JavaScript is disabled in your browser. Please enable JavaScript to view this website.
AB239990

Anti-iNOS antibody [SP126] - BSA and Azide free

5

(2 Reviews)

|

(7 Publications)

Anti-iNOS antibody [SP126] - BSA and Azide free (ab239990) is a rabbit recombinant monoclonal antibody provided in a PBS only buffer for easy conjugation detecting iNOS in Flow Cytometry (Intra), IHC-P. Suitable for Human, Mouse.

- BSA, sodium azide, and glycerol-free for easy conjugation
- Biophysical QC for unrivalled batch-batch consistency

View Alternative Names

NOS2A, NOS2, Hepatocyte NOS, Inducible NO synthase, NOS type II, Peptidyl-cysteine S-nitrosylase NOS2, HEP-NOS, Inducible NOS, iNOS

5 Images
Immunohistochemistry (Formalin/PFA-fixed paraffin-embedded sections) - Anti-iNOS antibody [SP126] - BSA and Azide free (AB239990)
  • IHC-P

Unknown

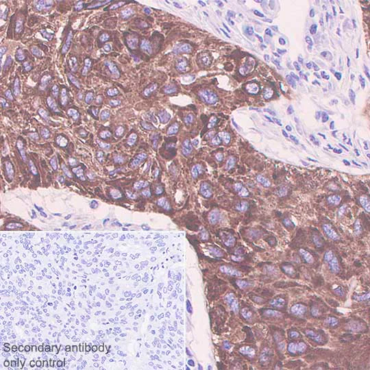
Immunohistochemistry (Formalin/PFA-fixed paraffin-embedded sections) - Anti-iNOS antibody [SP126] - BSA and Azide free (AB239990)

Immunohistochemistry (Formalin/PFA-fixed paraffin-embedded sections) analysis of Human lung tissue sections labeling iNOS with Purified ab115819 at 1/100 dilution (0.65 µg/ml). Heat mediated antigen retrieval was performed Heat mediated antigen retrieval using sodium citrate buffer, pH 6.0. Goat Anti-Rabbit IgG H&L (HRP) was used as the secondary antibody. Negative control : PBS instead of the primary antibody. Hematoxylin was used as a counterstain.
This data was developed using the same antibody clone in a different buffer formulation containing PBS, BSA, glycerol, and sodium azide (ab115819)

Immunohistochemistry (Formalin/PFA-fixed paraffin-embedded sections) - Anti-iNOS antibody [SP126] - BSA and Azide free (AB239990)
  • IHC-P

Supplier Data

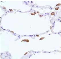
Immunohistochemistry (Formalin/PFA-fixed paraffin-embedded sections) - Anti-iNOS antibody [SP126] - BSA and Azide free (AB239990)

Formalin-fixed, paraffin-embedded human lung stained for iNOS using ab115819 at a dilution of 1/100 in immunohistochemical analysis.

This data was developed using the same antibody clone in a different buffer formulation containing PBS, BSA, and sodium azide (ab115819).

Immunohistochemistry (Formalin/PFA-fixed paraffin-embedded sections) - Anti-iNOS antibody [SP126] - BSA and Azide free (AB239990)
  • IHC-P

Unknown

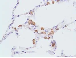
Immunohistochemistry (Formalin/PFA-fixed paraffin-embedded sections) - Anti-iNOS antibody [SP126] - BSA and Azide free (AB239990)

Formalin-fixed, paraffin-embedded human lung stained for iNOS using ab115819 at a dilution of 1/100 in immunohistochemical analysis.

This data was developed using the same antibody clone in a different buffer formulation containing PBS, BSA, glycerol, and sodium azide (ab115819).

