JavaScript is disabled in your browser. Please enable JavaScript to view this website.
AB213987

Anti-iNOS antibody [EPR16635] - BSA and Azide free

Be the first to review this product! Submit a review

|

(15 Publications)

Rabbit Recombinant Monoclonal iNOS antibody. Carrier free. Suitable for ICC/IF, IP, WB, I-ELISA and reacts with Mouse, Rat, Human, Recombinant fragment - Mouse samples. Cited in 15 publications.

View Alternative Names

NOS2A, NOS2, Hepatocyte NOS, Inducible NO synthase, NOS type II, Peptidyl-cysteine S-nitrosylase NOS2, HEP-NOS, Inducible NOS, iNOS

7 Images
Western blot - Anti-iNOS antibody [EPR16635] - BSA and Azide free (AB213987)
  • WB

Lab

Western blot - Anti-iNOS antibody [EPR16635] - BSA and Azide free (AB213987)

This data was developed using the same antibody clone in a different buffer formulation (ab178945). Blocking and diluting buffer 5% NFDM/TBST. iNOS is not normally expressed in the brain, but can be induced in the brain after inflammatory, infectious, or other damages (PMID : 11138926, PMID : 16156895, PMID : 10322315).

All lanes:

Western blot - Anti-iNOS antibody [EPR16635] (<a href='/en-us/products/primary-antibodies/inos-antibody-epr16635-ab178945'>ab178945</a>) at 1/1000 dilution

Lane 1:

Mouse hippocampus tissue lysate at 20 µg

Lane 2:

Mouse colon tissue lysate at 20 µg

Lane 3:

Mouse colon cancer tissue lysate at 20 µg

Secondary

All lanes:

Western blot - Goat Anti-Rabbit IgG H&L (HRP) (<a href='/en-us/products/secondary-antibodies/goat-rabbit-igg-h-l-hrp-ab97051'>ab97051</a>) at 1/20000 dilution

Observed band size: 131 kDa

false

Exposure time: 180s

Immunocytochemistry/ Immunofluorescence - Anti-iNOS antibody [EPR16635] - BSA and Azide free (AB213987)
  • ICC/IF

Lab

Immunocytochemistry/ Immunofluorescence - Anti-iNOS antibody [EPR16635] - BSA and Azide free (AB213987)

Immunocytochemistry/Immunofluorescence analysis of RAW 264.7 non-treated and LPS treated (0.1 μg/mL) cells labelling iNOS with ab178945 at 1/250. Cells were fixed with 4% paraformaldehyde and permeabilized with 0.1% Triton X-100. ab150077, an Alexa Fluor® 488-conjugated goat anti-rabbit IgG (1/1000) was used as the secondary antibody. The cells were co-stained with ab195889, Alexa Fluor® 594 conjugated anti-alpha tubulin (1/200). Nuclei counterstained with DAPI (blue).

Secondary antibody only controls performed on non-treated and treated cells.

This data was developed using the same antibody clone in a different buffer formulation containing PBS, BSA, glycerol, and sodium azide (ab178945).

Immunocytochemistry/ Immunofluorescence - Anti-iNOS antibody [EPR16635] - BSA and Azide free (AB213987)
  • ICC/IF

Lab

Immunocytochemistry/ Immunofluorescence - Anti-iNOS antibody [EPR16635] - BSA and Azide free (AB213987)

Clone EPR16635 (ab213987) has been successfully conjugated by Abcam. This image was generated using Anti-iNOS antibody [EPR16635] (Alexa Fluor® 647). Please refer to ab209027 for protocol details.

ab209027 staining iNOS in Raw264.7 cells. The lower panel shows cells treated with 1ug/ml Lipopolysaccharides (24 hr).  The cells were fixed with 100% methanol (5 min), permeabilized with 0.1% Triton X-100 for 5 minutes and then blocked with 1% BSA/10% normal goat serum/0.3M glycine in 0.1% PBS-Tween for 1h. The cells were then incubated overnight at +4°C with ab209027at 1/100 dilution (shown in red) and ab195887, Mouse monoclonal to alpha Tubulin (Alexa Fluor® 488), at 1/250 dilution (shown in green). Nuclear DNA was labelled with DAPI (shown in blue).

