JavaScript is disabled in your browser. Please enable JavaScript to view this website.
AB283668

Anti-iNOS antibody [RM1017] - BSA and Azide free

Be the first to review this product! Submit a review

|

(4 Publications)

Rabbit Recombinant Multiclonal iNOS antibody. Carrier free. Suitable for IP, Flow Cyt (Intra), WB, IHC-P, I-ELISA, ICC/IF and reacts with Mouse, Human, Rat, Recombinant fragment - Human samples. Cited in 4 publications.

View Alternative Names

NOS2A, NOS2, Hepatocyte NOS, Inducible NO synthase, NOS type II, Peptidyl-cysteine S-nitrosylase NOS2, HEP-NOS, Inducible NOS, iNOS

11 Images
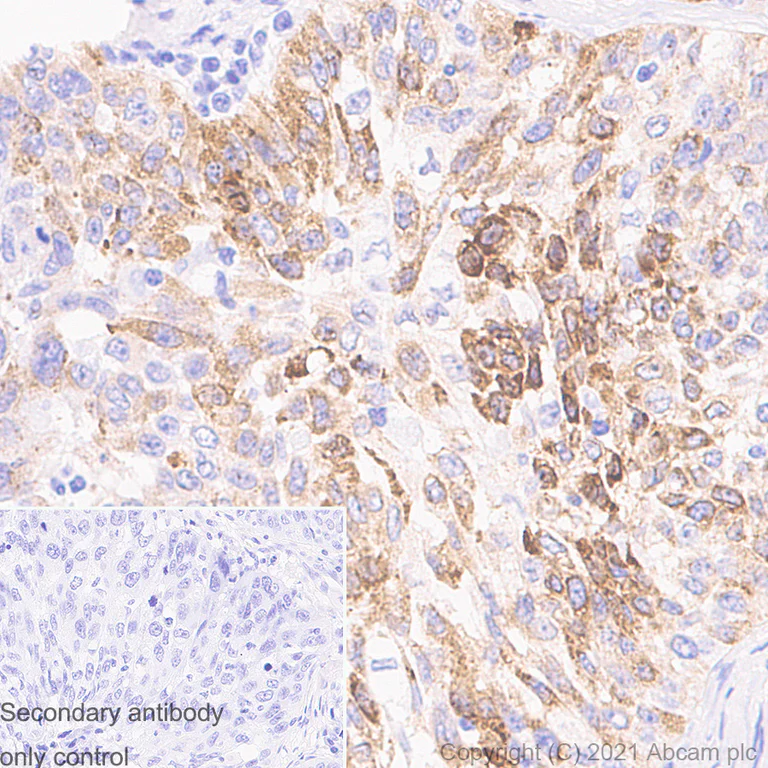
Immunohistochemistry (Formalin/PFA-fixed paraffin-embedded sections) - Anti-iNOS antibody [RM1017] - BSA and Azide free (AB283668)
  • IHC-P

Supplier Data

Immunohistochemistry (Formalin/PFA-fixed paraffin-embedded sections) - Anti-iNOS antibody [RM1017] - BSA and Azide free (AB283668)

This data was developed using ab283655, the same antibody clone in a different buffer formulation.

Immunohistochemical analysis of paraffin-embedded Human lung carcinoma tissue labeling iNOS with ab283655 at 1/2000 (0.3 μg/ml) followed by a ready to use LeicaDS9800 (Bond® Polymer Refine Detection) was used. Positive staining on the human lung carcinoma. The section was incubated with ab283655 for 30 mins at room temperature.The immunostaining was performed on a Leica Biosystems BOND® RX instrument Counterstained with Hematoxylin.

Secondary antibody only control : Secondary antibody is a ready to use LeicaDS9800 (Bond® Polymer Refine Detection) was used.

