JavaScript is disabled in your browser. Please enable JavaScript to view this website.
AB303493

Anti-Insulin Receptor beta (phospho Y1361) antibody [EPR26130-37] - BSA and Azide free

Be the first to review this product! Submit a review

|

(0 Publication)

Rabbit Recombinant Monoclonal Insulin Receptor phospho Y1361 antibody. Carrier free. Suitable for Dot, IP, Flow Cyt (Intra), ICC/IF, WB and reacts with Synthetic peptide, Human, Rat, Mouse samples.

View Alternative Names

CD220, Insulin receptor, IR, INSR

8 Images
Flow Cytometry (Intracellular) - Anti-Insulin Receptor beta (phospho Y1361) antibody [EPR26130-37] - BSA and Azide free (AB303493)
  • Flow Cyt (Intra)

Supplier Data

Flow Cytometry (Intracellular) - Anti-Insulin Receptor beta (phospho Y1361) antibody [EPR26130-37] - BSA and Azide free (AB303493)

This data was developed using ab303492, the same antibody clone in a different buffer formulation. Flow cytometric (Intracellular) analysis of 4% paraformaldehyde fixed 90% methanol permeabilized HEK-293 (human embryonic kidney epithelial cell) treated with 100nM insulin and 1mM pervanadate for 15 min (Red) / Untreated control (Green) cells labeling Insulin Receptor beta (phospho Y1361) with ab303492 at 1/500 dilution (0.1ug) compared with a Rabbit monoclonal IgG (ab172730) (Black) isotype control and an unlabeled control (cells without incubation with primary antibody and secondary antibody) (Blue). A Goat Anti-Rabbit IgG (Alexa Fluor® 488, ab150081) at 1/2000 dilution was used as the secondary antibody.

Immunocytochemistry/ Immunofluorescence - Anti-Insulin Receptor beta (phospho Y1361) antibody [EPR26130-37] - BSA and Azide free (AB303493)
  • ICC/IF

Supplier Data

Immunocytochemistry/ Immunofluorescence - Anti-Insulin Receptor beta (phospho Y1361) antibody [EPR26130-37] - BSA and Azide free (AB303493)

This data was developed using ab303492, the same antibody clone in a different buffer formulation. Immunofluorescent analysis of 4% Paraformaldehyde-fixed, 0.1% Triton X-100 permeabilized HEK-293 (human embryonic kidney epithelial cell) cells labeling Insulin Receptor beta (phospho Y1361) with ab303492 at 1/500 dilution (0.986 ug/ml), followed by ab150081 Goat Anti-Rabbit IgG H&L (Alexa Fluor® 488) preadsorbed antibody at 1/1000 dilution (2 ug/ml) (Green). Confocal image showing cytoplasmic staining in HEK-293 cells treated with pervanadate (1 mM) for 30 min and the signal decreased after phosphatase treatment at 37°C for 2 h. Image was taken with a confocal microscope(Leica-Microsystems, TCS SP8). ab195889 Anti-alpha Tubulin mouse monoclonal antibody - Microtubule Marker (Alexa Fluor® 594) was used to counterstain tubulin at 1/200 dilution (2.5 ug/ml) (Red). The nuclear counterstain was DAPI (Blue). Secondary antibody only control : Secondary antibody is ab150081 Goat Anti-Rabbit IgG H&L (Alexa Fluor® 488) preadsorbed at 1/1000 dilution (2 ug/ml).

Immunoprecipitation - Anti-Insulin Receptor beta (phospho Y1361) antibody [EPR26130-37] - BSA and Azide free (AB303493)
  • IP

Supplier Data

Immunoprecipitation - Anti-Insulin Receptor beta (phospho Y1361) antibody [EPR26130-37] - BSA and Azide free (AB303493)

This data was developed using ab303492, the same antibody clone in a different buffer formulation. Insulin Receptor beta (phospho Y1361) was immunoprecipitated from 0.35 mg 293T (human embryonic kidney epithelial cell) treated with 1mM pervanadate for 30min whole cell lysate 10 µg with ab303492 at 1/30 dilution (2ug in 0.35mg lysates). Western blot was performed on the immunoprecipitate using ab303492 at 1/1000 dilution. VeriBlot for IP secondary antibody(HRP)(ab131366) was used at 1/5000 dilution. Lane 1 : 293T treated with 1mM pervanadate for 30min whole cell lysate 10 µg Lane 2 : ab303492 IP in 293T treated with 1mM pervanadate for 30min whole cell lysate Lane 3 : Rabbit monoclonal IgG (ab172730) instead of ab303492 in 293T treated with 1mM pervanadate for 30min whole cell lysate Blocking and dilution buffer and concentration : 5% NFDM/TBST. Exposure time : 102 seconds.

