JavaScript is disabled in your browser. Please enable JavaScript to view this website.
AB228460

Anti-INSL3 antibody [EPR20739] - BSA and Azide free

Be the first to review this product! Submit a review

|

(1 Publication)

Rabbit Recombinant Monoclonal INSL3 antibody. Carrier free. Suitable for IP, WB, IHC-P and reacts with Human samples. Cited in 1 publication.

View Alternative Names

RLF, RLNL, INSL3, Insulin-like 3, Leydig insulin-like peptide, Relaxin-like factor, Ley-I-L

4 Images
Immunohistochemistry (Formalin/PFA-fixed paraffin-embedded sections) - Anti-INSL3 antibody [EPR20739] - BSA and Azide free (AB228460)
  • IHC-P

Supplier Data

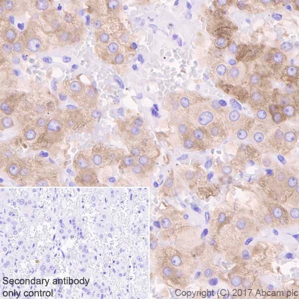
Immunohistochemistry (Formalin/PFA-fixed paraffin-embedded sections) - Anti-INSL3 antibody [EPR20739] - BSA and Azide free (AB228460)

Immunohistochemical analysis of paraffin-embedded human ovary tissue labeling INSL3 with ab227974 at 1/1000 dilution, followed by Goat Anti-Rabbit IgG H&L (HRP) Ready to use. Cytoplasmic staining in thecal cells of human ovary is observed (PMID : 21138583). Counter stained with Hematoxylin.

Secondary antibody only control : Used PBS instead of primary antibody, secondary antibody is Goat Anti-Rabbit IgG H&L (HRP) Ready to use.

This data was developed using the same antibody clone in a different buffer formulation containing PBS, BSA, glycerol, and sodium azide (ab227974).

Perform heat mediated antigen retrieval with Tris/EDTA buffer pH 9.0 before commencing with IHC staining protocol.

Immunohistochemistry (Formalin/PFA-fixed paraffin-embedded sections) - Anti-INSL3 antibody [EPR20739] - BSA and Azide free (AB228460)
  • IHC-P

Supplier Data

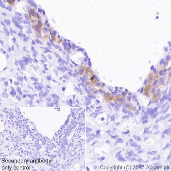
Immunohistochemistry (Formalin/PFA-fixed paraffin-embedded sections) - Anti-INSL3 antibody [EPR20739] - BSA and Azide free (AB228460)

Immunohistochemical analysis of paraffin-embedded human Leydig tumor tissue labeling INSL3 with ab227974 at 1/1000 dilution, followed by Goat Anti-Rabbit IgG H&L (HRP) Ready to use. Cytoplasmic staining in human Leydig tumor cells is observed (PMID : 25609776). Counter stained with Hematoxylin.

Secondary antibody only control : Used PBS instead of primary antibody, secondary antibody is Goat Anti-Rabbit IgG H&L (HRP) Ready to use.

This data was developed using the same antibody clone in a different buffer formulation containing PBS, BSA, glycerol, and sodium azide (ab227974).

Perform heat mediated antigen retrieval with Tris/EDTA buffer pH 9.0 before commencing with IHC staining protocol.

Immunohistochemistry (Formalin/PFA-fixed paraffin-embedded sections) - Anti-INSL3 antibody [EPR20739] - BSA and Azide free (AB228460)
  • IHC-P

Supplier Data

Immunohistochemistry (Formalin/PFA-fixed paraffin-embedded sections) - Anti-INSL3 antibody [EPR20739] - BSA and Azide free (AB228460)

Immunohistochemical analysis of paraffin-embedded human testis tissue labeling INSL3 with ab227974 at 1/1000 dilution, followed by Goat Anti-Rabbit IgG H&L (HRP) Ready to use. Cytoplasmic staining in Leydig cells of human testis (PMID : 19329805). Counter stained with Hematoxylin.

Secondary antibody only control : Used PBS instead of primary antibody, secondary antibody is Goat Anti-Rabbit IgG H&L (HRP) Ready to use.

This data was developed using the same antibody clone in a different buffer formulation containing PBS, BSA, glycerol, and sodium azide (ab227974).

Perform heat mediated antigen retrieval with Tris/EDTA buffer pH 9.0 before commencing with IHC staining protocol.