Image was taken with a confocal microscope (Leica-Microsystems, TCS SP8).

This product also gave a positive signal under the same testing conditions in SW480 cells fixed with 4% formaldehyde (10 min).

Indirect ELISA - Anti-iNOS antibody [EPR16635] - BSA and Azide free (AB213987)
  • I-ELISA

Supplier Data

Indirect ELISA - Anti-iNOS antibody [EPR16635] - BSA and Azide free (AB213987)

ELISA analysis of House mouse iNOS recombinant protein at 1000 ng/mL with ab178945. An Alkaline Phosphatase-conjugated AffiniPure Goat Anti-Rabbit IgG (H+L) at 1/2500 dilution was used as the secondary antibody.

This data was developed using the same antibody clone in a different buffer formulation containing PBS, BSA, glycerol, and sodium azide (ab178945).

Immunoprecipitation - Anti-iNOS antibody [EPR16635] - BSA and Azide free (AB213987)
  • IP

Supplier Data

Immunoprecipitation - Anti-iNOS antibody [EPR16635] - BSA and Azide free (AB213987)

iNOS was immunoprecipitated from 1mg of RAW 264.7 (Mouse macrophage cells transformed with Abelson murine leukemia virus) whole cell lysate treated with 1 μg/ml LPS for 24h with ab178945 at 1/100 dilution.

Lane 1 : RAW 264.7 whole cell lysate treated with 1 μg/ml LPS for 24h,10ug (Input).

Lane 2 : ab178945 IP in RAW 264.7 whole cell lysate treated with 1 μg/ml LPS for 24h.

Lane 3 : Rabbit monoclonal IgG (ab172730) instead of ab178945 in RAW 264.7 whole cell lysate treated with 1 μg/ml LPS for 24h.

Western blot was performed from the immunoprecipitate using ab178945 at 1/1000 dilution. VeriBlot for IP Detection Reagent (HRP) (ab131366), was used for detection at 1/1500 dilution

Blocking and dilution buffer and concentration : 5% NFDM/TBST.

Exposure time : 30 seconds.

This data was developed using the same antibody clone in a different buffer formulation containing PBS, BSA, glycerol, and sodium azide (ab178945).

All lanes:

Immunoprecipitation - Anti-iNOS antibody [EPR16635] (<a href='/en-us/products/primary-antibodies/inos-antibody-epr16635-ab178945'>ab178945</a>)

Predicted band size: 131 kDa

false

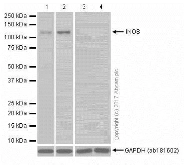
Western blot - Anti-iNOS antibody [EPR16635] - BSA and Azide free (AB213987)
  • WB

Supplier Data

Western blot - Anti-iNOS antibody [EPR16635] - BSA and Azide free (AB213987)

This data was developed using the same antibody clone in a different buffer formulation containing PBS, BSA, glycerol, and sodium azide (ab178945).

All lanes:

Western blot - Anti-iNOS antibody [EPR16635] - BSA and Azide free (ab213987) at 1/500 dilution

Lane 1:

HepG2 (Human hepatocellular carcinoma epithelial cell) whole cell lysates at 15 µg

Lane 2:

HepG2 (Human hepatocellular carcinoma epithelial cell) treated with 10ug/ml lipopolysaccharides for 6 hours whole cell lysates at 15 µg

Lane 3:

THP-1 (Human monocytic leukemia monocyte) whole cell lysates at 15 µg

Lane 4:

THP-1 (Human monocytic leukemia monocyte) treated with 100ng/ml lipopolysaccharides for 3 hours whole cell lysates at 15 µg

