JavaScript is disabled in your browser. Please enable JavaScript to view this website.
AB283689

Anti-Insulin Receptor alpha antibody [EPR23962-157]

  • BOND RX™ Validated
  • 20ul selling size
  • RabMAb
  • Recombinant
  • What is this?

Be the first to review this product! Submit a review

|

(4 Publications)

Rabbit Recombinant Monoclonal Insulin Receptor antibody. Suitable for IP, WB, ICC/IF, IHC-P and reacts with Human, Mouse, Rat samples. Cited in 4 publications.

View Alternative Names

CD220, Insulin receptor, IR

11 Images
Immunohistochemistry (Formalin/PFA-fixed paraffin-embedded sections) - Anti-Insulin Receptor alpha antibody [EPR23962-157] (AB283689)
  • IHC-P

Supplier Data

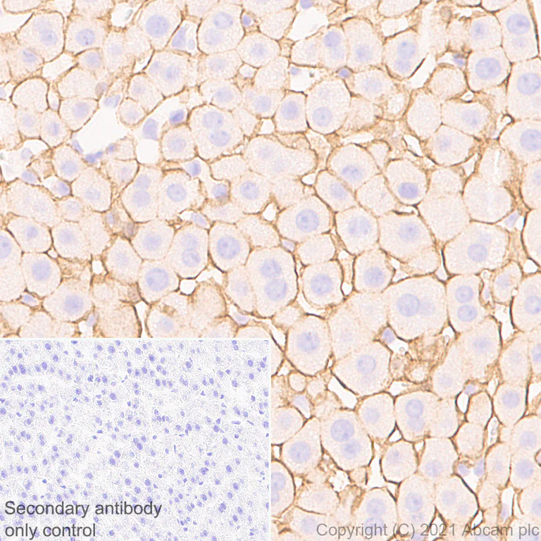
Immunohistochemistry (Formalin/PFA-fixed paraffin-embedded sections) - Anti-Insulin Receptor alpha antibody [EPR23962-157] (AB283689)

Immunohistochemical analysis of paraffin-embedded Human liver tissue labelling Insulin Receptor alpha with ab283689 at 1/2000 (1.08 ug/ml) dilution followed by a ready to use LeicaDS9800 (Bond™ Polymer Refine Detection). Positive staining on human liver. The section was incubated with ab283689 for 30 mins at room temperature. The immunostaining was performed on a Leica Biosystems BOND® RX instrument Counterstained with Hematoxylin.

Secondary antibody only control : Secondary antibody is a ready to use LeicaDS9800 (Bond™ Polymer Refine Detection).

Heat mediated antigen retrieval with Tris-EDTA buffer (pH 9.0, epitope retrieval solution2) for 20 mins

Immunohistochemistry (Formalin/PFA-fixed paraffin-embedded sections) - Anti-Insulin Receptor alpha antibody [EPR23962-157] (AB283689)
  • IHC-P

Supplier Data

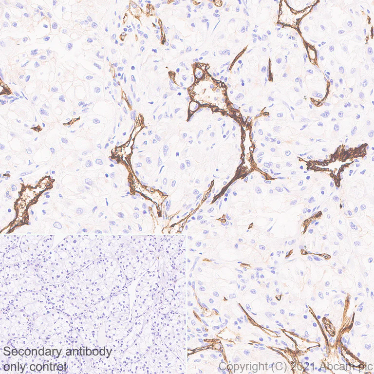
Immunohistochemistry (Formalin/PFA-fixed paraffin-embedded sections) - Anti-Insulin Receptor alpha antibody [EPR23962-157] (AB283689)

Immunohistochemical analysis of paraffin-embedded Human renal carcinoma tissue labelling Insulin Receptor alpha with ab283689 at 1/2000 (1.08 ug/ml) dilution followed by a ready to use LeicaDS9800 (Bond™ Polymer Refine Detection). Positive staining mainly on blood vessels of human renal carcinoma (PMID : 20182859). The section was incubated with ab283689 for 30 mins at room temperature. The immunostaining was performed on a Leica Biosystems BOND® RX instrument Counterstained with Hematoxylin.