Immunohistochemistry (Formalin/PFA-fixed paraffin-embedded sections) - Anti-iNOS antibody [SP126] - BSA and Azide free (AB239990)
  • IHC-P

Unknown

Immunohistochemistry (Formalin/PFA-fixed paraffin-embedded sections) - Anti-iNOS antibody [SP126] - BSA and Azide free (AB239990)

Immunohistochemistry (Formalin/PFA-fixed paraffin-embedded sections) analysis of Human lung carcinoma tissue sections labeling iNOS with Purified ab115819 at 1/100 dilution (0.65 µg/ml). Heat mediated antigen retrieval was performed Heat mediated antigen retrieval using sodium citrate buffer, pH 6.0. Goat Anti-Rabbit IgG H&L (HRP) was used as the secondary antibody. Negative control : PBS instead of the primary antibody. Hematoxylin was used as a counterstain.
This data was developed using the same antibody clone in a different buffer formulation containing PBS, BSA, glycerol, and sodium azide (ab115819)

Flow Cytometry (Intracellular) - Anti-iNOS antibody [SP126] - BSA and Azide free (AB239990)
  • Flow Cyt (Intra)

Unknown

Flow Cytometry (Intracellular) - Anti-iNOS antibody [SP126] - BSA and Azide free (AB239990)

Intracellular Flow Cytometry analysis of Raw264.7 cells treated with 0.1ug/ml Lipopolysaccharides for 24hours labeling iNOS with purified ab115819 at 1/200 dilution (0.48μg/ml) (red). Cells were fixed with 4% paraformaldehyde and permeabilised with 90% methanol. Goat anti rabbit IgG (Alexa Fluor® 488, ab150081) at 1/2000 dilution was used as a secondary antibody. Isotypecontrol - Rabbit monoclonal IgG (ab172730) (black). Unlableled control - Unlabelled cells (blue).

This data was developed using the same antibody clone in a different buffer formulation containing PBS, BSA, glycerol, and sodium azide (ab115819).

Key facts

Host species

Rabbit

Clonality

Monoclonal

Clone number

SP126

Isotype

IgG

Carrier free

Yes

Reacts with

Mouse, Human

Applications

IHC-P, Flow Cyt (Intra)

applications

Immunogen

The exact immunogen used to generate this antibody is proprietary information.

Specificity

Not suitable for mouse IHC-P.

Reactivity data

{ "title": "Reactivity Data", "filters": { "stats": ["", "Species", "Dilution Info", "Notes"], "tabs": { "all-applications": {"fullname" : "All Applications", "shortname": "All Applications"}, "IHCP" : {"fullname" : "Immunohistochemistry (Formalin/PFA-fixed paraffin-embedded sections)", "shortname":"IHC-P"}, "FlowCytIntra" : {"fullname" : "Flow Cytometry (Intracellular)", "shortname":"Flow Cyt (Intra)"}, "ELISA" : {"fullname" : "ELISA", "shortname":"ELISA"}, "WB" : {"fullname" : "Western blot", "shortname":"WB"} }, "product-promise": { "all": "all", "testedAndGuaranteed": "tested", "guaranteed": "expected", "predicted": "predicted", "notRecommended": "not-recommended" } }, "values": { "Human": { "IHCP-species-checked": "testedAndGuaranteed", "IHCP-species-dilution-info": "", "IHCP-species-notes": "<p>Boil tissue section in Citrate buffer, pH 6.0 for 10 minutes followed by cooling at room temperature for 20 minutes.Incubate with primary antibody for 10 minutes at room temperature.</p>", "FlowCytIntra-species-checked": "guaranteed", "FlowCytIntra-species-dilution-info": "", "FlowCytIntra-species-notes": "", "ELISA-species-checked": "notRecommended", "ELISA-species-dilution-info": "", "ELISA-species-notes": "<p></p>", "WB-species-checked": "notRecommended", "WB-species-dilution-info": "", "WB-species-notes": "<p></p>" }, "Mouse": { "IHCP-species-checked": "notRecommended", "IHCP-species-dilution-info": "", "IHCP-species-notes": "<p>Boil tissue section in Citrate buffer, pH 6.0 for 10 minutes followed by cooling at room temperature for 20 minutes.Incubate with primary antibody for 10 minutes at room temperature.</p>", "FlowCytIntra-species-checked": "testedAndGuaranteed", "FlowCytIntra-species-dilution-info": "", "FlowCytIntra-species-notes": "<p></p>", "ELISA-species-checked": "notRecommended", "ELISA-species-dilution-info": "", "ELISA-species-notes": "<p></p>", "WB-species-checked": "notRecommended", "WB-species-dilution-info": "", "WB-species-notes": "<p></p>" }, "Rat": { "IHCP-species-checked": "notRecommended", "IHCP-species-dilution-info": "", "IHCP-species-notes": "", "FlowCytIntra-species-checked": "predicted", "FlowCytIntra-species-dilution-info": "", "FlowCytIntra-species-notes": "", "ELISA-species-checked": "notRecommended", "ELISA-species-dilution-info": "", "ELISA-species-notes": "", "WB-species-checked": "notRecommended", "WB-species-dilution-info": "", "WB-species-notes": "" } } }