Heat mediated antigen retrieval with Citrate buffer (pH 6.0, epitope retrieval solution 1) for 20 mins

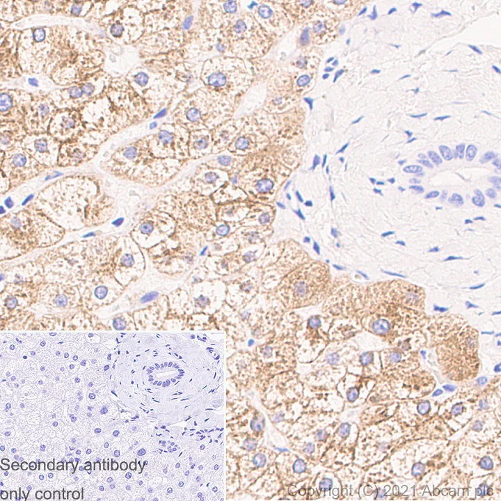
Immunohistochemistry (Formalin/PFA-fixed paraffin-embedded sections) - Anti-iNOS antibody [RM1017] - BSA and Azide free (AB283668)
  • IHC-P

Supplier Data

Immunohistochemistry (Formalin/PFA-fixed paraffin-embedded sections) - Anti-iNOS antibody [RM1017] - BSA and Azide free (AB283668)

This data was developed using ab283655, the same antibody clone in a different buffer formulation.

Immunohistochemical analysis of paraffin-embedded Human liver tissue labeling iNOS with ab283655 at 1/2000 (0.3 μg/ml) followed by a ready to use LeicaDS9800 (Bond® Polymer Refine Detection) was used. Positive staining on the hepatocytes in human liver. The section was incubated with ab283655 for 30 mins at room temperature.The immunostaining was performed on a Leica Biosystems BOND® RX instrument Counterstained with Hematoxylin.

Secondary antibody only control : Secondary antibody is a ready to use LeicaDS9800 (Bond® Polymer Refine Detection) was used.

Heat mediated antigen retrieval with Citrate buffer (pH 6.0, epitope retrieval solution 1) for 20 mins

Flow Cytometry (Intracellular) - Anti-iNOS antibody [RM1017] - BSA and Azide free (AB283668)
  • Flow Cyt (Intra)

Supplier Data

Flow Cytometry (Intracellular) - Anti-iNOS antibody [RM1017] - BSA and Azide free (AB283668)

This data was developed using ab283655, the same antibody clone in a different buffer formulation.

Flow cytometric analysis of 4% paraformaldehyde fixed 90% methanol permeabilized Caco-2 (Human colorectal adenocarcinoma epithelial cell) cells labelling iNOS with ab283655 at 1/600 dilution (0.1μg) (Red) compared with a Rabbit monoclonal IgG (ab172730) (Black) isotype control and an unlabelled control (cells without incubation with primary antibody and secondary antibody) (Blue). A Goat Anti-Rabbit IgG (Alexa Fluor® 488, ab150081) at 1/2000 dilution was used as the secondary antibody.

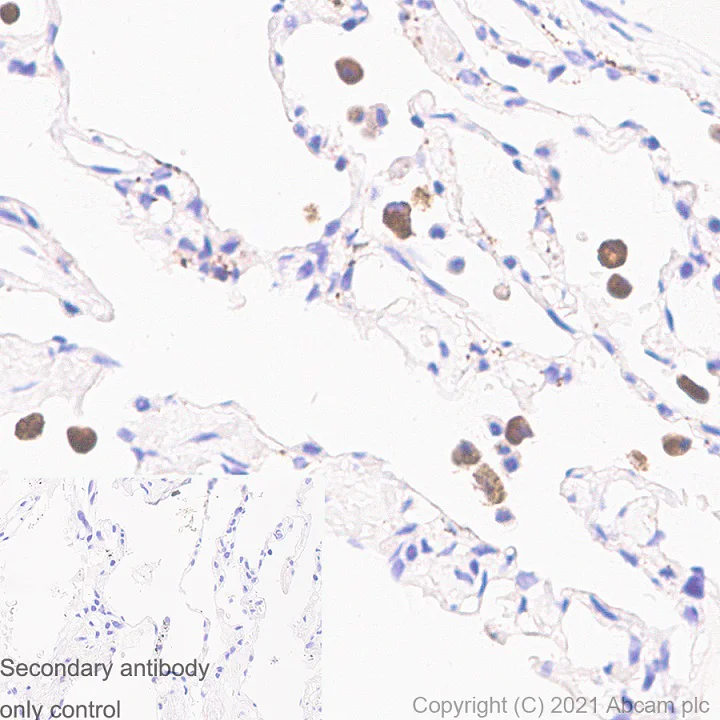
Immunohistochemistry (Formalin/PFA-fixed paraffin-embedded sections) - Anti-iNOS antibody [RM1017] - BSA and Azide free (AB283668)
  • IHC-P

Supplier Data

Immunohistochemistry (Formalin/PFA-fixed paraffin-embedded sections) - Anti-iNOS antibody [RM1017] - BSA and Azide free (AB283668)

This data was developed using ab283655, the same antibody clone in a different buffer formulation.