All lanes:

Immunoprecipitation - Anti-Insulin Receptor beta (phospho Y1361) antibody [EPR26130-37] (<a href='/en-us/products/primary-antibodies/insulin-receptor-beta-phospho-y1361-antibody-epr26130-37-ab303492'>ab303492</a>) at 1/1000 dilution

Lane 1:

293T treated with 1mM pervanadate for 30min whole cell lysate at 5 µg

Lane 2:

293T treated with 1mM pervanadate for 30min whole cell lysate

Secondary

All lanes:

Immunoprecipitation - VeriBlot for IP Detection Reagent (HRP) (<a href='/en-us/products/reagents/veriblot-for-ip-detection-reagent-hrp-ab131366'>ab131366</a>) at 1/5000 dilution

Observed band size: 95 kDa

false

Exposure time: 102s

Western blot - Anti-Insulin Receptor beta (phospho Y1361) antibody [EPR26130-37] - BSA and Azide free (AB303493)
  • WB

Supplier Data

Western blot - Anti-Insulin Receptor beta (phospho Y1361) antibody [EPR26130-37] - BSA and Azide free (AB303493)

This data was developed using ab303492, the same antibody clone in a different buffer formulation. Buffer/dilution concentration : 5% NFDM/TBST Exposure time : 48 seconds The molecular weight observed is consistent with what has been described in the literature (PMID : 27087690; PMID : 6315728; PMID : 28915606). Bands of 95kDa and ~45 kDa respectively represent the full length and the proteolytic cleavage fragment (β1) of the insulin receptor beta subunit (PMID : 6693383; PMID : 6315728; PMID : 28915606).

All lanes:

Western blot - Anti-Insulin Receptor beta (phospho Y1361) antibody [EPR26130-37] (<a href='/en-us/products/primary-antibodies/insulin-receptor-beta-phospho-y1361-antibody-epr26130-37-ab303492'>ab303492</a>) at 1/1000 dilution

Lane 1:

Untreated 293T (human embryonic kidney epithelial cell) whole cell lysate (untreated membrane) at 20 µg

Lane 2:

293T treated with 1mM pervanadate for 30min whole cell lysate (untreated membrane) at 20 µg

Lane 3:

293T treated with 1mM pervanadate for 30min whole cell lysate (phosphatase treated membrane) at 20 µg

Secondary

All lanes:

Western blot - Goat Anti-Rabbit IgG H&L (HRP) (<a href='/en-us/products/secondary-antibodies/goat-rabbit-igg-h-l-hrp-ab97051'>ab97051</a>) at 1/20000 dilution

Observed band size: 45 kDa,95 kDa,210 kDa

false

Exposure time: 48s

Western blot - Anti-Insulin Receptor beta (phospho Y1361) antibody [EPR26130-37] - BSA and Azide free (AB303493)
  • WB

Supplier Data

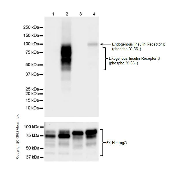
Western blot - Anti-Insulin Receptor beta (phospho Y1361) antibody [EPR26130-37] - BSA and Azide free (AB303493)

This data was developed using ab303492, the same antibody clone in a different buffer formulation. Buffer/dilution : 5% NFDM/TBST Exposure time : 3 seconds.

All lanes:

Western blot - Anti-Insulin Receptor beta (phospho Y1361) antibody [EPR26130-37] (<a href='/en-us/products/primary-antibodies/insulin-receptor-beta-phospho-y1361-antibody-epr26130-37-ab303492'>ab303492</a>) at 1/1000 dilution

Lane 1:

Untreated 293T cells transfected with a human INSR (aa763-1382) expression vector containing a myc-His-tag® whole cell lysate at 5 µg

Lane 2:

293T cells transfected with a human INSR (aa763-1382) expression vector containing a myc-His-tag®, treated with 1mM pervanadate for 30min whole cell lysate at 5 µg

Lane 3:

Untreated 293T cells transfected with a human INSR (mutation Y1361A) (aa763-1382) expression vector containing a myc-His-tag® whole cell lysate at 5 µg