Secondary antibody only control : Secondary antibody is a ready to use LeicaDS9800 (Bond™ Polymer Refine Detection).

Heat mediated antigen retrieval with Tris-EDTA buffer (pH 9.0, epitope retrieval solution2) for 20 mins

Immunohistochemistry (Formalin/PFA-fixed paraffin-embedded sections) - Anti-Insulin Receptor alpha antibody [EPR23962-157] (AB283689)
  • IHC-P

Supplier Data

Immunohistochemistry (Formalin/PFA-fixed paraffin-embedded sections) - Anti-Insulin Receptor alpha antibody [EPR23962-157] (AB283689)

Immunohistochemical analysis of paraffin-embedded Human breast cancer tissue labelling Insulin Receptor alpha with ab283689 at 1/2000 (1.08 ug/ml) dilution followed by a ready to use LeicaDS9800 (Bond™ Polymer Refine Detection). Positive staining on human breast cancer (PMID : 17221153). The section was incubated with ab283689 for 30 mins at room temperature. The immunostaining was performed on a Leica Biosystems BOND® RX instrument Counterstained with Hematoxylin.

Secondary antibody only control : Secondary antibody is a ready to use LeicaDS9800 (Bond™ Polymer Refine Detection).

Heat mediated antigen retrieval with Tris-EDTA buffer (pH 9.0, epitope retrieval solution2) for 20 mins

Immunocytochemistry/ Immunofluorescence - Anti-Insulin Receptor alpha antibody [EPR23962-157] (AB283689)
  • ICC/IF

Supplier Data

Immunocytochemistry/ Immunofluorescence - Anti-Insulin Receptor alpha antibody [EPR23962-157] (AB283689)

Immunofluorescent analysis of 4% Paraformaldehyde-fixed, 0.1% TritonX-100 permeabilized IM-9 cells labelling Insulin Receptor alpha with ab283689 at 1/50 (10.8 ug/ml) dilution, followed by ab150081 Goat Anti-Rabbit IgG H&L (Alexa Fluor® 488) preadsorbed antibody at 1/1000 (2 ug/ml) dilution (Green). Confocal image showing membrane staining in IM-9 cells. ab195889 Anti-alpha Tubulin mouse monoclonal antibody - Microtubule Marker (Alexa Fluor® 594) was used to counterstain tubulin at 1/200 (2.5 ug/ml) dilution (Red). The Nuclear counterstain was DAPI (Blue).

Secondary antibody only control : Secondary antibody is ab150081 Goat Anti-Rabbit IgG H&L (Alexa Fluor® 488) preadsorbed at 1/1000 2ug/ml dilution.

Immunoprecipitation - Anti-Insulin Receptor alpha antibody [EPR23962-157] (AB283689)
  • IP

Supplier Data

Immunoprecipitation - Anti-Insulin Receptor alpha antibody [EPR23962-157] (AB283689)

Insulin Receptor alpha was immunoprecipitated from 0.35 mg IM-9 (human multiple myeloma b lymphoblast) whole cell lysate with ab283689 at 1/30 dilution (2ug in 0.35mg lysates). Western blot was performed on the immunoprecipitate using ab283689 at 1/1000 dilution. VeriBlot for IP Detection Reagent (HRP)(ab131366) was used at 1/5000 dilution.

Lane 1 : IM-9 (human multiple myeloma b lymphoblast) whole cell lysate 10 ug

Lane 2 : ab2833689 IP in IM-9 whole cell lysate 10 ug

Lane 3 : Rabbit monoclonal IgG (ab172730) instead of ab283689 in IM-9 whole cell lysate

Blocking and dilution buffer and concentration : 5% NFDM/TBST.

Exposure time : 128 second.

