JavaScript is disabled in your browser. Please enable JavaScript to view this website.
AB249397

Anti-INPPL1/SHIP-2 antibody [EPR10955] - BSA and Azide free

Be the first to review this product! Submit a review

|

(0 Publication)

Rabbit Recombinant Monoclonal INPPL1/SHIP-2 antibody. Carrier free. Suitable for IHC-P, ICC/IF, WB and reacts with Human, Mouse, Rat samples.

View Alternative Names

SHIP2, INPPL1, Inositol polyphosphate phosphatase-like protein 1, Protein 51C, SH2 domain-containing inositol 5'-phosphatase 2, INPPL-1, SH2 domain-containing inositol phosphatase 2, SHIP-2

6 Images
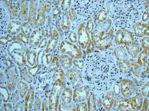
Immunohistochemistry (Formalin/PFA-fixed paraffin-embedded sections) - Anti-INPPL1/SHIP-2 antibody [EPR10955] - BSA and Azide free (AB249397)
  • IHC-P

Unknown

Immunohistochemistry (Formalin/PFA-fixed paraffin-embedded sections) - Anti-INPPL1/SHIP-2 antibody [EPR10955] - BSA and Azide free (AB249397)

This data was developed using ab166916, the same antibody clone in a different buffer formulation.

Immunohistochemical analysis of paraffin-embedded Human kidney tissue labeling INPPL1/SHIP-2 with ab166916 at 1/100 dilution.

Perform heat mediated antigen retrieval with citrate buffer pH 6 before commencing with IHC staining protocol.

Immunocytochemistry/ Immunofluorescence - Anti-INPPL1/SHIP-2 antibody [EPR10955] - BSA and Azide free (AB249397)
  • ICC/IF

Unknown

Immunocytochemistry/ Immunofluorescence - Anti-INPPL1/SHIP-2 antibody [EPR10955] - BSA and Azide free (AB249397)

This data was developed using ab166916, the same antibody clone in a different buffer formulation.

Immunofluorescent analysis of HeLa cells labeling INPPL1/SHIP-2 with ab166916 at 1/100 dilution.

Immunohistochemistry (Formalin/PFA-fixed paraffin-embedded sections) - Anti-INPPL1/SHIP-2 antibody [EPR10955] - BSA and Azide free (AB249397)
  • IHC-P

Unknown

Immunohistochemistry (Formalin/PFA-fixed paraffin-embedded sections) - Anti-INPPL1/SHIP-2 antibody [EPR10955] - BSA and Azide free (AB249397)

This data was developed using ab166916, the same antibody clone in a different buffer formulation.

Immunohistochemical analysis of paraffin-embedded Human heart tissue labeling INPPL1/SHIP-2 with ab166916 at 1/100 dilution.

Perform heat mediated antigen retrieval with citrate buffer pH 6 before commencing with IHC staining protocol.

Western blot - Anti-INPPL1/SHIP-2 antibody [EPR10955] - BSA and Azide free (AB249397)
  • WB

Unknown

Western blot - Anti-INPPL1/SHIP-2 antibody [EPR10955] - BSA and Azide free (AB249397)

This data was developed using ab166916, the same antibody clone in a different buffer formulation.

All lanes:

Western blot - Anti-INPPL1/SHIP-2 antibody [EPR10955] (<a href='/en-us/products/primary-antibodies/inppl1-ship-2-antibody-epr10955-ab166916'>ab166916</a>) at 1/1000 dilution

Lane 1:

K562 cell lysate at 10 µg

Lane 2:

HeLa cell lysate at 10 µg

Predicted band size: 139 kDa

false

Western blot - Anti-INPPL1/SHIP-2 antibody [EPR10955] - BSA and Azide free (AB249397)
  • WB

Lab

Western blot - Anti-INPPL1/SHIP-2 antibody [EPR10955] - BSA and Azide free (AB249397)

This data was developed using ab166916, the same antibody clone in a different buffer formulation.

Lane 1 : Wild-type HAP1 whole cell lysate (20 μg)

Lane 2 : INPPL1/SHIP-2 knockout HAP1 whole cell lysate (20 μg)

Lane 3 : HeLa whole cell lysate (20 μg)

Lane 4 : K562 whole cell lysate (20 μg)

Lanes 1 - 4 : Merged signal (red and green). Green - ab166916 observed at 139 kDa. Red - loading control, ab9484, observed at 37 kDa.

ab166916 was shown to specifically react with INPPL1/SHIP-2 in wild-type HAP1 cells. No band was observed when INPPL1/SHIP-2 knockout samples were examined. Wild-type and INPPL1/SHIP-2 knockout samples were subjected to SDS-PAGE. ab166916 and ab9484 (Mouse anti-GAPDH loading control) were incubated overnight at 4°C at 1/1000 dilution and 1/10,000 dilution respectively. Blots were developed with Goat anti-Rabbit IgG H&L (IRDye® 800CW) preabsorbed ab216773 and Goat anti-Mouse IgG H&L (IRDye® 680RD) preabsorbed ab216776 secondary antibodies at 1/10,000 dilution for 1 hour at room temperature before imaging.

