JavaScript is disabled in your browser. Please enable JavaScript to view this website.
AB271936

Anti-Integrin alpha 2 antibody [EPR17338] - BSA and Azide free

5

(1 Review)

|

(1 Publication)

Rabbit Recombinant Monoclonal Integrin alpha 2 antibody. Carrier free. Suitable for IP, WB, IHC-P, ICC/IF, Flow Cyt (Intra) and reacts with Human, Mouse, Rat samples. Cited in 1 publication.

View Alternative Names

CD49b, CD49B, ITGA2, Integrin alpha-2, CD49 antigen-like family member B, Collagen receptor, Platelet membrane glycoprotein Ia, VLA-2 subunit alpha, GPIa

10 Images
Flow Cytometry (Intracellular) - Anti-Integrin alpha 2 antibody [EPR17338] - BSA and Azide free (AB271936)
  • Flow Cyt (Intra)

Lab

Flow Cytometry (Intracellular) - Anti-Integrin alpha 2 antibody [EPR17338] - BSA and Azide free (AB271936)

This data was developed using the same antibody clone in a different buffer formulation containing PBS, BSA, glycerol, and sodium azide (ab181548).

Flow cytometry overlay histogram showing staining with ab181548 of HAP1 WT positive cells (magenta line) and HAP1-ITGA2 KO negative cells (red line). The cells were fixed with 80% methanol, and then permeabilised with 0.1% PBS-Triton X-100 for 15 min. The cells were then incubated in 1x PBS containing 10% normal goat serum to block non-specific protein-protein interaction followed by the antibody (ab181548) (1x 106 in 100μl at 0.2μg/ml (1/2,500)) for 30min at 22°C.

The secondary antibody Goat Anti-Rabbit IgG H&L (Alexa Fluor® 488) preadsorbed was incubated at 1/4000 for 30min at 22°C.

Isotype control antibody was Recombinant Rabbit IgG, monoclonal [EPR25A] - Isotype Control in HAP1 WT cells (black line) and HAP1-ITGA2 KO cells (grey line), used at the same concentration and conditions as the primary antibody.

Acquisition of >5000 events were collected using a 50 mW Blue laser (488nm) and 525/40 bandpass filter.

Immunocytochemistry/ Immunofluorescence - Anti-Integrin alpha 2 antibody [EPR17338] - BSA and Azide free (AB271936)
  • ICC/IF

Lab

Immunocytochemistry/ Immunofluorescence - Anti-Integrin alpha 2 antibody [EPR17338] - BSA and Azide free (AB271936)

Immunofluorescent analysis of 4% paraformaldehyde-fixed, 0.1% Triton X-100 permeabilized PC-3 (Human prostate adenocarcinoma cell line) cells labeling integrin alpha 2 with ab181548 at 1/100 dilution, followed by Goat anti-rabbit IAlexa Fluor® 488 (IgG) (ab150077) secondary antibody at 1/400 dilution (green). Confocal image showing membrane and weakly cytoplasmic staining on PC-3 cell line is observed. The nuclear counterstain is DAPI (blue). Tubulin is detected with ab7291 (anti-Tubulin mouse mAb) at 1/500 dilution and ab150120 (goat anti-mouse AlexaFluor®594 secondary antibody) at 1/500 dilution (red).

The negative controls are as follows : -
-ve control 1 - ab181548 at 1/100 dilution followed by ab150120 (AlexaFluor®594 Goat anti-Mouse secondary) at 1/500 dilution.
-ve control 2. - ab7291 (anti-Tubulin mouse mAb) at 1/500 dilution followed by ab150077 (Alexa Fluor®488 Goat Anti-Rabbit IgG H&L) at 1/400 dilution.

This data was developed using the same antibody clone in a different buffer formulation containing PBS, BSA, glycerol, and sodium azide (ab181548).

