JavaScript is disabled in your browser. Please enable JavaScript to view this website.
AB115819

Anti-iNOS antibody [SP126]

3

(4 Reviews)

|

(37 Publications)

Anti-iNOS antibody [SP126] (ab115819) is a rabbit monoclonal antibody detecting iNOS in Flow Cytometry (Intra), Flow Cytometry, IHC-P. Suitable for Human, Mouse.

- Biophysical QC for unrivalled batch-batch consistency
- Over 20 publications

View Alternative Names

NOS2A, NOS2, Hepatocyte NOS, Inducible NO synthase, NOS type II, Peptidyl-cysteine S-nitrosylase NOS2, HEP-NOS, Inducible NOS, iNOS

5 Images
Immunohistochemistry (Formalin/PFA-fixed paraffin-embedded sections) - Anti-iNOS antibody [SP126] (AB115819)
  • IHC-P

Unknown

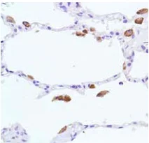
Immunohistochemistry (Formalin/PFA-fixed paraffin-embedded sections) - Anti-iNOS antibody [SP126] (AB115819)

Immunohistochemistry (Formalin/PFA-fixed paraffin-embedded sections) analysis of human lung tissue sections labeling iNOS with Purified ab115819 at 1/100 dilution (0.65 μg/ml).

Heat mediated antigen retrieval was performed using sodium citrate buffer, pH 6.0.

Goat Anti-Rabbit IgG H&L (HRP) was used as the secondary antibody.

Negative control : PBS instead of the primary antibody.

Hematoxylin was used as a counterstain.

Immunohistochemistry (Formalin/PFA-fixed paraffin-embedded sections) - Anti-iNOS antibody [SP126] (AB115819)
  • IHC-P

Supplier Data

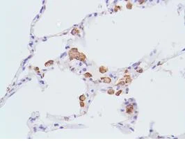
Immunohistochemistry (Formalin/PFA-fixed paraffin-embedded sections) - Anti-iNOS antibody [SP126] (AB115819)

Formalin-fixed, paraffin-embedded human lung stained for iNOS using ab115819 at a dilution of 1/100 in immunohistochemical analysis.

Immunohistochemistry (Formalin/PFA-fixed paraffin-embedded sections) - Anti-iNOS antibody [SP126] (AB115819)
  • IHC-P

Unknown

Immunohistochemistry (Formalin/PFA-fixed paraffin-embedded sections) - Anti-iNOS antibody [SP126] (AB115819)

Formalin-fixed, paraffin-embedded human lung stained for iNOS using ab115819 at a dilution of 1/100 in immunohistochemical analysis.

Immunohistochemistry (Formalin/PFA-fixed paraffin-embedded sections) - Anti-iNOS antibody [SP126] (AB115819)
  • IHC-P

Unknown

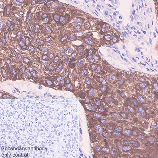
Immunohistochemistry (Formalin/PFA-fixed paraffin-embedded sections) - Anti-iNOS antibody [SP126] (AB115819)

Immunohistochemistry (Formalin/PFA-fixed paraffin-embedded sections) analysis of human lung carcinoma tissue sections labeling iNOS with Purified ab115819 at 1/100 dilution (0.65 μg/ml).

Heat mediated antigen retrieval was performed using sodium citrate buffer, pH 6.0.

Goat Anti-Rabbit IgG H&L (HRP) was used as the secondary antibody.

Negative control : PBS instead of the primary antibody.

Hematoxylin was used as a counterstain.

Flow Cytometry (Intracellular) - Anti-iNOS antibody [SP126] (AB115819)
  • Flow Cyt (Intra)

Unknown

Flow Cytometry (Intracellular) - Anti-iNOS antibody [SP126] (AB115819)

Flow cytometry analysis of RAW 264.7 (mouse macrophage cell line transformed with Abelson murine leukemia virus) cells treated with 0.1ug/ml Lipopolysaccharides for 24hours labeling iNOS with purified ab115819 (red). Cells were fixed with 4% paraformaldehyde and permeabilised with 90% methanol. Goat anti rabbit IgG (Alexa Fluor® 488, ab150081) was used as a secondary antibody. Isotype control - Rabbit monoclonal IgG (ab172730) (Black). Unlableled control - Unlabelled cells (blue).

