JavaScript is disabled in your browser. Please enable JavaScript to view this website.
AB271894

Anti-Integrin alpha 2 antibody [EPR5788] - BSA and Azide free

Be the first to review this product! Submit a review

|

(1 Publication)

Rabbit Recombinant Monoclonal Integrin alpha 2 antibody. Carrier free. Suitable for WB, IHC-P and reacts with Mouse, Human samples. Cited in 1 publication.

View Alternative Names

CD49b, CD49B, ITGA2, Integrin alpha-2, CD49 antigen-like family member B, Collagen receptor, Platelet membrane glycoprotein Ia, VLA-2 subunit alpha, GPIa

5 Images
Flow Cytometry (Intracellular) - Anti-Integrin alpha 2 antibody [EPR5788] - BSA and Azide free (AB271894)
  • Flow Cyt (Intra)

Lab

Flow Cytometry (Intracellular) - Anti-Integrin alpha 2 antibody [EPR5788] - BSA and Azide free (AB271894)

Intracellular Flow Cytometry analysis of A549 cells labelling Integrin alpha 2 with purified ab133557 at 1/60 (red). Cells were fixed with 2% paraformaldehyde. A FITC-conjugated goat anti-rabbit IgG (1/150) was used as the secondary antibody. Black - Isotype control, rabbit monoclonal IgG. Blue - Unlabelled control, cells without incubation with primary and secondary antibodies.

This data was developed using the same antibody clone in a different buffer formulation containing PBS, BSA, glycerol, and sodium azide (ab133557).

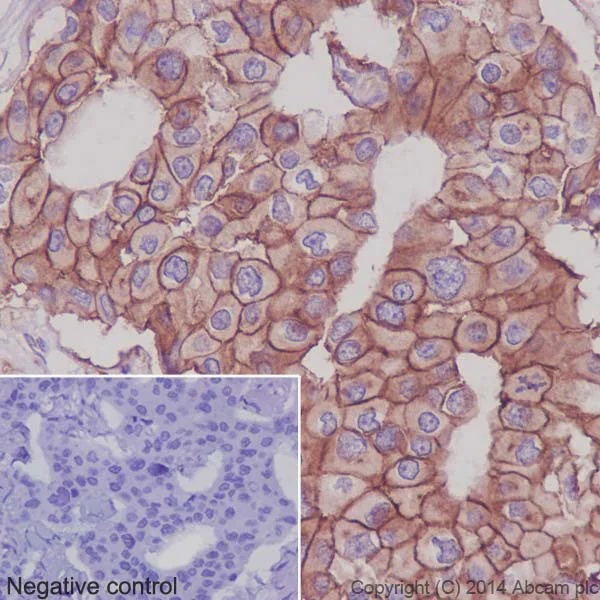
Immunohistochemistry (Formalin/PFA-fixed paraffin-embedded sections) - Anti-Integrin alpha 2 antibody [EPR5788] - BSA and Azide free (AB271894)
  • IHC-P

Lab

Immunohistochemistry (Formalin/PFA-fixed paraffin-embedded sections) - Anti-Integrin alpha 2 antibody [EPR5788] - BSA and Azide free (AB271894)

Immunohistochemistry (Formalin/PFA-fixed paraffin-embedded sections) analysis of human breast carcinoma tissue labelling Integrin alpha 2 with purified ab133557 at 1/500. Heat mediated antigen retrieval was performed using Tris/EDTA buffer pH 9. ab97051, a HRP-conjugated goat anti-rabbit IgG (H+L) was used as the secondary antibody (1/500). Negative control using PBS instead of primary antibody. Counterstained with hematoxylin.

This data was developed using the same antibody clone in a different buffer formulation containing PBS, BSA, glycerol, and sodium azide (ab133557).