Product details

What is this antibody validated in?
Anti-iNOS antibody [SP126] - BSA and Azide free (ab239990) is a rabbit recombinant monoclonal antibody and is validated for use in Flow Cytometry (Intra), Flow Cytometry (Flow Cyt), Immunohistochemistry (IHC-P) in Human, Mouse samples.

Collaboration
Anti-iNOS [SP126] - BSA and Azide free (ab239990) is a clone from the portfolio of Spring Bioscience (Roche) SP clones which have been optimised for immunohistochemistry (IHC).

Other related products
We have a range of other formats of antibody clone [SP126] also available for your convenience: ab115819, Carrier free - ab239990, ab279573, Alexa Fluor® 488 - ab317527, Alexa Fluor® 750 - ab320971, APC - ab310816, PE - ab310895, Alexa Fluor® 594 - ab311661, Alexa Fluor® 568 - ab312935

What are the advantages of a recombinant monoclonal antibody?
This product is a recombinant monoclonal antibody, which offers several advantages including:

  • - High batch-to-batch consistency and reproducibility
  • - Improved sensitivity and specificity
  • - Long-term security of supply
  • - Animal-free batch production

For more information, read more on recombinant antibodies.

Conjugation ready
Our carrier-free antibodies are typically supplied in a PBS-only formulation, purified and free of BSA, sodium azide and glycerol. This conjugation-ready format is designed for use with fluorochromes, metal isotopes, oligonucleotides, and enzymes, which makes them ideal for antibody labelling, functional and cell-based assays, flow-based assays (e.g. mass cytometry) and Multiplex Imaging applications.

Use our conjugation kits for antibody conjugates that are ready-to-use in as little as 20 minutes with 1 minute hands-on-time and 100% antibody recovery: available for fluorescent dyes, HRP, biotin and gold.

Compatibility
This product is compatible with the Maxpar® Antibody Labeling Kit from Fluidigm, without the need for antibody preparation. Maxpar® is a trademark of Fluidigm Canada Inc.

Properties and storage information

Form
Liquid
Purification technique
Affinity purification Protein A/G
Purification notes
Purified from TCS by Protein A/G.
Storage buffer
pH: 7.2 - 7.4 Constituents: PBS
Shipped at conditions
Blue Ice
Appropriate short-term storage conditions
+4°C
Appropriate long-term storage conditions
+4°C
Storage information
Do Not Freeze

Supplementary information

This supplementary information is collated from multiple sources and compiled automatically.

Inducible Nitric Oxide Synthase commonly referred to as iNOS or NOS2 is an important enzyme in the production of nitric oxide (NO) from L-arginine. This enzyme has a molecular weight of approximately 130 kDa and is expressed in various cell types including macrophages and hepatocytes. iNOS becomes active in response to inflammatory stimuli and can produce large amounts of NO for extended periods. Western blotting and iNOS ELISA kits are frequently used methods to detect and quantify the presence and activity of iNOS in different biological samples.
Biological function summary

INOS plays a significant role in the immune system by participating in the defense against pathogens. The enzyme is part of a molecular complex that generates NO which acts as a signaling molecule and has antimicrobial properties. iNOS activity is induced during immune responses and contributes to the elimination of bacteria and viruses through the production of reactive nitrogen species. Its expression is tightly regulated by cytokines and other signaling molecules that modulate the extent of its action.

