JavaScript is disabled in your browser. Please enable JavaScript to view this website.
AB228720

Anti-Insulin degrading enzyme / IDE antibody

5

(1 Review)

|

(2 Publications)

Rabbit Polyclonal Insulin degrading enzyme / IDE antibody. Suitable for WB, IHC-P, ICC/IF, IHC - Wmt and reacts with Mouse, Human, Rat, Zebrafish samples. Cited in 2 publications. Immunogen corresponding to Recombinant Fragment Protein within Human IDE.

View Alternative Names

Insulin-degrading enzyme, Abeta-degrading protease, Insulin protease, Insulysin, Insulinase, IDE

7 Images
Immunocytochemistry/ Immunofluorescence - Anti-Insulin degrading enzyme / IDE antibody (AB228720)
  • ICC/IF

Supplier Data

Immunocytochemistry/ Immunofluorescence - Anti-Insulin degrading enzyme / IDE antibody (AB228720)

Immunofluorescence analysis of HeLa cells fixed in ice-cold MeOH for 5 min labelling IDE protein at cytoplasm using ab228720 at a 1/500 dilution (Green). DAPI was used for nuclear staining (Blue).

Immunohistochemistry (Formalin/PFA-fixed paraffin-embedded sections) - Anti-Insulin degrading enzyme / IDE antibody (AB228720)
  • IHC-P

Supplier Data

Immunohistochemistry (Formalin/PFA-fixed paraffin-embedded sections) - Anti-Insulin degrading enzyme / IDE antibody (AB228720)

Paraffin-embedded U87 xenograft tissue stained for Insulin degrading enzyme / IDE using ab228720 at 1/500 dilution in immunohistochemical analysis.

Immunohistochemistry (Formalin/PFA-fixed paraffin-embedded sections) - Anti-Insulin degrading enzyme / IDE antibody (AB228720)
  • IHC-P

Supplier Data

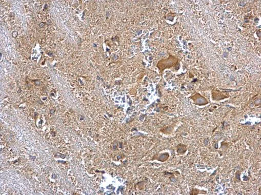
Immunohistochemistry (Formalin/PFA-fixed paraffin-embedded sections) - Anti-Insulin degrading enzyme / IDE antibody (AB228720)

Paraffin-embedded rat brain stem tissue stained for Insulin degrading enzyme / IDE using ab228720 at 1/500 dilution in immunohistochemical analysis.

Western blot - Anti-Insulin degrading enzyme / IDE antibody (AB228720)
  • WB

Supplier Data

Western blot - Anti-Insulin degrading enzyme / IDE antibody (AB228720)

Samples were separated by 7.5 % SDS.

All lanes:

Western blot - Anti-Insulin degrading enzyme / IDE antibody (ab228720) at 1/1000 dilution

Lane 1:

Wild-type (Wt) HeLa cell extracts at 30 µg

Lane 2:

IDE Kip1 knockout (KO) HeLa cell extracts at 30 µg

Secondary

All lanes:

HRP-conjugated anti-rabbit IgG antibody

Predicted band size: 118 kDa

false

Western blot - Anti-Insulin degrading enzyme / IDE antibody (AB228720)
  • WB

Supplier Data

Western blot - Anti-Insulin degrading enzyme / IDE antibody (AB228720)

Samples were separated by 7.5 % SDS.

All lanes:

Western blot - Anti-Insulin degrading enzyme / IDE antibody (ab228720) at 1/10000 dilution

Lane 1:

293T whole cell extracts at 30 µg

Lane 2:

A431 whole cell extracts at 30 µg

Lane 3:

HeLa whole cell extracts at 30 µg

Lane 4:

HepG2 whole cell extracts at 30 µg

Secondary

All lanes:

HRP-conjugated anti-rabbit IgG antibody

Predicted band size: 118 kDa

false

Western blot - Anti-Insulin degrading enzyme / IDE antibody (AB228720)
  • WB

Supplier Data

Western blot - Anti-Insulin degrading enzyme / IDE antibody (AB228720)

7.5% SDS-PAGE gel.

