JavaScript is disabled in your browser. Please enable JavaScript to view this website.
AB203746

Anti-Insulin Receptor antibody

Be the first to review this product! Submit a review

|

(3 Publications)

Rabbit Polyclonal Insulin Receptor antibody. Suitable for IHC-P and reacts with Human samples. Cited in 3 publications. Immunogen corresponding to Synthetic Peptide within Human INSR aa 800-900 conjugated to Keyhole Limpet Haemocyanin.

View Alternative Names

CD220, Insulin receptor, IR, INSR

1 Images
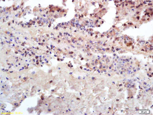
Immunohistochemistry (Formalin/PFA-fixed paraffin-embedded sections) - Anti-Insulin Receptor antibody (AB203746)
  • IHC-P

Supplier Data

Immunohistochemistry (Formalin/PFA-fixed paraffin-embedded sections) - Anti-Insulin Receptor antibody (AB203746)

Immunohistochemical analysis of formalin-fixed, paraffin embedded Human kidney carcinoma tissue labeling Insulin receptor with ab203746 at 1/200, followed by conjugation to the secondary antibody and DAB staining.

Key facts

Host species

Rabbit

Clonality

Polyclonal

Isotype

IgG

Carrier free

No

Reacts with

Human

Applications

IHC-P

applications

Immunogen

Synthetic Peptide within Human INSR aa 800-900 conjugated to Keyhole Limpet Haemocyanin. The exact immunogen used to generate this antibody is proprietary information.

P06213

Reactivity data

{ "title": "Reactivity Data", "filters": { "stats": ["", "Species", "Dilution Info", "Notes"], "tabs": { "all-applications": {"fullname" : "All Applications", "shortname": "All Applications"}, "IHCP" : {"fullname" : "Immunohistochemistry (Formalin/PFA-fixed paraffin-embedded sections)", "shortname":"IHC-P"} }, "product-promise": { "all": "all", "testedAndGuaranteed": "tested", "guaranteed": "expected", "predicted": "predicted", "notRecommended": "not-recommended" } }, "values": { "Human": { "IHCP-species-checked": "testedAndGuaranteed", "IHCP-species-dilution-info": "1/100 - 1/500", "IHCP-species-notes": "<p>When a fluorescent probe is needed use at a dilution of 1/50 - 1/200.</p>" } } }

Properties and storage information

Form
Liquid
Purification technique
Affinity purification Protein A
Storage buffer
pH: 7.4 Preservative: 0.02% Proclin 300 Constituents: 50% Glycerol (glycerin, glycerine), 48.98% TBS, 1X, 1% BSA
Shipped at conditions
Blue Ice
Appropriate short-term storage duration
1-2 weeks
Appropriate short-term storage conditions
+4°C
Appropriate long-term storage conditions
-20°C
Aliquoting information
Upon delivery aliquot
Storage information
Avoid freeze / thaw cycle

Supplementary information

This supplementary information is collated from multiple sources and compiled automatically.

The insulin receptor (INSR) is a transmembrane glycoprotein that functions as a receptor for insulin. Known also as CD220 the receptor has a molecular weight of about 320 kDa. It is widely expressed in insulin-sensitive tissues such as liver muscle and adipose tissues. The insulin receptor consists of two α subunits and two β subunits forming a heterotetramer. These subunits are located outside and inside the cell membrane respectively. The α subunits bind insulin while the β subunits possess tyrosine kinase activity important for downstream signaling.
Biological function summary

Insulin receptor plays a role in facilitating the effects of insulin on glucose and lipid metabolism. When insulin a protein binds to the insulin receptor it undergoes a conformational change that activates its intrinsic kinase activity. This activation further leads to tyrosine phosphorylation of intracellular targets resulting in modulation of cellular functions. Insulin receptor also participates in the formation of signaling complexes through interaction with substrates like insulin receptor substrate (IRS) proteins which are important for the transmission of the insulin signal inside cells.

Pathways

Insulin receptor is central to the insulin signaling pathway and the mitogen-activated protein kinase (MAPK) pathway. Activation of the insulin receptor triggers the insulin signaling cascade which involves various proteins like PI3 kinase and Akt that contribute to glucose uptake and metabolism. In the MAPK pathway the insulin receptor influences gene expression related to cell growth and differentiation. These pathways intertwine with other hormone signaling systems and affect numerous physiological processes critical for maintaining metabolic homeostasis.

Aberrations in insulin receptor function are linked to insulin resistance and type 2 diabetes. Defective signaling through this receptor impairs glucose transport into cells contributing to hyperglycemia. Disorders in insulin receptor activity also relate to metabolic syndrome a cluster of conditions increasing the risk of heart disease. Proteins connected to these conditions include IRS proteins and PI3 kinase highlighting the integrated roles these components play in metabolic regulation. Developing anti-insulin receptor antibodies offers potential therapeutic interventions to modulate receptor function and manage these disorders effectively.