Immunohistochemical analysis of paraffin-embedded Human lung tissue labeling iNOS with ab283655 at 1/2000 (0.3 μg/ml) followed by a ready to use LeicaDS9800 (Bond® Polymer Refine Detection) was used. Positive staining on the human lung. The section was incubated with ab283655 for 30 mins at room temperature.The immunostaining was performed on a Leica Biosystems BOND® RX instrument Counterstained with Hematoxylin.

Secondary antibody only control : Secondary antibody is a ready to use LeicaDS9800 (Bond® Polymer Refine Detection) was used.

Heat mediated antigen retrieval with Citrate buffer (pH 6.0, epitope retrieval solution 1) for 20 mins

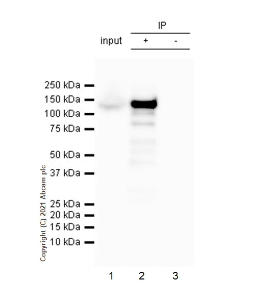
Immunoprecipitation - Anti-iNOS antibody [RM1017] - BSA and Azide free (AB283668)
  • IP

Lab

Immunoprecipitation - Anti-iNOS antibody [RM1017] - BSA and Azide free (AB283668)

iNOS was immunoprecipitated from DLD-1 (human colorectal adenocarcinoma epithelial cell) treated with 100U/mL IFN gamma (human), 50U/mL IL-1 beta (human) and 10ng/mL TNF alpha for 24h whole cell lysate with ab283655 at 1/30 dilution (2 μg in 0.35mg lysates). Western blot was performed on the immunoprecipitate using ab283655 at 1/2000 dilution. VeriBlot for IP secondary antibody(HRP) (ab131366) was used at 1/5000 dilution.

Lane 1 : DLD-1 (human colorectal adenocarcinoma epithelial cell) treated with 100U/mL IFN gamma(human), 50U/mL IL-1 beta(human) and 10ng/mL TNF alpha for 24h whole cell lysate
Lane 2 : ab320005 IP in DLD-1 (human colorectal adenocarcinoma epithelial cell) treated with 100U/mL IFN gamma(human), 50U/mL IL-1 beta(human) and 10ng/mL TNF alpha for 24h whole cell lysate
Lane 3 : Rabbit monoclonal IgG (ab172730) instead of ab283655 in DLD-1 treated with 100U/mL IFN gamma (human), 50U/mL IL-1 beta (human) and 10ng/mL TNF alpha for 24h whole cell lysate

Blocking and dilution buffer and concentration : 5% NFDM/TBST

All lanes:

Immunoprecipitation - Anti-iNOS antibody [RM1017] (<a href='/en-us/products/primary-antibodies/inos-antibody-rm1017-ab283655'>ab283655</a>) at 1/2000 dilution

All lanes:

DLD-1 (human colorectal adenocarcinoma epithelial cell) treated with 100U/mL IFN gamma(human), 50U/mL IL-1 beta(human) and 10ng/mL TNF alpha for 24h whole cell lysate at 10 µg

Secondary

All lanes:

Immunoprecipitation - VeriBlot for IP Detection Reagent (HRP) (<a href='/en-us/products/reagents/veriblot-for-ip-detection-reagent-hrp-ab131366'>ab131366</a>) at 1/5000 dilution

Predicted band size: 131 kDa

Observed band size: 131 kDa

false

Exposure time: 32s

Immunocytochemistry/ Immunofluorescence - Anti-iNOS antibody [RM1017] - BSA and Azide free (AB283668)
  • ICC/IF

Supplier Data

Immunocytochemistry/ Immunofluorescence - Anti-iNOS antibody [RM1017] - BSA and Azide free (AB283668)

This data was developed using ab283655, the same antibody clone in a different buffer formulation.

