JavaScript is disabled in your browser. Please enable JavaScript to view this website.
AB227831

Anti-Insulin Receptor beta antibody [EPR22167]

Be the first to review this product! Submit a review

|

(6 Publications)

Rabbit Recombinant Monoclonal Insulin Receptor beta antibody. Suitable for IP, WB, IHC-P and reacts with Human samples.

View Alternative Names

CD220, Insulin receptor, IR

6 Images
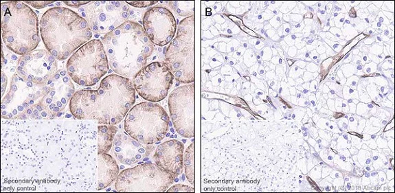
Immunohistochemistry (Formalin/PFA-fixed paraffin-embedded sections) - Anti-Insulin Receptor beta antibody [EPR22167] (AB227831)
  • IHC-P

Supplier Data

Immunohistochemistry (Formalin/PFA-fixed paraffin-embedded sections) - Anti-Insulin Receptor beta antibody [EPR22167] (AB227831)

Immunohistochemical analysis of paraffin-embedded human kidney (Panel A) and kidney carcinoma (Panel B) tissues labeling Insulin Receptor beta with ab227831 at 1/500 dilution, followed by Goat Anti-Rabbit IgG H&L (HRP) Ready to use. Cytoplasmic staining in human kidney tubules (panel A). Positive staining in endothelium of blood vessels in human kidney carcinoma (panel B), PMID : 25864925, PMID : 20182859. Counter stained with hematoxylin.

Secondary antibody only control : Used PBS instead of primary antibody, secondary antibody is Goat Anti-Rabbit IgG H&L (HRP) Ready to use.

Heat mediated antigen retrieval was performed with Tris/EDTA buffer pH 9.0 before commencing with IHC staining protocol.

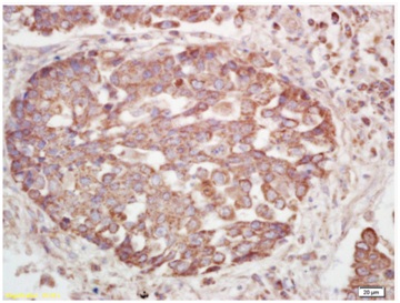
Immunohistochemistry (Formalin/PFA-fixed paraffin-embedded sections) - Anti-Insulin Receptor beta antibody [EPR22167] (AB227831)
  • IHC-P

Supplier Data

Immunohistochemistry (Formalin/PFA-fixed paraffin-embedded sections) - Anti-Insulin Receptor beta antibody [EPR22167] (AB227831)

Immunohistochemical analysis of paraffin-embedded human glioma tissue labeling Insulin Receptor beta with ab227831 at 1/500 dilution, followed by Goat Anti-Rabbit IgG H&L (HRP) Ready to use. Positive staining in endothelium of blood vessels in human glioma (PMID : 26136493) is observed. Counter stained with hematoxylin.

Secondary antibody only control : Used PBS instead of primary antibody, secondary antibody is Goat Anti-Rabbit IgG H&L (HRP) Ready to use.

Heat mediated antigen retrieval was performed with Tris/EDTA buffer pH 9.0 before commencing with IHC staining protocol.

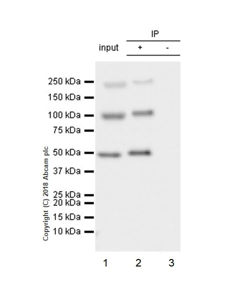
Immunoprecipitation - Anti-Insulin Receptor beta antibody [EPR22167] (AB227831)
  • IP

Supplier Data

Immunoprecipitation - Anti-Insulin Receptor beta antibody [EPR22167] (AB227831)

Insulin Receptor beta was immunoprecipitated from 0.35 mg of HEK-293T (human epithelial cell line from embryonic kidney transformed with large T antigen) whole cell lysate with ab227831 at 1/30 dilution. Western blot was performed from the immunoprecipitate using ab227831 at 1/1000 dilution. VeriBlot for IP Detection Reagent (HRP) (ab131366), was used for detection at 1/5000 dilution.

Lane 1 : HEK-293T whole cell lysate 10 μg (Input).

Lane 2 : 227831 IP in HEK-293T whole cell lysate.

Lane 3 : Rabbit monoclonal IgG (ab172730) instead of 227831 in HEK-293T whole cell lysate.