Immunohistochemistry (Formalin/PFA-fixed paraffin-embedded sections) - Anti-Integrin alpha 2 antibody [EPR17338] - BSA and Azide free (AB271936)
  • IHC-P

Supplier Data

Immunohistochemistry (Formalin/PFA-fixed paraffin-embedded sections) - Anti-Integrin alpha 2 antibody [EPR17338] - BSA and Azide free (AB271936)

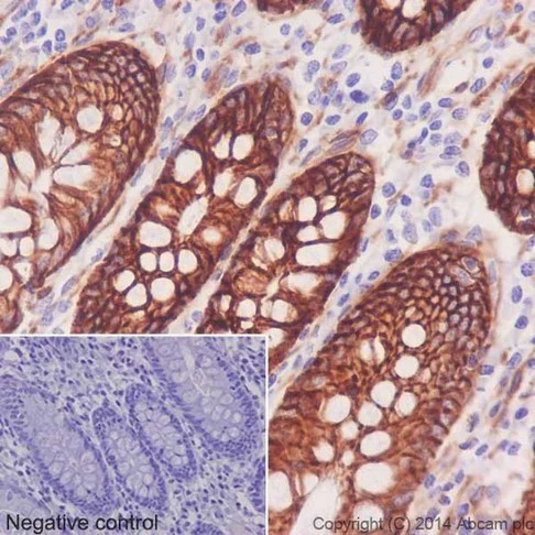
Immunohistochemical analysis of paraffin-embedded Human colon tissue labeling Integrin alpha 2 with ab181548 at 1/500 dilution followed by Goat Anti-Rabbit HRP (IgG H&L) (ab97051) at 1/500 dilution. Membrane and weak cytoplasmic staining on epithelial cells of human colon is observed. Counter stained with Hematoxylin.

Negative control : Used PBS instead of primary antibody.

Perform heat mediated antigen retrieval with Tris/EDTA buffer pH 9.0 before commencing with IHC staining protocol.

This data was developed using the same antibody clone in a different buffer formulation containing PBS, BSA, glycerol, and sodium azide (ab181548).

Immunocytochemistry/ Immunofluorescence - Anti-Integrin alpha 2 antibody [EPR17338] - BSA and Azide free (AB271936)
  • ICC/IF

Lab

Immunocytochemistry/ Immunofluorescence - Anti-Integrin alpha 2 antibody [EPR17338] - BSA and Azide free (AB271936)

ab181548 staining Integrin α2 in wild-type HAP1 cells (top panel) and Integrin α2 knockout HAP1 cells (bottom panel). The cells were fixed with 100% methanol (5min), permeabilized with 0.1% Triton X-100 for 5 minutes and then blocked with 1% BSA/10% normal goat serum/0.3M glycine in 0.1% PBS-Tween for 1h. The cells were then incubated with ab181548 at 1μg/ml concentration and ab7291 at 1ug/ml concentration overnight at +4°C, followed by a further incubation at room temperature for 1h with a goat secondary antibody to Rabbit IgG (Alexa Fluor® 488) (ab150081) at 2 μg/ml (shown in green) and a goat secondary antibody to Mouse IgG (Alexa Fluor® 594) (ab150120) at 2ug/ml (shown in pseudo-color red). Nuclear DNA was labelled in blue with DAPI.
Image was taken with a confocal microscope (Leica-Microsystems, TCS SP8).

This data was developed using the same antibody clone in a different buffer formulation containing PBS, BSA, glycerol, and sodium azide (ab181548).

Flow Cytometry (Intracellular) - Anti-Integrin alpha 2 antibody [EPR17338] - BSA and Azide free (AB271936)
  • Flow Cyt (Intra)

Supplier Data

Flow Cytometry (Intracellular) - Anti-Integrin alpha 2 antibody [EPR17338] - BSA and Azide free (AB271936)

Intracellular flow cytometric analysis of 2% paraformaldehyde-fixed A549 (Human lung carcinoma) cells labeling integrin alpha 2 with ab181549 at 1/160 dilution (red) compared with a rabbit monoclonal IgG isotype control (black) and a unlabelled control (cells without incubation with primary antibody and secondary antibody; blue). Goat anti rabbit IgG (FITC) at 1/150 dilution was used as the secondary antibody.

This data was developed using the same antibody clone in a different buffer formulation containing PBS, BSA, glycerol, and sodium azide (ab181548).