Immunofluorescent analysis of 4% Paraformaldehyde-fixed, 0.1% TritonX-100 permeabilized RAW 264.7 cells labelling iNOS with ab283655 at 1/50 (12.0 μg/ml) dilution, followed by ab150081 Goat Anti-Rabbit IgG H&L (Alexa Fluor® 488) preadsorbed antibody at 1/1000 (2 μg/ml) dilution (Green). Confocal image showing cytoplasmic staining in RAW 264.7 cell line after treatment with lipopolysaccharide ( 1μg/ml ) for 6 h. is observed. ab195889 Anti-alpha Tubulin mouse monoclonal antibody - Microtubule Marker (Alexa Fluor® 594) was used to counterstain tubulin at 1/200 (2.5μg/ml) dilution (Red). The Nuclear counterstain was DAPI (Blue).

Secondary antibody only control : Secondary antibody is ab150081 Goat Anti-Rabbit IgG H&L (Alexa Fluor® 488) preadsorbed at 1/1000 2 ug/ml dilution.

Flow Cytometry (Intracellular) - Anti-iNOS antibody [RM1017] - BSA and Azide free (AB283668)
  • Flow Cyt (Intra)

Supplier Data

Flow Cytometry (Intracellular) - Anti-iNOS antibody [RM1017] - BSA and Azide free (AB283668)

This data was developed using ab283655, the same antibody clone in a different buffer formulation.

Flow cytometric analysis of 4% paraformaldehyde fixed 90% methanol permeabilized RAW 264.7 (Mouse Abelson murine leukemia virus-induced tumor macrophage) treated with 1μg/ml LPS for 6h (Red) / Untreated control (Green) cells labelling iNOS with ab283655 at 1/600 dilution (0.1μg) (Red) and Green (Red) compared with a Rabbit monoclonal IgG (ab172730) (Black) isotype control and an unlabelled control (cells without incubation with primary antibody and secondary antibody) (Blue). A Goat Anti-Rabbit IgG (Alexa Fluor® 488, ab150081) at 1/2000 dilution was used as the secondary antibody.

Immunoprecipitation - Anti-iNOS antibody [RM1017] - BSA and Azide free (AB283668)
  • IP

Supplier Data

Immunoprecipitation - Anti-iNOS antibody [RM1017] - BSA and Azide free (AB283668)

This data was developed using ab283655, the same antibody clone in a different buffer formulation.

iNOS was immunoprecipitated from 0.35 mg RAW 264.7 (Mouse Abelson murine leukemia virus-induced tumor macrophage) treated with 1μg/ml LPS for 6h whole cell lysate 10μg with ab283655 at 1/30 dilution (2μg in 0.35mg lysates). Western blot was performed on the immunoprecipitate using ab283655 at 1/1000 dilution. VeriBlot for IP secondary antibody(HRP)(ab131366) was used at 1/5000 dilution.

Lane 1 : RAW 264.7 (Mouse Abelson murine leukemia virus-induced tumor macrophage) treated with 1μg/ml LPS for 6h whole cell lysate 10μg

Lane 2 : ab283655 IP in RAW 264.7 treated with 1μg/ml LPS for 6h whole cell lysate

Lane 3 : Rabbit monoclonal IgG (ab172730) instead of ab283655 in RAW 264.7 treated with 1μg/ml LPS for 6h whole cell lysate

Blocking and dilution buffer and concentration : 5% NFDM/TBST.

Exposure time : 8 seconds

Lower bands could be proteolytic cleavage as described in literature. (PMID : 11786228)

All lanes:

Immunoprecipitation - Anti-iNOS antibody [RM1017] (<a href='/en-us/products/primary-antibodies/inos-antibody-rm1017-ab283655'>ab283655</a>)

Predicted band size: 131 kDa

false

Western blot - Anti-iNOS antibody [RM1017] - BSA and Azide free (AB283668)
  • WB

Lab

Western blot - Anti-iNOS antibody [RM1017] - BSA and Azide free (AB283668)

This data was developed using ab283655, the same antibody clone in a different buffer formulation.