All lanes:

Western blot - Anti-Insulin degrading enzyme / IDE antibody (ab228720) at 1/1000 dilution

Lane 1:

Mouse brain extract at 50 µg

Lane 2:

Rat brain extract at 50 µg

Secondary

All lanes:

HRP-conjugated anti-rabbit IgG

Predicted band size: 118 kDa

false

IHC - Wholemount - Anti-Insulin degrading enzyme / IDE antibody (AB228720)
  • IHC - Wmt

Supplier Data

IHC - Wholemount - Anti-Insulin degrading enzyme / IDE antibody (AB228720)

ab228720 detects Ide protein at the myotome on paraformaldehyde-fixed whole-mount zebrafish embryos by immunohistochemical analysis at a 1/200 dilution.

Key facts

Host species

Rabbit

Clonality

Polyclonal

Isotype

IgG

Carrier free

No

Reacts with

Mouse, Rat, Human, Zebrafish

Applications

IHC - Wmt, IHC-P, ICC/IF, WB

applications

Immunogen

Recombinant Fragment Protein within Human IDE. The exact immunogen used to generate this antibody is proprietary information.

P14735

Reactivity data

{ "title": "Reactivity Data", "filters": { "stats": ["", "Species", "Dilution Info", "Notes"], "tabs": { "all-applications": {"fullname" : "All Applications", "shortname": "All Applications"}, "WB" : {"fullname" : "Western blot", "shortname":"WB"}, "IHCP" : {"fullname" : "Immunohistochemistry (Formalin/PFA-fixed paraffin-embedded sections)", "shortname":"IHC-P"}, "ICCIF" : {"fullname" : "Immunocytochemistry/ Immunofluorescence", "shortname":"ICC/IF"}, "IHCWmt" : {"fullname" : "IHC - Wholemount", "shortname":"IHC - Wmt"} }, "product-promise": { "all": "all", "testedAndGuaranteed": "tested", "guaranteed": "expected", "predicted": "predicted", "notRecommended": "not-recommended" } }, "values": { "Human": { "WB-species-checked": "testedAndGuaranteed", "WB-species-dilution-info": "1/500 - 1/20000", "WB-species-notes": "<p></p>", "IHCP-species-checked": "testedAndGuaranteed", "IHCP-species-dilution-info": "1/100 - 1/1000", "IHCP-species-notes": "<p></p>", "ICCIF-species-checked": "testedAndGuaranteed", "ICCIF-species-dilution-info": "1/100 - 1/1000", "ICCIF-species-notes": "<p></p>", "IHCWmt-species-checked": "guaranteed", "IHCWmt-species-dilution-info": "", "IHCWmt-species-notes": "" }, "Mouse": { "WB-species-checked": "testedAndGuaranteed", "WB-species-dilution-info": "1/500 - 1/20000", "WB-species-notes": "<p></p>", "IHCP-species-checked": "guaranteed", "IHCP-species-dilution-info": "", "IHCP-species-notes": "", "ICCIF-species-checked": "guaranteed", "ICCIF-species-dilution-info": "", "ICCIF-species-notes": "", "IHCWmt-species-checked": "guaranteed", "IHCWmt-species-dilution-info": "", "IHCWmt-species-notes": "" }, "Rat": { "WB-species-checked": "guaranteed", "WB-species-dilution-info": "", "WB-species-notes": "", "IHCP-species-checked": "testedAndGuaranteed", "IHCP-species-dilution-info": "1/100 - 1/1000", "IHCP-species-notes": "<p></p>", "ICCIF-species-checked": "guaranteed", "ICCIF-species-dilution-info": "", "ICCIF-species-notes": "", "IHCWmt-species-checked": "guaranteed", "IHCWmt-species-dilution-info": "", "IHCWmt-species-notes": "" }, "Cow": { "WB-species-checked": "predicted", "WB-species-dilution-info": "", "WB-species-notes": "", "IHCP-species-checked": "predicted", "IHCP-species-dilution-info": "", "IHCP-species-notes": "", "ICCIF-species-checked": "predicted", "ICCIF-species-dilution-info": "", "ICCIF-species-notes": "", "IHCWmt-species-checked": "predicted", "IHCWmt-species-dilution-info": "", "IHCWmt-species-notes": "" }, "Dog": { "WB-species-checked": "predicted", "WB-species-dilution-info": "", "WB-species-notes": "", "IHCP-species-checked": "predicted", "IHCP-species-dilution-info": "", "IHCP-species-notes": "", "ICCIF-species-checked": "predicted", "ICCIF-species-dilution-info": "", "ICCIF-species-notes": "", "IHCWmt-species-checked": "predicted", "IHCWmt-species-dilution-info": "", "IHCWmt-species-notes": "" }, "Rhesus monkey": { "WB-species-checked": "predicted", "WB-species-dilution-info": "", "WB-species-notes": "", "IHCP-species-checked": "predicted", "IHCP-species-dilution-info": "", "IHCP-species-notes": "", "ICCIF-species-checked": "predicted", "ICCIF-species-dilution-info": "", "ICCIF-species-notes": "", "IHCWmt-species-checked": "predicted", "IHCWmt-species-dilution-info": "", "IHCWmt-species-notes": "" }, "Zebrafish": { "WB-species-checked": "guaranteed", "WB-species-dilution-info": "", "WB-species-notes": "", "IHCP-species-checked": "guaranteed", "IHCP-species-dilution-info": "", "IHCP-species-notes": "", "ICCIF-species-checked": "guaranteed", "ICCIF-species-dilution-info": "", "ICCIF-species-notes": "", "IHCWmt-species-checked": "testedAndGuaranteed", "IHCWmt-species-dilution-info": "", "IHCWmt-species-notes": "<p></p>" } } }