Immunocytochemistry/ Immunofluorescence - Anti-Integrin alpha 2 antibody [EPR17338] - BSA and Azide free (AB271936)
  • ICC/IF

Lab

Immunocytochemistry/ Immunofluorescence - Anti-Integrin alpha 2 antibody [EPR17338] - BSA and Azide free (AB271936)

Immunofluorescent analysis of 4% paraformaldehyde-fixed, 0.1% Triton X-100 permeabilized MCF7 (Human breast adenocarcinoma cell line) cells labeling integrin alpha 2 with ab181548 at 1/100 dilution, followed by Goat anti-rabbit IAlexa Fluor® 488 (IgG) (ab150077) secondary antibody at 1/400 dilution (green). Confocal image showing membrane staining on MCF7 cell line is observed. The nuclear counterstain is DAPI (blue). Tubulin is detected with ab7291 (anti-Tubulin mouse mAb) at 1/500 dilution and ab150120 (goat anti-mouse AlexaFluor®594 secondary antibody) at 1/500 dilution (red).
The negative controls are as follows : -
-ve control 1 - ab181548 at 1/100 dilution followed by ab150120 (AlexaFluor®594 Goat anti-Mouse secondary) at 1/500 dilution.
-ve control 2. - ab7291 (anti-Tubulin mouse mAb) at 1/500 dilution followed by ab150077 (Alexa Fluor®488 Goat Anti-Rabbit IgG H&L) at 1/400 dilution.

This data was developed using the same antibody clone in a different buffer formulation containing PBS, BSA, glycerol, and sodium azide (ab181548).

Immunohistochemistry (Formalin/PFA-fixed paraffin-embedded sections) - Anti-Integrin alpha 2 antibody [EPR17338] - BSA and Azide free (AB271936)
  • IHC-P

Supplier Data

Immunohistochemistry (Formalin/PFA-fixed paraffin-embedded sections) - Anti-Integrin alpha 2 antibody [EPR17338] - BSA and Azide free (AB271936)

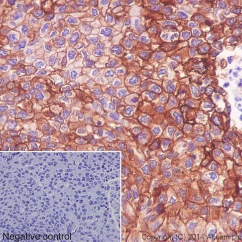
Immunohistochemical analysis of paraffin-embedded Human squamous cell carcinoma of cervix tissue labeling Integrin alpha 2 with ab181548 at 1/500 dilution followed by Goat Anti-Rabbit HRP (IgG H&L) (ab97051) at 1/500 dilution. Membrane and weak cytoplasmic staining on epithelial cells of human squamous cell carcinoma of cervix tissue is observed. Counter stained with Hematoxylin.
Negative control : Used PBS instead of primary antibody.

Perform heat mediated antigen retrieval with Tris/EDTA buffer pH 9.0 before commencing with IHC staining protocol.

This data was developed using the same antibody clone in a different buffer formulation containing PBS, BSA, glycerol, and sodium azide (ab181548).

Immunoprecipitation - Anti-Integrin alpha 2 antibody [EPR17338] - BSA and Azide free (AB271936)
  • IP

Supplier Data

Immunoprecipitation - Anti-Integrin alpha 2 antibody [EPR17338] - BSA and Azide free (AB271936)

Integrin alpha 2 was immunoprecipitated from 1mg of T-47D (Human ductal breast epithelial tumor cell line) whole cell extract with ab181548 at 1/150 dilution. Western blot was performed using ab181548 at 1/20,000 dilution. Anti-Rabbit IgG (HRP), specific to the non-reduced form of IgG, was used as secondary antibody at 1/1500 dilution. Lane 1 : T-47D whole cell extract Lane 2 : PBS instead of T-47D whole cell extract.

Blocking and dilution buffer and concentration : 5% NFDM/TBST.

This data was developed using the same antibody clone in a different buffer formulation containing PBS, BSA, glycerol, and sodium azide (ab181548).

All lanes:

Immunoprecipitation - Anti-Integrin alpha 2 antibody [EPR17338] - C-terminal (<a href='/en-us/products/primary-antibodies/integrin-alpha-2-antibody-epr17338-c-terminal-ab181548'>ab181548</a>)

Predicted band size: 129 kDa

Observed band size: 150 kDa

false

Immunohistochemistry (Formalin/PFA-fixed paraffin-embedded sections) - Anti-Integrin alpha 2 antibody [EPR17338] - BSA and Azide free (AB271936)
  • IHC-P

Supplier Data

Immunohistochemistry (Formalin/PFA-fixed paraffin-embedded sections) - Anti-Integrin alpha 2 antibody [EPR17338] - BSA and Azide free (AB271936)