Blocking and diluting buffer and concentration : 5% NFDM/TBST.

In Western blot, Anti-GAPDH antibody [EPR16891] - Loading Control (ab181602) staining at 1/200000 dilution.

All lanes:

Western blot - Anti-iNOS antibody [RM1017] (<a href='/en-us/products/primary-antibodies/inos-antibody-rm1017-ab283655'>ab283655</a>) at 1/2000 dilution

Lane 1:

DLD-1 (human colorectal adenocarcinoma epithelial cell) whole cell lysate at 20 µg

Lane 2:

DLD-1 treated with 100U/mL IFN gamma(human), 50U/mL IL-1 beta(human) and 10ng/mL TNF alpha for 24h whole cell lysate at 20 µg

Lane 3:

Caco-2 (Human colorectal adenocarcinoma epithelial cell) whole cell lysate at 20 µg

Lane 4:

RAW 264.7 (mouse Abelson murine leukemia virus-induced tumor macrophage) whole cell lysate at 20 µg

Lane 5:

RAW 264.7 treated with 100ng/ml lipopolysaccharide (LPS) for 6h whole cell lysate at 20 µg

Lane 6:

NR8383 (rat alveolar macrophage) whole cell lysate at 20 µg

Lane 7:

NR8383 treated with 1ng/ml lipopolysaccharide (LPS) for 24h whole cell lysate at 20 µg

Secondary

All lanes:

Western blot - Goat Anti-Rabbit IgG H&L (HRP) (<a href='/en-us/products/secondary-antibodies/goat-rabbit-igg-h-l-hrp-ab97051'>ab97051</a>) at 1/100000 dilution

Observed band size: 131 kDa,36 kDa

false

Western blot - Anti-iNOS antibody [RM1017] - BSA and Azide free (AB283668)
  • WB

Lab

Western blot - Anti-iNOS antibody [RM1017] - BSA and Azide free (AB283668)

Blocking buffer and concentration : 5% NFDM/TBST iNOS is not normally expressed in the brain, but can be induced in the brain after inflammatory, infectious or other damages (PMID : 11138926, PMID : 16156895, PMID : 10322315). This data was developed using ab283655, the same antibody clone in a different buffer formulation.

Lanes 1 - 3:

Western blot - Anti-iNOS antibody [RM1017] (<a href='/en-us/products/primary-antibodies/inos-antibody-rm1017-ab283655'>ab283655</a>) at 1/1000 dilution

Lanes 1 - 3:

Western blot - Anti-iNOS antibody [RM1017] - BSA and Azide free (ab283668)

Lane 1:

Mouse hippocampus tissue lysate at 20 µg

Lane 2:

Mouse colon tissue lysate at 20 µg

Lane 3:

Mouse colon cancer tissue lysate at 20 µg

Secondary

All lanes:

Western blot - Goat Anti-Rabbit IgG H&L (HRP) (<a href='/en-us/products/secondary-antibodies/goat-rabbit-igg-h-l-hrp-ab97051'>ab97051</a>) at 1/20000 dilution

Observed band size: 131 kDa

false

Indirect ELISA - Anti-iNOS antibody [RM1017] - BSA and Azide free (AB283668)
  • I-ELISA

Supplier Data

Indirect ELISA - Anti-iNOS antibody [RM1017] - BSA and Azide free (AB283668)

This data was developed using ab283655, the same antibody clone in a different buffer formulation.

Indirect ELISA using ab283655 at varying antibody concentrations and antigen concentration at 1000 ng/mL. An Alkaline Phosphatase-conjugated AffiniPure Goat Anti-Rabbit IgG (H+L) (1/2500) was used as the secondary antibody.

Key facts

Host species

Rabbit

Clonality

Multiclonal

Clone number

RM1017

Isotype

IgG

Carrier free

Yes

Reacts with

Human, Rat, Mouse

Applications

Flow Cyt (Intra), IP, WB, ICC/IF, IHC-P, I-ELISA

applications

Immunogen

The exact immunogen used to generate this antibody is proprietary information.