Key facts

Host species

Rabbit

Clonality

Monoclonal

Clone number

SP126

Isotype

IgG

Carrier free

No

Reacts with

Mouse, Human

Applications

Flow Cyt (Intra), IHC-P

applications

Immunogen

The exact immunogen used to generate this antibody is proprietary information.

Specificity

Not suitable for mouse IHC-P.

Reactivity data

{ "title": "Reactivity Data", "filters": { "stats": ["", "Species", "Dilution Info", "Notes"], "tabs": { "all-applications": {"fullname" : "All Applications", "shortname": "All Applications"}, "IHCP" : {"fullname" : "Immunohistochemistry (Formalin/PFA-fixed paraffin-embedded sections)", "shortname":"IHC-P"}, "FlowCytIntra" : {"fullname" : "Flow Cytometry (Intracellular)", "shortname":"Flow Cyt (Intra)"}, "WB" : {"fullname" : "Western blot", "shortname":"WB"}, "ELISA" : {"fullname" : "ELISA", "shortname":"ELISA"} }, "product-promise": { "all": "all", "testedAndGuaranteed": "tested", "guaranteed": "expected", "predicted": "predicted", "notRecommended": "not-recommended" } }, "values": { "Human": { "IHCP-species-checked": "testedAndGuaranteed", "IHCP-species-dilution-info": "1/100", "IHCP-species-notes": "<p>Boil tissue section in Citrate buffer, pH 6.0 for 10 minutes followed by cooling at room temperature for 20 minutes.</p><p>Incubate with primary antibody for 10 minutes at room temperature.</p>", "FlowCytIntra-species-checked": "guaranteed", "FlowCytIntra-species-dilution-info": "", "FlowCytIntra-species-notes": "", "WB-species-checked": "notRecommended", "WB-species-dilution-info": "", "WB-species-notes": "<p></p>", "ELISA-species-checked": "notRecommended", "ELISA-species-dilution-info": "", "ELISA-species-notes": "<p></p>" }, "Mouse": { "IHCP-species-checked": "notRecommended", "IHCP-species-dilution-info": "1/100", "IHCP-species-notes": "<p></p>", "FlowCytIntra-species-checked": "testedAndGuaranteed", "FlowCytIntra-species-dilution-info": "", "FlowCytIntra-species-notes": "<p></p>", "WB-species-checked": "notRecommended", "WB-species-dilution-info": "", "WB-species-notes": "<p></p>", "ELISA-species-checked": "notRecommended", "ELISA-species-dilution-info": "", "ELISA-species-notes": "<p></p>" }, "Rat": { "IHCP-species-checked": "notRecommended", "IHCP-species-dilution-info": "", "IHCP-species-notes": "", "FlowCytIntra-species-checked": "predicted", "FlowCytIntra-species-dilution-info": "", "FlowCytIntra-species-notes": "", "WB-species-checked": "notRecommended", "WB-species-dilution-info": "", "WB-species-notes": "", "ELISA-species-checked": "notRecommended", "ELISA-species-dilution-info": "", "ELISA-species-notes": "" } } }

Product details

What is this antibody validated in?
Anti-iNOS antibody [SP126] (ab115819) is a rabbit recombinant monoclonal antibody and is validated for use in Flow Cytometry (Intra), Flow Cytometry (Flow Cyt), Immunohistochemistry (IHC-P) in Human, Mouse samples.

Collaboration
Anti-iNOS [SP126] (ab115819) is a clone from the portfolio of Spring Bioscience (Roche) SP clones which have been optimised for immunohistochemistry (IHC).

Trusted by the scientific community
Anti-iNOS [SP126] (ab115819) was first used in a scientific publication in 2011 and has been cited over 20 times in peer-reviewed journals.

Trial sizes available!
Test your antibody or perform pre-screening before committing to a larger quantity. Sold in 10µl. Discover our selection of trial-size antibodies.