Flow Cytometry (Intracellular) - Anti-Integrin alpha 2 antibody [EPR5788] - BSA and Azide free (AB271894)
  • Flow Cyt (Intra)

Unknown

Flow Cytometry (Intracellular) - Anti-Integrin alpha 2 antibody [EPR5788] - BSA and Azide free (AB271894)

Overlay histogram showing A431 cells stained with unpurified ab133557 (red line). The cells were fixed with 80% methanol (5 min) and then permeabilized with 0.1% PBS-Tween for 20 min. The cells were then incubated in 1x PBS / 10% normal goat serum / 0.3M glycine to block non-specific protein-protein interactions followed by the antibody (ab133557, 1/1000 dilution) for 30 min at 22°C. The secondary antibody used was a goat anti-rabbit Alexa Fluor® 488 (IgG; H&L) (ab150077) at 1/2000 dilution for 30 min at 22°C. Isotype control antibody (black line) was rabbit IgG (monoclonal) (0.1μg/1x106 cells) used under the same conditions. Unlabelled sample (blue line) was also used as a control. Acquisition of >5,000 events were collected using a 20mW Argon ion laser (488nm) and 525/30 bandpass filter.

This data was developed using the same antibody clone in a different buffer formulation containing PBS, BSA, glycerol, and sodium azide (ab133557).

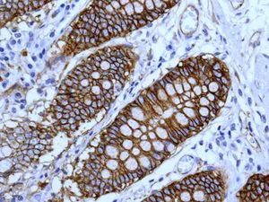
Immunohistochemistry (Formalin/PFA-fixed paraffin-embedded sections) - Anti-Integrin alpha 2 antibody [EPR5788] - BSA and Azide free (AB271894)
  • IHC-P

Unknown

Immunohistochemistry (Formalin/PFA-fixed paraffin-embedded sections) - Anti-Integrin alpha 2 antibody [EPR5788] - BSA and Azide free (AB271894)

Immunohistochemistry (Formalin/PFA-fixed paraffin-embedded sections) analysis of human colon tissue labelling Integrin alpha 2 with unpurified ab133557 at 1/250.

Perform heat mediated antigen retrieval before commencing with IHC staining protocol.

This data was developed using the same antibody clone in a different buffer formulation containing PBS, BSA, glycerol, and sodium azide (ab133557).

OI-RD Scanning - Anti-Integrin alpha 2 antibody [EPR5788] - BSA and Azide free (AB271894)
  • OI-RD Scanning

Unknown

OI-RD Scanning - Anti-Integrin alpha 2 antibody [EPR5788] - BSA and Azide free (AB271894)

We have systematically measured KD (the equilibrium dissociation constant between the antibody and its antigen), of more than 840 recombinant antibodies to assess not only their individual KD values but also to see the average affinity of antibody. Based on the comparison with published literature values for mouse monoclonal antibodies, Recombinant antibodies appear to be on average 1-2 order of magnitude higher affinity.

  • Unconjugated

    Anti-Integrin alpha 2 antibody [EPR5788]

  • 565 Alexa Fluor® 555

    Alexa Fluor® 555 Anti-Integrin alpha 2 antibody [EPR5788]

  • 617 Alexa Fluor® 594

    Alexa Fluor® 594 Anti-Integrin alpha 2 antibody [EPR5788]

  • 578 PE

    PE Anti-Integrin alpha 2 antibody [EPR5788]

  • 665 Alexa Fluor® 647

    Alexa Fluor® 647 Anti-Integrin alpha 2 antibody [EPR5788]

  • 519 Alexa Fluor® 488

    Alexa Fluor® 488 Anti-Integrin alpha 2 antibody [EPR5788]

  • 660 APC

    APC Anti-Integrin alpha 2 antibody [EPR5788]

  • 775 Alexa Fluor® 750

    Alexa Fluor® 750 Anti-Integrin alpha 2 antibody [EPR5788]

  • Carrier free

    Anti-Integrin alpha 2 antibody [EPR5788] - Low endotoxin, Azide free

Key facts

Host species

Rabbit

Clonality

Monoclonal

Clone number

EPR5788

Isotype

IgG

Carrier free

Yes

Reacts with

Mouse, Human

Applications

IHC-P, WB

applications

Immunogen

The exact immunogen used to generate this antibody is proprietary information.

