JavaScript is disabled in your browser. Please enable JavaScript to view this website.
AB69508

Anti-Insulin Receptor beta antibody [C18C4]

3

(2 Reviews)

|

(50 Publications)

Mouse Monoclonal Insulin Receptor beta antibody. Suitable for IHC-P, Flow Cyt, WB and reacts with Human, Mouse, Rat samples. Cited in 40 publications. Immunogen corresponding to Recombinant Fragment Protein within Human INSR.

View Alternative Names

CD220, Insulin receptor, IR

4 Images
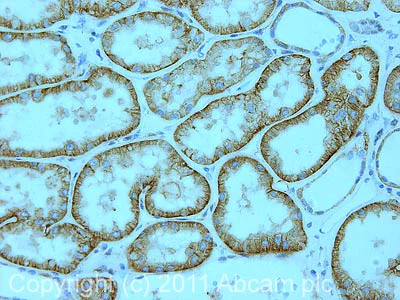
Immunohistochemistry (Formalin/PFA-fixed paraffin-embedded sections) - Anti-Insulin Receptor beta antibody [C18C4] (AB69508)
  • IHC-P

Unknown

Immunohistochemistry (Formalin/PFA-fixed paraffin-embedded sections) - Anti-Insulin Receptor beta antibody [C18C4] (AB69508)

IHC image of ab69508 staining in human normal kidney formalin fixed paraffin embedded tissue section, performed on a Leica BondTM system using the standard protocol F. The section was pre-treated using heat mediated antigen retrieval with sodium citrate buffer (pH6, epitope retrieval solution 1) for 20 mins. The section was then incubated with ab69508, 1μg/ml, for 15 mins at room temperature and detected using an HRP conjugated compact polymer system. DAB was used as the chromogen. The section was then counterstained with haematoxylin and mounted with DPX.

For other IHC staining systems (automated and non-automated) customers should optimize variable parameters such as antigen retrieval conditions, primary antibody concentration and antibody incubation times.

This image was generated using the ascites version of the product.

Flow Cytometry - Anti-Insulin Receptor beta antibody [C18C4] (AB69508)
  • Flow Cyt

Unknown

Flow Cytometry - Anti-Insulin Receptor beta antibody [C18C4] (AB69508)

Overlay histogram showing HepG2 cells stained with ab69508 (red line). The cells were fixed with 80% methanol (5 min) and incubated in 1x PBS / 10% normal goat serum / 0.3M glycine to block non-specific protein-protein interactions. The cells were then incubated with the antibody (ab69508, 1μg/1x106 cells) for 30 min at 22°C. The secondary antibody used was DyLight® 488 goat anti-mouse IgG (H+L) (ab96879) at 1/500 dilution for 30 min at 22°C. Isotype control antibody (black line) was mouse IgG1 [ICIGG1] (ab91353, 2μg/1x106 cells) used under the same conditions. Acquisition of >5,000 events was performed.

Please note that Abcam do not have any data for use of this antibody on non-fixed cells. We welcome any customer feedback.

This image was generated using the ascites version of the product.

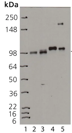
Western blot - Anti-Insulin Receptor beta antibody [C18C4] (AB69508)
  • WB

Supplier Data

Western blot - Anti-Insulin Receptor beta antibody [C18C4] (AB69508)

This image was generated using the ascites version of the product.

All lanes:

Western blot - Anti-Insulin Receptor beta antibody [C18C4] (ab69508) at 1/1000 dilution

Lane 2:

HeLa lysate (Human epithelial cell line from cervix adenocarcinoma)

Lane 3:

MCF-7 lysate (Human breast adenocarcinoma cell line)

Lane 4:

PC-12 lysate (Rat adrenal gland pheochromocytoma cell line)

Lane 5:

3T3-L1 lysate (Mouse embryonic fibroblast cell line)

Predicted band size: 95 kDa

Observed band size: 98 kDa

true

Western blot - Anti-Insulin Receptor beta antibody [C18C4] (AB69508)
  • WB

CiteAb

Western blot - Anti-Insulin Receptor beta antibody [C18C4] (AB69508)

Insulin Receptor beta western blot using anti-Insulin Receptor beta antibody [C18C4] ab69508. Publication image and figure legend from Shih, C. K., Chen, C. M., et al., 2020, Food Nutr Res, PubMed 32425738.

ab69508 was used in this publication in western blot. This may not be the same as the application(s) guaranteed by Abcam. For a full list of applications guaranteed by Abcam for ab69508 please see the product overview.