All lanes:

Immunoprecipitation - Anti-Insulin Receptor alpha antibody [EPR23962-157] (ab283689)

Predicted band size: 156 kDa

false

Immunohistochemistry (Formalin/PFA-fixed paraffin-embedded sections) - Anti-Insulin Receptor alpha antibody [EPR23962-157] (AB283689)
  • IHC-P

Supplier Data

Immunohistochemistry (Formalin/PFA-fixed paraffin-embedded sections) - Anti-Insulin Receptor alpha antibody [EPR23962-157] (AB283689)

Immunohistochemical analysis of paraffin-embedded Rat liver tissue labelling Insulin Receptor alpha with ab283689 at 1/2000 (0.54 ug/ml) dilution followed by a ready to use LeicaDS9800 (Bond™ Polymer Refine Detection). Positive staining on rat liver. The section was incubated with ab283689 for 30 mins at room temperature. The immunostaining was performed on a Leica Biosystems BOND® RX instrument Counterstained with Hematoxylin.

Secondary antibody only control : Secondary antibody is a ready to use LeicaDS9800 (Bond™ Polymer Refine Detection).

Heat mediated antigen retrieval with Tris-EDTA buffer (pH 9.0, epitope retrieval solution2) for 20 mins

Immunohistochemistry (Formalin/PFA-fixed paraffin-embedded sections) - Anti-Insulin Receptor alpha antibody [EPR23962-157] (AB283689)
  • IHC-P

Supplier Data

Immunohistochemistry (Formalin/PFA-fixed paraffin-embedded sections) - Anti-Insulin Receptor alpha antibody [EPR23962-157] (AB283689)

Immunohistochemical analysis of paraffin-embedded Mouse colon tissue labelling Insulin Receptor alpha with ab283689 at 1/2000 (0.54 ug/ml) dilution followed by a ready to use LeicaDS9800 (Bond™ Polymer Refine Detection). Positive staining on mouse colon. The section was incubated with ab283689 for 30 mins at room temperature. The immunostaining was performed on a Leica Biosystems BOND® RX instrument Counterstained with Hematoxylin.

Secondary antibody only control : Secondary antibody is a ready to use LeicaDS9800 (Bond™ Polymer Refine Detection).

Heat mediated antigen retrieval with Tris-EDTA buffer (pH 9.0, epitope retrieval solution2) for 20 mins

Immunohistochemistry (Formalin/PFA-fixed paraffin-embedded sections) - Anti-Insulin Receptor alpha antibody [EPR23962-157] (AB283689)
  • IHC-P

Supplier Data

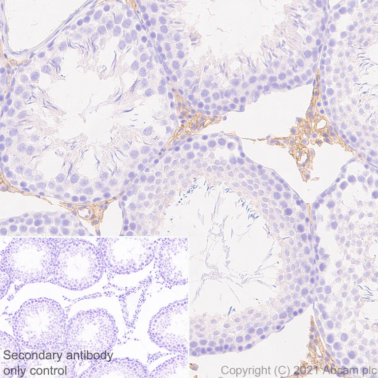
Immunohistochemistry (Formalin/PFA-fixed paraffin-embedded sections) - Anti-Insulin Receptor alpha antibody [EPR23962-157] (AB283689)

Immunohistochemical analysis of paraffin-embedded Rat testis tissue labelling Insulin Receptor alpha with ab283689 at 1/2000 (0.54 ug/ml) dilution followed by a ready to use LeicaDS9800 (Bond™ Polymer Refine Detection). Positive staining on leydig cells of rat testis. The section was incubated with ab283689 for 30 mins at room temperature. The immunostaining was performed on a Leica Biosystems BOND® RX instrument Counterstained with Hematoxylin.

Secondary antibody only control : Secondary antibody is a ready to use LeicaDS9800 (Bond™ Polymer Refine Detection).

Heat mediated antigen retrieval with Tris-EDTA buffer (pH 9.0, epitope retrieval solution2) for 20 mins

Immunohistochemistry (Formalin/PFA-fixed paraffin-embedded sections) - Anti-Insulin Receptor alpha antibody [EPR23962-157] (AB283689)
  • IHC-P

Supplier Data

Immunohistochemistry (Formalin/PFA-fixed paraffin-embedded sections) - Anti-Insulin Receptor alpha antibody [EPR23962-157] (AB283689)

Immunohistochemical analysis of paraffin-embedded Mouse liver tissue labelling Insulin Receptor alpha with ab283689 at 1/2000 (0.54 ug/ml) dilution followed by a ready to use LeicaDS9800 (Bond™ Polymer Refine Detection). Positive staining on mouse liver (PMID : 2688753). The section was incubated with ab283689 for 30 mins at room temperature. The immunostaining was performed on a Leica Biosystems BOND® RX instrument Counterstained with Hematoxylin.