Properties and storage information

Form
Liquid
Purification technique
Affinity purification Immunogen
Storage buffer
pH: 7 Preservative: 0.01% Thimerosal (merthiolate) Constituents: 10% Glycerol (glycerin, glycerine), 1.21% Tris, 0.75% Glycine
Shipped at conditions
Blue Ice
Appropriate short-term storage duration
1-2 weeks
Appropriate short-term storage conditions
+4°C
Appropriate long-term storage conditions
-20°C
Aliquoting information
Upon delivery aliquot
Storage information
Avoid freeze / thaw cycle

Supplementary information

This supplementary information is collated from multiple sources and compiled automatically.

Insulin degrading enzyme (IDE) also known as insulinase is a zinc metalloprotease involved in the breakdown of small proteins including insulin. IDE has a molecular weight of approximately 110 kDa. It works by cleaving the peptide bonds of its substrate proteins therefore decreasing their molecular integrity. IDE is expressed in several tissues including the liver muscle and kidney where it plays a significant role in regulating metabolic processes. This protein can be found both within cells and in the extracellular space.
Biological function summary

IDE manages the levels of insulin and other peptides by degrading them preventing accumulation and maintaining homeostasis. It is not part of a complex but it acts individually in cellular environments to modulate the concentration of its substrates. IDE is important for controlling insulin availability and turnover which impacts glucose metabolism. By influencing the degradation of insulin IDE aids in balancing metabolic demands with insulin availability.

Pathways

IDE plays a vital role in insulin signaling and glucose metabolic processes. It is directly involved in the insulin signaling pathway by regulating insulin levels which consequently affects cellular responses to insulin. IDE connects with several proteins associated with these pathways including insulin receptor and glucose transporters ensuring proper cell signaling and metabolic functions. By modulating insulin levels IDE helps optimize glucose uptake and storage.