Expression of insulin-signaling-related proteins in the muscle. Protein expression of p-IR & IR (panel a), p-Akt & Akt (panel b), and M-GLUT4 & T-GLU4 (panel c) were analyzed with Western blot of the homogenates in the gastrocnemius muscle. Data are expressed as means ± standard deviations (n = 5). p-IR, phospho-insulin receptor; IR, insulin receptor; p-Akt, phospho-protein kinase B; Akt, protein kinase B; M-GLU4, membrane glucose transporter 4; T-GLU4, total glucose transporter 4; Asterisks indicate significant difference compared to DM group. Statistical evaluation was performed using one-way ANOVA, followed by Duncan's multiple range test, p < 0.05.

false

Key facts

Host species

Mouse

Clonality

Monoclonal

Clone number

C18C4

Isotype

IgG1

Carrier free

No

Reacts with

Mouse, Rat, Human

Applications

WB, IHC-P, Flow Cyt

applications

Immunogen

Recombinant Fragment Protein within Human INSR. The exact immunogen used to generate this antibody is proprietary information.

P06213

Reactivity data

{ "title": "Reactivity Data", "filters": { "stats": ["", "Species", "Dilution Info", "Notes"], "tabs": { "all-applications": {"fullname" : "All Applications", "shortname": "All Applications"}, "IHCP" : {"fullname" : "Immunohistochemistry (Formalin/PFA-fixed paraffin-embedded sections)", "shortname":"IHC-P"}, "FlowCyt" : {"fullname" : "Flow Cytometry", "shortname":"Flow Cyt"}, "WB" : {"fullname" : "Western blot", "shortname":"WB"} }, "product-promise": { "all": "all", "testedAndGuaranteed": "tested", "guaranteed": "expected", "predicted": "predicted", "notRecommended": "not-recommended" } }, "values": { "Human": { "IHCP-species-checked": "testedAndGuaranteed", "IHCP-species-dilution-info": "", "IHCP-species-notes": "<p></p> Perform heat-mediated antigen retrieval with citrate buffer pH 6 before commencing with IHC staining protocol.", "FlowCyt-species-checked": "testedAndGuaranteed", "FlowCyt-species-dilution-info": "", "FlowCyt-species-notes": "<p><a href='/en-us/products/primary-antibodies/mouse-igg1-kappa-monoclonal-15-6e10a7-isotype-control-ab170190'>ab170190</a> - Mouse monoclonal IgG1, is suitable for use as an isotype control with this antibody.</p>", "WB-species-checked": "testedAndGuaranteed", "WB-species-dilution-info": "", "WB-species-notes": "<p>(developed by ECL)</p>" }, "Mouse": { "IHCP-species-checked": "guaranteed", "IHCP-species-dilution-info": "", "IHCP-species-notes": "", "FlowCyt-species-checked": "guaranteed", "FlowCyt-species-dilution-info": "", "FlowCyt-species-notes": "", "WB-species-checked": "testedAndGuaranteed", "WB-species-dilution-info": "", "WB-species-notes": "<p>(developed by ECL)</p>" }, "Rat": { "IHCP-species-checked": "guaranteed", "IHCP-species-dilution-info": "", "IHCP-species-notes": "", "FlowCyt-species-checked": "guaranteed", "FlowCyt-species-dilution-info": "", "FlowCyt-species-notes": "", "WB-species-checked": "testedAndGuaranteed", "WB-species-dilution-info": "", "WB-species-notes": "<p>(developed by ECL)</p>" } } }

Product details

This product was changed from ascites to tissue culture supernatant on 22nd May 2019. Please note that the dilutions may need to be adjusted accordingly. If you have any questions, please do not hesitate to contact our scientific support team.

Properties and storage information

Form
Liquid
Purity
Tissue culture supernatant
Purification technique
Affinity purification Protein G
Purification notes
Purified from TCS.
Storage buffer
Preservative: 0.09% Sodium azide Constituents: PBS, 50% Glycerol (glycerin, glycerine)
Shipped at conditions
Blue Ice
Appropriate short-term storage conditions
+4°C
Appropriate long-term storage conditions
-20°C
Aliquoting information
Upon delivery aliquot
Storage information
Avoid freeze / thaw cycle

Supplementary information

This supplementary information is collated from multiple sources and compiled automatically.

Insulin Receptor beta (IR beta) also known as IRB is a subunit of the insulin receptor which is a transmembrane protein deeply involved in cellular signal transduction. This receptor has two main subunits: alpha and beta. The insulin receptor beta is responsible for the transduction of insulin's metabolic and mitogenic signals through its intrinsic tyrosine kinase activity. This subunit has a molecular mass of approximately 95 kDa and is predominantly expressed on the surface of insulin-responsive cells like liver muscle and adipose tissue cells where it mediates glucose uptake and metabolism. Its expression is usually determined through methods such as insulin western blot.
Biological function summary

The function of insulin receptor beta involves both glucose homeostasis and growth regulation as part of the tetrameric insulin receptor complex. Upon insulin binding to the receptor IR beta undergoes autophosphorylation leading to the recruitment and phosphorylation of various intracellular substrates. This interaction plays a critical role in mediating the effects of insulin such as promoting glucose uptake in cells and modulating lipid metabolism. This receptor subunit is also referred to in studies as insulin 44 or insulin 37 referring to different conceptual sizes or regulatory stages.