Lane 4:

293T cells transfected with a human INSR (mutation Y1361A) (aa763-1382) expression vector containing a myc-His-tag®, treated with 1mM pervanadate for 30min whole cell lysate at 5 µg

Secondary

All lanes:

Western blot - Goat Anti-Rabbit IgG H&L (HRP) (<a href='/en-us/products/secondary-antibodies/goat-rabbit-igg-h-l-hrp-ab97051'>ab97051</a>) at 1/20000 dilution

Observed band size: 45 kDa,95 kDa

false

Exposure time: 3s

Dot Blot - Anti-Insulin Receptor beta (phospho Y1361) antibody [EPR26130-37] - BSA and Azide free (AB303493)
  • Dot

Supplier Data

Dot Blot - Anti-Insulin Receptor beta (phospho Y1361) antibody [EPR26130-37] - BSA and Azide free (AB303493)

This data was developed using ab303492, the same antibody clone in a different buffer formulation. Dot blot analysis of Insulin Receptor beta (phospho Y1361) using ab303492 at 1 : 1000 dilution (0.493 ug/ml) followed by a Goat Anti-Rabbit IgG, (H+L), Peroxidase conjugated (ab97051) at 1 : 100,000 dilution. Exposure time : 180 seconds Blocking and diluting buffer and concentration : 5% NFDM/TBST Lane 1 : Insulin Receptor beta (phospho Y1361 + T1362) peptide Lane 2 : Insulin Receptor beta (phospho T1362) peptide Lane 3 : Insulin Receptor beta (phospho Y1361) peptide a Lane 4 : Insulin Receptor beta (phospho Y1361) peptide b Lane 5 : Insulin Receptor beta non-phospho peptide corresponding to the region of peptides a and b

Western blot - Anti-Insulin Receptor beta (phospho Y1361) antibody [EPR26130-37] - BSA and Azide free (AB303493)
  • WB

Supplier Data

Western blot - Anti-Insulin Receptor beta (phospho Y1361) antibody [EPR26130-37] - BSA and Azide free (AB303493)

This data was developed using ab303492, the same antibody clone in a different buffer formulation. Buffer/dilution concentration : 5% NFDM/TBST Exposure time : 37 seconds The molecular weight observed is consistent with what has been described in the literature (PMID : 27087690; PMID : 26297026; PMID : 6315728; PMID : 28915606 ). Bands of 95 kDa and ~45 kDa respectively represent the full length and the proteolytic cleavage fragment (β1) of the insulin receptor beta subunit (PMID : 6693383; PMID : 6315728; PMID : 28915606). This blot was developed using a high sensitvity ECL substrate.

All lanes:

Western blot - Anti-Insulin Receptor beta (phospho Y1361) antibody [EPR26130-37] (<a href='/en-us/products/primary-antibodies/insulin-receptor-beta-phospho-y1361-antibody-epr26130-37-ab303492'>ab303492</a>) at 1/1000 dilution

Lane 1:

Untreated C6 whole cell lysate (untreated membrane) at 20 µg

Lane 2:

C6 treated with 1mM pervanadate for 30min whole cell lysate (untreated membrane) at 20 µg

Lane 3:

C6 treated with 1mM pervanadate for 30min whole cell lysate (phosphatase treated membrane) at 20 µg

Secondary

All lanes:

Western blot - Goat Anti-Rabbit IgG H&L (HRP) (<a href='/en-us/products/secondary-antibodies/goat-rabbit-igg-h-l-hrp-ab97051'>ab97051</a>) at 1/20000 dilution

Observed band size: 45 kDa,95 kDa,210 kDa

true

Exposure time: 103s

Western blot - Anti-Insulin Receptor beta (phospho Y1361) antibody [EPR26130-37] - BSA and Azide free (AB303493)
  • WB

Supplier Data

Western blot - Anti-Insulin Receptor beta (phospho Y1361) antibody [EPR26130-37] - BSA and Azide free (AB303493)

This data was developed using ab303492, the same antibody clone in a different buffer formulation. Buffer/dilution concentration : 5% NFDM/TBST Exposure time : 37 seconds The molecular weight observed is consistent with what has been described in the literature (PMID : 27087690; PMID : 26297026; PMID : 6315728; PMID : 28915606 ). Bands of 95 kDa and ~45 kDa respectively represent the full length and the proteolytic cleavage fragment (β1) of the insulin receptor beta subunit (PMID : 6693383; PMID : 6315728; PMID : 28915606).