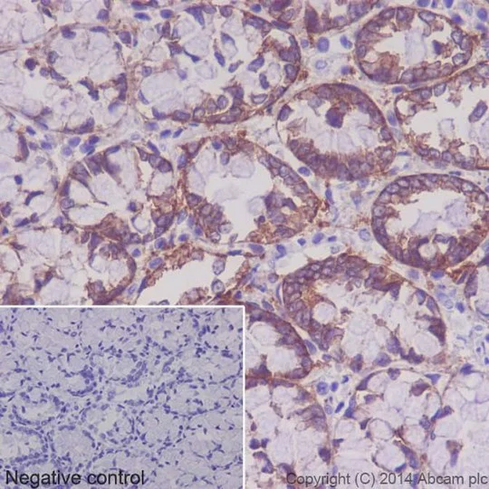
Immunohistochemical analysis of paraffin-embedded Rat colon tissue labeling Integrin alpha 2 with ab181548 at 1/500 dilution followed by Goat Anti-Rabbit HRP (IgG H&L) (ab97051) at 1/500 dilution. Membrane staining on epithelial cells of Rat colon tissue is observed. Counter stained with Hematoxylin.
Negative control : Used PBS instead of primary antibody.

Perform heat mediated antigen retrieval with Tris/EDTA buffer pH 9.0 before commencing with IHC staining protocol.

This data was developed using the same antibody clone in a different buffer formulation containing PBS, BSA, glycerol, and sodium azide (ab181548).

Immunohistochemistry (Formalin/PFA-fixed paraffin-embedded sections) - Anti-Integrin alpha 2 antibody [EPR17338] - BSA and Azide free (AB271936)
  • IHC-P

Supplier Data

Immunohistochemistry (Formalin/PFA-fixed paraffin-embedded sections) - Anti-Integrin alpha 2 antibody [EPR17338] - BSA and Azide free (AB271936)

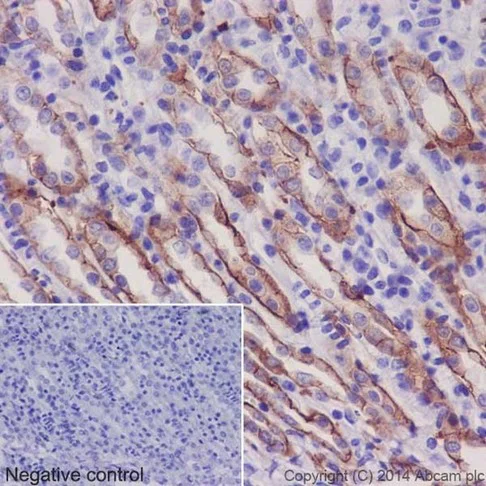
Immunohistochemical analysis of paraffin-embedded Mouse kidney tissue labeling Integrin alpha 2 with ab181548 at 1/500 dilution followed by Goat Anti-Rabbit HRP (IgG H&L) (ab97051) at 1/500 dilution. Membrane and weak cytoplasmic staining on epithelial cells of Mouse kidney tubule is observed. Counter stained with Hematoxylin.
Negative control : Used PBS instead of primary antibody.

Perform heat mediated antigen retrieval with Tris/EDTA buffer pH 9.0 before commencing with IHC staining protocol.

This data was developed using the same antibody clone in a different buffer formulation containing PBS, BSA, glycerol, and sodium azide (ab181548).

  • Unconjugated

    Anti-Integrin alpha 2 antibody [EPR17338] - C-terminal

  • 519 FITC

    FITC Anti-Integrin alpha 2 antibody [EPR17338] - C-terminal

  • 519 Alexa Fluor® 488

    Alexa Fluor® 488 Anti-Integrin alpha 2 antibody [EPR17338] - C-terminal

  • 617 Alexa Fluor® 594

    Alexa Fluor® 594 Anti-Integrin alpha 2 antibody [EPR17338] - C-terminal

  • HRP

    HRP Anti-Integrin alpha 2 antibody [EPR17338] - C-terminal

  • 665 Alexa Fluor® 647

    Alexa Fluor® 647 Anti-Integrin alpha 2 antibody [EPR17338] - C-terminal

  • 565 Alexa Fluor® 555

    Alexa Fluor® 555 Anti-Integrin alpha 2 antibody [EPR17338]

  • 578 PE

    PE Anti-Integrin alpha 2 antibody [EPR17338]

  • Carrier free

    Anti-Integrin alpha 2 antibody [EPR17338] - Low endotoxin, Azide free

Key facts

Host species

Rabbit

Clonality

Monoclonal

Clone number

EPR17338

Isotype

IgG

Carrier free

Yes

Reacts with

Mouse, Rat, Human

Applications

WB, Flow Cyt (Intra), ICC/IF, IP, IHC-P

applications

Immunogen

The exact immunogen used to generate this antibody is proprietary information.

