JavaScript is disabled in your browser. Please enable JavaScript to view this website.
AB181432

Anti-Integrin alpha 3 antibody - C-terminal

Be the first to review this product! Submit a review

|

(1 Publication)

Rabbit Polyclonal Integrin alpha 3 antibody. C-terminal. Suitable for IHC-P, WB and reacts with Human, Rat samples. Cited in 1 publication. Immunogen corresponding to Synthetic Peptide within Human ITGA3 aa 1000-1050.

View Alternative Names

CD49c, MSK18, ITGA3, Integrin alpha-3, CD49 antigen-like family member C, FRP-2, Galactoprotein B3, VLA-3 subunit alpha, GAPB3

2 Images
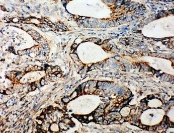
Immunohistochemistry (Formalin/PFA-fixed paraffin-embedded sections) - Anti-Integrin alpha 3 antibody - C-terminal (AB181432)
  • IHC-P

Supplier Data

Immunohistochemistry (Formalin/PFA-fixed paraffin-embedded sections) - Anti-Integrin alpha 3 antibody - C-terminal (AB181432)

Immunohistochemical analysis of paraffin embedded Human intestinal cancer tissue labeling Integrin alpha 3 with ab181432 at 1 μg/ml.

Western blot - Anti-Integrin alpha 3 antibody - C-terminal (AB181432)
  • WB

Supplier Data

Western blot - Anti-Integrin alpha 3 antibody - C-terminal (AB181432)

All lanes:

Western blot - Anti-Integrin alpha 3 antibody - C-terminal (ab181432) at 0.5 µg/mL

All lanes:

Rat liver tissue lysate

Predicted band size: 119 kDa

true

Key facts

Host species

Rabbit

Clonality

Polyclonal

Isotype

IgG

Carrier free

No

Reacts with

Rat, Human

Applications

WB, IHC-P

applications

Immunogen

Synthetic Peptide within Human ITGA3 aa 1000-1050. The exact immunogen used to generate this antibody is proprietary information.

P26006

Reactivity data

{ "title": "Reactivity Data", "filters": { "stats": ["", "Species", "Dilution Info", "Notes"], "tabs": { "all-applications": {"fullname" : "All Applications", "shortname": "All Applications"}, "IHCP" : {"fullname" : "Immunohistochemistry (Formalin/PFA-fixed paraffin-embedded sections)", "shortname":"IHC-P"}, "WB" : {"fullname" : "Western blot", "shortname":"WB"} }, "product-promise": { "all": "all", "testedAndGuaranteed": "tested", "guaranteed": "expected", "predicted": "predicted", "notRecommended": "not-recommended" } }, "values": { "Human": { "IHCP-species-checked": "testedAndGuaranteed", "IHCP-species-dilution-info": "0.5-1 µg/mL", "IHCP-species-notes": "<p></p> Perform heat-mediated antigen retrieval with citrate buffer pH 6 before commencing with IHC staining protocol.", "WB-species-checked": "guaranteed", "WB-species-dilution-info": "", "WB-species-notes": "" }, "Mouse": { "IHCP-species-checked": "predicted", "IHCP-species-dilution-info": "", "IHCP-species-notes": "", "WB-species-checked": "predicted", "WB-species-dilution-info": "", "WB-species-notes": "" }, "Rat": { "IHCP-species-checked": "guaranteed", "IHCP-species-dilution-info": "", "IHCP-species-notes": "", "WB-species-checked": "testedAndGuaranteed", "WB-species-dilution-info": "0.1-0.5 µg/mL", "WB-species-notes": "<p></p>" }, "Chinese hamster": { "IHCP-species-checked": "predicted", "IHCP-species-dilution-info": "", "IHCP-species-notes": "", "WB-species-checked": "predicted", "WB-species-dilution-info": "", "WB-species-notes": "" }, "Cow": { "IHCP-species-checked": "predicted", "IHCP-species-dilution-info": "", "IHCP-species-notes": "", "WB-species-checked": "predicted", "WB-species-dilution-info": "", "WB-species-notes": "" } } }