Reactivity data

{ "title": "Reactivity Data", "filters": { "stats": ["", "Species", "Dilution Info", "Notes"], "tabs": { "all-applications": {"fullname" : "All Applications", "shortname": "All Applications"}, "WB" : {"fullname" : "Western blot", "shortname":"WB"}, "IHCP" : {"fullname" : "Immunohistochemistry (Formalin/PFA-fixed paraffin-embedded sections)", "shortname":"IHC-P"}, "ICCIF" : {"fullname" : "Immunocytochemistry/ Immunofluorescence", "shortname":"ICC/IF"}, "FlowCytIntra" : {"fullname" : "Flow Cytometry (Intracellular)", "shortname":"Flow Cyt (Intra)"} }, "product-promise": { "all": "all", "testedAndGuaranteed": "tested", "guaranteed": "expected", "predicted": "predicted", "notRecommended": "not-recommended" } }, "values": { "Human": { "WB-species-checked": "testedAndGuaranteed", "WB-species-dilution-info": "", "WB-species-notes": "<p></p>", "IHCP-species-checked": "testedAndGuaranteed", "IHCP-species-dilution-info": "", "IHCP-species-notes": "<p></p>", "ICCIF-species-checked": "notRecommended", "ICCIF-species-dilution-info": "", "ICCIF-species-notes": "<p></p>", "FlowCytIntra-species-checked": "notRecommended", "FlowCytIntra-species-dilution-info": "", "FlowCytIntra-species-notes": "<p><a href='/en-us/products/primary-antibodies/rabbit-igg-monoclonal-epr25a-isotype-control-ab172730'>ab172730</a> - Rabbit monoclonal IgG, is suitable for use as an isotype control with this antibody.</p>" }, "Mouse": { "WB-species-checked": "testedAndGuaranteed", "WB-species-dilution-info": "", "WB-species-notes": "<p></p>", "IHCP-species-checked": "guaranteed", "IHCP-species-dilution-info": "", "IHCP-species-notes": "", "ICCIF-species-checked": "notRecommended", "ICCIF-species-dilution-info": "", "ICCIF-species-notes": "<p></p>", "FlowCytIntra-species-checked": "notRecommended", "FlowCytIntra-species-dilution-info": "", "FlowCytIntra-species-notes": "" } } }

Product details

ab271894 is the carrier-free version of ab133557.

Species reactivity
Rat: We have preliminary internal testing data to indicate this antibody may not react with this species.
Please contact us for more information.

Conjugation ready
Our carrier-free antibodies are typically supplied in a PBS-only formulation, purified and free of BSA, sodium azide and glycerol. This conjugation-ready format is designed for use with fluorochromes, metal isotopes, oligonucleotides, and enzymes, which makes them ideal for antibody labelling, functional and cell-based assays, flow-based assays (e.g. mass cytometry) and Multiplex Imaging applications.

Use our conjugation kits for antibody conjugates that are ready-to-use in as little as 20 minutes with 1 minute hands-on-time and 100% antibody recovery: available for fluorescent dyes, HRP, biotin and gold.

Compatibility
This product is compatible with the Maxpar® Antibody Labeling Kit from Fluidigm, without the need for antibody preparation. Maxpar® is a trademark of Fluidigm Canada Inc.

Properties and storage information

Form
Liquid
Purification technique
Affinity purification Protein A
Storage buffer
pH: 7.2 - 7.4 Constituents: PBS
Shipped at conditions
Blue Ice
Appropriate short-term storage conditions
+4°C
Appropriate long-term storage conditions
+4°C
Storage information
Do Not Freeze

Supplementary information

This supplementary information is collated from multiple sources and compiled automatically.

