JavaScript is disabled in your browser. Please enable JavaScript to view this website.
AB228459

Anti-INSL3 antibody [EPR20747] - BSA and Azide free

Be the first to review this product! Submit a review

|

(0 Publication)

Rabbit Recombinant Monoclonal INSL3 antibody. Carrier free. Suitable for IP, IHC-P and reacts with Human samples.

View Alternative Names

RLF, RLNL, INSL3, Insulin-like 3, Leydig insulin-like peptide, Relaxin-like factor, Ley-I-L

4 Images
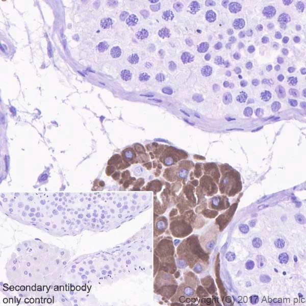
Immunohistochemistry (Formalin/PFA-fixed paraffin-embedded sections) - Anti-INSL3 antibody [EPR20747] - BSA and Azide free (AB228459)
  • IHC-P

Supplier Data

Immunohistochemistry (Formalin/PFA-fixed paraffin-embedded sections) - Anti-INSL3 antibody [EPR20747] - BSA and Azide free (AB228459)

Immunohistochemical analysis of paraffin-embedded human testis tissue labeling INSL3 with ab224643 at 1/1000 dilution, followed by Goat Anti-Rabbit IgG H&L (HRP) Ready to use. Cytoplasmic staining in Leydig cells of human testis (PMID : 19329805). Counter stained with hematoxylin.

Secondary antibody only control : Used PBS instead of primary antibody, secondary antibody is Goat Anti-Rabbit IgG H&L (HRP) Ready to use.

This data was developed using the same antibody clone in a different buffer formulation containing PBS, BSA, glycerol, and sodium azide (ab224643).

Perform heat mediated antigen retrieval with Tris/EDTA buffer pH 9.0 before commencing with IHC staining protocol.

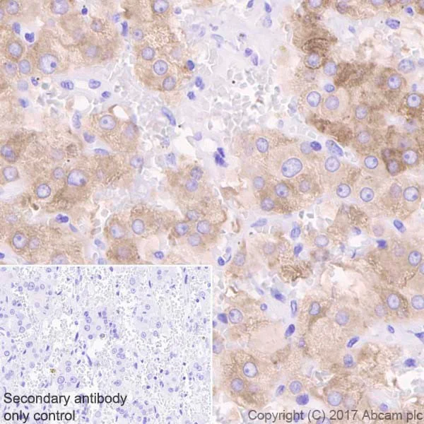
Immunohistochemistry (Formalin/PFA-fixed paraffin-embedded sections) - Anti-INSL3 antibody [EPR20747] - BSA and Azide free (AB228459)
  • IHC-P

Supplier Data

Immunohistochemistry (Formalin/PFA-fixed paraffin-embedded sections) - Anti-INSL3 antibody [EPR20747] - BSA and Azide free (AB228459)

Immunohistochemical analysis of paraffin-embedded human ovary tissue labeling INSL3 with ab224643 at 1/1000 dilution, followed by Goat Anti-Rabbit IgG H&L (HRP) Ready to use. Cytoplasmic staining in thecal cells of human ovary (PMID : 21138583). Counter stained with hematoxylin.

Secondary antibody only control : Used PBS instead of primary antibody, secondary antibody is Goat Anti-Rabbit IgG H&L (HRP) Ready to use.

This data was developed using the same antibody clone in a different buffer formulation containing PBS, BSA, glycerol, and sodium azide (ab224643).

Perform heat mediated antigen retrieval with Tris/EDTA buffer pH 9.0 before commencing with IHC staining protocol.

Immunoprecipitation - Anti-INSL3 antibody [EPR20747] - BSA and Azide free (AB228459)
  • IP

Supplier Data

Immunoprecipitation - Anti-INSL3 antibody [EPR20747] - BSA and Azide free (AB228459)

INSL3 was immunoprecipitated from 0.35 mg of human testis lysate with ab224643 at 1/30 dilution. Western blot was performed from the immunoprecipitate using ab224643 at 1/500 dilution. VeriBlot for IP Detection Reagent (HRP) (ab131366), was used for detection at 1/1000 dilution.

Lane 1 : Human testis lysate 10 μg (Input).

Lane 2 : ab224643 IP in human testis lysate.

Lane 3 : Rabbit monoclonal IgG (ab172730) instead of ab224643 in human testis lysate.

Exposure time : 3 seconds.

Blocking and dilution buffer and concentration : 5% NFDM/TBST.

This data was developed using the same antibody clone in a different buffer formulation containing PBS, BSA, glycerol, and sodium azide (ab224643).

All lanes:

Immunoprecipitation - Anti-INSL3 antibody [EPR20747] (<a href='/en-us/products/primary-antibodies/insl3-antibody-epr20747-ab224643'>ab224643</a>)

Predicted band size: 14 kDa

Observed band size: 15 kDa,30 kDa

false

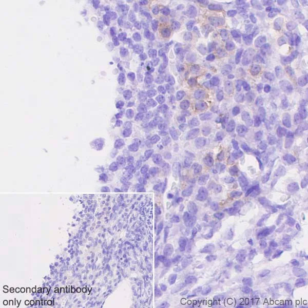
Immunohistochemistry (Formalin/PFA-fixed paraffin-embedded sections) - Anti-INSL3 antibody [EPR20747] - BSA and Azide free (AB228459)
  • IHC-P

Supplier Data

Immunohistochemistry (Formalin/PFA-fixed paraffin-embedded sections) - Anti-INSL3 antibody [EPR20747] - BSA and Azide free (AB228459)

Immunohistochemical analysis of paraffin-embedded human Leydig tumor tissue labeling INSL3 with ab224643 at 1/1000 dilution, followed by Goat Anti-Rabbit IgG H&L (HRP) Ready to use. Cytoplasmic staining in human Leydig tumor cells (PMID : 25609776). Counter stained with hematoxylin.