All lanes:

Western blot - Anti-Insulin Receptor beta (phospho Y1361) antibody [EPR26130-37] (<a href='/en-us/products/primary-antibodies/insulin-receptor-beta-phospho-y1361-antibody-epr26130-37-ab303492'>ab303492</a>) at 1/1000 dilution

Lane 1:

Untreated NIH/3T3 whole cell lysate (untreated membrane) at 20 µg

Lane 2:

NIH/3T3 treated with 1mM pervanadate for 30min whole cell lysate (untreated membrane) at 20 µg

Lane 3:

NIH/3T3 treated with 1mM pervanadate for 30min whole cell lysate (phosphatase treated membrane) at 20 µg

Secondary

All lanes:

Western blot - Goat Anti-Rabbit IgG H&L (HRP) (<a href='/en-us/products/secondary-antibodies/goat-rabbit-igg-h-l-hrp-ab97051'>ab97051</a>) at 1/20000 dilution

Observed band size: 45 kDa,95 kDa,210 kDa

false

Exposure time: 37s

  • Unconjugated

    Anti-Insulin Receptor beta (phospho Y1361) antibody [EPR26130-37]

Key facts

Host species

Rabbit

Clonality

Monoclonal

Clone number

EPR26130-37

Isotype

IgG

Carrier free

Yes

Reacts with

Human, Mouse, Rat

Applications

ICC/IF, Flow Cyt (Intra), IP, Dot, WB

applications

Immunogen

The exact immunogen used to generate this antibody is proprietary information.

Reactivity data

{ "title": "Reactivity Data", "filters": { "stats": ["", "Species", "Dilution Info", "Notes"], "tabs": { "all-applications": {"fullname" : "All Applications", "shortname": "All Applications"}, "Dot" : {"fullname" : "Dot Blot", "shortname":"Dot"}, "IP" : {"fullname" : "Immunoprecipitation", "shortname":"IP"}, "FlowCytIntra" : {"fullname" : "Flow Cytometry (Intracellular)", "shortname":"Flow Cyt (Intra)"}, "ICCIF" : {"fullname" : "Immunocytochemistry/ Immunofluorescence", "shortname":"ICC/IF"}, "IHCP" : {"fullname" : "Immunohistochemistry (Formalin/PFA-fixed paraffin-embedded sections)", "shortname":"IHC-P"}, "WB" : {"fullname" : "Western blot", "shortname":"WB"} }, "product-promise": { "all": "all", "testedAndGuaranteed": "tested", "guaranteed": "expected", "predicted": "predicted", "notRecommended": "not-recommended" } }, "values": { "Human": { "Dot-species-checked": "guaranteed", "Dot-species-dilution-info": "", "Dot-species-notes": "", "IP-species-checked": "testedAndGuaranteed", "IP-species-dilution-info": "", "IP-species-notes": "<p></p>", "FlowCytIntra-species-checked": "testedAndGuaranteed", "FlowCytIntra-species-dilution-info": "", "FlowCytIntra-species-notes": "<p></p>", "ICCIF-species-checked": "testedAndGuaranteed", "ICCIF-species-dilution-info": "", "ICCIF-species-notes": "<p></p>", "IHCP-species-checked": "notRecommended", "IHCP-species-dilution-info": "", "IHCP-species-notes": "<p></p>", "WB-species-checked": "testedAndGuaranteed", "WB-species-dilution-info": "", "WB-species-notes": "<p></p>" }, "Mouse": { "Dot-species-checked": "guaranteed", "Dot-species-dilution-info": "", "Dot-species-notes": "", "IP-species-checked": "guaranteed", "IP-species-dilution-info": "", "IP-species-notes": "", "FlowCytIntra-species-checked": "guaranteed", "FlowCytIntra-species-dilution-info": "", "FlowCytIntra-species-notes": "", "ICCIF-species-checked": "guaranteed", "ICCIF-species-dilution-info": "", "ICCIF-species-notes": "", "IHCP-species-checked": "notRecommended", "IHCP-species-dilution-info": "", "IHCP-species-notes": "<p></p>", "WB-species-checked": "testedAndGuaranteed", "WB-species-dilution-info": "", "WB-species-notes": "<p></p>" }, "Rat": { "Dot-species-checked": "guaranteed", "Dot-species-dilution-info": "", "Dot-species-notes": "", "IP-species-checked": "guaranteed", "IP-species-dilution-info": "", "IP-species-notes": "", "FlowCytIntra-species-checked": "guaranteed", "FlowCytIntra-species-dilution-info": "", "FlowCytIntra-species-notes": "", "ICCIF-species-checked": "guaranteed", "ICCIF-species-dilution-info": "", "ICCIF-species-notes": "", "IHCP-species-checked": "notRecommended", "IHCP-species-dilution-info": "", "IHCP-species-notes": "<p></p>", "WB-species-checked": "testedAndGuaranteed", "WB-species-dilution-info": "", "WB-species-notes": "<p></p>" }, "Synthetic peptide": { "Dot-species-checked": "testedAndGuaranteed", "Dot-species-dilution-info": "", "Dot-species-notes": "<p></p>", "IP-species-checked": "notRecommended", "IP-species-dilution-info": "", "IP-species-notes": "", "FlowCytIntra-species-checked": "notRecommended", "FlowCytIntra-species-dilution-info": "", "FlowCytIntra-species-notes": "", "ICCIF-species-checked": "notRecommended", "ICCIF-species-dilution-info": "", "ICCIF-species-notes": "", "IHCP-species-checked": "notRecommended", "IHCP-species-dilution-info": "", "IHCP-species-notes": "", "WB-species-checked": "notRecommended", "WB-species-dilution-info": "", "WB-species-notes": "" } } }