Pathways

The insulin signaling pathway represents the main route facilitated by insulin receptor beta. This pathway is essential for regulating glucose transport lipid metabolism and protein synthesis. Perturbations in this cascade are commonly associated with insulin resistance. The insulin receptor beta interacts with other proteins like insulin receptor substrates (IRS) during this pathway which subsequently activate key downstream pathways such as the PI3K-AKT pathway critical for cell survival and growth. This protein also plays a role in MAP kinase signaling through which it impacts gene expression related to cell growth.

Insulin receptor beta relates prominently to type 2 diabetes mellitus and metabolic syndrome. Mutations or dysfunctions in IR beta can lead to defective insulin signaling causing insulin resistance a major hallmark of these conditions. Additionally it is implicated in polycystic ovary syndrome (PCOS) where altered insulin signaling influences the endocrine and metabolic profiles. Proteins like insulin receptor substrates are often examined in these contexts as they directly interact with IR beta and modulate the downstream effects seen in these diseases.

Product protocols

For this product, it's our understanding that no specific protocols are required. You can visit:

Target data

Receptor tyrosine kinase which mediates the pleiotropic actions of insulin. Binding of insulin leads to phosphorylation of several intracellular substrates, including, insulin receptor substrates (IRS1, 2, 3, 4), SHC, GAB1, CBL and other signaling intermediates. Each of these phosphorylated proteins serve as docking proteins for other signaling proteins that contain Src-homology-2 domains (SH2 domain) that specifically recognize different phosphotyrosine residues, including the p85 regulatory subunit of PI3K and SHP2. Phosphorylation of IRSs proteins lead to the activation of two main signaling pathways : the PI3K-AKT/PKB pathway, which is responsible for most of the metabolic actions of insulin, and the Ras-MAPK pathway, which regulates expression of some genes and cooperates with the PI3K pathway to control cell growth and differentiation. Binding of the SH2 domains of PI3K to phosphotyrosines on IRS1 leads to the activation of PI3K and the generation of phosphatidylinositol-(3, 4, 5)-triphosphate (PIP3), a lipid second messenger, which activates several PIP3-dependent serine/threonine kinases, such as PDPK1 and subsequently AKT/PKB. The net effect of this pathway is to produce a translocation of the glucose transporter SLC2A4/GLUT4 from cytoplasmic vesicles to the cell membrane to facilitate glucose transport. Moreover, upon insulin stimulation, activated AKT/PKB is responsible for : anti-apoptotic effect of insulin by inducing phosphorylation of BAD; regulates the expression of gluconeogenic and lipogenic enzymes by controlling the activity of the winged helix or forkhead (FOX) class of transcription factors. Another pathway regulated by PI3K-AKT/PKB activation is mTORC1 signaling pathway which regulates cell growth and metabolism and integrates signals from insulin. AKT mediates insulin-stimulated protein synthesis by phosphorylating TSC2 thereby activating mTORC1 pathway. The Ras/RAF/MAP2K/MAPK pathway is mainly involved in mediating cell growth, survival and cellular differentiation of insulin. Phosphorylated IRS1 recruits GRB2/SOS complex, which triggers the activation of the Ras/RAF/MAP2K/MAPK pathway. In addition to binding insulin, the insulin receptor can bind insulin-like growth factors (IGFI and IGFII). Isoform Short has a higher affinity for IGFII binding. When present in a hybrid receptor with IGF1R, binds IGF1. PubMed : 12138094 shows that hybrid receptors composed of IGF1R and INSR isoform Long are activated with a high affinity by IGF1, with low affinity by IGF2 and not significantly activated by insulin, and that hybrid receptors composed of IGF1R and INSR isoform Short are activated by IGF1, IGF2 and insulin. In contrast, PubMed : 16831875 shows that hybrid receptors composed of IGF1R and INSR isoform Long and hybrid receptors composed of IGF1R and INSR isoform Short have similar binding characteristics, both bind IGF1 and have a low affinity for insulin. In adipocytes, inhibits lipolysis (By similarity).
See full target information INSR

Publications (50)

Recent publications for all applications. Explore the full list and refine your search

iScience 28:112354 PubMed40330888

2025

Synaptotagmin-7 deficit causes insulin hypoactivity and contributes to behavioral alterations in mice.