All lanes:

Western blot - Anti-INPPL1/SHIP-2 antibody [EPR10955] (<a href='/en-us/products/primary-antibodies/inppl1-ship-2-antibody-epr10955-ab166916'>ab166916</a>)

Predicted band size: 139 kDa

false

Western blot - Anti-INPPL1/SHIP-2 antibody [EPR10955] - BSA and Azide free (AB249397)
  • WB

Lab

Western blot - Anti-INPPL1/SHIP-2 antibody [EPR10955] - BSA and Azide free (AB249397)

This data was developed using the same antibody clone in a different buffer formulation (ab166916 ).

Western blot : Anti-INPPL1 antibody [EPR10955] (ab166916) staining at 1/1000 dilution, shown in green; Mouse anti-CANX [CANX/1543] (ab238078) loading control staining at 1/20000 dilution, shown in magenta. In Western blot, ab166916 was shown to bind specifically to INPPL1. A band was observed at 120-150 kDa in wild-type A549 cell lysates with no signal observed at this size in INPPL1 knockout cell line. To generate this image, wild-type and INPPL1 knockout A549 cell lysates were analysed. First, samples were run on an SDS-PAGE gel then transferred onto a nitrocellulose membrane. Membranes were blocked in 3 % milk in TBS-0.1 % Tween® 20 (TBS-T) before incubation with primary antibodies overnight at 4 °C. Blots were washed four times in TBS-T, incubated with secondary antibodies for 1 h at room temperature, washed again four times then imaged. Secondary antibodies used were Goat anti-Rabbit IgG H&L 800CW and Goat anti-Mouse IgG H&L 680RD at 1/20000 dilution.

All lanes:

Western blot - Anti-INPPL1/SHIP-2 antibody [EPR10955] (<a href='/en-us/products/primary-antibodies/inppl1-ship-2-antibody-epr10955-ab166916'>ab166916</a>) at 1/1000 dilution

Lane 1:

Wild-type A549 cell lysate at 20 µg

Lane 2:

INPPL1 knockout A549 cell lysate at 20 µg

Lane 2:

Western blot - Human INPPL1 knockout A549 cell line (<a href='/en-us/products/cell-lines/human-inppl1-knockout-a549-cell-line-ab301003'>ab301003</a>)

Secondary

All lanes:

Goat anti-Rabbit IgG H&L 800CW and Goat anti-Mouse IgG H&L 680RD at 1/20000 dilution

Observed band size: 120-150 kDa

false

Key facts

Host species

Rabbit

Clonality

Monoclonal

Clone number

EPR10955

Isotype

IgG

Carrier free

Yes

Reacts with

Mouse, Rat, Human

Applications

ICC/IF, WB, IHC-P

applications

Immunogen

The exact immunogen used to generate this antibody is proprietary information.