Other related products
We have a range of other formats of antibody clone [SP126] also available for your convenience: ab115819, Carrier free - ab239990, ab279573, Alexa Fluor® 488 - ab317527, Alexa Fluor® 750 - ab320971, APC - ab310816, PE - ab310895, Alexa Fluor® 594 - ab311661, Alexa Fluor® 568 - ab312935

Properties and storage information

Form
Liquid
Purification technique
Affinity purification Protein A/G
Purification notes
Purified from TCS by Protein A/G.
Storage buffer
pH: 7.6 Preservative: 0.1% Sodium azide Constituents: PBS, 1% BSA
Shipped at conditions
Blue Ice
Appropriate short-term storage duration
1-2 weeks
Appropriate short-term storage conditions
+4°C
Appropriate long-term storage conditions
-20°C
Aliquoting information
Upon delivery aliquot
Storage information
Avoid freeze / thaw cycle

Supplementary information

This supplementary information is collated from multiple sources and compiled automatically.

Inducible Nitric Oxide Synthase commonly referred to as iNOS or NOS2 is an important enzyme in the production of nitric oxide (NO) from L-arginine. This enzyme has a molecular weight of approximately 130 kDa and is expressed in various cell types including macrophages and hepatocytes. iNOS becomes active in response to inflammatory stimuli and can produce large amounts of NO for extended periods. Western blotting and iNOS ELISA kits are frequently used methods to detect and quantify the presence and activity of iNOS in different biological samples.
Biological function summary

INOS plays a significant role in the immune system by participating in the defense against pathogens. The enzyme is part of a molecular complex that generates NO which acts as a signaling molecule and has antimicrobial properties. iNOS activity is induced during immune responses and contributes to the elimination of bacteria and viruses through the production of reactive nitrogen species. Its expression is tightly regulated by cytokines and other signaling molecules that modulate the extent of its action.

Pathways

INOS integrates into the nitric oxide signaling pathway and is closely associated with inflammatory pathways. NO serves as a messenger within the nitric oxide signaling pathway facilitating processes like vasodilation and neurotransmission. iNOS works alongside other proteins such as cytokines like interferon-gamma that elevate its activity during inflammation and immune responses. The regulation of iNOS expression and activity plays an essential role in maintaining immune homeostasis and ensuring proper response to infections.

INOS is linked to conditions characterized by excessive inflammation such as rheumatoid arthritis and sepsis. In these diseases overproduction of nitric oxide by iNOS can lead to tissue damage and exacerbate symptoms. Additionally iNOS is associated with the protein TNF-alpha as its expression is often driven by inflammatory mediators during disease states. Understanding the role of iNOS in such conditions provides insights into potential therapeutic targets for managing inflammatory diseases.

Product protocols

For this product, it's our understanding that no specific protocols are required. You can visit:

Target data

Produces nitric oxide (NO) which is a messenger molecule with diverse functions throughout the body (PubMed : 7504305, PubMed : 7531687, PubMed : 7544004, PubMed : 7682706). In macrophages, NO mediates tumoricidal and bactericidal actions. Also has nitrosylase activity and mediates cysteine S-nitrosylation of cytoplasmic target proteins such PTGS2/COX2 (By similarity). As component of the iNOS-S100A8/9 transnitrosylase complex involved in the selective inflammatory stimulus-dependent S-nitrosylation of GAPDH on 'Cys-247' implicated in regulation of the GAIT complex activity and probably multiple targets including ANXA5, EZR, MSN and VIM (PubMed : 25417112). Involved in inflammation, enhances the synthesis of pro-inflammatory mediators such as IL6 and IL8 (PubMed : 19688109).
See full target information NOS2

Publications (37)

Recent publications for all applications. Explore the full list and refine your search

Journal of nanobiotechnology 23:469 PubMed40598231

2025

Targeting YTHDF2 with pH-responsive siRNA nanoparticles suppresses MYC m6A modification and restores antitumor immunity in hepatocellular carcinoma.

Applications

Unspecified application

Species

Unspecified reactive species

Ziqi Guo,Qiuling Huang,Zhenzhen Cui,Cheng Yang,Liu Yang

Journal of translational medicine 23:661 PubMed40528192

2025

The pasteurized Weissella cibaria alleviates sepsis-induced acute lung injury by modulation of intestinal mucus barrier and gut microbiota.

Applications

Unspecified application

Species

Unspecified reactive species

Yuanzhe Li,Debin Yang,Huan Zhao,Liping Dou,Qian Chen,Yibing Cheng,Bo Hu,Yu Tang,Yongtao Duan,Caili Guo,Abbas Sakandar,Dong Li

The Korean journal of physiology & pharmacology : official journal of the Korean Physiological Society and the Korean Society of Pharmacology 29:443-454 PubMed40211759

2025

Colla Carapacis et Plastri ameliorates postmenopausal osteoporosis and macrophage immunity by modulating the RANK/RANKL/OPG signaling pathway in ovariectomized rats.