Applications

Unspecified application

Species

Unspecified reactive species

Yao-Nan Liu,Qiu-Wen Wang,Si-Yao Lu,Wei Shen,Chongye Guo,Zhikai Xing,Chang Li,Shan Sun,Sen-Fang Sui,Shuangli Mi,Fred H Gage,Jun Yao

Methods in molecular biology (Clifton, N.J.) 2882:179-193 PubMed39992510

2025

Amino Acid Sensing by Transceptors: Exploring Substrate-Induced Regulation of Amino Acid Transporters and Transporter Expression.

Applications

Unspecified application

Species

Unspecified reactive species

Dinesh S Shah,Harinder S Hundal

Cells 13: PubMed38667300

2024

Investigating the Impact of IL6 on Insulin Secretion: Evidence from INS-1 Cells, Human Pancreatic Islets, and Serum Analysis.

Applications

Unspecified application

Species

Unspecified reactive species

Jalal Taneera,Anila Khalique,Abdul Khader Mohammed,Bashair M Mussa,Nabil Sulaiman,Eman Abu-Gharbieh,Waseem El-Huneidi,Maha M Saber-Ayad

Molecular nutrition & food research 68:e2200842 PubMed37990402

2023

Goat Milk Improves Glucose Metabolism in Type 2 Diabetic Mice and Protects Pancreatic β-Cell Functions.

Applications

Unspecified application

Species

Unspecified reactive species

Xiaoying Chen,Zhifei Zhang,Huiming Niu,Xinmiao Tian,Huibin Tian,Weiwei Yao,Huanshan He,Huaiping Shi,Cong Li,Jun Luo

Molecular biology of the cell 34:ar124 PubMed37703099

2023

EHD2 regulates plasma membrane integrity and downstream insulin receptor signaling events.

Applications

Unspecified application

Species

Unspecified reactive species

Mathis Neuhaus,Claes Fryklund,Holly Taylor,Andrea Borreguero-Muñoz,Franziska Kopietz,Hamidreza Ardalani,Oksana Rogova,Laura Stirrat,Shaun K Bremner,Peter Spégel,Nia J Bryant,Gwyn W Gould,Karin G Stenkula

British journal of cancer 129:521-530 PubMed37355721

2023

Insulin receptor expression to predict resistance to axitinib and elucidation of the underlying molecular mechanism in metastatic renal cell carcinoma.

Applications

Unspecified application

Species

Unspecified reactive species

Masayuki Takahashi,Kei Daizumoto,Tomoya Fukawa,Yayoi Fukuhara,Yoshimi Bando,Minoru Kowada,Tsogt-Ochir Dondoo,Yutaro Sasaki,Ryotaro Tomida,Yoshiteru Ueno,Megumi Tsuda,Yoshito Kusuhara,Kunihisa Yamaguchi,Yasuyo Yamamoto,Hisanori Uehara,Hiroomi Kanayama

Frontiers in endocrinology 14:1127524 PubMed37008907

2023

The specific mitochondrial unfolded protein response in fast- and slow-twitch muscles of high-fat diet-induced insulin-resistant rats.

Applications

Unspecified application

Species

Unspecified reactive species

Can Li,Nan Li,Ziyi Zhang,Yu Song,Jialin Li,Zhe Wang,Hai Bo,Yong Zhang

Experimental biology and medicine (Maywood, N.J.) 248:339-349 PubMed36740767

2023

plays a critical role in insulin secretion in INS-1 cells and human pancreatic islets.

Applications

Unspecified application

Species

Unspecified reactive species

Mohammad G Mohammad,Rania Saeed,Abdul Khader Mohammed,Anila Khalique,Mohamad Hamad,Waseem El-Huneidi,Mawieh Hamad,Jalal Taneera

Genetics research 2022:1500768 PubMed36325267

2022

Upregulation of Klotho Aggravates Insulin Resistance in Gestational Diabetes Mellitus Trophoblast Cells.

Applications

Unspecified application

Species

Unspecified reactive species

Li Lin,Xinyu Wang,Weihua Zhao,Yaxuan Chen

Frontiers in veterinary science 9:912721 PubMed36176700

2022

Insulin-like growth factor system components expressed at the conceptus-maternal interface during the establishment of equine pregnancy.

Applications

Unspecified application

Species

Unspecified reactive species

Charlotte Gibson,M de Ruijter-Villani,Tom A E Stout
View all publications

Product promise

We are committed to supporting your work with high-quality reagents, and we're here for you every step of the way. In the unlikely event that one of our products does not perform as expected, you're protected by our Product Promise.
For full details, please see our Terms & Conditions

Please note: All products are 'FOR RESEARCH USE ONLY. NOT FOR USE IN DIAGNOSTIC OR THERAPEUTIC PROCEDURES'.

For licensing inquiries, please contact partnerships@abcam.com