Pathways

INOS integrates into the nitric oxide signaling pathway and is closely associated with inflammatory pathways. NO serves as a messenger within the nitric oxide signaling pathway facilitating processes like vasodilation and neurotransmission. iNOS works alongside other proteins such as cytokines like interferon-gamma that elevate its activity during inflammation and immune responses. The regulation of iNOS expression and activity plays an essential role in maintaining immune homeostasis and ensuring proper response to infections.

INOS is linked to conditions characterized by excessive inflammation such as rheumatoid arthritis and sepsis. In these diseases overproduction of nitric oxide by iNOS can lead to tissue damage and exacerbate symptoms. Additionally iNOS is associated with the protein TNF-alpha as its expression is often driven by inflammatory mediators during disease states. Understanding the role of iNOS in such conditions provides insights into potential therapeutic targets for managing inflammatory diseases.

Product protocols

For this product, it's our understanding that no specific protocols are required. You can visit:

Target data

Produces nitric oxide (NO) which is a messenger molecule with diverse functions throughout the body (PubMed : 7504305, PubMed : 7531687, PubMed : 7544004, PubMed : 7682706). In macrophages, NO mediates tumoricidal and bactericidal actions. Also has nitrosylase activity and mediates cysteine S-nitrosylation of cytoplasmic target proteins such PTGS2/COX2 (By similarity). As component of the iNOS-S100A8/9 transnitrosylase complex involved in the selective inflammatory stimulus-dependent S-nitrosylation of GAPDH on 'Cys-247' implicated in regulation of the GAIT complex activity and probably multiple targets including ANXA5, EZR, MSN and VIM (PubMed : 25417112). Involved in inflammation, enhances the synthesis of pro-inflammatory mediators such as IL6 and IL8 (PubMed : 19688109).
See full target information NOS2

Publications (7)

Recent publications for all applications. Explore the full list and refine your search

Cell division 20:22 PubMed41039618

2025

FGF4 drives tumor progression in triple-negative breast cancer via IL6/STAT3-mediated macrophage M2 polarization and immune suppression.

Applications

Unspecified application

Species

Unspecified reactive species

Xuanhe Zhang,Shushan Zhang,Yuanyuan Han

Frontiers in oncology 14:1340184 PubMed38817895

2024

Analysis of tumor microenvironment composition in vestibular schwannomas: insights into NF2-associated and sporadic variations and their clinical correlations.

Applications

Unspecified application

Species

Unspecified reactive species

Vera Nickl,David Ziebolz,Charlotte Rumpel,Dennis Klein,Robert Nickl,Eva Rampeltshammer,Camelia M Monoranu,Ralf-Ingo Ernestus,Cordula Matthies,Mario Löhr,Carsten Hagemann,Maria Breun

Chinese medicine 18:143 PubMed37919806

2023

Xinyang tablet ameliorates sepsis-induced myocardial dysfunction by regulating Beclin-1 to mediate macrophage autophagy and M2 polarization through LncSICRNT1 targeting E3 ubiquitin ligase TRAF6.

Applications

Unspecified application

Species

Unspecified reactive species

Yuanyuan Luo,Yuanmei Li,Liwei He,Haitao Tu,Xinfeng Lin,Fengli Zhao,Yusheng Huang,Minyong Wen,Lingjun Wang,Zhongqi Yang

Cell metabolism 35:1209-1226.e13 PubMed37172577

2023

Extracellular vesicles in fatty liver promote a metastatic tumor microenvironment.