Secondary antibody only control : Secondary antibody is a ready to use LeicaDS9800 (Bond™ Polymer Refine Detection).

Heat mediated antigen retrieval with Tris-EDTA buffer (pH 9.0, epitope retrieval solution2) for 20 mins

Western blot - Anti-Insulin Receptor alpha antibody [EPR23962-157] (AB283689)
  • WB

Lab

Western blot - Anti-Insulin Receptor alpha antibody [EPR23962-157] (AB283689)

Blocking and diluting buffer and concentration : 5% NFDM/TBST

Low expression cell line : T-47D (PMID : 1617668, 29099049).

The 220 kDa band is the pro-insulin receptor, while the 135 kDa band is the insulin receptor alpha subunit (PMID : 28765322, 6389544).

Exposure time : 136 seconds

All lanes:

Western blot - Anti-Insulin Receptor alpha antibody [EPR23962-157] (ab283689) at 1/1000 dilution

Lane 1:

IM-9 (human multiple myeloma B Lymphoblast), whole cell lysate at 20 µg

Lane 2:

T-47D (human ductal breast epithelial tumor epithelial cell) whole cell lysate at 20 µg

Secondary

All lanes:

Goat Anti-Rabbit IgG, (H+L), Peroxidase conjugated (<a href='/en-us/products/secondary-antibodies/goat-rabbit-igg-h-l-hrp-ab97051'>ab97051</a>) at 1/50000 dilution

Predicted band size: 156 kDa

Observed band size: 135 kDa

false

Western blot - Anti-Insulin Receptor alpha antibody [EPR23962-157] (AB283689)
  • WB

Lab

Western blot - Anti-Insulin Receptor alpha antibody [EPR23962-157] (AB283689)

Blocking and diluting buffer and concentration : 5% NFDM/TBST

The 220 kDa band is the pro-insulin receptor, while the 135 kDa band is the insulin receptor alpha subunit (PMID : 28765322, 6389544).

Exposure time : 114 seconds

All lanes:

Western blot - Anti-Insulin Receptor alpha antibody [EPR23962-157] (ab283689) at 1/1000 dilution

Lane 1:

Hepa1-6 (mouse hepatoma epithelial cell), whole cell lysate at 20 µg

Lane 2:

C2C12 (mouse myoblasts myoblast), whole cell lysate at 20 µg

Lane 3:

Mouse liver tissue lysate at 20 µg

Lane 4:

AR42J (rat pancreatic tumor epithelial cell), whole cell lysate at 20 µg

Lane 5:

NIH/3T3 (mouse embryonic fibroblast), whole cell lysate at 20 µg

Lane 6:

HEK-293T (human embryonic kidney epithelial cell), whole cell lysate at 20 µg

Secondary

All lanes:

Goat Anti-Rabbit IgG, (H+L), Peroxidase conjugated (<a href='/en-us/products/secondary-antibodies/goat-rabbit-igg-h-l-hrp-ab97051'>ab97051</a>) at 1/50000 dilution

Predicted band size: 156 kDa

Observed band size: 220 kDa

false

  • Carrier free

    Anti-Insulin Receptor alpha antibody [EPR23962-157] - BSA and Azide free

Key facts

Host species

Rabbit

Clonality

Monoclonal

Clone number

EPR23962-157

Isotype

IgG

Carrier free

No

Reacts with

Human, Rat, Mouse

Applications

WB, ICC/IF, IHC-P, IP

applications

Immunogen

The exact immunogen used to generate this antibody is proprietary information.