Reactivity data

{ "title": "Reactivity Data", "filters": { "stats": ["", "Species", "Dilution Info", "Notes"], "tabs": { "all-applications": {"fullname" : "All Applications", "shortname": "All Applications"}, "IP" : {"fullname" : "Immunoprecipitation", "shortname":"IP"}, "WB" : {"fullname" : "Western blot", "shortname":"WB"}, "IHCP" : {"fullname" : "Immunohistochemistry (Formalin/PFA-fixed paraffin-embedded sections)", "shortname":"IHC-P"}, "ICCIF" : {"fullname" : "Immunocytochemistry/ Immunofluorescence", "shortname":"ICC/IF"}, "FlowCytIntra" : {"fullname" : "Flow Cytometry (Intracellular)", "shortname":"Flow Cyt (Intra)"} }, "product-promise": { "all": "all", "testedAndGuaranteed": "tested", "guaranteed": "expected", "predicted": "predicted", "notRecommended": "not-recommended" } }, "values": { "Human": { "IP-species-checked": "testedAndGuaranteed", "IP-species-dilution-info": "", "IP-species-notes": "<p></p>", "WB-species-checked": "testedAndGuaranteed", "WB-species-dilution-info": "", "WB-species-notes": "<p></p>", "IHCP-species-checked": "testedAndGuaranteed", "IHCP-species-dilution-info": "", "IHCP-species-notes": "<p></p>", "ICCIF-species-checked": "testedAndGuaranteed", "ICCIF-species-dilution-info": "", "ICCIF-species-notes": "<p>This product gave a positive signal in wild-type HAP1 cells fixed with 4% formaldehyde (10 min) and 100% methanol (5 min).</p>", "FlowCytIntra-species-checked": "testedAndGuaranteed", "FlowCytIntra-species-dilution-info": "", "FlowCytIntra-species-notes": "<p><a href='/en-us/products/primary-antibodies/rabbit-igg-monoclonal-epr25a-isotype-control-ab172730'>ab172730</a> - Rabbit monoclonal IgG, is suitable for use as an isotype control with this antibody.</p>" }, "Mouse": { "IP-species-checked": "guaranteed", "IP-species-dilution-info": "", "IP-species-notes": "", "WB-species-checked": "testedAndGuaranteed", "WB-species-dilution-info": "", "WB-species-notes": "<p></p>", "IHCP-species-checked": "testedAndGuaranteed", "IHCP-species-dilution-info": "", "IHCP-species-notes": "<p></p>", "ICCIF-species-checked": "guaranteed", "ICCIF-species-dilution-info": "", "ICCIF-species-notes": "", "FlowCytIntra-species-checked": "guaranteed", "FlowCytIntra-species-dilution-info": "", "FlowCytIntra-species-notes": "" }, "Rat": { "IP-species-checked": "guaranteed", "IP-species-dilution-info": "", "IP-species-notes": "", "WB-species-checked": "testedAndGuaranteed", "WB-species-dilution-info": "", "WB-species-notes": "<p></p>", "IHCP-species-checked": "testedAndGuaranteed", "IHCP-species-dilution-info": "", "IHCP-species-notes": "<p></p>", "ICCIF-species-checked": "guaranteed", "ICCIF-species-dilution-info": "", "ICCIF-species-notes": "", "FlowCytIntra-species-checked": "guaranteed", "FlowCytIntra-species-dilution-info": "", "FlowCytIntra-species-notes": "" } } }

Product details

ab271936 is the carrier-free version of ab181548.

Patented technology
Our RabMAb® technology is a patented hybridoma-based technology for making rabbit monoclonal antibodies. For details on our patents, please refer to RabMAb® patents.

What are the advantages of a recombinant monoclonal antibody?
This product is a recombinant monoclonal antibody, which offers several advantages including:

  • - High batch-to-batch consistency and reproducibility
  • - Improved sensitivity and specificity
  • - Long-term security of supply
  • - Animal-free batch production

For more information, read more on recombinant antibodies.

Conjugation ready
Our carrier-free antibodies are typically supplied in a PBS-only formulation, purified and free of BSA, sodium azide and glycerol. This conjugation-ready format is designed for use with fluorochromes, metal isotopes, oligonucleotides, and enzymes, which makes them ideal for antibody labelling, functional and cell-based assays, flow-based assays (e.g. mass cytometry) and Multiplex Imaging applications.