Applications

Unspecified application

Species

Unspecified reactive species

Zhijun Wang,So Yeon Kim,Wei Tu,Jieun Kim,Alexander Xu,Yoon Mee Yang,Michitaka Matsuda,Lien Reolizo,Takashi Tsuchiya,Sandrine Billet,Alexandra Gangi,Mazen Noureddin,Ben A Falk,Sungjin Kim,Wei Fan,Mourad Tighiouart,Sungyong You,Michael S Lewis,Stephen J Pandol,Dolores Di Vizio,Akil Merchant,Edwin M Posadas,Neil A Bhowmick,Shelly C Lu,Ekihiro Seki

Nature communications 13:1303 PubMed35288557

2022

The arginine methyltransferase PRMT7 promotes extravasation of monocytes resulting in tissue injury in COPD.

Applications

Unspecified application

Species

Unspecified reactive species

Gizem Günes Günsel,Thomas M Conlon,Aicha Jeridi,Rinho Kim,Zeynep Ertüz,Niklas J Lang,Meshal Ansari,Mariia Novikova,Dongsheng Jiang,Maximilian Strunz,Mariia Gaianova,Christine Hollauer,Christina Gabriel,Ilias Angelidis,Sebastian Doll,Jeanine C Pestoni,Stephanie L Edelmann,Marlene Sophia Kohlhepp,Adrien Guillot,Kevin Bassler,Hannelore P Van Eeckhoutte,Özgecan Kayalar,Nur Konyalilar,Tamara Kanashova,Sophie Rodius,Carolina Ballester-López,Carlos M Genes Robles,Natalia Smirnova,Markus Rehberg,Charu Agarwal,Ioanna Krikki,Benoit Piavaux,Stijn E Verleden,Bart Vanaudenaerde,Melanie Königshoff,Gunnar Dittmar,Ken R Bracke,Joachim L Schultze,Henrik Watz,Oliver Eickelberg,Tobias Stoeger,Gerald Burgstaller,Frank Tacke,Vigo Heissmeyer,Yuval Rinkevich,Hasan Bayram,Herbert B Schiller,Marcus Conrad,Robert Schneider,Ali Önder Yildirim

Frontiers in cell and developmental biology 9:554831 PubMed34336814

2021

Transcription Factor DLX5 Promotes Hair Follicle Stem Cell Differentiation by Regulating the c-MYC/microRNA-29c-3p/NSD1 Axis.

Applications

Unspecified application

Species

Unspecified reactive species

Bojie Lin,Jiangying Zhu,Guoqian Yin,Mingde Liao,Guanyu Lin,Yuyong Yan,Dan Huang,Siding Lu

British journal of cancer 125:176-189 PubMed33795809

2021

CD8 T cells inhibit metastasis and CXCL4 regulates its function.

Applications

Unspecified application

Species

Unspecified reactive species

Robiya Joseph,Rama Soundararajan,Suhas Vasaikar,Fei Yang,Kendra L Allton,Lin Tian,Petra den Hollander,Sevinj Isgandarova,Monika Haemmerle,Barbara Mino,Tieling Zhou,Crystal Shin,Melisa Martinez-Paniagua,Aysegul A Sahin,Jaime Rodriguez-Canales,Juri Gelovani,Jeffrey T Chang,Ghanashyam Acharya,Anil K Sood,Ignacio I Wistuba,Don L Gibbons,Luisa M Solis,Michelle C Barton,Navin Varadarajan,Jeffrey M Rosen,Xiang H Zhang,Sendurai A Mani
View all publications

Product promise

We are committed to supporting your work with high-quality reagents, and we're here for you every step of the way. In the unlikely event that one of our products does not perform as expected, you're protected by our Product Promise.
For full details, please see our Terms & Conditions

Please note: All products are 'FOR RESEARCH USE ONLY. NOT FOR USE IN DIAGNOSTIC OR THERAPEUTIC PROCEDURES'.

For licensing inquiries, please contact partnerships@abcam.com