Reactivity data

{ "title": "Reactivity Data", "filters": { "stats": ["", "Species", "Dilution Info", "Notes"], "tabs": { "all-applications": {"fullname" : "All Applications", "shortname": "All Applications"}, "IHCP" : {"fullname" : "Immunohistochemistry (Formalin/PFA-fixed paraffin-embedded sections)", "shortname":"IHC-P"}, "ICCIF" : {"fullname" : "Immunocytochemistry/ Immunofluorescence", "shortname":"ICC/IF"}, "IP" : {"fullname" : "Immunoprecipitation", "shortname":"IP"}, "FlowCyt" : {"fullname" : "Flow Cytometry", "shortname":"Flow Cyt"}, "WB" : {"fullname" : "Western blot", "shortname":"WB"} }, "product-promise": { "all": "all", "testedAndGuaranteed": "tested", "guaranteed": "expected", "predicted": "predicted", "notRecommended": "not-recommended" } }, "values": { "Human": { "IHCP-species-checked": "testedAndGuaranteed", "IHCP-species-dilution-info": "", "IHCP-species-notes": "<p></p>", "ICCIF-species-checked": "testedAndGuaranteed", "ICCIF-species-dilution-info": "", "ICCIF-species-notes": "<p></p>", "IP-species-checked": "notRecommended", "IP-species-dilution-info": "", "IP-species-notes": "<p></p>", "FlowCyt-species-checked": "notRecommended", "FlowCyt-species-dilution-info": "", "FlowCyt-species-notes": "<p></p>", "WB-species-checked": "testedAndGuaranteed", "WB-species-dilution-info": "", "WB-species-notes": "<p></p>" }, "Mouse": { "IHCP-species-checked": "guaranteed", "IHCP-species-dilution-info": "", "IHCP-species-notes": "<p></p>", "ICCIF-species-checked": "guaranteed", "ICCIF-species-dilution-info": "", "ICCIF-species-notes": "<p></p>", "IP-species-checked": "notRecommended", "IP-species-dilution-info": "", "IP-species-notes": "<p></p>", "FlowCyt-species-checked": "notRecommended", "FlowCyt-species-dilution-info": "", "FlowCyt-species-notes": "<p></p>", "WB-species-checked": "guaranteed", "WB-species-dilution-info": "", "WB-species-notes": "<p></p>" }, "Rat": { "IHCP-species-checked": "guaranteed", "IHCP-species-dilution-info": "", "IHCP-species-notes": "<p></p>", "ICCIF-species-checked": "guaranteed", "ICCIF-species-dilution-info": "", "ICCIF-species-notes": "<p></p>", "IP-species-checked": "notRecommended", "IP-species-dilution-info": "", "IP-species-notes": "<p></p>", "FlowCyt-species-checked": "notRecommended", "FlowCyt-species-dilution-info": "", "FlowCyt-species-notes": "<p></p>", "WB-species-checked": "guaranteed", "WB-species-dilution-info": "", "WB-species-notes": "<p></p>" } } }

Product details

ab249397 is the carrier-free version of ab166916.

Patented technology
Our RabMAb® technology is a patented hybridoma-based technology for making rabbit monoclonal antibodies. For details on our patents, please refer to RabMAb® patents.

What are the advantages of a recombinant monoclonal antibody?
This product is a recombinant monoclonal antibody, which offers several advantages including:

  • - High batch-to-batch consistency and reproducibility
  • - Improved sensitivity and specificity
  • - Long-term security of supply
  • - Animal-free batch production

For more information, read more on recombinant antibodies.

Conjugation ready
Our carrier-free antibodies are typically supplied in a PBS-only formulation, purified and free of BSA, sodium azide and glycerol. This conjugation-ready format is designed for use with fluorochromes, metal isotopes, oligonucleotides, and enzymes, which makes them ideal for antibody labelling, functional and cell-based assays, flow-based assays (e.g. mass cytometry) and Multiplex Imaging applications.

Use our conjugation kits for antibody conjugates that are ready-to-use in as little as 20 minutes with 1 minute hands-on-time and 100% antibody recovery: available for fluorescent dyes, HRP, biotin and gold.

Compatibility
This product is compatible with the Maxpar® Antibody Labeling Kit from Fluidigm, without the need for antibody preparation. Maxpar® is a trademark of Fluidigm Canada Inc.

Properties and storage information

Form
Liquid
Purification technique
Affinity purification
Storage buffer
pH: 7.2 - 7.4 Constituents: PBS
Shipped at conditions
Blue Ice
Appropriate short-term storage conditions
+4°C
Appropriate long-term storage conditions
+4°C
Storage information
Do Not Freeze

Supplementary information

This supplementary information is collated from multiple sources and compiled automatically.

INPPL1 also known as SHIP-2 (Src homology 2 domain containing inositol 5-phosphatase 2) participates in the regulation of intracellular signaling pathways by dephosphorylating phosphatidylinositol 345-trisphosphate (PIP3). It acts as a phosphatase with a molecular mass of approximately 145 kDa. SHIP-2 is expressed in various tissues including heart brain skeletal muscle and lung. SHIP-2 influences cell growth survival and motility through its enzymatic activity that constrains the levels of PIP3.
Biological function summary

SHIP-2 plays a role in modulating cellular processes like insulin signaling and endocytosis. It acts as a negative regulator counteracting PIP3 accumulation which affects downstream signaling pathways such as Akt. SHIP-2 also integrates into larger protein complexes that contribute to its regulatory functions. These complexes facilitate interactions with multiple cell surface receptors and adaptors emphasizing its role in fine-tuning cell responses.

Pathways

SHIP-2 is an essential component in the insulin signaling and phosphoinositide pathways. It interacts closely with other proteins such as PI3K (phosphoinositide 3-kinase) and PTEN (phosphatase and tensin homolog). In the insulin signaling pathway SHIP-2 modulates the availability of PIP3 impacting the activity of Akt and by extension influence metabolic processes. In the phosphoinositide pathway it harmonizes with PTEN to maintain cellular homeostasis and signaling balance.