Product protocols

For this product, it's our understanding that no specific protocols are required. You can visit:

Target data

Receptor tyrosine kinase which mediates the pleiotropic actions of insulin. Binding of insulin leads to phosphorylation of several intracellular substrates, including, insulin receptor substrates (IRS1, 2, 3, 4), SHC, GAB1, CBL and other signaling intermediates. Each of these phosphorylated proteins serve as docking proteins for other signaling proteins that contain Src-homology-2 domains (SH2 domain) that specifically recognize different phosphotyrosine residues, including the p85 regulatory subunit of PI3K and SHP2. Phosphorylation of IRSs proteins lead to the activation of two main signaling pathways : the PI3K-AKT/PKB pathway, which is responsible for most of the metabolic actions of insulin, and the Ras-MAPK pathway, which regulates expression of some genes and cooperates with the PI3K pathway to control cell growth and differentiation. Binding of the SH2 domains of PI3K to phosphotyrosines on IRS1 leads to the activation of PI3K and the generation of phosphatidylinositol-(3, 4, 5)-triphosphate (PIP3), a lipid second messenger, which activates several PIP3-dependent serine/threonine kinases, such as PDPK1 and subsequently AKT/PKB. The net effect of this pathway is to produce a translocation of the glucose transporter SLC2A4/GLUT4 from cytoplasmic vesicles to the cell membrane to facilitate glucose transport. Moreover, upon insulin stimulation, activated AKT/PKB is responsible for : anti-apoptotic effect of insulin by inducing phosphorylation of BAD; regulates the expression of gluconeogenic and lipogenic enzymes by controlling the activity of the winged helix or forkhead (FOX) class of transcription factors. Another pathway regulated by PI3K-AKT/PKB activation is mTORC1 signaling pathway which regulates cell growth and metabolism and integrates signals from insulin. AKT mediates insulin-stimulated protein synthesis by phosphorylating TSC2 thereby activating mTORC1 pathway. The Ras/RAF/MAP2K/MAPK pathway is mainly involved in mediating cell growth, survival and cellular differentiation of insulin. Phosphorylated IRS1 recruits GRB2/SOS complex, which triggers the activation of the Ras/RAF/MAP2K/MAPK pathway. In addition to binding insulin, the insulin receptor can bind insulin-like growth factors (IGFI and IGFII). Isoform Short has a higher affinity for IGFII binding. When present in a hybrid receptor with IGF1R, binds IGF1. PubMed : 12138094 shows that hybrid receptors composed of IGF1R and INSR isoform Long are activated with a high affinity by IGF1, with low affinity by IGF2 and not significantly activated by insulin, and that hybrid receptors composed of IGF1R and INSR isoform Short are activated by IGF1, IGF2 and insulin. In contrast, PubMed : 16831875 shows that hybrid receptors composed of IGF1R and INSR isoform Long and hybrid receptors composed of IGF1R and INSR isoform Short have similar binding characteristics, both bind IGF1 and have a low affinity for insulin. In adipocytes, inhibits lipolysis (By similarity).
See full target information INSR

Publications (3)

Recent publications for all applications. Explore the full list and refine your search

Frontiers in pharmacology 13:828473 PubMed35153796

2022

Trilobatin, a Natural Food Additive, Exerts Anti-Type 2 Diabetes Effect Mediated by Nrf2/ARE and IRS-1/GLUT2 Signaling Pathways.

Applications

Unspecified application

Species

Unspecified reactive species

Yan-Ling Shi,Yue-Ping Zhang,Huan Luo,Fan Xu,Jian-Mei Gao,Jing-Shan Shi,Qi-Hai Gong

PloS one 14:e0225190 PubMed31714935

2019

Effects of insulin signaling on mouse taste cell proliferation.

Applications

Unspecified application

Species

Unspecified reactive species

Shingo Takai,Yu Watanabe,Keisuke Sanematsu,Ryusuke Yoshida,Robert F Margolskee,Peihua Jiang,Ikiru Atsuta,Kiyoshi Koyano,Yuzo Ninomiya,Noriatsu Shigemura

Frontiers in physiology 8:794 PubMed29075202

2017

Mitochondrial ATP Depletion Disrupts Caco-2 Monolayer Integrity and Internalizes Claudin 7.

Applications

Unspecified application

Species

Unspecified reactive species

Lonneke M JanssenDuijghuijsen,Sander Grefte,Vincent C J de Boer,Lara Zeper,Dorien A M van Dartel,Inge van der Stelt,Melissa Bekkenkamp-Grovenstein,Klaske van Norren,Harry J Wichers,Jaap Keijer
View all publications

Product promise

We are committed to supporting your work with high-quality reagents, and we're here for you every step of the way. In the unlikely event that one of our products does not perform as expected, you're protected by our Product Promise.
For full details, please see our Terms & Conditions

Please note: All products are 'FOR RESEARCH USE ONLY. NOT FOR USE IN DIAGNOSTIC OR THERAPEUTIC PROCEDURES'.

For licensing inquiries, please contact partnerships@abcam.com