Blocking and dilution buffer and concentration : 5% NFDM/TBST.

Exposure time : 5 seconds.

The 210 kDa band is the pro-Insulin receptor, while the 95 kDa band is the insulin receptor beta subunit (PMID : 28765322, PMID : 28915606).

The 45-68 kDa bands are proteolytic cleavage fragments (PMID : 28915606, PMID : 6693383, PMID : 6315728).

All lanes:

Immunoprecipitation - Anti-Insulin Receptor beta antibody [EPR22167] (ab227831)

false

Immunoprecipitation - Anti-Insulin Receptor beta antibody [EPR22167] (AB227831)
  • IP

Supplier Data

Immunoprecipitation - Anti-Insulin Receptor beta antibody [EPR22167] (AB227831)

Insulin Receptor beta was immunoprecipitated from 0.35 mg of HepG2 (human liver hepatocellular carcinoma cell line) whole cell lysate with ab227831 at 1/30 dilution. Western blot was performed from the immunoprecipitate using ab227831 at 1/1000 dilution. VeriBlot for IP Detection Reagent (HRP) (ab131366), was used for detection at 1/5000 dilution.

Lane 1 : HepG2 whole cell lysate 10 μg (Input).

Lane 2 : 227831 IP in HepG2 whole cell lysate.

Lane 3 : Rabbit monoclonal IgG (ab172730) instead of 227831 in HepG2 whole cell lysate.

Blocking and dilution buffer and concentration : 5% NFDM/TBST.

Exposure time : 5 seconds.

The 210 kDa band is the pro-Insulin receptor, while the 95 kDa band is the insulin receptor beta subunit (PMID : 28765322, PMID : 28915606).

The 45-68 kDa bands are proteolytic cleavage fragments (PMID : 28915606, PMID : 6693383, PMID : 6315728).

All lanes:

Immunoprecipitation - Anti-Insulin Receptor beta antibody [EPR22167] (ab227831)

false

Western blot - Anti-Insulin Receptor beta antibody [EPR22167] (AB227831)
  • WB

Supplier Data

Western blot - Anti-Insulin Receptor beta antibody [EPR22167] (AB227831)

Exposure time : Lanes 1-2 : 48 seconds; Lanes 3 : 59 seconds; Lanes 4&6-7 : 70 seconds; Lane 5 : 37 seconds.

Blocking/Dilution buffer : 5% NFDM/TBST.

The 210 kDa band is the pro-insulin receptor, while the 95 kDa band is the insulin receptor beta subunit (PMID : 28765322, PMID : 28915606).

The 45-68 kDa bands are proteolytic cleavage fragments (PMID : 28915606, PMID : 6693383, PMID : 6315728).

All lanes:

Western blot - Anti-Insulin Receptor beta antibody [EPR22167] (ab227831) at 1/1000 dilution

Lane 1:

HepG2 (human liver hepatocellular carcinoma cell line) whole cell lysate at 20 µg

Lane 2:

HEK-293T (human epithelial cell line from embryonic kidney transformed with large T antigen) whole cell lysate at 20 µg

Lane 3:

LNCaP (human prostate cancer cell line) whole cell lysate at 10 µg

Lane 4:

HeLa (human epithelial cell line from cervix adenocarcinoma) whole cell lysate at 10 µg

Lane 5:

MCF7 (human breast adenocarcinoma cell line) whole cell lysate at 10 µg

Lane 6:

Human fetal brain lysate at 10 µg

Lane 7:

Human liver lysate at 10 µg

Secondary

Lanes 1 - 5:

Western blot - Goat Anti-Rabbit IgG H&L (HRP) (<a href='/en-us/products/secondary-antibodies/goat-rabbit-igg-h-l-hrp-ab97051'>ab97051</a>) at 1/100000 dilution

Lanes 6 - 7:

Western blot - Goat Anti-Rabbit IgG H&L (HRP) (<a href='/en-us/products/secondary-antibodies/goat-rabbit-igg-h-l-hrp-ab97051'>ab97051</a>) at 1/20000 dilution

Observed band size: 210 kDa,45 kDa,95 kDa

false

Western blot - Anti-Insulin Receptor beta antibody [EPR22167] (AB227831)
  • WB

Lab

Western blot - Anti-Insulin Receptor beta antibody [EPR22167] (AB227831)