Applications

Unspecified application

Species

Unspecified reactive species

Wenyuan Wan,Zhenling Peng,Juan Luo,Jie Luo,Yingying Zhu

Molecules (Basel, Switzerland) 30: PubMed40005151

2025

Rocaglamide Suppresses Allergic Reactions by Regulating IL-4 Receptor Signaling.

Applications

Unspecified application

Species

Unspecified reactive species

Hyein Jo,Misun Kim,Jaewhoon Jeoung,Wonho Kim,Yoon Ho Park,Hyun Suk Jung,Wook Lee,Dooil Jeoung

Frontiers in immunology 15:1512180 PubMed39749332

2025

Inhibition of the MyD88 signaling pathway could upregulates Ghrelin expression to synergistically regulate hepatic -infected progression.

Applications

Unspecified application

Species

Unspecified reactive species

Jiang Zhu,Tanfang Zhou,Guangfeng Chen,Yuhui Wu,Xia Chen,Ya Song,Ayinula Tuohetali,Huijing Gao,Dongming Pang,Hao Wen,Kalibixiati Aimulajiang

Advanced science (Weinheim, Baden-Wurttemberg, Germany) 12:e2401127 PubMed39737867

2024

Mechanical Force-Induced cGAS Activation in Carcinoma Cells Facilitates Splenocytes into Liver to Drive Metastasis.

Applications

Unspecified application

Species

Unspecified reactive species

Xurui Zhang,Na Huang,Yanhua Mu,Haiyan Chen,Mengchen Zhu,Shaoying Zhang,Pengfei Liu,Hailong Zhang,Huan Deng,Keping Feng,Qi Shang,Xi Liu,Chen Zhang,Mengjiao Shi,Lan Yang,Jin Sun,Guangyao Kong,Jing Geng,Shemin Lu,Zongfang Li

ACS nano 18:30405-30420 PubMed39453865

2024

Mitochondrial Bioenergetics of Functional Wound Closure is Dependent on Macrophage-Keratinocyte Exosomal Crosstalk.

Applications

Unspecified application

Species

Unspecified reactive species

Anu Sharma,Rajneesh Srivastava,Surya C Gnyawali,Pramod Bhasme,Adam J Anthony,Yi Xuan,Jonathan C Trinidad,Chandan K Sen,David E Clemmer,Sashwati Roy,Subhadip Ghatak

Translational cancer research 13:4694-4701 PubMed39430823

2024

Clinicopathological study of fractional exhaled nitric oxide dynamics and intratumoral inducible nitric oxide synthase expression in primary lung cancer patients.

Applications

Unspecified application

Species

Unspecified reactive species

Keigo Okamoto,Yo Kawaguchi,Takuya Shiratori,Yasuhiko Oshio,Jun Hanaoka

International journal of molecular sciences 25: PubMed39337474

2024

The Influence of N-Acetylcysteine-Enriched Hydrogels on Wound Healing in a Murine Model of Type II Diabetes Mellitus.

Applications

Unspecified application

Species

Unspecified reactive species

Albert Stachura,Marcin Sobczak,Karolina Kędra,Michał Kopka,Karolina Kopka,Paweł K Włodarski

Tropical medicine and infectious disease 9: PubMed38922041

2024

Therapeutic Modulation of Arginase with nor-NOHA Alters Immune Responses in Experimental Mouse Models of Pulmonary Tuberculosis including in the Setting of Human Immunodeficiency Virus (HIV) Co-Infection.

Applications

Unspecified application

Species

Unspecified reactive species

Sadhana Chauhan,Rebecca J Nusbaum,Matthew B Huante,Alex J Holloway,Mark A Endsley,Benjamin B Gelman,Joshua G Lisinicchia,Janice J Endsley
View all publications

Product promise

We are committed to supporting your work with high-quality reagents, and we're here for you every step of the way. In the unlikely event that one of our products does not perform as expected, you're protected by our Product Promise.
For full details, please see our Terms & Conditions

Please note: All products are 'FOR RESEARCH USE ONLY. NOT FOR USE IN DIAGNOSTIC OR THERAPEUTIC PROCEDURES'.

For licensing inquiries, please contact partnerships@abcam.com