IDE has a relevant connection to Alzheimer's disease and type 2 diabetes. Its role in insulin degradation links it to type 2 diabetes where dysregulation of insulin levels can exacerbate the disease. IDE is also associated with Alzheimer's disease since it degrades amyloid-beta peptides. Any malfunction or altered expression of IDE can lead to accumulation of these peptides contributing to Alzheimer's pathology. In the context of these diseases IDE interacts with amyloid-beta precursor protein and components of insulin signaling pathways highlighting its significance in maintaining health and preventing disease progression.

Product protocols

For this product, it's our understanding that no specific protocols are required. You can visit:

Target data

Plays a role in the cellular breakdown of insulin, APP peptides, IAPP peptides, natriuretic peptides, glucagon, bradykinin, kallidin, and other peptides, and thereby plays a role in intercellular peptide signaling (PubMed : 10684867, PubMed : 17051221, PubMed : 17613531, PubMed : 18986166, PubMed : 19321446, PubMed : 21098034, PubMed : 2293021, PubMed : 23922390, PubMed : 24847884, PubMed : 26394692, PubMed : 26968463, PubMed : 29596046). Substrate binding induces important conformation changes, making it possible to bind and degrade larger substrates, such as insulin (PubMed : 23922390, PubMed : 26394692, PubMed : 29596046). Contributes to the regulation of peptide hormone signaling cascades and regulation of blood glucose homeostasis via its role in the degradation of insulin, glucagon and IAPP (By similarity). Plays a role in the degradation and clearance of APP-derived amyloidogenic peptides that are secreted by neurons and microglia (Probable) (PubMed : 26394692, PubMed : 9830016). Degrades the natriuretic peptides ANP, BNP and CNP, inactivating their ability to raise intracellular cGMP (PubMed : 21098034). Also degrades an aberrant frameshifted 40-residue form of NPPA (fsNPPA) which is associated with familial atrial fibrillation in heterozygous patients (PubMed : 21098034). Involved in antigen processing. Produces both the N terminus and the C terminus of MAGEA3-derived antigenic peptide (EVDPIGHLY) that is presented to cytotoxic T lymphocytes by MHC class I.. (Microbial infection) The membrane-associated isoform acts as an entry receptor for varicella-zoster virus (VZV).
See full target information IDE

Publications (2)

Recent publications for all applications. Explore the full list and refine your search

Translational cancer research 14:3471-3489 PubMed40687255

2025

Guanine monophosphate synthase-mediated nuclear and mitochondrial communication in the progression of gastric cancer.

Applications

Unspecified application

Species

Unspecified reactive species

Xiaoshu Guo,Keyuan Xiao,Jiping Gong,Yu Wang,Liang Zong,Jiaoping Pan,Fan Yang,Hui Mi,Yiqiang Zhang,Baolian Ma,Lei Sun,Qilong Li,Wenqing Hu

Frontiers in pharmacology 14:1220620 PubMed37576821

2023

PPAR-gamma agonist pioglitazone recovers mitochondrial quality control in fibroblasts from -deficient patients.

Applications

Unspecified application

Species

Unspecified reactive species

Alessia Di Donfrancesco,Christian Berlingieri,Marta Giacomello,Chiara Frascarelli,Ana Paula Magalhaes Rebelo,Laurence A Bindoff,Segel Reeval,Paul Renbaum,Filippo M Santorelli,Giulia Massaro,Carlo Viscomi,Massimo Zeviani,Daniele Ghezzi,Emanuela Bottani,Dario Brunetti
View all publications

Product promise

We are committed to supporting your work with high-quality reagents, and we're here for you every step of the way. In the unlikely event that one of our products does not perform as expected, you're protected by our Product Promise.
For full details, please see our Terms & Conditions

Please note: All products are 'FOR RESEARCH USE ONLY. NOT FOR USE IN DIAGNOSTIC OR THERAPEUTIC PROCEDURES'.

For licensing inquiries, please contact partnerships@abcam.com