": "<p></p>", "ChIPseq-species-checked": "testedAndGuaranteed", "ChIPseq-species-dilution-info": "", "ChIPseq-species-notes": "<p></p>", "ChICCUTRUNseq-species-checked": "testedAndGuaranteed", "ChICCUTRUNseq-species-dilution-info": "", "ChICCUTRUNseq-species-notes": "<p></p>" } } }

Product details

ab325543 is the carrier-free version of ab325542

Patented technology
Our RabMAb® technology is a patented hybridoma-based technology for making rabbit monoclonal antibodies. For details on our patents, please refer to RabMAb® patents.

What are the advantages of a recombinant monoclonal antibody?
This product is a recombinant monoclonal antibody, which offers several advantages including:

  • - High batch-to-batch consistency and reproducibility
  • - Improved sensitivity and specificity
  • - Long-term security of supply
  • - Animal-free batch production

For more information, read more on recombinant antibodies.

Conjugation ready
Our carrier-free antibodies are typically supplied in a PBS-only formulation, purified and free of BSA, sodium azide and glycerol. This conjugation-ready format is designed for use with fluorochromes, metal isotopes, oligonucleotides, and enzymes, which makes them ideal for antibody labelling, functional and cell-based assays, flow-based assays (e.g. mass cytometry) and Multiplex Imaging applications.

Use our conjugation kits for antibody conjugates that are ready-to-use in as little as 20 minutes with 1 minute hands-on-time and 100% antibody recovery: available for fluorescent dyes, HRP, biotin and gold.

Compatibility
This product is compatible with the Maxpar® Antibody Labeling Kit from Fluidigm, without the need for antibody preparation. Maxpar® is a trademark of Fluidigm Canada Inc.

Properties and storage information

Form
Liquid
Purification technique
Affinity purification Protein A
Storage buffer
pH: 7.2 - 7.4 Constituents: PBS
Shipped at conditions
Blue Ice
Appropriate short-term storage conditions
+4°C
Appropriate long-term storage conditions
+4°C
Storage information
Do Not Freeze

Product protocols

For this product, it's our understanding that no specific protocols are required. You can visit:

Target data

ATPase component of the chromatin remodeling INO80 complex which is involved in transcriptional regulation, DNA replication and DNA repair (PubMed : 16230350, PubMed : 16298340, PubMed : 17721549, PubMed : 20237820, PubMed : 20855601). Binds DNA (PubMed : 16298340, PubMed : 21303910). As part of the INO80 complex, remodels chromatin by shifting nucleosomes (PubMed : 16230350, PubMed : 21303910). Regulates transcription upon recruitment by YY1 to YY1-activated genes, where it acts as an essential coactivator (PubMed : 17721549). Involved in UV-damage excision DNA repair (PubMed : 20855601). The contribution to DNA double-strand break repair appears to be largely indirect through transcriptional regulation (PubMed : 20687897). Involved in DNA replication (PubMed : 20237820). Required for microtubule assembly during mitosis thereby regulating chromosome segregation cycle (PubMed : 20237820).
See full target information INO80

Product promise

We are committed to supporting your work with high-quality reagents, and we're here for you every step of the way. In the unlikely event that one of our products does not perform as expected, you're protected by our Product Promise.
For full details, please see our Terms & Conditions

Please note: All products are 'FOR RESEARCH USE ONLY. NOT FOR USE IN DIAGNOSTIC OR THERAPEUTIC PROCEDURES'.

For licensing inquiries, please contact partnerships@abcam.com