Western blot : Rabbit Monoclonal[EPR22167] to Insulin Receptor beta ab227831 staining at 1/1000 dilution, shown in green; Mouse anti alpha Tubulin (ab7291) loading control staining at 1/20,000 dilution, shown in magenta. A band was observed at 85, 200 kDa in Wild-type HepG2 cell lysates with no signal observed at this size in INSR knockout HepG2 cell line. To generate this image, samples were run on an SDS-PAGE gel then transferred onto a nitrocellulose membrane. Membranes were blocked in 3pc Milk in TBS-0.1 % Tween® 20 (TBS-T) before incubation with primary antibodies overnight at 4°C. Blots were washed four times in TBS-T, incubated with secondary antibodies for 1 h at room temperature, washed again four times then imaged. Secondary antibodies used were Goat anti-Rabbit 800CW & Goat anti-Mouse 680RD at 1/20,000 dilution.

Lanes 1 - 4:

Western blot - Anti-Insulin Receptor beta antibody [EPR22167] (ab227831) at 1/1000 dilution

Lanes 1 - 4:

Western blot - Anti-Insulin Receptor beta antibody [EPR22167] - BSA and Azide free (<a href='/en-us/products/primary-antibodies/insulin-receptor-beta-antibody-epr22167-bsa-and-azide-free-ab236764'>ab236764</a>) at 1/1000 dilution

Lane 1:

Wild-type HepG2 at 20 µg

Lane 2:

INSR knockout HepG2 at 20 µg

Lane 3:

A549 at 20 µg

Lane 4:

HeLa at 20 µg

Secondary

All lanes:

Goat anti-Rabbit 800CW & Goat anti-Mouse 680RD at 1/20000 dilution

Predicted band size: 156 kDa

Observed band size: 85 kDa,200 kDa

false

  • Carrier free

    Anti-Insulin Receptor beta antibody [EPR22167] - BSA and Azide free

Key facts

Host species

Rabbit

Clonality

Monoclonal

Clone number

EPR22167

Isotype

IgG

Carrier free

No

Reacts with

Human

Applications

IP, WB, IHC-P

applications

Immunogen

The exact immunogen used to generate this antibody is proprietary information.

Reactivity data

{ "title": "Reactivity Data", "filters": { "stats": ["", "Species", "Dilution Info", "Notes"], "tabs": { "all-applications": {"fullname" : "All Applications", "shortname": "All Applications"}, "IP" : {"fullname" : "Immunoprecipitation", "shortname":"IP"}, "WB" : {"fullname" : "Western blot", "shortname":"WB"}, "IHCP" : {"fullname" : "Immunohistochemistry (Formalin/PFA-fixed paraffin-embedded sections)", "shortname":"IHC-P"}, "ELISA" : {"fullname" : "ELISA", "shortname":"ELISA"} }, "product-promise": { "all": "all", "testedAndGuaranteed": "tested", "guaranteed": "expected", "predicted": "predicted", "notRecommended": "not-recommended" } }, "values": { "Human": { "IP-species-checked": "testedAndGuaranteed", "IP-species-dilution-info": "1/30", "IP-species-notes": "<p></p>", "WB-species-checked": "testedAndGuaranteed", "WB-species-dilution-info": "1/1000", "WB-species-notes": "<p></p>", "IHCP-species-checked": "testedAndGuaranteed", "IHCP-species-dilution-info": "1/500", "IHCP-species-notes": "<p></p> Perform heat-mediated antigen retrieval with Tris/EDTA buffer pH 9.0 before commencing with IHC staining protocol.", "ELISA-species-checked": "notRecommended", "ELISA-species-dilution-info": "", "ELISA-species-notes": "<p></p>" } } }

Product details

Patented technology
Our RabMAb® technology is a patented hybridoma-based technology for making rabbit monoclonal antibodies. For details on our patents, please refer to RabMAb® patents.

What are the advantages of a recombinant monoclonal antibody?
This product is a recombinant monoclonal antibody, which offers several advantages including:

  • - High batch-to-batch consistency and reproducibility
  • - Improved sensitivity and specificity
  • - Long-term security of supply
  • - Animal-free batch production

For more information, read more on recombinant antibodies.