Product details

Patented technology
Our RabMAb® technology is a patented hybridoma-based technology for making rabbit monoclonal antibodies. For details on our patents, please refer to RabMAb® patents.

What are the advantages of a recombinant monoclonal antibody?
This product is a recombinant monoclonal antibody, which offers several advantages including:

  • - High batch-to-batch consistency and reproducibility
  • - Improved sensitivity and specificity
  • - Long-term security of supply
  • - Animal-free batch production

For more information, read more on recombinant antibodies.

Conjugation ready
Our carrier-free antibodies are typically supplied in a PBS-only formulation, purified and free of BSA, sodium azide and glycerol. This conjugation-ready format is designed for use with fluorochromes, metal isotopes, oligonucleotides, and enzymes, which makes them ideal for antibody labelling, functional and cell-based assays, flow-based assays (e.g. mass cytometry) and Multiplex Imaging applications.

Use our conjugation kits for antibody conjugates that are ready-to-use in as little as 20 minutes with 1 minute hands-on-time and 100% antibody recovery: available for fluorescent dyes, HRP, biotin and gold.

Compatibility
This product is compatible with the Maxpar® Antibody Labeling Kit from Fluidigm, without the need for antibody preparation. Maxpar® is a trademark of Fluidigm Canada Inc.

Properties and storage information

Form
Liquid
Purification technique
Affinity purification Protein A
Storage buffer
pH: 7.2 - 7.4 Constituents: PBS
Shipped at conditions
Blue Ice
Appropriate short-term storage conditions
+4°C
Appropriate long-term storage conditions
+4°C
Storage information
Do Not Freeze

Supplementary information

This supplementary information is collated from multiple sources and compiled automatically.

Insulin Receptor beta (IR beta) also known as IRB is a subunit of the insulin receptor which is a transmembrane protein deeply involved in cellular signal transduction. This receptor has two main subunits: alpha and beta. The insulin receptor beta is responsible for the transduction of insulin's metabolic and mitogenic signals through its intrinsic tyrosine kinase activity. This subunit has a molecular mass of approximately 95 kDa and is predominantly expressed on the surface of insulin-responsive cells like liver muscle and adipose tissue cells where it mediates glucose uptake and metabolism. Its expression is usually determined through methods such as insulin western blot.
Biological function summary

The function of insulin receptor beta involves both glucose homeostasis and growth regulation as part of the tetrameric insulin receptor complex. Upon insulin binding to the receptor IR beta undergoes autophosphorylation leading to the recruitment and phosphorylation of various intracellular substrates. This interaction plays a critical role in mediating the effects of insulin such as promoting glucose uptake in cells and modulating lipid metabolism. This receptor subunit is also referred to in studies as insulin 44 or insulin 37 referring to different conceptual sizes or regulatory stages.