Specificity

We have preliminary internal testing data to indicate this antibody may not be suitable for human ICC/IF and showed no staining in mouse and rat tissue samples by IHC-P.

FURTHER INFORMATION ON SPECIFICITY (Chinese Version) available under the product protocols section. This file includes key technical notes of experience when using this product.

Reactivity data

{ "title": "Reactivity Data", "filters": { "stats": ["", "Species", "Dilution Info", "Notes"], "tabs": { "all-applications": {"fullname" : "All Applications", "shortname": "All Applications"}, "IP" : {"fullname" : "Immunoprecipitation", "shortname":"IP"}, "FlowCytIntra" : {"fullname" : "Flow Cytometry (Intracellular)", "shortname":"Flow Cyt (Intra)"}, "WB" : {"fullname" : "Western blot", "shortname":"WB"}, "IHCP" : {"fullname" : "Immunohistochemistry (Formalin/PFA-fixed paraffin-embedded sections)", "shortname":"IHC-P"}, "IELISA" : {"fullname" : "Indirect ELISA", "shortname":"I-ELISA"}, "ICCIF" : {"fullname" : "Immunocytochemistry/ Immunofluorescence", "shortname":"ICC/IF"}, "IHCFr" : {"fullname" : "Immunohistochemistry (Frozen sections)", "shortname":"IHC-Fr"} }, "product-promise": { "all": "all", "testedAndGuaranteed": "tested", "guaranteed": "expected", "predicted": "predicted", "notRecommended": "not-recommended" } }, "values": { "Human": { "IP-species-checked": "testedAndGuaranteed", "IP-species-dilution-info": "", "IP-species-notes": "<p></p>", "FlowCytIntra-species-checked": "testedAndGuaranteed", "FlowCytIntra-species-dilution-info": "", "FlowCytIntra-species-notes": "<p></p>", "WB-species-checked": "testedAndGuaranteed", "WB-species-dilution-info": "", "WB-species-notes": "<p></p>", "IHCP-species-checked": "testedAndGuaranteed", "IHCP-species-dilution-info": "", "IHCP-species-notes": "<p>We have preliminary internal testing data to indicate this antibody showed no staining in mouse and rat tissue samples by IHC-P</p>", "IELISA-species-checked": "guaranteed", "IELISA-species-dilution-info": "", "IELISA-species-notes": "", "ICCIF-species-checked": "notRecommended", "ICCIF-species-dilution-info": "", "ICCIF-species-notes": "<p>We have preliminary internal testing data to indicate this antibody may not be suitable for human ICC/IF</p>", "IHCFr-species-checked": "notRecommended", "IHCFr-species-dilution-info": "", "IHCFr-species-notes": "" }, "Mouse": { "IP-species-checked": "testedAndGuaranteed", "IP-species-dilution-info": "", "IP-species-notes": "<p></p>", "FlowCytIntra-species-checked": "testedAndGuaranteed", "FlowCytIntra-species-dilution-info": "", "FlowCytIntra-species-notes": "<p></p>", "WB-species-checked": "testedAndGuaranteed", "WB-species-dilution-info": "", "WB-species-notes": "<p></p>", "IHCP-species-checked": "notRecommended", "IHCP-species-dilution-info": "", "IHCP-species-notes": "<p>We have preliminary internal testing data to indicate this antibody showed no staining in mouse and rat tissue samples by IHC-P</p>", "IELISA-species-checked": "guaranteed", "IELISA-species-dilution-info": "", "IELISA-species-notes": "", "ICCIF-species-checked": "testedAndGuaranteed", "ICCIF-species-dilution-info": "", "ICCIF-species-notes": "<p>We have preliminary internal testing data to indicate this antibody may not be suitable for human ICC/IF</p>", "IHCFr-species-checked": "notRecommended", "IHCFr-species-dilution-info": "", "IHCFr-species-notes": "<p></p>" }, "Rat": { "IP-species-checked": "guaranteed", "IP-species-dilution-info": "", "IP-species-notes": "", "FlowCytIntra-species-checked": "guaranteed", "FlowCytIntra-species-dilution-info": "", "FlowCytIntra-species-notes": "", "WB-species-checked": "testedAndGuaranteed", "WB-species-dilution-info": "", "WB-species-notes": "<p></p>", "IHCP-species-checked": "notRecommended", "IHCP-species-dilution-info": "", "IHCP-species-notes": "<p>We have preliminary internal testing data to indicate this antibody showed no staining in mouse and rat tissue samples by IHC-P</p>", "IELISA-species-checked": "guaranteed", "IELISA-species-dilution-info": "", "IELISA-species-notes": "", "ICCIF-species-checked": "guaranteed", "ICCIF-species-dilution-info": "", "ICCIF-species-notes": "", "IHCFr-species-checked": "notRecommended", "IHCFr-species-dilution-info": "", "IHCFr-species-notes": "<p></p>" }, "Recombinant fragment - Human": { "IP-species-checked": "notRecommended", "IP-species-dilution-info": "", "IP-species-notes": "", "FlowCytIntra-species-checked": "notRecommended", "FlowCytIntra-species-dilution-info": "", "FlowCytIntra-species-notes": "", "WB-species-checked": "notRecommended", "WB-species-dilution-info": "", "WB-species-notes": "", "IHCP-species-checked": "notRecommended", "IHCP-species-dilution-info": "", "IHCP-species-notes": "", "IELISA-species-checked": "testedAndGuaranteed", "IELISA-species-dilution-info": "", "IELISA-species-notes": "<p></p>", "ICCIF-species-checked": "notRecommended", "ICCIF-species-dilution-info": "", "ICCIF-species-notes": "", "IHCFr-species-checked": "notRecommended", "IHCFr-species-dilution-info": "", "IHCFr-species-notes": "" } } }