Integrin alpha 2 also known as CD49b ITGA2 and A2 is a protein that functions as part of the integrin family. Integrins are transmembrane receptors that facilitate cell-extracellular matrix adhesion. Integrin alpha 2 has a molecular mass of approximately 130 kDa and is widely expressed in epithelial cells fibroblasts and platelets. This protein is important for mediating adhesion between cells and the extracellular matrix affecting cell signaling and behavior. Through this adhesion cells can communicate with their environment adjusting their functions accordingly.
Biological function summary

Integrin alpha 2 plays a significant role in cellular processes like migration and proliferation. It forms a heterodimer complex by pairing with the beta 1-integrin subunit contributing to its adhesive and signaling functions. This association enables the integrin alpha 2 complex to bind specific extracellular matrix components such as collagen and laminin. Through these interactions it regulates processes like wound healing and tissue remodeling and affects how cells respond to mechanical stress.

Pathways

Integrin alpha 2 is involved in major signaling routes that influence cell fate and movement. Notably it participates in the PI3K/AKT and MAPK pathways which are important for regulating cell growth and survival. It interacts with signaling proteins like focal adhesion kinase (FAK) and Src family kinases linking extracellular matrix changes to intracellular responses. These pathways help in transmitting signals that coordinate the cell's structural and functional adjustments in response to its surroundings.

Integrin alpha 2 has connections to cancer and fibrosis. In cancers its altered expression may contribute to tumor progression and metastasis often involving interactions with other integrins and matrix metalloproteinases that degrade extracellular components. In fibrosis excessive integrin alpha 2 activity can lead to abnormal tissue remodeling and scarring implicating its role alongside collagen-producing cells. Understanding these connections is vital for developing therapies targeting integrin-mediated pathways in these diseases.

Product protocols

For this product, it's our understanding that no specific protocols are required. You can visit:

Target data

Integrin alpha-2/beta-1 is a receptor for laminin, collagen, collagen C-propeptides, fibronectin and E-cadherin. It recognizes the proline-hydroxylated sequence G-F-P-G-E-R in collagen. It is responsible for adhesion of platelets and other cells to collagens, modulation of collagen and collagenase gene expression, force generation and organization of newly synthesized extracellular matrix.. (Microbial infection) Integrin ITGA2 : ITGB1 acts as a receptor for Human rotavirus A.. (Microbial infection) Integrin ITGA2 : ITGB1 acts as a receptor for Human echoviruses 1 and 8.
See full target information ITGA2

Publications (1)

Recent publications for all applications. Explore the full list and refine your search

Nature cancer 2:545-562 PubMed35122017

2021

Neutrophil oxidative stress mediates obesity-associated vascular dysfunction and metastatic transmigration.

Applications

Unspecified application

Species

Unspecified reactive species

Sheri A C McDowell,Robin B E Luo,Azadeh Arabzadeh,Samuel Doré,Nicolas C Bennett,Valérie Breton,Elham Karimi,Morteza Rezanejad,Ryan R Yang,Katherine D Lach,Marianne S M Issac,Bozena Samborska,Lucas J M Perus,Dan Moldoveanu,Yuhong Wei,Benoit Fiset,Roni F Rayes,Ian R Watson,Lawrence Kazak,Marie-Christine Guiot,Pierre O Fiset,Jonathan D Spicer,Andrew J Dannenberg,Logan A Walsh,Daniela F Quail
View all publications

Product promise

We are committed to supporting your work with high-quality reagents, and we're here for you every step of the way. In the unlikely event that one of our products does not perform as expected, you're protected by our Product Promise.
For full details, please see our Terms & Conditions

Please note: All products are 'FOR RESEARCH USE ONLY. NOT FOR USE IN DIAGNOSTIC OR THERAPEUTIC PROCEDURES'.

For licensing inquiries, please contact partnerships@abcam.com