Secondary

All lanes:

Western blot - Goat Anti-Rabbit IgG H&L (HRP) (<a href='/en-us/products/secondary-antibodies/goat-rabbit-igg-h-l-hrp-ab97051'>ab97051</a>) at 1/200000 dilution

Predicted band size: 131 kDa

false

Exposure time: 3min

Western blot - Anti-iNOS antibody [EPR16635] - BSA and Azide free (AB213987)
  • WB

Lab

Western blot - Anti-iNOS antibody [EPR16635] - BSA and Azide free (AB213987)

Blocking and dilution buffer : 5% NFDM/TBST.

This data was developed using the same antibody clone in a different buffer formulation containing PBS, BSA, glycerol, and sodium azide (ab178945).

All lanes:

Western blot - Anti-iNOS antibody [EPR16635] - BSA and Azide free (ab213987) at 1/20000 dilution

Lane 1:

Untreated RAW 264.7 (Mouse macrophage cells transformed with Abelson murine leukemia virus) whole cell lysate at 20 µg

Lane 2:

RAW 264.7 whole cell lysate treated with 0.1 µg/mL LPS for 6 hours at 20 µg

Secondary

All lanes:

Peroxidase-conjugated goat anti-rabbit IgG (H+L) at 1/1000 dilution

Predicted band size: 131 kDa

Observed band size: 131 kDa

false

Exposure time: 30s

Key facts

Host species

Rabbit

Clonality

Monoclonal

Clone number

EPR16635

Isotype

IgG

Carrier free

Yes

Reacts with

Mouse, Rat, Human

Applications

I-ELISA, IP, WB, ICC/IF

applications

Immunogen

The exact immunogen used to generate this antibody is proprietary information.

Specificity

This antibody shows low affinity on human samples.
Based on our preliminary data, this antibody is not suitable for THP1 (Human monocytic leukemia monocyte) cell lines in WB.

Reactivity data

{ "title": "Reactivity Data", "filters": { "stats": ["", "Species", "Dilution Info", "Notes"], "tabs": { "all-applications": {"fullname" : "All Applications", "shortname": "All Applications"}, "ICCIF" : {"fullname" : "Immunocytochemistry/ Immunofluorescence", "shortname":"ICC/IF"}, "IP" : {"fullname" : "Immunoprecipitation", "shortname":"IP"}, "WB" : {"fullname" : "Western blot", "shortname":"WB"}, "IELISA" : {"fullname" : "Indirect ELISA", "shortname":"I-ELISA"} }, "product-promise": { "all": "all", "testedAndGuaranteed": "tested", "guaranteed": "expected", "predicted": "predicted", "notRecommended": "not-recommended" } }, "values": { "Human": { "ICCIF-species-checked": "guaranteed", "ICCIF-species-dilution-info": "", "ICCIF-species-notes": "", "IP-species-checked": "guaranteed", "IP-species-dilution-info": "", "IP-species-notes": "", "WB-species-checked": "testedAndGuaranteed", "WB-species-dilution-info": "1/1000", "WB-species-notes": "<p></p>", "IELISA-species-checked": "guaranteed", "IELISA-species-dilution-info": "", "IELISA-species-notes": "" }, "Mouse": { "ICCIF-species-checked": "testedAndGuaranteed", "ICCIF-species-dilution-info": "1/500", "ICCIF-species-notes": "<p></p>", "IP-species-checked": "testedAndGuaranteed", "IP-species-dilution-info": "1/100", "IP-species-notes": "<p></p>", "WB-species-checked": "testedAndGuaranteed", "WB-species-dilution-info": "1/1000", "WB-species-notes": "<p></p>", "IELISA-species-checked": "guaranteed", "IELISA-species-dilution-info": "", "IELISA-species-notes": "" }, "Rat": { "ICCIF-species-checked": "guaranteed", "ICCIF-species-dilution-info": "", "ICCIF-species-notes": "", "IP-species-checked": "guaranteed", "IP-species-dilution-info": "", "IP-species-notes": "", "WB-species-checked": "testedAndGuaranteed", "WB-species-dilution-info": "1/1000", "WB-species-notes": "<p></p>", "IELISA-species-checked": "guaranteed", "IELISA-species-dilution-info": "", "IELISA-species-notes": "" }, "Recombinant fragment - Mouse": { "ICCIF-species-checked": "notRecommended", "ICCIF-species-dilution-info": "", "ICCIF-species-notes": "", "IP-species-checked": "notRecommended", "IP-species-dilution-info": "", "IP-species-notes": "", "WB-species-checked": "notRecommended", "WB-species-dilution-info": "", "WB-species-notes": "", "IELISA-species-checked": "testedAndGuaranteed", "IELISA-species-dilution-info": "1000 ng/mL", "IELISA-species-notes": "<p></p>" } } }