Properties and storage information

Form
Liquid
Purification technique
Affinity purification Protein A
Storage buffer
pH: 7.2 - 7.4 Preservative: 0.01% Sodium azide Constituents: PBS, 49% Glycerol (glycerin, glycerine), 0.05% BSA
Shipped at conditions
Blue Ice
Appropriate short-term storage duration
1-2 weeks
Appropriate short-term storage conditions
+4°C
Appropriate long-term storage conditions
-20°C
Aliquoting information
Upon delivery aliquot
Storage information
Avoid freeze / thaw cycle

Supplementary information

This supplementary information is collated from multiple sources and compiled automatically.

Insulin Receptor beta (IR beta) also known as IRB is a subunit of the insulin receptor which is a transmembrane protein deeply involved in cellular signal transduction. This receptor has two main subunits: alpha and beta. The insulin receptor beta is responsible for the transduction of insulin's metabolic and mitogenic signals through its intrinsic tyrosine kinase activity. This subunit has a molecular mass of approximately 95 kDa and is predominantly expressed on the surface of insulin-responsive cells like liver muscle and adipose tissue cells where it mediates glucose uptake and metabolism. Its expression is usually determined through methods such as insulin western blot.
Biological function summary

The function of insulin receptor beta involves both glucose homeostasis and growth regulation as part of the tetrameric insulin receptor complex. Upon insulin binding to the receptor IR beta undergoes autophosphorylation leading to the recruitment and phosphorylation of various intracellular substrates. This interaction plays a critical role in mediating the effects of insulin such as promoting glucose uptake in cells and modulating lipid metabolism. This receptor subunit is also referred to in studies as insulin 44 or insulin 37 referring to different conceptual sizes or regulatory stages.

Pathways

The insulin signaling pathway represents the main route facilitated by insulin receptor beta. This pathway is essential for regulating glucose transport lipid metabolism and protein synthesis. Perturbations in this cascade are commonly associated with insulin resistance. The insulin receptor beta interacts with other proteins like insulin receptor substrates (IRS) during this pathway which subsequently activate key downstream pathways such as the PI3K-AKT pathway critical for cell survival and growth. This protein also plays a role in MAP kinase signaling through which it impacts gene expression related to cell growth.

Insulin receptor beta relates prominently to type 2 diabetes mellitus and metabolic syndrome. Mutations or dysfunctions in IR beta can lead to defective insulin signaling causing insulin resistance a major hallmark of these conditions. Additionally it is implicated in polycystic ovary syndrome (PCOS) where altered insulin signaling influences the endocrine and metabolic profiles. Proteins like insulin receptor substrates are often examined in these contexts as they directly interact with IR beta and modulate the downstream effects seen in these diseases.

Product protocols

For this product, it's our understanding that no specific protocols are required. You can visit:

Target data

Receptor tyrosine kinase which mediates the pleiotropic actions of insulin. Binding of insulin leads to phosphorylation of several intracellular substrates, including, insulin receptor substrates (IRS1, 2, 3, 4), SHC, GAB1, CBL and other signaling intermediates. Each of these phosphorylated proteins serve as docking proteins for other signaling proteins that contain Src-homology-2 domains (SH2 domain) that specifically recognize different phosphotyrosine residues, including the p85 regulatory subunit of PI3K and SHP2. Phosphorylation of IRSs proteins lead to the activation of two main signaling pathways : the PI3K-AKT/PKB pathway, which is responsible for most of the metabolic actions of insulin, and the Ras-MAPK pathway, which regulates expression of some genes and cooperates with the PI3K pathway to control cell growth and differentiation. Binding of the SH2 domains of PI3K to phosphotyrosines on IRS1 leads to the activation of PI3K and the generation of phosphatidylinositol-(3, 4, 5)-triphosphate (PIP3), a lipid second messenger, which activates several PIP3-dependent serine/threonine kinases, such as PDPK1 and subsequently AKT/PKB. The net effect of this pathway is to produce a translocation of the glucose transporter SLC2A4/GLUT4 from cytoplasmic vesicles to the cell membrane to facilitate glucose transport. Moreover, upon insulin stimulation, activated AKT/PKB is responsible for : anti-apoptotic effect of insulin by inducing phosphorylation of BAD; regulates the expression of gluconeogenic and lipogenic enzymes by controlling the activity of the winged helix or forkhead (FOX) class of transcription factors. Another pathway regulated by PI3K-AKT/PKB activation is mTORC1 signaling pathway which regulates cell growth and metabolism and integrates signals from insulin. AKT mediates insulin-stimulated protein synthesis by phosphorylating TSC2 thereby activating mTORC1 pathway. The Ras/RAF/MAP2K/MAPK pathway is mainly involved in mediating cell growth, survival and cellular differentiation of insulin. Phosphorylated IRS1 recruits GRB2/SOS complex, which triggers the activation of the Ras/RAF/MAP2K/MAPK pathway. In addition to binding insulin, the insulin receptor can bind insulin-like growth factors (IGFI and IGFII). Isoform Short has a higher affinity for IGFII binding. When present in a hybrid receptor with IGF1R, binds IGF1. PubMed : 12138094 shows that hybrid receptors composed of IGF1R and INSR isoform Long are activated with a high affinity by IGF1, with low affinity by IGF2 and not significantly activated by insulin, and that hybrid receptors composed of IGF1R and INSR isoform Short are activated by IGF1, IGF2 and insulin. In contrast, PubMed : 16831875 shows that hybrid receptors composed of IGF1R and INSR isoform Long and hybrid receptors composed of IGF1R and INSR isoform Short have similar binding characteristics, both bind IGF1 and have a low affinity for insulin. In adipocytes, inhibits lipolysis (By similarity).
See full target information INSR