Reactivity data

{ "title": "Reactivity Data", "filters": { "stats": ["", "Species", "Dilution Info", "Notes"], "tabs": { "all-applications": {"fullname" : "All Applications", "shortname": "All Applications"}, "IP" : {"fullname" : "Immunoprecipitation", "shortname":"IP"}, "FlowCyt" : {"fullname" : "Flow Cytometry", "shortname":"Flow Cyt"}, "WB" : {"fullname" : "Western blot", "shortname":"WB"}, "ICCIF" : {"fullname" : "Immunocytochemistry/ Immunofluorescence", "shortname":"ICC/IF"}, "IHCP" : {"fullname" : "Immunohistochemistry (Formalin/PFA-fixed paraffin-embedded sections)", "shortname":"IHC-P"} }, "product-promise": { "all": "all", "testedAndGuaranteed": "tested", "guaranteed": "expected", "predicted": "predicted", "notRecommended": "not-recommended" } }, "values": { "Human": { "IP-species-checked": "testedAndGuaranteed", "IP-species-dilution-info": "1/1000", "IP-species-notes": "<p></p>", "FlowCyt-species-checked": "notRecommended", "FlowCyt-species-dilution-info": "", "FlowCyt-species-notes": "", "WB-species-checked": "testedAndGuaranteed", "WB-species-dilution-info": "1/1000", "WB-species-notes": "<p></p>", "ICCIF-species-checked": "testedAndGuaranteed", "ICCIF-species-dilution-info": "1/50", "ICCIF-species-notes": "<p></p>", "IHCP-species-checked": "testedAndGuaranteed", "IHCP-species-dilution-info": "1/2000", "IHCP-species-notes": "<p></p> Perform heat-mediated antigen retrieval with Tris/EDTA buffer pH 9.0 before commencing with IHC staining protocol." }, "Mouse": { "IP-species-checked": "notRecommended", "IP-species-dilution-info": "1/1000", "IP-species-notes": "<p></p>", "FlowCyt-species-checked": "notRecommended", "FlowCyt-species-dilution-info": "", "FlowCyt-species-notes": "<p></p>", "WB-species-checked": "testedAndGuaranteed", "WB-species-dilution-info": "1/1000", "WB-species-notes": "<p></p>", "ICCIF-species-checked": "notRecommended", "ICCIF-species-dilution-info": "1/50", "ICCIF-species-notes": "<p></p>", "IHCP-species-checked": "testedAndGuaranteed", "IHCP-species-dilution-info": "1/2000", "IHCP-species-notes": "<p></p> Perform heat-mediated antigen retrieval with Tris/EDTA buffer pH 9.0 before commencing with IHC staining protocol." }, "Rat": { "IP-species-checked": "notRecommended", "IP-species-dilution-info": "1/1000", "IP-species-notes": "<p></p>", "FlowCyt-species-checked": "notRecommended", "FlowCyt-species-dilution-info": "", "FlowCyt-species-notes": "<p></p>", "WB-species-checked": "testedAndGuaranteed", "WB-species-dilution-info": "1/1000", "WB-species-notes": "<p></p>", "ICCIF-species-checked": "guaranteed", "ICCIF-species-dilution-info": "", "ICCIF-species-notes": "", "IHCP-species-checked": "testedAndGuaranteed", "IHCP-species-dilution-info": "1/2000", "IHCP-species-notes": "<p></p> Perform heat-mediated antigen retrieval with Tris/EDTA buffer pH 9.0 before commencing with IHC staining protocol." } } }

Product details

Patented technology
Our RabMAb® technology is a patented hybridoma-based technology for making rabbit monoclonal antibodies. For details on our patents, please refer to RabMAb® patents.

What are the advantages of a recombinant monoclonal antibody?
This product is a recombinant monoclonal antibody, which offers several advantages including:

  • - High batch-to-batch consistency and reproducibility
  • - Improved sensitivity and specificity
  • - Long-term security of supply
  • - Animal-free batch production

For more information, read more on recombinant antibodies.

