JavaScript is disabled in your browser. Please enable JavaScript to view this website.
AB314447

Anti-INSM1 antibody [EPR28316-7] - BSA and Azide free

Be the first to review this product! Submit a review

|

(0 Publication)

Rabbit Recombinant Monoclonal INSM1 antibody. Carrier free. Suitable for ICC/IF, WB, Dot and reacts with Mouse, Synthetic peptide samples.

View Alternative Names

Ia1, Insm1, Insulinoma-associated protein 1, Zinc finger protein IA-1

4 Images
Immunocytochemistry/ Immunofluorescence - Anti-INSM1 antibody [EPR28316-7] - BSA and Azide free (AB314447)
  • ICC/IF

Supplier Data

Immunocytochemistry/ Immunofluorescence - Anti-INSM1 antibody [EPR28316-7] - BSA and Azide free (AB314447)

This data was developed using ab314446, the same antibody clone in a different buffer formulation. Immunofluorescent analysis of 4% Paraformaldehyde-fixed, 0.1% TritonX-100 permeabilized Beta-TC-6 (mouse pancreas insulinoma beta cell) cells labelling INSM1 with ab314446 at 1/50 (10.34 ug/ml) dilution, followed by ab150081 Goat Anti-Rabbit IgG H&L (Alexa Fluor® 488) preadsorbed antibody at 1/1000 (2 ug/ml) dilution (Green). Confocal image showing nuclear staining in Beta-TC-6 cell line.Negative control : Mouse splenocytes. Image was taken with a confocal microscope(Leica-Microsystems, TCS SP8). ab195889 Anti-alpha Tubulin mouse monoclonal antibody - Microtubule Marker (Alexa Fluor® 594) was used to counterstain tubulin at 1/200 (2.5ug/ml) dilution (Red). The Nuclear counterstain was DAPI (Blue). Secondary antibody only control : Secondary antibody is ab150081 Goat Anti-Rabbit IgG H&L (Alexa Fluor® 488) preadsorbed at 1/1000 (2 ug/ml) dilution.

Western blot - Anti-INSM1 antibody [EPR28316-7] - BSA and Azide free (AB314447)
  • WB

Supplier Data

Western blot - Anti-INSM1 antibody [EPR28316-7] - BSA and Azide free (AB314447)

This data was developed using ab314446, the same antibody clone in a different buffer formulation. Blocking and diluting buffer and concentration : 5% NFDM/TBST Negative control : mouse spleen. In Western blot, Anti-GAPDH antibody [EPR16891] - Loading Control (ab181602) staining at 1/200000 dilution.

All lanes:

Western blot - Anti-INSM1 antibody [EPR28316-7] (<a href='/en-us/products/primary-antibodies/insm1-antibody-epr28316-7-ab314446'>ab314446</a>) at 1/1000 dilution

Lane 1:

Beta-TC-6 (mouse pancreas insinoma beta cell) whole cell lysate at 70 µg

Lane 2:

Mouse spleen tissue lysate at 70 µg

Secondary

All lanes:

Western blot - Goat Anti-Rabbit IgG H&L (HRP) (<a href='/en-us/products/secondary-antibodies/goat-rabbit-igg-h-l-hrp-ab97051'>ab97051</a>) at 1/20000 dilution

Observed band size: 70 kDa

false

Exposure time: 180s

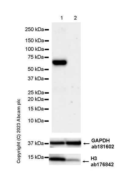
Western blot - Anti-INSM1 antibody [EPR28316-7] - BSA and Azide free (AB314447)
  • WB

Supplier Data

Western blot - Anti-INSM1 antibody [EPR28316-7] - BSA and Azide free (AB314447)

This data was developed using ab314446, the same antibody clone in a different buffer formulation. Blocking and diluting buffer and concentration : 5% NFDM/TBST In Western blot, Anti-GAPDH antibody [EPR16891] - Loading Control (ab181602) staining at 1/200000 dilution. In Western blot, Anti-Histone H3 antibody [EPR16987] - Nuclear Marker and ChIP Grade (ab176842) staining at 1/100000 dilution.

All lanes:

Western blot - Anti-INSM1 antibody [EPR28316-7] (<a href='/en-us/products/primary-antibodies/insm1-antibody-epr28316-7-ab314446'>ab314446</a>) at 1/1000 dilution

Lane 1:

Beta-TC-6 (mouse pancreas insinoma beta cell) nuclear fraction at 70 µg

Lane 2:

Beta-TC-6 (mouse pancreas insinoma beta cell) cytoplasmic fraction at 70 µg

Secondary

All lanes:

Western blot - VeriBlot for IP Detection Reagent (HRP) (<a href='/en-us/products/reagents/veriblot-for-ip-detection-reagent-hrp-ab131366'>ab131366</a>) at 1/1000 dilution

Observed band size: 70 kDa

false

Exposure time: 136s

Dot Blot - Anti-INSM1 antibody [EPR28316-7] - BSA and Azide free (AB314447)
  • Dot