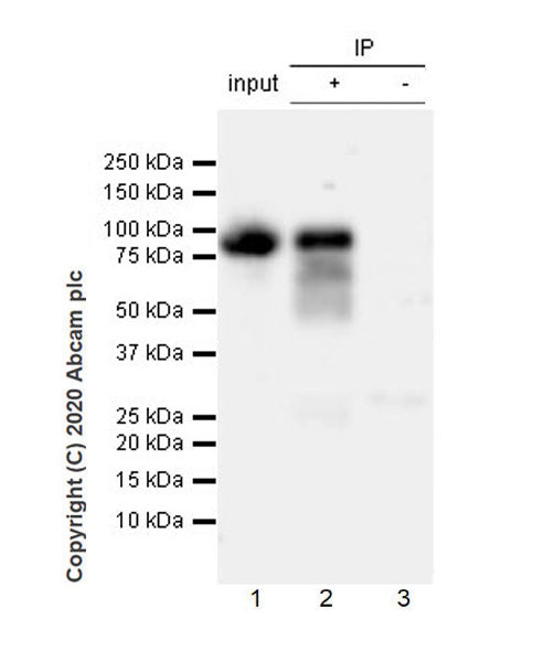
Immunoprecipitation - Anti-INSL3 antibody [EPR20739] - BSA and Azide free (AB228460)
  • IP

Supplier Data

Immunoprecipitation - Anti-INSL3 antibody [EPR20739] - BSA and Azide free (AB228460)

INSL3 was immunoprecipitated from 0.35 mg of human testis lysate with ab227974 at 1/30 dilution. Western blot was performed from the immunoprecipitate using ab227974 at 1/1000 dilution. VeriBlot for IP Detection Reagent (HRP) (ab131366), was used for detection at 1/10000 dilution.

Lane 1 : Human testis lysate 10 μg (Input).

Lane 2 : ab227974 IP in human testis lysate.

Lane 3 : Rabbit monoclonal IgG (ab172730) instead of ab227974 in human testis lysate.

Exposure time : 10 seconds.

Blocking and dilution buffer and concentration : 5% NFDM/TBST.

This data was developed using the same antibody clone in a different buffer formulation containing PBS, BSA, glycerol, and sodium azide (ab227974).

All lanes:

Immunoprecipitation - Anti-INSL3 antibody [EPR20739] (<a href='/en-us/products/primary-antibodies/insl3-antibody-epr20739-ab227974'>ab227974</a>)

Predicted band size: 14 kDa

Observed band size: 15 kDa,30 kDa

true

Key facts

Host species

Rabbit

Clonality

Monoclonal

Clone number

EPR20739

Isotype

IgG

Carrier free

Yes

Reacts with

Human

Applications

IHC-P, IP, WB

applications

Immunogen

The exact immunogen used to generate this antibody is proprietary information.

Specificity

This product recognises a different epitope compared to ab224643.

Reactivity data

{ "title": "Reactivity Data", "filters": { "stats": ["", "Species", "Dilution Info", "Notes"], "tabs": { "all-applications": {"fullname" : "All Applications", "shortname": "All Applications"}, "IP" : {"fullname" : "Immunoprecipitation", "shortname":"IP"}, "WB" : {"fullname" : "Western blot", "shortname":"WB"}, "IHCP" : {"fullname" : "Immunohistochemistry (Formalin/PFA-fixed paraffin-embedded sections)", "shortname":"IHC-P"} }, "product-promise": { "all": "all", "testedAndGuaranteed": "tested", "guaranteed": "expected", "predicted": "predicted", "notRecommended": "not-recommended" } }, "values": { "Human": { "IP-species-checked": "testedAndGuaranteed", "IP-species-dilution-info": "", "IP-species-notes": "<p></p>", "WB-species-checked": "guaranteed", "WB-species-dilution-info": "", "WB-species-notes": "<p></p>", "IHCP-species-checked": "testedAndGuaranteed", "IHCP-species-dilution-info": "", "IHCP-species-notes": "<p></p>" } } }

Product details

ab228460 is the carrier-free version of ab227974.

Patented technology
Our RabMAb® technology is a patented hybridoma-based technology for making rabbit monoclonal antibodies. For details on our patents, please refer to RabMAb® patents.