Pathways

The insulin signaling pathway represents the main route facilitated by insulin receptor beta. This pathway is essential for regulating glucose transport lipid metabolism and protein synthesis. Perturbations in this cascade are commonly associated with insulin resistance. The insulin receptor beta interacts with other proteins like insulin receptor substrates (IRS) during this pathway which subsequently activate key downstream pathways such as the PI3K-AKT pathway critical for cell survival and growth. This protein also plays a role in MAP kinase signaling through which it impacts gene expression related to cell growth.

Insulin receptor beta relates prominently to type 2 diabetes mellitus and metabolic syndrome. Mutations or dysfunctions in IR beta can lead to defective insulin signaling causing insulin resistance a major hallmark of these conditions. Additionally it is implicated in polycystic ovary syndrome (PCOS) where altered insulin signaling influences the endocrine and metabolic profiles. Proteins like insulin receptor substrates are often examined in these contexts as they directly interact with IR beta and modulate the downstream effects seen in these diseases.

Product protocols

For this product, it's our understanding that no specific protocols are required. You can visit:

Target data

Receptor tyrosine kinase which mediates the pleiotropic actions of insulin. Binding of insulin leads to phosphorylation of several intracellular substrates, including, insulin receptor substrates (IRS1, 2, 3, 4), SHC, GAB1, CBL and other signaling intermediates. Each of these phosphorylated proteins serve as docking proteins for other signaling proteins that contain Src-homology-2 domains (SH2 domain) that specifically recognize different phosphotyrosine residues, including the p85 regulatory subunit of PI3K and SHP2. Phosphorylation of IRSs proteins lead to the activation of two main signaling pathways : the PI3K-AKT/PKB pathway, which is responsible for most of the metabolic actions of insulin, and the Ras-MAPK pathway, which regulates expression of some genes and cooperates with the PI3K pathway to control cell growth and differentiation. Binding of the SH2 domains of PI3K to phosphotyrosines on IRS1 leads to the activation of PI3K and the generation of phosphatidylinositol-(3, 4, 5)-triphosphate (PIP3), a lipid second messenger, which activates several PIP3-dependent serine/threonine kinases, such as PDPK1 and subsequently AKT/PKB. The net effect of this pathway is to produce a translocation of the glucose transporter SLC2A4/GLUT4 from cytoplasmic vesicles to the cell membrane to facilitate glucose transport. Moreover, upon insulin stimulation, activated AKT/PKB is responsible for : anti-apoptotic effect of insulin by inducing phosphorylation of BAD; regulates the expression of gluconeogenic and lipogenic enzymes by controlling the activity of the winged helix or forkhead (FOX) class of transcription factors. Another pathway regulated by PI3K-AKT/PKB activation is mTORC1 signaling pathway which regulates cell growth and metabolism and integrates signals from insulin. AKT mediates insulin-stimulated protein synthesis by phosphorylating TSC2 thereby activating mTORC1 pathway. The Ras/RAF/MAP2K/MAPK pathway is mainly involved in mediating cell growth, survival and cellular differentiation of insulin. Phosphorylated IRS1 recruits GRB2/SOS complex, which triggers the activation of the Ras/RAF/MAP2K/MAPK pathway. In addition to binding insulin, the insulin receptor can bind insulin-like growth factors (IGFI and IGFII). Isoform Short has a higher affinity for IGFII binding. When present in a hybrid receptor with IGF1R, binds IGF1. PubMed : 12138094 shows that hybrid receptors composed of IGF1R and INSR isoform Long are activated with a high affinity by IGF1, with low affinity by IGF2 and not significantly activated by insulin, and that hybrid receptors composed of IGF1R and INSR isoform Short are activated by IGF1, IGF2 and insulin. In contrast, PubMed : 16831875 shows that hybrid receptors composed of IGF1R and INSR isoform Long and hybrid receptors composed of IGF1R and INSR isoform Short have similar binding characteristics, both bind IGF1 and have a low affinity for insulin. In adipocytes, inhibits lipolysis (By similarity).
See full target information INSR phospho Y1361

Product promise

We are committed to supporting your work with high-quality reagents, and we're here for you every step of the way. In the unlikely event that one of our products does not perform as expected, you're protected by our Product Promise.
For full details, please see our Terms & Conditions

Please note: All products are 'FOR RESEARCH USE ONLY. NOT FOR USE IN DIAGNOSTIC OR THERAPEUTIC PROCEDURES'.

For licensing inquiries, please contact partnerships@abcam.com