Supplier Data

Dot Blot - Anti-INSM1 antibody [EPR28316-7] - BSA and Azide free (AB314447)

This data was developed using ab314446, the same antibody clone in a different buffer formulation. Dot blot analysis of INSM1 using ab314446 at 1 : 1000 (0.517 ug/ml) followed by a Goat Anti-Rabbit IgG, (H+L), Peroxidase conjugated (ab97051) at 1 : 20,000 dilution. Exposure time : 70 seconds Blocking and diluting buffer and concentration : 5% NFDM/TBST

Key facts

Host species

Rabbit

Clonality

Monoclonal

Clone number

EPR28316-7

Isotype

IgG

Carrier free

Yes

Reacts with

Mouse

Applications

Dot, ICC/IF, WB

applications

Immunogen

The exact immunogen used to generate this antibody is proprietary information.

Reactivity data

{ "title": "Reactivity Data", "filters": { "stats": ["", "Species", "Dilution Info", "Notes"], "tabs": { "all-applications": {"fullname" : "All Applications", "shortname": "All Applications"}, "ICCIF" : {"fullname" : "Immunocytochemistry/ Immunofluorescence", "shortname":"ICC/IF"}, "WB" : {"fullname" : "Western blot", "shortname":"WB"}, "Dot" : {"fullname" : "Dot Blot", "shortname":"Dot"}, "FlowCytIntra" : {"fullname" : "Flow Cytometry (Intracellular)", "shortname":"Flow Cyt (Intra)"}, "IHCP" : {"fullname" : "Immunohistochemistry (Formalin/PFA-fixed paraffin-embedded sections)", "shortname":"IHC-P"}, "IP" : {"fullname" : "Immunoprecipitation", "shortname":"IP"} }, "product-promise": { "all": "all", "testedAndGuaranteed": "tested", "guaranteed": "expected", "predicted": "predicted", "notRecommended": "not-recommended" } }, "values": { "Human": { "ICCIF-species-checked": "notRecommended", "ICCIF-species-dilution-info": "", "ICCIF-species-notes": "", "WB-species-checked": "notRecommended", "WB-species-dilution-info": "", "WB-species-notes": "<p></p>", "Dot-species-checked": "notRecommended", "Dot-species-dilution-info": "", "Dot-species-notes": "", "FlowCytIntra-species-checked": "notRecommended", "FlowCytIntra-species-dilution-info": "", "FlowCytIntra-species-notes": "", "IHCP-species-checked": "notRecommended", "IHCP-species-dilution-info": "", "IHCP-species-notes": "<p></p>", "IP-species-checked": "notRecommended", "IP-species-dilution-info": "", "IP-species-notes": "" }, "Mouse": { "ICCIF-species-checked": "testedAndGuaranteed", "ICCIF-species-dilution-info": "", "ICCIF-species-notes": "<p></p>", "WB-species-checked": "testedAndGuaranteed", "WB-species-dilution-info": "", "WB-species-notes": "<p></p>", "Dot-species-checked": "guaranteed", "Dot-species-dilution-info": "", "Dot-species-notes": "", "FlowCytIntra-species-checked": "notRecommended", "FlowCytIntra-species-dilution-info": "", "FlowCytIntra-species-notes": "<p></p>", "IHCP-species-checked": "notRecommended", "IHCP-species-dilution-info": "", "IHCP-species-notes": "<p></p>", "IP-species-checked": "notRecommended", "IP-species-dilution-info": "", "IP-species-notes": "<p></p>" }, "Rat": { "ICCIF-species-checked": "notRecommended", "ICCIF-species-dilution-info": "", "ICCIF-species-notes": "", "WB-species-checked": "notRecommended", "WB-species-dilution-info": "", "WB-species-notes": "<p></p>", "Dot-species-checked": "notRecommended", "Dot-species-dilution-info": "", "Dot-species-notes": "", "FlowCytIntra-species-checked": "notRecommended", "FlowCytIntra-species-dilution-info": "", "FlowCytIntra-species-notes": "", "IHCP-species-checked": "notRecommended", "IHCP-species-dilution-info": "", "IHCP-species-notes": "<p></p>", "IP-species-checked": "notRecommended", "IP-species-dilution-info": "", "IP-species-notes": "" }, "Synthetic peptide": { "ICCIF-species-checked": "notRecommended", "ICCIF-species-dilution-info": "", "ICCIF-species-notes": "", "WB-species-checked": "notRecommended", "WB-species-dilution-info": "", "WB-species-notes": "", "Dot-species-checked": "testedAndGuaranteed", "Dot-species-dilution-info": "", "Dot-species-notes": "<p></p>", "FlowCytIntra-species-checked": "notRecommended", "FlowCytIntra-species-dilution-info": "", "FlowCytIntra-species-notes": "", "IHCP-species-checked": "notRecommended", "IHCP-species-dilution-info": "", "IHCP-species-notes": "", "IP-species-checked": "notRecommended", "IP-species-dilution-info": "", "IP-species-notes": "" } } }

Product details

ab314447 is the carrier-free version of ab314446.