Properties and storage information

Form
Liquid
Purification technique
Affinity purification Immunogen
Storage buffer
Preservative: 0.025% Sodium azide, 0.025% Thimerosal (merthiolate) Constituents: 2.5% BSA, 0.45% Sodium chloride, 0.1% Disodium hydrogenorthophosphate
Shipped at conditions
Blue Ice
Appropriate short-term storage duration
1-2 weeks
Appropriate short-term storage conditions
+4°C
Appropriate long-term storage conditions
-20°C
Aliquoting information
Upon delivery aliquot
Storage information
Avoid freeze / thaw cycle

Supplementary information

This supplementary information is collated from multiple sources and compiled automatically.

Integrin alpha 3 also known as ITGA3 or alpha 3 is a protein that plays an important role in cell adhesion and signaling. It forms complexes with other integrins to mediate interactions between cells and the extracellular matrix. Integrin alpha 3 is a type I transmembrane protein with a molecular weight of approximately 120 kDa. This protein is primarily expressed in epithelial tissues including the skin kidneys and respiratory tract.
Biological function summary

Integrin alpha 3 functions as a cell surface receptor that helps regulate cell migration proliferation and differentiation. It is a part of the alpha-3-beta-1 integrin complex which interacts with extracellular proteins like laminin-5 and collagen. This interaction facilitates the transmission of signals from the outside to the inside of the cell affecting various cellular responses and activities.

Pathways

Integrin alpha 3 plays a significant role in the cell signaling and communication pathways. It is involved in the pathways like focal adhesion and MAPK signaling. In these pathways integrin alpha 3 interacts with other proteins such as paxillin and FAK (focal adhesion kinase) which are critical for the downstream signaling that regulates cell shape and movement.

Integrin alpha 3 is linked to conditions like skin blistering diseases and cancers particularly those affecting the epithelial tissues. Alterations in integrin alpha 3 expression or function can disturb cell adhesion leading to diseases like epidermolysis bullosa. Additionally in cancer integrin alpha 3 often collaborates with proteins like MMP-9 to promote tumor invasion and metastasis.

Product protocols

For this product, it's our understanding that no specific protocols are required. You can visit:

Target data

Integrin alpha-3/beta-1 is a receptor for fibronectin, laminin, collagen, epiligrin, thrombospondin and CSPG4. Integrin alpha-3/beta-1 provides a docking site for FAP (seprase) at invadopodia plasma membranes in a collagen-dependent manner and hence may participate in the adhesion, formation of invadopodia and matrix degradation processes, promoting cell invasion. Alpha-3/beta-1 may mediate with LGALS3 the stimulation by CSPG4 of endothelial cells migration.. (Microbial infection) Integrin ITGA3 : ITGB1 may act as a receptor for R.delemar CotH7 in alveolar epithelial cells, which may be an early step in pulmonary mucormycosis disease progression.
See full target information ITGA3

Publications (1)

Recent publications for all applications. Explore the full list and refine your search

Microbiology and immunology 66:433-441 PubMed35568971

2022

Diagnostic value of lncRNA NORAD in pulmonary tuberculosis and its regulatory role in Mycobacterium tuberculosis infection of macrophages.

Applications

Unspecified application

Species

Unspecified reactive species

Wenna Sun,Xiong He,Xiushuang Zhang,Xiaomeng Wang,Wen Lin,Xiaofeng Wang,Yan Liang
View all publications

Product promise

We are committed to supporting your work with high-quality reagents, and we're here for you every step of the way. In the unlikely event that one of our products does not perform as expected, you're protected by our Product Promise.
For full details, please see our Terms & Conditions

Please note: All products are 'FOR RESEARCH USE ONLY. NOT FOR USE IN DIAGNOSTIC OR THERAPEUTIC PROCEDURES'.

For licensing inquiries, please contact partnerships@abcam.com