Publications (6)

Recent publications for all applications. Explore the full list and refine your search

Chemical biology & drug design 106:e70169 PubMed40944385

2025

Kisspeptin-10 Improves Gestational Diabetes Mellitus Symptoms in Rats by Suppressing Insulin Resistance in Placental Trophoblast Cells by Activating the Cyclic AMP/Protein Kinase A Pathway.

Applications

Unspecified application

Species

Unspecified reactive species

Jianhua Li,Jinhuan Chen,Lin Lu,Bei Gan

Journal of pineal research 77:e70072 PubMed40873119

2025

Melatonin Induces PERK-ATF4 Unfolded Protein Response and Apoptosis in Human Choriocarcinoma Cells.

Applications

Unspecified application

Species

Unspecified reactive species

Josianne Bienvenue-Pariseault,Lucas Sagrillo-Fagundes,Philippe Wong-Yen,Darius Stakamatos,Marie Cohen,Cathy Vaillancourt

Biological research 56:48 PubMed37608294

2023

Mucin1 induced trophoblast dysfunction in gestational diabetes mellitus via Wnt/β-catenin pathway.

Applications

Unspecified application

Species

Unspecified reactive species

Shuang-Shuang Cui,Ping Zhang,Lu Sun,Yu-Lin-Lan Yuan,Jingyun Wang,Feng-Xiang Zhang,Ruiman Li

Journal of inflammation research 16:3049-3062 PubMed37497063

2023

Decoding the Intercellular Cross-Talking Between Immune Cells and Renal Innate Cells in Diabetic Kidney Disease by Bioinformatics.

Applications

Unspecified application

Species

Unspecified reactive species

Meng Zhou,Fang Lu,Ling Jiang,Chen Chen,Si Chen,Luhan Geng,Rui Sun,Qing Li,Suyan Duan,Bo Zhang,Huijuan Mao,Changying Xing,Yanggang Yuan

Molecular medicine reports 23: PubMed33760164

2021

miR-93-5p promotes insulin resistance to regulate type 2 diabetes progression in HepG2 cells by targeting HGF.

Applications

Unspecified application

Species

Unspecified reactive species

Man Zhou,Yilin Hou,Jun Wu,Guangli Li,Ping Cao,Wan Chen,Lingli Hu,Dingyun Gan

American journal of translational research 12:7953-7967 PubMed33437372

2020

INSR mediated by transcription factor KLF4 and DNA methylation ameliorates osteoarthritis progression via inactivation of JAK2/STAT3 signaling pathway.

Applications

Unspecified application

Species

Unspecified reactive species

Wenzhou Liu,Yanbo Chen,Gang Zeng,Tao Yang,Weidong Song
View all publications

Product promise

We are committed to supporting your work with high-quality reagents, and we're here for you every step of the way. In the unlikely event that one of our products does not perform as expected, you're protected by our Product Promise.
For full details, please see our Terms & Conditions

Please note: All products are 'FOR RESEARCH USE ONLY. NOT FOR USE IN DIAGNOSTIC OR THERAPEUTIC PROCEDURES'.

For licensing inquiries, please contact partnerships@abcam.com