Properties and storage information

Form
Liquid
Purification technique
Affinity purification Protein A
Storage buffer
pH: 7.2 - 7.4 Preservative: 0.01% Sodium azide Constituents: 59% PBS, 40% Glycerol (glycerin, glycerine), 0.05% BSA
Shipped at conditions
Blue Ice
Appropriate short-term storage duration
1-2 weeks
Appropriate short-term storage conditions
+4°C
Appropriate long-term storage conditions
-20°C
Aliquoting information
Upon delivery aliquot
Storage information
Avoid freeze / thaw cycle

Supplementary information

This supplementary information is collated from multiple sources and compiled automatically.

The Insulin Receptor alpha (INSTA) sometimes called Insulin Receptor Subunit alpha is an integral component of the insulin receptor complex. It is an important site for insulin binding and exhibits a molecular weight (MW) of approximately 157 kDa. The receptor commonly distributes on the surface of cells with high expression in muscle cells liver cells and adipose tissue. Insulin receptor antibodies can target this protein for various studies including Western blot analyses. The protein structure itself comprises two alpha subunits alongside two beta subunits which together facilitate insulin's physiological effects.
Biological function summary

INSTA plays a critical role in glucose uptake and regulation of energy metabolism. It is an extracellular receptor involved in the formation of a tetrameric complex when interacting with insulin triggering downstream signaling cascades. The receptor helps mediate processes including glycogen synthesis lipid metabolism and protein synthesis through its influence on glucose transport and metabolic enzyme activity. The interaction with insulin generates a conformational change in the receptor which propagates cellular signal transduction essential for metabolic homeostasis.

Pathways

INSTA forms part of the insulin signaling pathway and the PI3K/Akt pathway. These pathways are essential for cellular glucose uptake and ensure energy balance within the body. Insulin receptor interacts with proteins like IRS-1 and PI3K which play roles in mediating insulin's effects. As part of these pathways INSTA assists in the convergence of signals that regulate anabolic and catabolic processes within cells making it integral to maintaining normal metabolic functions.

INSTA holds a significant connection to conditions such as type 2 diabetes mellitus and insulin resistance. Both linked to misregulation or dysregulation of insulin receptor functions these disorders underline the importance of the insulin receptor in maintaining glucose homeostasis within the body. Moreover INSTA's association with other proteins such as IRS-1 becomes particularly apparent in these disease states as malfunctioning of these proteins can impair the insulin signaling cascade exacerbating metabolic syndrome. Understanding INSTA's role provides insight into therapeutic targets for managing these related conditions.

Product protocols

For this product, it's our understanding that no specific protocols are required. You can visit:

Target data

Receptor tyrosine kinase which mediates the pleiotropic actions of insulin. Binding of insulin leads to phosphorylation of several intracellular substrates, including, insulin receptor substrates (IRS1, 2, 3, 4), SHC, GAB1, CBL and other signaling intermediates. Each of these phosphorylated proteins serve as docking proteins for other signaling proteins that contain Src-homology-2 domains (SH2 domain) that specifically recognize different phosphotyrosine residues, including the p85 regulatory subunit of PI3K and SHP2. Phosphorylation of IRSs proteins lead to the activation of two main signaling pathways : the PI3K-AKT/PKB pathway, which is responsible for most of the metabolic actions of insulin, and the Ras-MAPK pathway, which regulates expression of some genes and cooperates with the PI3K pathway to control cell growth and differentiation. Binding of the SH2 domains of PI3K to phosphotyrosines on IRS1 leads to the activation of PI3K and the generation of phosphatidylinositol-(3, 4, 5)-triphosphate (PIP3), a lipid second messenger, which activates several PIP3-dependent serine/threonine kinases, such as PDPK1 and subsequently AKT/PKB. The net effect of this pathway is to produce a translocation of the glucose transporter SLC2A4/GLUT4 from cytoplasmic vesicles to the cell membrane to facilitate glucose transport. Moreover, upon insulin stimulation, activated AKT/PKB is responsible for : anti-apoptotic effect of insulin by inducing phosphorylation of BAD; regulates the expression of gluconeogenic and lipogenic enzymes by controlling the activity of the winged helix or forkhead (FOX) class of transcription factors. Another pathway regulated by PI3K-AKT/PKB activation is mTORC1 signaling pathway which regulates cell growth and metabolism and integrates signals from insulin. AKT mediates insulin-stimulated protein synthesis by phosphorylating TSC2 thereby activating mTORC1 pathway. The Ras/RAF/MAP2K/MAPK pathway is mainly involved in mediating cell growth, survival and cellular differentiation of insulin. Phosphorylated IRS1 recruits GRB2/SOS complex, which triggers the activation of the Ras/RAF/MAP2K/MAPK pathway. In addition to binding insulin, the insulin receptor can bind insulin-like growth factors (IGFI and IGFII). Isoform Short has a higher affinity for IGFII binding. When present in a hybrid receptor with IGF1R, binds IGF1. PubMed : 12138094 shows that hybrid receptors composed of IGF1R and INSR isoform Long are activated with a high affinity by IGF1, with low affinity by IGF2 and not significantly activated by insulin, and that hybrid receptors composed of IGF1R and INSR isoform Short are activated by IGF1, IGF2 and insulin. In contrast, PubMed : 16831875 shows that hybrid receptors composed of IGF1R and INSR isoform Long and hybrid receptors composed of IGF1R and INSR isoform Short have similar binding characteristics, both bind IGF1 and have a low affinity for insulin. In adipocytes, inhibits lipolysis (By similarity).
See full target information INSR