SHIP-2 is linked to metabolic diseases like Type 2 Diabetes and obesity. Its regulatory function in insulin signaling positions it as an important player in insulin resistance. Aberrations in SHIP-2 activity can lead to disrupted glucose homeostasis and contribute to the development of these conditions. In the case of insulin signaling disorders SHIP-2's interaction with proteins like IRS-1 (insulin receptor substrate 1) highlights its importance in managing cellular sensitivity to insulin emphasizing its therapeutic potential in metabolic diseases.

Product protocols

For this product, it's our understanding that no specific protocols are required. You can visit:

Target data

Phosphatidylinositol (PtdIns) phosphatase that specifically hydrolyzes the 5-phosphate of phosphatidylinositol-3,4,5-trisphosphate (PtdIns(3,4,5)P3) to produce PtdIns(3,4)P2, thereby negatively regulating the PI3K (phosphoinositide 3-kinase) pathways (PubMed : 16824732). Required for correct mitotic spindle orientation and therefore progression of mitosis (By similarity). Plays a central role in regulation of PI3K-dependent insulin signaling, although the precise molecular mechanisms and signaling pathways remain unclear (PubMed : 9660833). While overexpression reduces both insulin-stimulated MAP kinase and Akt activation, its absence does not affect insulin signaling or GLUT4 trafficking (By similarity). Confers resistance to dietary obesity (By similarity). May act by regulating AKT2, but not AKT1, phosphorylation at the plasma membrane (By similarity). Part of a signaling pathway that regulates actin cytoskeleton remodeling (PubMed : 11739414, PubMed : 12676785). Required for the maintenance and dynamic remodeling of actin structures as well as in endocytosis, having a major impact on ligand-induced EGFR internalization and degradation (PubMed : 15668240). Participates in regulation of cortical and submembraneous actin by hydrolyzing PtdIns(3,4,5)P3 thereby regulating membrane ruffling (PubMed : 21624956). Regulates cell adhesion and cell spreading (PubMed : 12235291). Required for HGF-mediated lamellipodium formation, cell scattering and spreading (PubMed : 15735664). Acts as a negative regulator of EPHA2 receptor endocytosis by inhibiting via PI3K-dependent Rac1 activation (PubMed : 17135240). Acts as a regulator of neuritogenesis by regulating PtdIns(3,4,5)P3 level and is required to form an initial protrusive pattern, and later, maintain proper neurite outgrowth (By similarity). Acts as a negative regulator of the FC-gamma-RIIA receptor (FCGR2A) (PubMed : 12690104). Mediates signaling from the FC-gamma-RIIB receptor (FCGR2B), playing a central role in terminating signal transduction from activating immune/hematopoietic cell receptor systems (PubMed : 11016922). Involved in EGF signaling pathway (PubMed : 11349134). Upon stimulation by EGF, it is recruited by EGFR and dephosphorylates PtdIns(3,4,5)P3 (PubMed : 11349134). Plays a negative role in regulating the PI3K-PKB pathway, possibly by inhibiting PKB activity (PubMed : 11349134). Down-regulates Fc-gamma-R-mediated phagocytosis in macrophages independently of INPP5D/SHIP1 (By similarity). In macrophages, down-regulates NF-kappa-B-dependent gene transcription by regulating macrophage colony-stimulating factor (M-CSF)-induced signaling (By similarity). Plays a role in the localization of AURKA and NEDD9/HEF1 to the basolateral membrane at interphase in polarized cysts, thereby mediates cell cycle homeostasis, cell polarization and cilia assembly (By similarity). Additionally promotion of cilia growth is also facilitated by hydrolysis of (PtdIns(3,4,5)P3) to PtdIns(3,4)P2 (By similarity). Promotes formation of apical membrane-initiation sites during the initial stages of lumen formation via Rho family-induced actin filament organization and CTNNB1 localization to cell-cell contacts (By similarity). May also hydrolyze PtdIns(1,3,4,5)P4, and could thus affect the levels of the higher inositol polyphosphates like InsP6. Involved in endochondral ossification (PubMed : 23273569).
See full target information INPPL1

Product promise

We are committed to supporting your work with high-quality reagents, and we're here for you every step of the way. In the unlikely event that one of our products does not perform as expected, you're protected by our Product Promise.
For full details, please see our Terms & Conditions

Please note: All products are 'FOR RESEARCH USE ONLY. NOT FOR USE IN DIAGNOSTIC OR THERAPEUTIC PROCEDURES'.

For licensing inquiries, please contact partnerships@abcam.com