JavaScript is disabled in your browser. Please enable JavaScript to view this website.
AB317554

Anti-Integrin alpha 1 antibody [EPR27291-17] - BSA and Azide free

Be the first to review this product! Submit a review

|

(0 Publication)

Rabbit Recombinant Monoclonal Integrin alpha 1 antibody. Carrier free. Suitable for WB and reacts with Human, Mouse, Rat samples.

View Alternative Names

CD49a, Integrin alpha-1, CD49 antigen-like family member A, Laminin and collagen receptor, VLA-1, ITGA1

2 Images
Western blot - Anti-Integrin alpha 1 antibody [EPR27291-17] - BSA and Azide free (AB317554)
  • WB

Supplier Data

Western blot - Anti-Integrin alpha 1 antibody [EPR27291-17] - BSA and Azide free (AB317554)

This data was developed using ab317553, the same antibody clone in a different buffer formulation.

Blocking and diluting buffer and concentration : 5% NFDM/TBST.

The lanes 1, 4-5 were developed using a high sensitivity ECL substrate.

Lanes 4-5 are applied with Goat Anti-Rabbit IgG, (H+L), Peroxidase conjugated (ab97051) at 1/100000 and lanes 1-3 are applied with Goat Anti-Rabbit IgG (HRP) with minimal cross-reactivity with human IgG at 1/2000.

In Western blot, Anti-GAPDH antibody [EPR16891] - Loading Control (ab181602) staining at 1/200000 dilution.

All lanes:

Western blot - Anti-Integrin alpha 1 antibody [EPR27291-17] (<a href='/en-us/products/primary-antibodies/integrin-alpha-1-antibody-epr27291-17-ab317553'>ab317553</a>) at 1/1000 dilution

Lane 1:

Human lymph node tissue lysate at 20 µg

Lane 2:

Human liver cancer tissue lysate at 20 µg

Lane 3:

Human placenta tissue lysate at 20 µg

Lane 4:

Mouse kidney tissue lysate at 20 µg

Lane 5:

Rat kidney tissue lysate at 20 µg

Secondary

Lanes 1 - 5:

Western blot - Goat Anti-Rabbit IgG H&L (HRP) (<a href='/en-us/products/secondary-antibodies/goat-rabbit-igg-h-l-hrp-ab97051'>ab97051</a>) at 1/100000 dilution

Lanes 1 - 5:

Goat Anti-Rabbit IgG (HRP) with minimal cross-reactivity with human IgG at 1/2000 dilution

Observed band size: 200 kDa,36 kDa

false

Exposure time: 180s

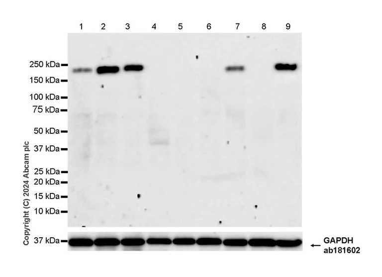
Western blot - Anti-Integrin alpha 1 antibody [EPR27291-17] - BSA and Azide free (AB317554)
  • WB

Supplier Data

Western blot - Anti-Integrin alpha 1 antibody [EPR27291-17] - BSA and Azide free (AB317554)

This data was developed using ab317553, the same antibody clone in a different buffer formulation.

Blocking and diluting buffer and concentration : 5% NFDM/TBST.

Low expression : AsPC-1, U-937, K-562, A20.

In Western blot, Anti-GAPDH antibody [EPR16891] - Loading Control (ab181602) staining at 1/200000 dilution.