Publications (4)

Recent publications for all applications. Explore the full list and refine your search

Open medicine (Warsaw, Poland) 20:20241119 PubMed39822992

2025

Knockdown of CCNB1 alleviates high glucose-triggered trophoblast dysfunction during gestational diabetes via Wnt/β-catenin signaling pathway.

Applications

Unspecified application

Species

Unspecified reactive species

Biru Xiao,Wenmiao Zhang,Nini Ji,Qiuyue Chen

Advanced science (Weinheim, Baden-Wurttemberg, Germany) 11:e2306348 PubMed38696655

2024

Brain Metastasis from EGFR-Mutated Non-Small Cell Lung Cancer: Secretion of IL11 from Astrocytes Up-Regulates PDL1 and Promotes Immune Escape.

Applications

Unspecified application

Species

Unspecified reactive species

Mengyi Tang,Mingxin Xu,Jian Wang,Ye Liu,Kun Liang,Yinuo Jin,Wenzhe Duan,Shengkai Xia,Guohui Li,Huiying Chu,Wenwen Liu,Qi Wang

Signal transduction and targeted therapy 9:98 PubMed38609366

2024

Infection with SARS-CoV-2 can cause pancreatic impairment.

Applications

Unspecified application

Species

Unspecified reactive species

Wei Deng,Linlin Bao,Zhiqi Song,Ling Zhang,Pin Yu,Yanfeng Xu,Jue Wang,Wenjie Zhao,Xiuqin Zhang,Yunlin Han,Yanhong Li,Jiangning Liu,Qi Lv,Xujian Liang,Fengdi Li,Feifei Qi,Ran Deng,Siyuan Wang,Yibai Xiong,Ruiping Xiao,Hongyang Wang,Chuan Qin

Frontiers in pharmacology 14:1124633 PubMed37251330

2023

PTPN2 targets TAK1 for dephosphorylation to improve cellular senescence and promote adipose tissue browning in T2DM.

Applications

Unspecified application

Species

Unspecified reactive species

Yapeng Liu,Lu Han,Ping Zhu,Ming Song,Yaoyuan Zhang,Linlin Meng,Wei Zhang,Cheng Zhang,Ming Zhong
View all publications

Product promise

We are committed to supporting your work with high-quality reagents, and we're here for you every step of the way. In the unlikely event that one of our products does not perform as expected, you're protected by our Product Promise.
For full details, please see our Terms & Conditions

Please note: All products are 'FOR RESEARCH USE ONLY. NOT FOR USE IN DIAGNOSTIC OR THERAPEUTIC PROCEDURES'.

For licensing inquiries, please contact partnerships@abcam.com