Secondary antibody only control : Used PBS instead of primary antibody, secondary antibody is Goat Anti-Rabbit IgG H&L (HRP) Ready to use.

This data was developed using the same antibody clone in a different buffer formulation containing PBS, BSA, glycerol, and sodium azide (ab224643).

Perform heat mediated antigen retrieval with Tris/EDTA buffer pH 9.0 before commencing with IHC staining protocol.

Key facts

Host species

Rabbit

Clonality

Monoclonal

Clone number

EPR20747

Isotype

IgG

Carrier free

Yes

Reacts with

Human

Applications

IHC-P, IP

applications

Immunogen

The exact immunogen used to generate this antibody is proprietary information.

Reactivity data

{ "title": "Reactivity Data", "filters": { "stats": ["", "Species", "Dilution Info", "Notes"], "tabs": { "all-applications": {"fullname" : "All Applications", "shortname": "All Applications"}, "IP" : {"fullname" : "Immunoprecipitation", "shortname":"IP"}, "IHCP" : {"fullname" : "Immunohistochemistry (Formalin/PFA-fixed paraffin-embedded sections)", "shortname":"IHC-P"} }, "product-promise": { "all": "all", "testedAndGuaranteed": "tested", "guaranteed": "expected", "predicted": "predicted", "notRecommended": "not-recommended" } }, "values": { "Human": { "IP-species-checked": "testedAndGuaranteed", "IP-species-dilution-info": "", "IP-species-notes": "<p></p> Perform heat-mediated antigen retrieval with Tris/EDTA buffer pH 9.0 before commencing with IHC staining protocol.", "IHCP-species-checked": "testedAndGuaranteed", "IHCP-species-dilution-info": "", "IHCP-species-notes": "<p></p> Perform heat-mediated antigen retrieval with Tris/EDTA buffer pH 9.0 before commencing with IHC staining protocol." } } }

Product details

Properties and storage information

Form
Liquid
Purification technique
Affinity purification Protein A
Storage buffer
pH: 7.2 - 7.4 Constituents: PBS
Shipped at conditions
Blue Ice
Appropriate short-term storage conditions
+4°C
Appropriate long-term storage conditions
+4°C
Storage information
Do Not Freeze

Supplementary information

This supplementary information is collated from multiple sources and compiled automatically.

The INSL3 gene encodes insulin-like peptide 3 also known as Relaxin-like peptide. It is a hormone belonging to the insulin superfamily with a molecular mass of approximately 12 kDa. INSL3 is expressed primarily in the Leydig cells of the testes in males but can also be found in the theca cells of the ovaries in females. This peptide hormone plays a significant role in male and female reproductive physiology by acting through its receptor RXFP2 (Relaxin family peptide receptor 2).
Biological function summary

Insulin-like peptide 3 influences the development of male gonads and the descent of testes during embryonic development making it important for reproductive success. INSL3 also functions in ovarian follicle maturation in females. This hormone operates by binding to the RXFP2 receptor forming a complex that triggers signaling cascades leading to tissue development and differentiation. However the extent of its involvement in female reproductive processes remains under investigation.

Pathways

Insulin-like peptide 3 functions mainly through the cAMP signaling pathway via its interaction with RXFP2 which plays an important role in regulating cell proliferation and differentiation. INSL3 influences the reproductive hormone axis working alongside other hormones like testosterone and luteinizing hormone to coordinate testicular descent and manage reproductive function. Its signaling pathway impacts various stages of gonadal development and maturation.

Mutations or dysfunctions in the INSL3 or RXFP2 gene may result in cryptorchidism a condition where one or both testicles fail to descend properly affecting fertility. This condition involves the hormone-testosterone pathway highlighting the critical interactions between INSL3 and testosterone synthesis. Additionally altered levels of INSL3 could be linked to conditions related to ovarian function disorders reflecting its importance in both male and female reproductive health.

Product protocols

For this product, it's our understanding that no specific protocols are required. You can visit:

Target data

Seems to play a role in testicular function. May be a trophic hormone with a role in testicular descent in fetal life. Is a ligand for LGR8 receptor.
See full target information INSL3

Product promise

We are committed to supporting your work with high-quality reagents, and we're here for you every step of the way. In the unlikely event that one of our products does not perform as expected, you're protected by our Product Promise.
For full details, please see our Terms & Conditions

Associated Products

Select an associated product type
Alternative Product
Primary Antibodies

AB227974

Anti-INSL3 antibody [EPR20739]

primary-antibodies

insl3-antibody-epr20739-ab227974

1

(3 reviews)

Alternative Product
Primary Antibodies

AB228460

Anti-INSL3 antibody [EPR20739] - BSA and Azide free

primary-antibodies

insl3-antibody-epr20739-bsa-and-azide-free-ab228460

0

(0 reviews)

Alternative Product
Primary Antibodies

AB199536

Anti-INSL3 antibody [EPR14834(2)]

primary-antibodies

insl3-antibody-epr148342-ab199536

3

(2 reviews)

Please note: All products are 'FOR RESEARCH USE ONLY. NOT FOR USE IN DIAGNOSTIC OR THERAPEUTIC PROCEDURES'.

For licensing inquiries, please contact partnerships@abcam.com