JavaScript is disabled in your browser. Please enable JavaScript to view this website.
AB20140

Anti-Integrin alpha 3 antibody [F35 177-1]

5

(1 Review)

|

(1 Publication)

Mouse Monoclonal Integrin alpha 3 antibody. Suitable for IHC-FoFr, IHC-Fr and reacts with Human samples. Cited in 1 publication. Immunogen corresponding to Cell preparation containing ITGA3 protein.

View Alternative Names

CD49c, MSK18, ITGA3, Integrin alpha-3, CD49 antigen-like family member C, FRP-2, Galactoprotein B3, VLA-3 subunit alpha, GAPB3

1 Images
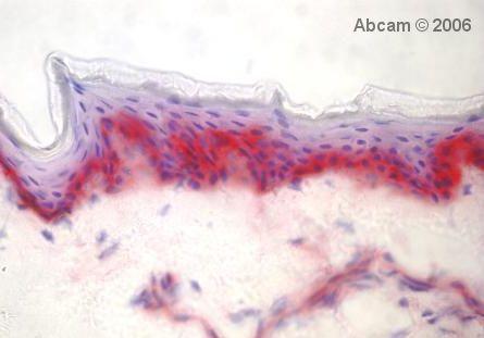
Immunohistochemistry (Frozen sections) - Anti-Integrin alpha 3 antibody [F35 177-1] (AB20140)
  • IHC-Fr

Supplier Data

Immunohistochemistry (Frozen sections) - Anti-Integrin alpha 3 antibody [F35 177-1] (AB20140)

Immunohistochemistry (Frozen sections) analysis of human skin tissue sections labeling Integrin alpha 3 with ab20140 at 1/1000 dilution. An undiluted goat anti-mouse polyclonal alkaline phosphatase conjugate was used as the secondary antibody.

Key facts

Host species

Mouse

Clonality

Monoclonal

Clone number

F35 177-1

Isotype

IgG1

Light chain type

unknown

Carrier free

No

Reacts with

Human

Applications

IHC-FoFr, IHC-Fr

applications

Immunogen

Cell preparation containing ITGA3 protein. The exact immunogen used to generate this antibody is proprietary information.

P26006

Reactivity data

{ "title": "Reactivity Data", "filters": { "stats": ["", "Species", "Dilution Info", "Notes"], "tabs": { "all-applications": {"fullname" : "All Applications", "shortname": "All Applications"}, "IHCFoFr" : {"fullname" : "Immunohistochemistry (PFA perfusion fixed frozen sections)", "shortname":"IHC-FoFr"}, "IHCFr" : {"fullname" : "Immunohistochemistry (Frozen sections)", "shortname":"IHC-Fr"} }, "product-promise": { "all": "all", "testedAndGuaranteed": "tested", "guaranteed": "expected", "predicted": "predicted", "notRecommended": "not-recommended" } }, "values": { "Human": { "IHCFoFr-species-checked": "guaranteed", "IHCFoFr-species-dilution-info": "", "IHCFoFr-species-notes": "<p></p>", "IHCFr-species-checked": "testedAndGuaranteed", "IHCFr-species-dilution-info": "", "IHCFr-species-notes": "<p>Fix with acetone.</p>" } } }

Product details

Fusion Partner: NS2

Properties and storage information

Form
Liquid
Purification technique
Affinity purification Protein A/G
Storage buffer
Preservative: 0.02% Sodium azide Constituents: PBS
Shipped at conditions
Blue Ice
Appropriate short-term storage duration
1-2 weeks
Appropriate short-term storage conditions
+4°C
Appropriate long-term storage conditions
-20°C
Aliquoting information
Upon delivery aliquot
Storage information
Avoid freeze / thaw cycle

Supplementary information

This supplementary information is collated from multiple sources and compiled automatically.

Integrin alpha 3 also known as ITGA3 or alpha 3 is a protein that plays an important role in cell adhesion and signaling. It forms complexes with other integrins to mediate interactions between cells and the extracellular matrix. Integrin alpha 3 is a type I transmembrane protein with a molecular weight of approximately 120 kDa. This protein is primarily expressed in epithelial tissues including the skin kidneys and respiratory tract.
Biological function summary

Integrin alpha 3 functions as a cell surface receptor that helps regulate cell migration proliferation and differentiation. It is a part of the alpha-3-beta-1 integrin complex which interacts with extracellular proteins like laminin-5 and collagen. This interaction facilitates the transmission of signals from the outside to the inside of the cell affecting various cellular responses and activities.

Pathways

Integrin alpha 3 plays a significant role in the cell signaling and communication pathways. It is involved in the pathways like focal adhesion and MAPK signaling. In these pathways integrin alpha 3 interacts with other proteins such as paxillin and FAK (focal adhesion kinase) which are critical for the downstream signaling that regulates cell shape and movement.

Integrin alpha 3 is linked to conditions like skin blistering diseases and cancers particularly those affecting the epithelial tissues. Alterations in integrin alpha 3 expression or function can disturb cell adhesion leading to diseases like epidermolysis bullosa. Additionally in cancer integrin alpha 3 often collaborates with proteins like MMP-9 to promote tumor invasion and metastasis.

Product protocols

For this product, it's our understanding that no specific protocols are required. You can visit:

Target data

Integrin alpha-3/beta-1 is a receptor for fibronectin, laminin, collagen, epiligrin, thrombospondin and CSPG4. Integrin alpha-3/beta-1 provides a docking site for FAP (seprase) at invadopodia plasma membranes in a collagen-dependent manner and hence may participate in the adhesion, formation of invadopodia and matrix degradation processes, promoting cell invasion. Alpha-3/beta-1 may mediate with LGALS3 the stimulation by CSPG4 of endothelial cells migration.. (Microbial infection) Integrin ITGA3 : ITGB1 may act as a receptor for R.delemar CotH7 in alveolar epithelial cells, which may be an early step in pulmonary mucormycosis disease progression.
See full target information ITGA3

Publications (1)

Recent publications for all applications. Explore the full list and refine your search

TheScientificWorldJournal 2014:102541 PubMed24737953

2014

Expression profiling using a cDNA array and immunohistochemistry for the extracellular matrix genes FN-1, ITGA-3, ITGB-5, MMP-2, and MMP-9 in colorectal carcinoma progression and dissemination.

Applications

IHC

Species

Human

Suzana Angelica Silva Lustosa,Luciano de Souza Viana,Renato José Affonso,Sandra Regina Morini Silva,Marcos Vinicius Araujo Denadai,Silvia Regina Caminada de Toledo,Indhira Dias Oliveira,Delcio Matos
View all publications

Product promise

We are committed to supporting your work with high-quality reagents, and we're here for you every step of the way. In the unlikely event that one of our products does not perform as expected, you're protected by our Product Promise.
For full details, please see our Terms & Conditions

Please note: All products are 'FOR RESEARCH USE ONLY. NOT FOR USE IN DIAGNOSTIC OR THERAPEUTIC PROCEDURES'.

For licensing inquiries, please contact partnerships@abcam.com