Product details

ab283668 is the carrier-free version of ab283655.

What are recombinant multiclonals?
Recombinant multiclonals are a mixture of recombinant antibodies co-expressed from a library of heavy and light chains. They offer several advantages including:

  • - The sensitivity of polyclonal antibodies by recognising multiple epitopes
  • - High batch-to-batch consistency and reproducibility
  • - Improved sensitivity and specificity
  • - Long-term security of supply
  • - Animal-free batch production

View our range of recombinant multiclonal antibodies.

Patented technology
Our RabMAb® technology is a patented hybridoma-based technology for making rabbit monoclonal antibodies. For details on our patents, please refer to RabMAb® patents.

Conjugation ready
Our carrier-free antibodies are typically supplied in a PBS-only formulation, purified and free of BSA, sodium azide and glycerol. This conjugation-ready format is designed for use with fluorochromes, metal isotopes, oligonucleotides, and enzymes, which makes them ideal for antibody labelling, functional and cell-based assays, flow-based assays (e.g. mass cytometry) and Multiplex Imaging applications.

Use our conjugation kits for antibody conjugates that are ready-to-use in as little as 20 minutes with 1 minute hands-on-time and 100% antibody recovery: available for fluorescent dyes, HRP, biotin and gold.

Compatibility
This product is compatible with the Maxpar® Antibody Labeling Kit from Fluidigm, without the need for antibody preparation. Maxpar® is a trademark of Fluidigm Canada Inc.

Properties and storage information

Form
Liquid
Storage buffer
pH: 7.2 - 7.4 Constituents: PBS
Shipped at conditions
Blue Ice
Appropriate short-term storage conditions
+4°C
Appropriate long-term storage conditions
+4°C

Supplementary information

This supplementary information is collated from multiple sources and compiled automatically.

Inducible Nitric Oxide Synthase commonly referred to as iNOS or NOS2 is an important enzyme in the production of nitric oxide (NO) from L-arginine. This enzyme has a molecular weight of approximately 130 kDa and is expressed in various cell types including macrophages and hepatocytes. iNOS becomes active in response to inflammatory stimuli and can produce large amounts of NO for extended periods. Western blotting and iNOS ELISA kits are frequently used methods to detect and quantify the presence and activity of iNOS in different biological samples.
Biological function summary

INOS plays a significant role in the immune system by participating in the defense against pathogens. The enzyme is part of a molecular complex that generates NO which acts as a signaling molecule and has antimicrobial properties. iNOS activity is induced during immune responses and contributes to the elimination of bacteria and viruses through the production of reactive nitrogen species. Its expression is tightly regulated by cytokines and other signaling molecules that modulate the extent of its action.