You may be interested in:

AB65328

Nitric Oxide Assay Kit (Colorimetric)

4

2 Reviews

View product

We recommend this product because it’s often used in the same experiment or related research.

We advise that you always check the datasheet to ensure it fits your experiments, or contact ourtechnical teamfor help.

Product details

ab213987 is the carrier-free version of ab178945.

Patented technology
Our RabMAb® technology is a patented hybridoma-based technology for making rabbit monoclonal antibodies. For details on our patents, please refer to RabMAb® patents.

What are the advantages of a recombinant monoclonal antibody?
This product is a recombinant monoclonal antibody, which offers several advantages including:

  • - High batch-to-batch consistency and reproducibility
  • - Improved sensitivity and specificity
  • - Long-term security of supply
  • - Animal-free batch production

For more information, read more on recombinant antibodies.

Conjugation ready
Our carrier-free antibodies are typically supplied in a PBS-only formulation, purified and free of BSA, sodium azide and glycerol. This conjugation-ready format is designed for use with fluorochromes, metal isotopes, oligonucleotides, and enzymes, which makes them ideal for antibody labelling, functional and cell-based assays, flow-based assays (e.g. mass cytometry) and Multiplex Imaging applications.

Use our conjugation kits for antibody conjugates that are ready-to-use in as little as 20 minutes with 1 minute hands-on-time and 100% antibody recovery: available for fluorescent dyes, HRP, biotin and gold.

Compatibility
This product is compatible with the Maxpar® Antibody Labeling Kit from Fluidigm, without the need for antibody preparation. Maxpar® is a trademark of Fluidigm Canada Inc.

Properties and storage information

Form
Liquid
Purification technique
Affinity purification Protein A
Storage buffer
pH: 7.2 - 7.4 Constituents: 100% PBS
Shipped at conditions
Blue Ice
Appropriate short-term storage conditions
+4°C
Appropriate long-term storage conditions
+4°C
Storage information
Do Not Freeze

Supplementary information

This supplementary information is collated from multiple sources and compiled automatically.

Inducible Nitric Oxide Synthase commonly referred to as iNOS or NOS2 is an important enzyme in the production of nitric oxide (NO) from L-arginine. This enzyme has a molecular weight of approximately 130 kDa and is expressed in various cell types including macrophages and hepatocytes. iNOS becomes active in response to inflammatory stimuli and can produce large amounts of NO for extended periods. Western blotting and iNOS ELISA kits are frequently used methods to detect and quantify the presence and activity of iNOS in different biological samples.
Biological function summary

INOS plays a significant role in the immune system by participating in the defense against pathogens. The enzyme is part of a molecular complex that generates NO which acts as a signaling molecule and has antimicrobial properties. iNOS activity is induced during immune responses and contributes to the elimination of bacteria and viruses through the production of reactive nitrogen species. Its expression is tightly regulated by cytokines and other signaling molecules that modulate the extent of its action.