Patented technology
Our RabMAb® technology is a patented hybridoma-based technology for making rabbit monoclonal antibodies. For details on our patents, please refer to RabMAb® patents.

What are the advantages of a recombinant monoclonal antibody?
This product is a recombinant monoclonal antibody, which offers several advantages including:

  • - High batch-to-batch consistency and reproducibility
  • - Improved sensitivity and specificity
  • - Long-term security of supply
  • - Animal-free batch production

For more information, read more on recombinant antibodies.

Conjugation ready
Our carrier-free antibodies are typically supplied in a PBS-only formulation, purified and free of BSA, sodium azide and glycerol. This conjugation-ready format is designed for use with fluorochromes, metal isotopes, oligonucleotides, and enzymes, which makes them ideal for antibody labelling, functional and cell-based assays, flow-based assays (e.g. mass cytometry) and Multiplex Imaging applications.

Use our conjugation kits for antibody conjugates that are ready-to-use in as little as 20 minutes with 1 minute hands-on-time and 100% antibody recovery: available for fluorescent dyes, HRP, biotin and gold.

Compatibility
This product is compatible with the Maxpar® Antibody Labeling Kit from Fluidigm, without the need for antibody preparation. Maxpar® is a trademark of Fluidigm Canada Inc.

Properties and storage information

Form
Liquid
Purification technique
Affinity purification Protein A
Storage buffer
pH: 7.2 - 7.4 Constituents: PBS
Shipped at conditions
Blue Ice
Appropriate short-term storage conditions
+4°C
Appropriate long-term storage conditions
+4°C

Supplementary information

This supplementary information is collated from multiple sources and compiled automatically.

The INSM1 protein also known as Insulinoma-Associated 1 is a zinc finger transcription factor with a molecular weight of about 60 kDa. This protein is expressed in developing and mature neuroendocrine tissues. It plays an important role in the development of the nervous system and serves as a marker for neuroendocrine differentiation. Researchers can use INSM1 immunohistochemistry (IHC) to identify neuroendocrine tumors.
Biological function summary

The transcription factor INSM1 regulates key genetic programs necessary for neuronal differentiation. It interacts with other transcription factors and is involved in the repression of specific neuronal genes. During neural development it promotes the maturation of progenitor cells into specialized neuroendocrine cells. INSM1 acts as part of a transcriptional complex that modulates important developmental genes in the central nervous system.

Pathways

INSM1 plays a critical role in the Notch signaling and Hedgehog pathways. In the Notch signaling pathway it contributes to neuronal differentiation by regulating the expression of Hes1 and other Notch target genes. The Hedgehog pathway involvement suggests a role in mediating signals necessary for cellular patterning during neurogenesis. INSM1 interacts with proteins like Hes1 and Gli1 driving the cascade of events that lead to neuronal development and differentiation.

INSM1 relates to neuroendocrine tumors and diabetes. In neuroendocrine tumors INSM1 expression assists in tumor identification and is a diagnostic marker due to its specificity for these tissues. Additionally disruptions in INSM1 function can impact pancreatic beta-cell development highlighting its relevance to diabetes. Its relation to proteins such as PDX-1 and Nkx6.1 is important in understanding its involvement in disease mechanisms particularly in neuroendocrine and metabolic disorders.

Product protocols

For this product, it's our understanding that no specific protocols are required. You can visit:

Target data

Sequence-specific DNA-binding transcriptional regulator that plays a key role in neurogenesis and neuroendocrine cell differentiation during embryonic and/or fetal development. Binds to the consensus sequence 5'-[TG][TC][TC][TT][GA]GGG[CG]A-3' in target promoters. Acts as a transcriptional repressor of NEUROD1 and INS expression via its interaction with cyclin CCND1 in a cell cycle-independent manner. Negatively regulates skeletal muscle-specific gene expression in endocrine cells of the pituitary by inhibiting the Notch signaling pathway. Represses target gene transcription by recruiting chromatin-modifying factors, such as HDAC1, HDAC2, HDAC3, KDM1A and RCOR1 histone deacetylases. Binds to its own promoter, suggesting autoregulation as a self-control feedback mechanism. Competes with histone H3 for the same binding site on the histone demethylase complex formed by KDM1A and RCOR1, and thereby inhibits demethylation of histone H3 at 'Lys-4' (By similarity). Promotes the generation and expansion of neuronal basal progenitor cells in the developing neocortex. Involved in the differentiation of endocrine cells of the developing anterior pituitary gland, of the pancreas and intestine, and of sympatho-adrenal cells in the peripheral nervous system. Promotes cell cycle signaling arrest and inhibition of cellular proliferation.
See full target information Insm1

Product promise

We are committed to supporting your work with high-quality reagents, and we're here for you every step of the way. In the unlikely event that one of our products does not perform as expected, you're protected by our Product Promise.
For full details, please see our Terms & Conditions

Please note: All products are 'FOR RESEARCH USE ONLY. NOT FOR USE IN DIAGNOSTIC OR THERAPEUTIC PROCEDURES'.

For licensing inquiries, please contact partnerships@abcam.com