Pathways

INOS integrates into the nitric oxide signaling pathway and is closely associated with inflammatory pathways. NO serves as a messenger within the nitric oxide signaling pathway facilitating processes like vasodilation and neurotransmission. iNOS works alongside other proteins such as cytokines like interferon-gamma that elevate its activity during inflammation and immune responses. The regulation of iNOS expression and activity plays an essential role in maintaining immune homeostasis and ensuring proper response to infections.

INOS is linked to conditions characterized by excessive inflammation such as rheumatoid arthritis and sepsis. In these diseases overproduction of nitric oxide by iNOS can lead to tissue damage and exacerbate symptoms. Additionally iNOS is associated with the protein TNF-alpha as its expression is often driven by inflammatory mediators during disease states. Understanding the role of iNOS in such conditions provides insights into potential therapeutic targets for managing inflammatory diseases.

Product protocols

For this product, it's our understanding that no specific protocols are required. You can visit:

Target data

Produces nitric oxide (NO) which is a messenger molecule with diverse functions throughout the body (PubMed : 7504305, PubMed : 7531687, PubMed : 7544004, PubMed : 7682706). In macrophages, NO mediates tumoricidal and bactericidal actions. Also has nitrosylase activity and mediates cysteine S-nitrosylation of cytoplasmic target proteins such PTGS2/COX2 (By similarity). As component of the iNOS-S100A8/9 transnitrosylase complex involved in the selective inflammatory stimulus-dependent S-nitrosylation of GAPDH on 'Cys-247' implicated in regulation of the GAIT complex activity and probably multiple targets including ANXA5, EZR, MSN and VIM (PubMed : 25417112). Involved in inflammation, enhances the synthesis of pro-inflammatory mediators such as IL6 and IL8 (PubMed : 19688109).
See full target information NOS2

Publications (4)

Recent publications for all applications. Explore the full list and refine your search

Reproductive sciences (Thousand Oaks, Calif.) 32:854-866 PubMed39367233

2024

Glutamine Attenuates Inflammation and Stimulates Amniotic Cell Proliferation in Premature Rupture of Membranes-related in vitro Models.

Applications

Unspecified application

Species

Unspecified reactive species

Xiang Xiang,Linshen Zhang,Su Li,Yongwei Ren,Daozhen Chen,Lou Liu

Biotechnology and applied biochemistry 72:355-368 PubMed39279255

2024

Salidroside alleviates imiquimod-induced psoriasis by inhibiting GSDMD-driven keratinocyte pyroptosis.

Applications

Unspecified application

Species

Unspecified reactive species

Mengjie Wang,Tuyagaer Tu,Yangxingyun Wang,Limin Tian,Yuenan Yang

Arkhiv patologii 86:31-37 PubMed39073539

2024

[Molecular markers of M. tuberculosis virulence in lung tissue (experimental study)].

Applications

Unspecified application

Species

Unspecified reactive species

Yu S Krylova,M A Dokhov,A S Panfilova,T I Vinogradova,I V Mokrousov,I M Kvetnoy

Acta biochimica et biophysica Sinica 55:1222-1233 PubMed37431183

2023

5-HMF attenuates inflammation and demyelination in experimental autoimmune encephalomyelitis mice by inhibiting the MIF-CD74 interaction.

Applications

Unspecified application

Species

Unspecified reactive species

Dongsheng Guan,Yingxia Li,Yinglin Cui,Huanghong Zhao,Ning Dong,Kun Wang,Deqi Ren,Tiantian Song,Xiaojing Wang,Shijie Jin,Yinghe Gao,Mengmeng Wang
View all publications
websiteProtocolBooklet
zh

Product promise

We are committed to supporting your work with high-quality reagents, and we're here for you every step of the way. In the unlikely event that one of our products does not perform as expected, you're protected by our Product Promise.
For full details, please see our Terms & Conditions

Please note: All products are 'FOR RESEARCH USE ONLY. NOT FOR USE IN DIAGNOSTIC OR THERAPEUTIC PROCEDURES'.

For licensing inquiries, please contact partnerships@abcam.com