Pathways

INOS integrates into the nitric oxide signaling pathway and is closely associated with inflammatory pathways. NO serves as a messenger within the nitric oxide signaling pathway facilitating processes like vasodilation and neurotransmission. iNOS works alongside other proteins such as cytokines like interferon-gamma that elevate its activity during inflammation and immune responses. The regulation of iNOS expression and activity plays an essential role in maintaining immune homeostasis and ensuring proper response to infections.

INOS is linked to conditions characterized by excessive inflammation such as rheumatoid arthritis and sepsis. In these diseases overproduction of nitric oxide by iNOS can lead to tissue damage and exacerbate symptoms. Additionally iNOS is associated with the protein TNF-alpha as its expression is often driven by inflammatory mediators during disease states. Understanding the role of iNOS in such conditions provides insights into potential therapeutic targets for managing inflammatory diseases.

Product protocols

For this product, it's our understanding that no specific protocols are required. You can visit:

Target data

Produces nitric oxide (NO) which is a messenger molecule with diverse functions throughout the body (PubMed : 7504305, PubMed : 7531687, PubMed : 7544004, PubMed : 7682706). In macrophages, NO mediates tumoricidal and bactericidal actions. Also has nitrosylase activity and mediates cysteine S-nitrosylation of cytoplasmic target proteins such PTGS2/COX2 (By similarity). As component of the iNOS-S100A8/9 transnitrosylase complex involved in the selective inflammatory stimulus-dependent S-nitrosylation of GAPDH on 'Cys-247' implicated in regulation of the GAIT complex activity and probably multiple targets including ANXA5, EZR, MSN and VIM (PubMed : 25417112). Involved in inflammation, enhances the synthesis of pro-inflammatory mediators such as IL6 and IL8 (PubMed : 19688109).
See full target information NOS2

Publications (15)

Recent publications for all applications. Explore the full list and refine your search

Journal of orthopaedic surgery and research 17:232 PubMed35414033

2022

High-mobility group box chromosomal protein-1 deletion alleviates osteoporosis in OVX rat model via suppressing the osteoclastogenesis and inflammation.

Applications

Unspecified application

Species

Unspecified reactive species

Haotao Yu,Wei Zhou,Zhihong Zhong,Ruixin Qiu,Guoquan Chen,Ping Zhang

American journal of translational research 13:4835-4843 PubMed34150065

2021

The protective role of the miR-25-mediated notch signaling pathway in the memory capacity and brain tissue of mice with central nervous system infections.

Applications

Unspecified application

Species

Unspecified reactive species

Lizhou Wang,Tianpeng Jiang,Xueqing Huang,Shi Zhou

Nature cancer 2:545-562 PubMed35122017

2021

Neutrophil oxidative stress mediates obesity-associated vascular dysfunction and metastatic transmigration.

Applications

Unspecified application

Species

Unspecified reactive species

Sheri A C McDowell,Robin B E Luo,Azadeh Arabzadeh,Samuel Doré,Nicolas C Bennett,Valérie Breton,Elham Karimi,Morteza Rezanejad,Ryan R Yang,Katherine D Lach,Marianne S M Issac,Bozena Samborska,Lucas J M Perus,Dan Moldoveanu,Yuhong Wei,Benoit Fiset,Roni F Rayes,Ian R Watson,Lawrence Kazak,Marie-Christine Guiot,Pierre O Fiset,Jonathan D Spicer,Andrew J Dannenberg,Logan A Walsh,Daniela F Quail

Annals of translational medicine 8:1181 PubMed33241030

2020

Etomidate alleviates cardiac dysfunction, fibrosis and oxidative stress in rats with myocardial ischemic reperfusion injury.

Applications

Unspecified application

Species

Unspecified reactive species

Dili Xie,Min Li,Kang Yu,Hua Lu,Yong Chen

Histology and histopathology :18278 PubMed33146403

2020

Down-regulation of miR-215 attenuates lipopolysaccharide-induced inflammatory injury in CCD-18co cells by targeting GDF11 through the TLR4/NF-kB and JNK/p38 signaling pathways.