Use our conjugation kits for antibody conjugates that are ready-to-use in as little as 20 minutes with 1 minute hands-on-time and 100% antibody recovery: available for fluorescent dyes, HRP, biotin and gold.

Compatibility
This product is compatible with the Maxpar® Antibody Labeling Kit from Fluidigm, without the need for antibody preparation. Maxpar® is a trademark of Fluidigm Canada Inc.

Properties and storage information

Form
Liquid
Purification technique
Affinity purification Protein A
Storage buffer
pH: 7.2 - 7.4 Constituents: PBS
Shipped at conditions
Blue Ice
Appropriate short-term storage conditions
+4°C
Appropriate long-term storage conditions
+4°C
Storage information
Do Not Freeze

Supplementary information

This supplementary information is collated from multiple sources and compiled automatically.

Integrin alpha 2 also known as CD49b ITGA2 and A2 is a protein that functions as part of the integrin family. Integrins are transmembrane receptors that facilitate cell-extracellular matrix adhesion. Integrin alpha 2 has a molecular mass of approximately 130 kDa and is widely expressed in epithelial cells fibroblasts and platelets. This protein is important for mediating adhesion between cells and the extracellular matrix affecting cell signaling and behavior. Through this adhesion cells can communicate with their environment adjusting their functions accordingly.
Biological function summary

Integrin alpha 2 plays a significant role in cellular processes like migration and proliferation. It forms a heterodimer complex by pairing with the beta 1-integrin subunit contributing to its adhesive and signaling functions. This association enables the integrin alpha 2 complex to bind specific extracellular matrix components such as collagen and laminin. Through these interactions it regulates processes like wound healing and tissue remodeling and affects how cells respond to mechanical stress.

Pathways

Integrin alpha 2 is involved in major signaling routes that influence cell fate and movement. Notably it participates in the PI3K/AKT and MAPK pathways which are important for regulating cell growth and survival. It interacts with signaling proteins like focal adhesion kinase (FAK) and Src family kinases linking extracellular matrix changes to intracellular responses. These pathways help in transmitting signals that coordinate the cell's structural and functional adjustments in response to its surroundings.

Integrin alpha 2 has connections to cancer and fibrosis. In cancers its altered expression may contribute to tumor progression and metastasis often involving interactions with other integrins and matrix metalloproteinases that degrade extracellular components. In fibrosis excessive integrin alpha 2 activity can lead to abnormal tissue remodeling and scarring implicating its role alongside collagen-producing cells. Understanding these connections is vital for developing therapies targeting integrin-mediated pathways in these diseases.

Product protocols

For this product, it's our understanding that no specific protocols are required. You can visit:

Target data

Integrin alpha-2/beta-1 is a receptor for laminin, collagen, collagen C-propeptides, fibronectin and E-cadherin. It recognizes the proline-hydroxylated sequence G-F-P-G-E-R in collagen. It is responsible for adhesion of platelets and other cells to collagens, modulation of collagen and collagenase gene expression, force generation and organization of newly synthesized extracellular matrix.. (Microbial infection) Integrin ITGA2 : ITGB1 acts as a receptor for Human rotavirus A.. (Microbial infection) Integrin ITGA2 : ITGB1 acts as a receptor for Human echoviruses 1 and 8.
See full target information ITGA2

Publications (1)

Recent publications for all applications. Explore the full list and refine your search

Liver international : official journal of the International Association for the Study of the Liver 42:2724-2742 PubMed36251580

2022

Human poliovirus receptor contributes to biliary atresia pathogenesis by exacerbating natural-killer-cell-mediated bile duct injury.

Applications

Unspecified application

Species

Unspecified reactive species

Yuan Li,Tian-Yu Li,Qiao Qi,Min-Ting Zhang,Ming-Xin Tong,Peng-Jun Su,Zhi-Bo Zhang
View all publications

Product promise

We are committed to supporting your work with high-quality reagents, and we're here for you every step of the way. In the unlikely event that one of our products does not perform as expected, you're protected by our Product Promise.
For full details, please see our Terms & Conditions

Please note: All products are 'FOR RESEARCH USE ONLY. NOT FOR USE IN DIAGNOSTIC OR THERAPEUTIC PROCEDURES'.

For licensing inquiries, please contact partnerships@abcam.com