All lanes:

Western blot - Anti-Integrin alpha 1 antibody [EPR27291-17] (<a href='/en-us/products/primary-antibodies/integrin-alpha-1-antibody-epr27291-17-ab317553'>ab317553</a>) at 1/1000 dilution

Lane 1:

HEK-293 (human embryonic kidney epithelial cell) whole cell lysate at 50 µg

Lane 2:

Huh7 (human hepatocellular carcinoma epithelial cell) whole cell lysate at 50 µg

Lane 3:

HepG2 (human hepatocellular carcinoma epithelial cell) whole cell lysate at 50 µg

Lane 4:

AsPC-1 (human Pancreas epithelial cell) whole cell lysate at 50 µg

Lane 5:

U-937 (human histiocytic lymphoma monocyte) whole cell lysate at 50 µg

Lane 6:

K-562 (human chronic myelogenous leukemia lymphoblast) whole cell lysate at 50 µg

Lane 7:

Neuro-2a (mouse neuroblastoma neuroblast) whole cell lysate at 50 µg

Lane 8:

A20 (mouse reticulum sarcoma B lymphocyte) whole cell lysate at 50 µg

Lane 9:

PC-12 (rat adrenal gland pheochromocytoma cell) whole cell lysate at 50 µg

Secondary

All lanes:

Western blot - Goat Anti-Rabbit IgG H&L (HRP) (<a href='/en-us/products/secondary-antibodies/goat-rabbit-igg-h-l-hrp-ab97051'>ab97051</a>) at 1/20000 dilution

Observed band size: 200 kDa,36 kDa

false

Exposure time: 180s

Key facts

Host species

Rabbit

Clonality

Monoclonal

Clone number

EPR27291-17

Isotype

IgG

Carrier free

Yes

Reacts with

Human, Mouse, Rat

Applications

WB

applications

Immunogen

The exact immunogen used to generate this antibody is proprietary information.

Reactivity data

{ "title": "Reactivity Data", "filters": { "stats": ["", "Species", "Dilution Info", "Notes"], "tabs": { "all-applications": {"fullname" : "All Applications", "shortname": "All Applications"}, "WB" : {"fullname" : "Western blot", "shortname":"WB"}, "FlowCyt" : {"fullname" : "Flow Cytometry", "shortname":"Flow Cyt"}, "ICCIF" : {"fullname" : "Immunocytochemistry/ Immunofluorescence", "shortname":"ICC/IF"}, "IP" : {"fullname" : "Immunoprecipitation", "shortname":"IP"}, "IHCP" : {"fullname" : "Immunohistochemistry (Formalin/PFA-fixed paraffin-embedded sections)", "shortname":"IHC-P"} }, "product-promise": { "all": "all", "testedAndGuaranteed": "tested", "guaranteed": "expected", "predicted": "predicted", "notRecommended": "not-recommended" } }, "values": { "Human": { "WB-species-checked": "testedAndGuaranteed", "WB-species-dilution-info": "", "WB-species-notes": "<p></p>", "FlowCyt-species-checked": "notRecommended", "FlowCyt-species-dilution-info": "", "FlowCyt-species-notes": "<p></p>", "ICCIF-species-checked": "notRecommended", "ICCIF-species-dilution-info": "", "ICCIF-species-notes": "<p></p>", "IP-species-checked": "notRecommended", "IP-species-dilution-info": "", "IP-species-notes": "<p></p>", "IHCP-species-checked": "notRecommended", "IHCP-species-dilution-info": "", "IHCP-species-notes": "<p></p>" }, "Mouse": { "WB-species-checked": "testedAndGuaranteed", "WB-species-dilution-info": "", "WB-species-notes": "<p></p>", "FlowCyt-species-checked": "notRecommended", "FlowCyt-species-dilution-info": "", "FlowCyt-species-notes": "<p></p>", "ICCIF-species-checked": "notRecommended", "ICCIF-species-dilution-info": "", "ICCIF-species-notes": "<p></p>", "IP-species-checked": "notRecommended", "IP-species-dilution-info": "", "IP-species-notes": "", "IHCP-species-checked": "notRecommended", "IHCP-species-dilution-info": "", "IHCP-species-notes": "<p></p>" }, "Rat": { "WB-species-checked": "testedAndGuaranteed", "WB-species-dilution-info": "", "WB-species-notes": "<p></p>", "FlowCyt-species-checked": "notRecommended", "FlowCyt-species-dilution-info": "", "FlowCyt-species-notes": "", "ICCIF-species-checked": "notRecommended", "ICCIF-species-dilution-info": "", "ICCIF-species-notes": "", "IP-species-checked": "notRecommended", "IP-species-dilution-info": "", "IP-species-notes": "", "IHCP-species-checked": "notRecommended", "IHCP-species-dilution-info": "", "IHCP-species-notes": "<p></p>" } } }

Product details

ab317554 is the carrirer-free version of ab317553.