What are the advantages of a recombinant monoclonal antibody?
This product is a recombinant monoclonal antibody, which offers several advantages including:

  • - High batch-to-batch consistency and reproducibility
  • - Improved sensitivity and specificity
  • - Long-term security of supply
  • - Animal-free batch production

For more information, read more on recombinant antibodies.

Conjugation ready
Our carrier-free antibodies are typically supplied in a PBS-only formulation, purified and free of BSA, sodium azide and glycerol. This conjugation-ready format is designed for use with fluorochromes, metal isotopes, oligonucleotides, and enzymes, which makes them ideal for antibody labelling, functional and cell-based assays, flow-based assays (e.g. mass cytometry) and Multiplex Imaging applications.

Use our conjugation kits for antibody conjugates that are ready-to-use in as little as 20 minutes with 1 minute hands-on-time and 100% antibody recovery: available for fluorescent dyes, HRP, biotin and gold.

Compatibility
This product is compatible with the Maxpar® Antibody Labeling Kit from Fluidigm, without the need for antibody preparation. Maxpar® is a trademark of Fluidigm Canada Inc.

Properties and storage information

Form
Liquid
Purification technique
Affinity purification Protein A
Storage buffer
pH: 7.2 - 7.4 Constituents: PBS
Shipped at conditions
Blue Ice
Appropriate short-term storage conditions
+4°C
Appropriate long-term storage conditions
+4°C
Storage information
Do Not Freeze

Supplementary information

This supplementary information is collated from multiple sources and compiled automatically.

The INSL3 gene encodes insulin-like peptide 3 also known as Relaxin-like peptide. It is a hormone belonging to the insulin superfamily with a molecular mass of approximately 12 kDa. INSL3 is expressed primarily in the Leydig cells of the testes in males but can also be found in the theca cells of the ovaries in females. This peptide hormone plays a significant role in male and female reproductive physiology by acting through its receptor RXFP2 (Relaxin family peptide receptor 2).
Biological function summary

Insulin-like peptide 3 influences the development of male gonads and the descent of testes during embryonic development making it important for reproductive success. INSL3 also functions in ovarian follicle maturation in females. This hormone operates by binding to the RXFP2 receptor forming a complex that triggers signaling cascades leading to tissue development and differentiation. However the extent of its involvement in female reproductive processes remains under investigation.

Pathways

Insulin-like peptide 3 functions mainly through the cAMP signaling pathway via its interaction with RXFP2 which plays an important role in regulating cell proliferation and differentiation. INSL3 influences the reproductive hormone axis working alongside other hormones like testosterone and luteinizing hormone to coordinate testicular descent and manage reproductive function. Its signaling pathway impacts various stages of gonadal development and maturation.

Mutations or dysfunctions in the INSL3 or RXFP2 gene may result in cryptorchidism a condition where one or both testicles fail to descend properly affecting fertility. This condition involves the hormone-testosterone pathway highlighting the critical interactions between INSL3 and testosterone synthesis. Additionally altered levels of INSL3 could be linked to conditions related to ovarian function disorders reflecting its importance in both male and female reproductive health.

Product protocols

For this product, it's our understanding that no specific protocols are required. You can visit:

Target data

Seems to play a role in testicular function. May be a trophic hormone with a role in testicular descent in fetal life. Is a ligand for LGR8 receptor.
See full target information INSL3

Publications (1)

Recent publications for all applications. Explore the full list and refine your search

iScience 25:103785 PubMed35146396

2022

PD-L1CD8 T cells enrichment in lung cancer exerted regulatory function and tumor-promoting tolerance.

Applications

Unspecified application

Species

Unspecified reactive species

Yingxia Zheng,Li Han,Zheyi Chen,Yiyang Li,Bingqian Zhou,Rui Hu,Shiyu Chen,Haibo Xiao,Yanhui Ma,Guohua Xie,Junyao Yang,Xianting Ding,Lisong Shen
View all publications

Product promise

We are committed to supporting your work with high-quality reagents, and we're here for you every step of the way. In the unlikely event that one of our products does not perform as expected, you're protected by our Product Promise.
For full details, please see our Terms & Conditions

Please note: All products are 'FOR RESEARCH USE ONLY. NOT FOR USE IN DIAGNOSTIC OR THERAPEUTIC PROCEDURES'.

For licensing inquiries, please contact partnerships@abcam.com