Applications

Unspecified application

Species

Unspecified reactive species

Boyang Sun,Kai Xing,Chen Qi,Ke Yan,Yan Xu

Life sciences 264:118658 PubMed33115604

2020

Exosomal miR-21 secreted by IL-1β-primed-mesenchymal stem cells induces macrophage M2 polarization and ameliorates sepsis.

Applications

Unspecified application

Species

Unspecified reactive species

Mengying Yao,Bing Cui,Weihong Zhang,Wentao Ma,Gaofeng Zhao,Lihua Xing

Aging 12:20184-20197 PubMed33099539

2020

Interleukin-6 knockout reverses macrophage differentiation imbalance and alleviates cardiac dysfunction in aging mice.

Applications

Unspecified application

Species

Unspecified reactive species

Yuan Wang,Shan Zhu,Wen Wei,Yi Tu,Chuang Chen,Junlong Song,Juanjuan Li,Changhua Wang,Zhiliang Xu,Shengrong Sun

Experimental and therapeutic medicine 20:159 PubMed33093897

2020

miR-132 improves the cognitive function of rats with Alzheimer's disease by inhibiting the MAPK1 signal pathway.

Applications

Unspecified application

Species

Unspecified reactive species

Yiming Deng,Jingyu Zhang,Xuan Sun,Gaoting Ma,Gang Luo,Zhongrong Miao,Ligang Song

Medical science monitor : international medical jo 26:e921957 PubMed32463805

2020

Avicularin Reduces the Expression of Mediators of Inflammation and Oxidative Stress in Bradykinin-Treated MG-63 Human Osteoblastic Osteosarcoma Cells.

Applications

Unspecified application

Species

Unspecified reactive species

Zhentao Zhang,Guodong Lv,Liang Du

International journal of molecular medicine 46:718-728 PubMed32468025

2020

Ribonuclease T2 from Aspergillus fumigatus promotes T helper type 2 responses through M2 polarization of macrophages.

Applications

Unspecified application

Species

Unspecified reactive species

Jia-Jie Chen,Yong-Shen He,Xiao-Jun Zhong,Ze-Lang Cai,Yan-Si Lyu,Zhen-Fu Zhao,Kunmei Ji
View all publications

Product promise

We are committed to supporting your work with high-quality reagents, and we're here for you every step of the way. In the unlikely event that one of our products does not perform as expected, you're protected by our Product Promise.
For full details, please see our Terms & Conditions

Associated Products

Select an associated product type
Alternative Product
Primary Antibodies

AB205529

Anti-iNOS antibody [EPR16630]

primary-antibodies

inos-antibody-epr16630-ab205529

3

(1 reviews)

Alternative Product
Primary Antibodies

AB202417

Anti-iNOS+nNOS antibody [EP16634]

primary-antibodies

inosnnos-antibody-ep16634-ab202417

4

(1 reviews)

Alternative Version
Primary Antibodies

AB209594

Alexa Fluor® 555 Anti-iNOS antibody [EPR16635]

primary-antibodies

alexa-fluor-555-inos-antibody-epr16635-ab209594

0

(0 reviews)

Alternative Version
Primary Antibodies

AB209595

Alexa Fluor® 568 Anti-iNOS antibody [EPR16635]

primary-antibodies

alexa-fluor-568-inos-antibody-epr16635-ab209595

0

(0 reviews)

Alternative Version
Primary Antibodies

AB209027

Alexa Fluor® 647 Anti-iNOS antibody [EPR16635]

primary-antibodies

alexa-fluor-647-inos-antibody-epr16635-ab209027

0

(0 reviews)

Please note: All products are 'FOR RESEARCH USE ONLY. NOT FOR USE IN DIAGNOSTIC OR THERAPEUTIC PROCEDURES'.

For licensing inquiries, please contact partnerships@abcam.com