Patented technology
Our RabMAb® technology is a patented hybridoma-based technology for making rabbit monoclonal antibodies. For details on our patents, please refer to RabMAb® patents.

What are the advantages of a recombinant monoclonal antibody?
This product is a recombinant monoclonal antibody, which offers several advantages including:

  • - High batch-to-batch consistency and reproducibility
  • - Improved sensitivity and specificity
  • - Long-term security of supply
  • - Animal-free batch production

For more information, read more on recombinant antibodies.

Conjugation ready
Our carrier-free antibodies are typically supplied in a PBS-only formulation, purified and free of BSA, sodium azide and glycerol. This conjugation-ready format is designed for use with fluorochromes, metal isotopes, oligonucleotides, and enzymes, which makes them ideal for antibody labelling, functional and cell-based assays, flow-based assays (e.g. mass cytometry) and Multiplex Imaging applications.

Use our conjugation kits for antibody conjugates that are ready-to-use in as little as 20 minutes with 1 minute hands-on-time and 100% antibody recovery: available for fluorescent dyes, HRP, biotin and gold.

Compatibility
This product is compatible with the Maxpar® Antibody Labeling Kit from Fluidigm, without the need for antibody preparation. Maxpar® is a trademark of Fluidigm Canada Inc.

Properties and storage information

Form
Liquid
Purification technique
Affinity purification Protein A
Storage buffer
pH: 7.2 - 7.4 Constituents: PBS
Shipped at conditions
Blue Ice
Appropriate short-term storage conditions
+4°C
Appropriate long-term storage conditions
+4°C

Supplementary information

This supplementary information is collated from multiple sources and compiled automatically.

Integrin alpha 1 also called CD49a is a protein that functions as a mechanical link between cells and the extracellular matrix. It is part of the integrin protein family and partners with beta 1 integrin to form the integrin alpha 1 beta 1 complex. This protein is a heterodimer and weighs approximately 180 kDa. The integrin alpha 1 is expressed in various tissues including the dermis cartilage and the immune system especially on activated T cells and natural killer cells.
Biological function summary

Integrin alpha 1 beta 1 mediates cell adhesion and migration. It plays an important role in collagen binding influencing various cellular processes like proliferation and differentiation. Integrin alpha 1 forms a complex with ligand molecules notably collagen which assists in remodeling the extracellular matrix. This activity contributes to the development and repair of tissues offering structural support and pathways for cell signaling events.

Pathways

Integrin alpha 1 engages in the MAPK signaling pathway and regulation of the TGF-beta signaling cascade. By mediating interactions between cells and their environment it influences downstream signaling and gene expression. Integrins including integrin alpha 1 have roles in pathways related to cellular stress responses and signal modulation interacting with proteins such as fibronectin within these processes.

Integrin alpha 1 has been linked to fibrosis and chronic inflammatory diseases. By modulating matrix-related signals it influences the pathology of fibrosis through upregulation of matrix metalloproteinases. In chronic inflammatory diseases its interaction with collagen and other matrix proteins can affect immune cell trafficking and signaling. Understanding these connections helps in exploring potential therapeutic targets and interventions.

Product protocols

For this product, it's our understanding that no specific protocols are required. You can visit:

Target data

Integrin alpha-1/beta-1 is a receptor for laminin and collagen. It recognizes the proline-hydroxylated sequence G-F-P-G-E-R in collagen. Involved in anchorage-dependent, negative regulation of EGF-stimulated cell growth.
See full target information ITGA1

Product promise

We are committed to supporting your work with high-quality reagents, and we're here for you every step of the way. In the unlikely event that one of our products does not perform as expected, you're protected by our Product Promise.
For full details, please see our Terms & Conditions

Please note: All products are 'FOR RESEARCH USE ONLY. NOT FOR USE IN DIAGNOSTIC OR THERAPEUTIC PROCEDURES'.

For licensing inquiries, please contact partnerships@abcam.com